Cookie Consent byPrivacyPolicies.comReprise infection sous couronne, patient demande - Eugenol

Reprise infection sous couronne, patient demande indemnisation...

Orezza gazeuse verre litre ocoxey - Eugenol
casa

19/12/2014 à 14h43

Youn Doagui , je vous aime bien , vos certitudes me bouleversent , vous avez combien d'années d'exercice à vous 2 ? Vous sortez de quelle fac ? Paris surement ..... Vous devriez aller faire un tour en stage chez Enlaye , vous découvririez plein de trucs qui ne sont pas sur les livres , et surtout vous apprendriez l'humilité face à vos confrères , vos patients et surtout dame nature ! Elle est cuite cette dent ... maintenant , on peut toujours s'amuser à la maintenir un ou 2 ans ..... mais est un vrai recul ? est ce un succès de retraitement .? Dans mes critères non ! et tu as beau prévenir ton patient quand il reviendra dans 18 mois avec la dents qui se promène ben il aura oublié .... Mais tu auras la conscience tranquille tu auras TOUT fait pour la sauver !!! Honoraires ? Il restera toujours la solution de l'implant ....


youn

19/12/2014 à 14h45

Pas faux...


Capture d  cran 2015 03 12 12.28 - Eugenol
chicot29

19/12/2014 à 16h57

enlaye écrivait:
----------------
> mouhahahaha quelle bande de pieds-niquelés vous etes pour pour certains :-)))
>
> la question est pourquoi on fait l'endo au depart !!! et tu verras bien que ç
> est multifactoriel avant meme de la faire l 'endo .

Et ca aussi c'est multi factoriel ? En fait il y a tellement de facteurs que l'on finit par ne plus appeller une merde une merde !

1 twtn87 - Eugenol
2 qf6fke - Eugenol
3 zitrik - Eugenol
4 a5lknt - Eugenol

Morgan ztbb1b - Eugenol
BONNET jc

19/12/2014 à 17h00

Si ça se trouve Dentist86, c'est l'avocat d'un patient. Il doit être content, vous lui avez fait tout le travail.


Don quichotte xrbqem - Eugenol
Don Chicot

19/12/2014 à 17h08

casa écrivait:
--------------
extraits :
...
> a partir d'un certain age ont envie de se faire la mâle ? >Je suis sure ...qu'elle gigote bien ....


Mouais, Je suis pas psy, mais y'aurait pas comme un message subliminal là?


Morgan ztbb1b - Eugenol
BONNET jc

19/12/2014 à 17h22

Quand j'étais étudiant, un prof nous disait " c'est de la dentisterie de pissotière". Vous savez ce que c'est la dentisterie de pissotière?: C'est 2 dentistes qui,après un congrès, vont pisser et devant l'urinoir, y-en a un qui sort une radio et la montre à l'autre; " Et là, qu'est ce que tu en penses?" Et l'autre lui donne son avis. C'est ça, la dentisterie de pissotière. C'est ce qu'on a fait. A méditer, et rester humble.


Orezza gazeuse verre litre ocoxey - Eugenol
casa

19/12/2014 à 18h54

Don Chicot écrivait:
--------------------
> casa écrivait:
> --------------
> extraits :
> ...
> > a partir d'un certain age ont envie de se faire la mâle ? >Je suis sure
> ...qu'elle gigote bien ....
>
>
> Mouais, Je suis pas psy, mais y'aurait pas comme un message subliminal là?
>

Ch'ais pas je suis pas dentiste holistique , je ne lis pas dans les dents .....
Sinon pour l'histoire de l'avocat ben oui on lui a fait le travail , la dent est foutue pour plein de raisons mais pas que l'endo ... donc .... il va en faire quoi l'avocat de tout ça , on est pas d'accord déjà entre nous alors lui ..... faut arrêter d'être parano ...


youn

19/12/2014 à 19h31

casa écrivait:
--------------
> Youn Doagui , je vous aime bien , vos certitudes me bouleversent , vous avez
> combien d'années d'exercice à vous 2 ? Vous sortez de quelle fac ? Paris
> surement ..... Vous devriez aller faire un tour en stage chez Enlaye , vous
> découvririez plein de trucs qui ne sont pas sur les livres , et surtout vous
> apprendriez l'humilité face à vos confrères , vos patients et surtout dame
> nature ! Elle est cuite cette dent ... maintenant , on peut toujours s'amuser à
> la maintenir un ou 2 ans ..... mais est un vrai recul ? est ce un succès de
> retraitement .? Dans mes critères non ! et tu as beau prévenir ton patient quand
> il reviendra dans 18 mois avec la dents qui se promène ben il aura oublié ....
> Mais tu auras la conscience tranquille tu auras TOUT fait pour la sauver !!!
> Honoraires ? Il restera toujours la solution de l'implant ....

On m'a toujours dit de me méfier des gens qui disaient de ne pas appliquer ce que disent les livres... En tous cas oui je tente et si quand j'ouvre je vois une fêlure ou que au sondage ça tombe d'un coup ben je préviens le patient, et extraction.

Comme vous je penche pour la fêlure/fracture, la lésion remonte vachement haut, mais au tarif Français je tente, au tarif anglais j'extrais sauf si le patient me signe une décharge. Par contre je ne couronne pas ça avant guérison de la lésion.
Mais même si la dent n'avait pas de souci, je trouve que l'endo est bâclée et je le dis. Si personne ne le dit, peut être que notre consoeur n'en aurait pas conscience... Ou s'en foutrait plus que de raison.


doagui

19/12/2014 à 19h31

casa écrivait:
--------------
> Youn Doagui , je vous aime bien , vos certitudes me bouleversent (blablabla et discours habituels)


Quelles certitudes m'as-tu vu exprimer ici ? Que j'aurais fait mieux ? Que mes traitements sont tous parfaits ? J'ai rien dit de tout ça. Par contre je persiste à dire que l'endo est médiocre et ça c'est un fait. Ca n'a pas de rapport avec moi, encore bien moins avec mes années d'exercice ou la longueur de mon CV, c'est comme ça et c'est tout et je suis bien certain que tu le vois aussi bien que moi.

Encore une fois je ne juge personne par contre, on a tous des endos mauvaises dans nos tiroirs moi le premier et on sait tous que parfois avec la meilleure volonté du monde bah quand ça veut pas ça veut pas.

Je n'ai rien dit au sujet de la conduite à tenir, donc c'est pas sur ça non plus que tu m'as vu exprimer des certitudes. Ce que j'ai dit c'est que s'il m'arrive de faire une endo moyenne ou si je tente un retraitement sur une dent de ce genre alors je ne couronne pas de suite, je temporise et j'avise plus tard. Tu vois là encore je laisse la place au doute. C'est pas ton cas par contre, puisque tu dis de suite que la dent est cuite. Qui est plein de certitudes dans cette discussion finalement ?


Vw campersurfvan bmnk1q - Eugenol
enlaye

19/12/2014 à 19h41

youn écrivait:
--------------

" Mais même si la dent n'avait pas de souci, je trouve que l'endo est bâclée et je le dis. Si personne ne le dit, peut être que notre consoeur n'en aurait pas conscience..."

bon attend je vais chercher mes lunettes ,par ce que je ne vois rien de si mediocre au niveau endo . de quelle radio parles tu ? on parle bien de la 2 eme au milieu ?

parce que peut etre que Casa t aime bien , mais pas moi quand tu parles comme ça . mais alors pas du tout !!!


youn

19/12/2014 à 19h46

enlaye écrivait:
----------------
> youn écrivait:
> --------------
>
> " Mais même si la dent n'avait pas de souci, je trouve que l'endo est bâclée et
> je le dis. Si personne ne le dit, peut être que notre consoeur n'en aurait pas
> conscience..."
>
> bon attend je vais chercher mes lunettes ,par ce que je ne vois rien de si
> mediocre au niveau endo . de quelle radio parles tu ? on parle bien de la 2 eme
> au milieu ?

La plus claire pour moi est la troisième tout à droite, la gutta ne disparaissant pas j'en déduis que l'obturaton sur la deuxième est constituée essentiellement, sinon exclusivement de ciment, je te fais la même en 10 minutes, tire nerfs lentulo pâte, un cône accessoire histoire de en distal.
Je suppose aussi qu'il s'agit de la radio preop du dentiste suivant et qu'il n'a pas encore déposé.


Vw campersurfvan bmnk1q - Eugenol
enlaye

19/12/2014 à 19h50

nous on appelle ça une bordille


youn

19/12/2014 à 19h51

enlaye écrivait:
----------------
> nous on appelle ça une bordille
C'est à dire?


Vw campersurfvan bmnk1q - Eugenol
enlaye

19/12/2014 à 20h00

quelqu'un qui ne respecte rien ni personne .
pour moins que ça il parrait qu'il y en a qui ont fini les pieds dans du beton au fond de la mer . ç est une une legende bien sur . ha ha ha .par chez moi il y a eu 5 praticiens (medecins ,kiné ,dentistes,ortho ) qu'on a jamais revu .et ça ç est vrai .ils sont partis avant .....
Ah ce besoin de faire des phrases inutiles et desobligeantes.....


doagui

19/12/2014 à 21h16

Eugenol devient un endroit de plus en plus désagréable, ou chaque post est prétexte à une engueulade inutile.


Darmon - Eugenol
Latin

19/12/2014 à 21h16

J'ai une hypothèse : de la gutta biodégradable achetée sur ebay?

Je n'imaginais pas que le ciment puisse "disparaitre". Pourtant j'aimerais bien parfois quand je vois certains puffs au bout de mes endos. Même si en endo on nous a toujours dit qu'un puff c'est bon signe.


Orezza gazeuse verre litre ocoxey - Eugenol
casa

19/12/2014 à 21h18

@ Doagui et youn , si je vous ai chatouillé c'est que vous avez émis un avis péremptoire sur le traitement endo de notre "jeune consoeur" et vous êtes des jeunes confrères ....ça , ça me dérange ....alors effectivement j'ai des certitudes : cette dent est foutue ... à 24 mois ....mais ces certitudes je les ai acquise grâce à l’expérience et non à ce que j'ai appris à la fac ...parce que en sortant de la fac ( et même la meilleure !) on ne sait "rien" ! ou presque ... et quand j'ai dit que les 7 aimaient bien se faire la malle , là aussi je ne l'ai pas appris à la fac ...
PS:y'a que moi qui ait des 7 "coquines" !!! subliminal ce message !


Orezza gazeuse verre litre ocoxey - Eugenol
casa

19/12/2014 à 21h21

Doagui , t'es marrant toi : la jeune consoeur qui vous (te)lit et qui vient de s'en prendre plein la tronche .. elle est contente d'être venue ....


doagui

19/12/2014 à 21h25

Je ne comprends pas du tout votre agressivité.

En quoi c'est "ne respecter rien ni personne" que de de constater que l'endo présentée ne répond pas aux critères actuels ? En quoi il faut avoir 30 ans d'expérience pour s'en rendre compte ?


doagui

19/12/2014 à 21h28

casa écrivait:
--------------
> Doagui , t'es marrant toi : la jeune consoeur qui vous (te)lit et qui vient de
> s'en prendre plein la tronche .. elle est contente d'être venue ....

Mais c'est dingue, sérieusement tu réfléchis avant d'écrire ? Tu lis chacun des mots de chaque phrase avant de répondre ???

A quel endroit j'ai jugé la praticienne ? A quel moment j'ai dit que j'aurais fait mieux ?

C'est toi qui insiste hyper lourdement et fais durer le truc ! J'ai juste dit que c'était assez moyen mais que ça arrivait à tout le monde et que je conseillais d'essayer de s'arranger elle-même avec le patient directement si possible. Point. Aucun jugement, aucune condamnation.


Darmon - Eugenol
Latin

19/12/2014 à 21h36

doagui écrivait:
----------------
> Eugenol devient un endroit de plus en plus désagréable, ou chaque post est
> prétexte à une engueulade inutile.
>

Ne soit pas si défaitiste. Nous avons une grande discussion sur les concepts occlusaux en ortho (386 posts quand-même) où pour l'instant personne ne s'est "mis sur la gueule". Bon, il y a bien Seespan qui nous cherche en sous-entendant que personne ne lit ni l'anglais ni la littérature, mais jusque là c'est safe.


C'est quand-même un peu bizarre que dentist86 ait posté un seul message le jour de son inscription et ait en sa possession toutes les radios alors qu'il ne travaille plus dans le cabinet où il a commis cette endo. A moins que son ancien titulaire les lui ait fait parvenir par mail (j'imagine le titre : "regarde ta grosse bouse" ou "tu ne vas pas t'en sortir comme ça mon gaillard", ou "j'espère que je n'utilise pas le même ciment que toi").
En plus dentist86 ne s'est même pas reconnecté sur Eugénol, ou alors il n'ose plus intervenir, ou alors c'est un fake.

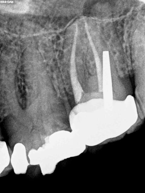
C'est quand-même dommage d'arriver à l'apex et d'obturer avec un matériau résorbable, non? Objectivement cette endo à trois ans est pourrie. La post-op ok il y a du matériau radio opaque à l'apex, mais celle avec la couronne... J'ai le souvenir d'un étudiant qui à la fac fabriquait le ciment d'obturation en mettant de l'eau distillée au lieu de l'eugénol. Pas cool.

Remarquons aussi qu'il manque la 47... qu'en est-il de la (sur)charge occlusale?

Par contre là si nécessaire c'est RCP et rien d'autre. On a tous d'autres soucis à gérer.


X ray 03 medium zvq18j - Eugenol
cyber_quenottes

19/12/2014 à 21h51

question con surement mais en distal il y a avait un cone de gutta

il est passé ou sur l'image N°3

ca disparait pas ce genre de truc....normalement


Orezza gazeuse verre litre ocoxey - Eugenol
casa

19/12/2014 à 22h20

@Doagui "

Ha ben non je refléchis pas , j'écris .... j'ai même relu tout le sujet , en diagonale .. et ...? le premier qui ait dégainé contre cette jeune consoeur est Youn .. le deuxième c'est toi ....donc je vous mets dans le même sac ... tous les autres avaient plutôt été sympa .. donc quand tu viens te plaindre qu'on est pas gentils avec vous ..ben je me marre...quant à ta gentille phrase " Mais c'est dingue, sérieusement tu réfléchis avant d'écrire ? Tu lis chacun des mots de chaque phrase avant de répondre ???" effectivement , je crois qu'au niveau gentillesse , tu vas pouvoir me donner des leçons ! Bien le bonsoir .


doagui

19/12/2014 à 22h59

C'est tout à fait ça oui, tu lis "en diagonale", et les informations que tu sautes tu les remplaces par ce que tes a priori te dictent. Pour le reste tu fais ici ce que tu fais dans la plupart des postes qui tournent au vinaigre : tu te permets de dire tout ce qui te passe par la tête et d'être désobligeante avec qui te chante, mais si on a le malheur de te répondre sur un ton proche du tien alors tu te places en victime.

A chaque fois que je te lis tu es soit agressive soit condescendante, du coup c'est vrai que la gentillesse finit par baisser les bras.


South park   craig te7bfk - Eugenol
CRAIG

19/12/2014 à 23h13

doagui écrivait:
----------------
> Eugenol devient un endroit de plus en plus désagréable, ou chaque post est
> prétexte à une engueulade inutile.
>


A l'image de la société en général....


Ce sujet est verrouillé

Les réponses à ce sujet sont désactivées