Cookie Consent byPrivacyPolicies.comthermocompaction: quel ciment de scellement - Eugenol

thermocompaction: quel ciment de scellement

Image saznoz - Eugenol
Hodina

19/12/2014 à 21h26

bonsoir,
quels ciment de scellement serait le plus efficace et le plus pratique pour la thermocompaction.
actuellement j utilise le sealite de pierre rolland
j en ai marre de spatuler et d en foutre partout.
d apres marc apap, le HA plus n est pas ideal pour le thermcompaction.
des conseils?
meci


Marque a3 orange fyvhyq - Eugenol
Marc Apap

19/12/2014 à 22h34

C'est pas l'idéal, mais il donne des puff et obture les canaux latéraux comme pas deux. Le tout, c'est d'en mettre extrêmement peu : je place l'embout intracanalaire de la seringue à l'entrée de chaque canal et en mets une goutte. C'est la méthode la plus rapide, la plus simple, la plus propre de toutes.


Avatar eugenol pe0ymx - Eugenol
nicklebenou

19/12/2014 à 22h48

quand vous parlez du HA c est le AH de dentsply?
Moi j'utilise du sealite regular bon rapport qualité prix. peu ou pas de problèmes et j'obture beaucoup en thermo compaction.


Image saznoz - Eugenol
Hodina

19/12/2014 à 23h41

Marc Apap écrivait:
-------------------
> C'est pas l'idéal, mais il donne des puff et obture les canaux latéraux comme
> pas deux. Le tout, c'est d'en mettre extrêmement peu : je place l'embout
> intracanalaire de la seringue à l'entrée de chaque canal et en mets une goutte.
> C'est la méthode la plus rapide, la plus simple, la plus propre de toutes.

Et si je n en met que sur les pointes de mes Gutta?
Ne serait ce pas encore plus simple?
Je chipote ok, mais j'ai dore ça chipoter.
Sinon, quand tu dis que ce n est pas l idéal......c est quoi l ideal?
J espere que ce n est pas une histoire de systeme d obtuartion différente.....j en peux plus d'investir....j arrete pas.....mais dis quand même...
D ailleurs, tu m'a vais fait économiser pas mal avec l'histoire du endo activator en prenant le systeme water floss de chez Amazon ( vraiment top)!!!!!


Marque a3 orange fyvhyq - Eugenol
Marc Apap

19/12/2014 à 23h58

Si je te dis que la méthode que je te propose est la meilleure, fait moi confiance. Mettre du ciment au bout des cônes peut les ramollir un peu et gêner pour le placer dans le canal. Et puis c'est la manière la plus simple : essaye pour voir.
C'est pas l'idéal parce que, comme je l'ai déjà écrit plusieurs fois ici et là, ce ciment lubrifie un peu trop les cônes, ce qui retarde leur ramollissement sous l'effet de la friction du gutta condensor en rotation. Voilà pourquoi il faut en mettre très peu. Si on en met à l'entrée (comme pour le thermafil), j'ai eu la preuve qu'il va au bout à cause des puff assez fréquents.


Marque a3 orange fyvhyq - Eugenol
Marc Apap

20/12/2014 à 00h00

Le sealite n'est pas mauvais, mais il faut le spatuler. Alors que le AH plus jet se mélange tout seul et se met dans la dent très rapidement grâce à l'embout mélangeur et son embout intracanalaire (ne pas injecter dans le canal, juste à l'entrée)


uɹöɾq

20/12/2014 à 00h16

Marc Apap écrivait:
-------------------
Si on en met à l'entrée (comme pour le thermafil), j'ai
> eu la preuve qu'il va au bout à cause des puff assez fréquents.

Tu veux dire que tu as des preuves fréquentes mais non constantes de la fusée apicale du ciment en le déposant simplement à l'entrée du canal?

Pour ma part, je préfère déposer l'AH+ sur le tiers apical du cône, la preuve de la présence de ciment à l'apex est ainsi inutile. ;-)


Capture d  cran 2015 03 12 12.28 - Eugenol
chicot29

20/12/2014 à 00h57

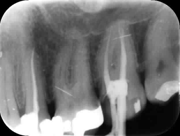
En cones scellés avec les cones en 6 %, je n'ai aucun souci. Pourquoi se faire chier avec une thermo-compaction mécanique ce ne sont que des emmerdes potentiels.
En plus tu ne vois pas de différence à la radio. -))))
Si on était rémunéré correctement au temps passé c'est le système B que j'utiliserais.
Facile de faire la différence : radio bouchon apical en place.


Licorne

20/12/2014 à 01h20

chicot29 écrivait:
------------------
> En cones scellés avec les cones en 6 %, je n'ai aucun souci. Pourquoi se faire
> chier avec une thermo-compaction mécanique ce ne sont que des emmerdes
> potentiels.
> En plus tu ne vois pas de différence à la radio. -))))
> Si on était rémunéré correctement au temps passé c'est le système B que
> j'utiliserais.
> Facile de faire la différence : radio bouchon apical en place.
>

Voilà un discours qui tient la route du debut jusqu'à la fin.
Cone 6% + aspect radio - emmerdes potentiels + pb economique.
Chicot a raison ......point barre.
+100.


G-P

20/12/2014 à 01h28

Pas très pratique le cône scellé quand tu fais ton logement de screw post dans la séance... :(


uɹöɾq

20/12/2014 à 01h37

Licorne écrivait:
-----------------
>
>
> Voilà un discours qui tient la route du debut jusqu'à la fin.
> aspect radio:
/// faux, => pas d'obturation des canaux accessoires///

> emmerdes potentiels:
/// vrai (si la technique est mal maîtrisée)///

> pb economique:
/// faux, puisqu'on gagne une séance///

Ajoutons le continuum endo-prothétique mieux respecté au nombre des avantages de la thermocompaction.

> Chicot a raison ......point barre.
> +100

Pas sur ce coup. Point barre. :-)


Capture d  cran 2015 03 12 12.28 - Eugenol
chicot29

20/12/2014 à 02h12

G-P écrivait:
-------------
> Pas très pratique le cône scellé quand tu fais ton logement de screw post dans
> la séance... :(

Ah ? petite astuce tu commences la technique système B ( avec le pluger heater seulement)sauf que tu ne vas pas à 4 mm de l'apex, tu condenses avec un machtou ton logement du tenon est fait, en plus ca accélère la prise du ciment de scellement vitesse grand V et tu peux avoir les canaux accessoires. -)))))
Franchement avec le recul, et j'en ait fait un stock !-))), ca vaut pas le coup de se faire chier.
OK je triche un peu on va dire que c'est une technique hybride. -))))

5 w6pbvc - Eugenol

Capture d  cran 2015 03 12 12.28 - Eugenol
chicot29

20/12/2014 à 02h26

http://www.coefi.fr/comptes-rendus/lobturation-en-endodontie



"-Pâte seule (technique à proscrire)
- Monocône (cône d’argent ou gutta percha). Technique obsolète avec le cône d’argent, en plus le cône est très difficile à enlever. Par contre avec le cône de gutta il y a de bons résultats à condition que le cône remplisse 85-90% du volume canalaire.
- Condensation latérale à froid (facile à mettre en œuvre et coût relativement bas, cependant ce n’est pas une technique de choix)
- Thermomécanique (déconseillée pour ceux qui ne la maîtrisent pas)
- Mixte (Latérale à froid + Thermomécanique). Très bonne alternative, facile à mettre en œuvre, excellente solution pour améliorer les résultats en endodontie dans un cadre omnipratique
- Compaction verticale à chaud (aptitude de scellement excellente et coût relativement faible)
- Thermafil (solution de choix : facilité de mise en œuvre, aptitude de scellement très performante, malgré le coût des tuteurs qui est relativement important)

Ne pas oublier les étapes essentielles :

- L’ajustage du maitre cône : le fameux top back. C’est un concept dont la définition, « sentir la résistance à l’apex » demeure très floue en pratique

- La radiographie est obligatoire en per opératoire : elle montre si le cône est arrivé trop loin au bout du canal

- L’objectif de l’obturation est de remplir le canal avec un maximum de gutta et un minimum de ciment car le ciment joue le rôle d’une éponge à bactéries. Les instruments pour préparer le canal sont standardisés en concordance avec le cône de gutta fourni."

C'est clair ? -))))


youn

20/12/2014 à 04h03

chicot29 écrivait:
------------------
>
> - L’ajustage du maitre cône : le fameux top back. C’est un concept dont la
> définition, « sentir la résistance à l’apex » demeure très floue en pratique


Tug-back chico, Tug pas top... Et objectivement ça se sent très bien si tu l'as...


Capture d  cran 2015 03 12 12.28 - Eugenol
chicot29

20/12/2014 à 10h47

Je sais, mais je ne retouche pas les textes, surtout de gens plus compétents que moi. Je me demande ce que Stéphane Fout encore en France à prêcher dans le désert.
Je me demande pourquoi en FAC ils apprennent une technique " déconseillée si on ne la maitrise pas" à des débutants, histoire de mettre une dose de stress supplémentaire je suppose ou plus simple, ils se sont dit pas cher pour un lentulo amélioré ! -))))


Marque a3 orange fyvhyq - Eugenol
Marc Apap

20/12/2014 à 12h09

Chicot 29, tu mets comment ta pâte dans le canal avant d'y placer le cône de gutta ?

Ce qui s'enseigne à la fac n'est pas forcément la méthode la mieux adaptée ensuite dans la pratique de tous les jours ; Les exemples sont infinis.


Marque a3 orange fyvhyq - Eugenol
Marc Apap

20/12/2014 à 12h21

Je sais bien que si on maîtrise une méthode, on n'a pas envie d'en changer.
Cependant, se battre sur la nécessité de faire une thermocompaction ou un monocone me paraît l'une des choses les plus absurdes qui soient.
D'abord parce que si on met un cone sans le condenser, il faut quand même placer de la pâte avant; Cela ne peut se faire raisonnablement qu'au lentulo. Donc, beaucoup de gaspillage de pâte, on en met dans la chambre pulpaire, on a un risque de dépassement apical, et le lentulo étant souple, il n'est jamais très facile de le placer dans les canaux des molaires .
La seule méthode envisageable serait d'utiliser une pâte introduite avec l'aiguille d'une seringue, ce qui n'est possible qu'avec de gros diamètres apicaux et entre dans un autre cadre de traitement qui est également discutable.
Ensuite, parce que la condensation thermomécanique est tellement facile et rapide, et a tellement d'autres avantages (obturation en masse tri dimensionnelle, canaux latéraux éventuellement obturés, désobturation partielle facile, rapide et sûre, pas de ciment dans la chambre pulpaire) que c'est ridicule de lui opposer le temps et le coût qui sont dérisoires. La sécurité n'est qu'une affaire d'expérience et de savoir faire. Et puis comme dit, si l'on a peur, il faut faire une compaction mixte (avec un cone accessoire pour éviter le dépassement apical de gutta).
Pour finir, l'argument du cone adapté à l'instrument n'est recevable que pour des derniers millimètres de l'obturation car à cet endroit, le canal est effectivement à peu près de section circulaire et le restera (s'il n'est pas trop courbé) après mise en forme aux Ni Ti. Mais ailleurs, les canaux ne sont jamais coniques, mais ont une section variable, souvent ovale. Donc, obturer avec un cone de section circulaire ne remplit pas le canal et le reste se fait avec le ciment qui pour l'instant n'est pas ce qui est le plus étanche.


Image saznoz - Eugenol
Hodina

20/12/2014 à 12h46

Bon, je vais essayer ta technique, Marc et acheter du HA plus.
mais j avoue ne pas avoir tout compris de la technique de chicot29.... Et j aimerai bien comprendre.
J ai cru comprendre qu'il faisait son obturation en 2 temps.
1 er temps, l obturation apicale
2ème temps obturation du reste du canal.
Si j ai bien compris, pourquoi obturer le reste du canal?
Puisqu ensuite on desobture pour faire soit le RCR, soit l empreinte pour l inlay core dans la même séance.
En fait ce qui nous intéresse c est uniquement les 4 mm a l apex, non?
.....mais dans ce cas, quid des canaux latéraux au dessus des 4 mm?
Les systeme d'obturation a chaud permettent t ils de n obturer que les 4 mm a l apex?
Si oui, et s'il ne sert a rien de remplir le canal de gutta, ce systeme devient il économique?
Et la secu ne râle pas concernant la radio post endo avec seulement les 4 mm d obturation a l apex?
Je ne connaît pas les systeme d obturation a chaud.Comment est la courbe d apprentissage?
Enfin entre le AH plus et le Tubuliflore Seal, quelles différences?


Marque a3 orange fyvhyq - Eugenol
Marc Apap

20/12/2014 à 12h55

1/ L'obturation se fait du bout du canal jusque dans la chambre pulpaire. Sinon, on a des zones vides qui sont autant de portes d'entrée pour les bactéries, soit par l'intérieur du canal, soit par l'extérieur, par exemple si la dent se "déchausse" et que la racine est à nu
2/ Sur les pluri radiculées, il est bien évident que l'on ne désobture qu'un canal ou deux au max sur les 3 ou 4
3/ Les techniques en deux temps, ne représentent que deux temps chronologiques. Tu mets un cone de gutta qui va du bout jusqu'en haut, tu le condense à l'apex, et puis c'est le même qu'on peut ramollir pour obturer le reste du canal. La technique la plus riche et totalement inutile, consiste à obturer le bout de la racine avec un cône condensé à chaud avec un fouloir réchauffant, puis remplir le reste avec un pistolet à gutta chaude. Outre le fait qu'il faut quand même bien la tasser sinon elle ne remplit pas bien les espaces latéraux, ça ne présente aucun intérêt par rapport au gutta condensor que l'on peut utiliser sans risque pour cette phase du traitement.
3/ Le tubli seal est un ciment à base d'oxyde de zinc. La gutta se ramollit mieux avec lui, mais je trouve que l'obturation des canaux latéraux est moins évidente avec lui, et comme il contient de l'eugénol, il y a toujours un petit risque potentiel d'inhiber la prise de la résine de collage que l'on va utiliser ensuite pour coller un tenon dans la racine.


blaise2583

20/12/2014 à 12h56

Licorne écrivait:
-----------------
> chicot29 écrivait:
> ------------------
> > En cones scellés avec les cones en 6 %, je n'ai aucun souci. Pourquoi se faire
> > chier avec une thermo-compaction mécanique ce ne sont que des emmerdes
> > potentiels.
> > En plus tu ne vois pas de différence à la radio. -))))
> > Si on était rémunéré correctement au temps passé c'est le système B que
> > j'utiliserais.
> > Facile de faire la différence : radio bouchon apical en place.
> >
>
> Voilà un discours qui tient la route du debut jusqu'à la fin.
> Cone 6% + aspect radio - emmerdes potentiels + pb economique.
> Chicot a raison ......point barre.
> +100.
Idem


Capture d  cran 2015 03 12 12.28 - Eugenol
chicot29

20/12/2014 à 13h02

??? Dans ce cas ( moi meme) il n'a pas été utile de faire la remontée de gutta dans le palatin jusqu'à la chambre because tenon. Dans le MV2 par contre oui ( because pas de tenon).
Compris ?
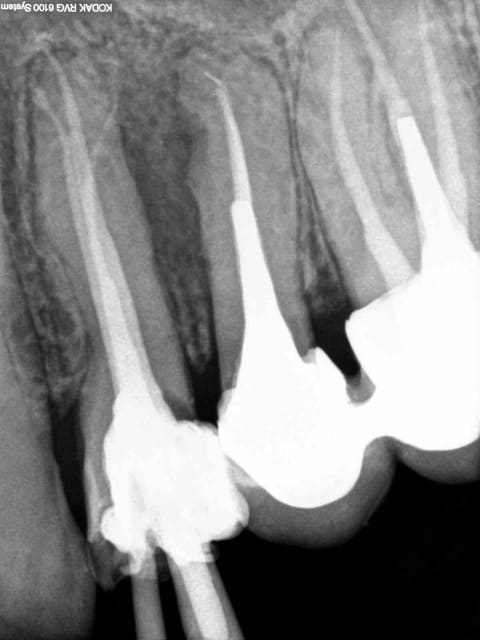
Le mv1 et le dv ont été obturés il y a 8 ans en mono cone.
En gutta chaude la différence se voit car ca n'est pas homogène à la radio comparé à un monocone scellé.
Marc vas jouer du mac spadden sur le canal palatin si ca te chante, mais pas sur moi ! -)))

4 wgbx1x - Eugenol
3 b4nxvh - Eugenol
1 phwbbp - Eugenol

Capture d  cran 2015 03 12 12.28 - Eugenol
chicot29

20/12/2014 à 13h11

in vivo 3 ans à l'air libre, monocone scellé, pas de digue : il y a une pèche à l'apex ? non.

6 pvl628 - Eugenol
8 h9nynj - Eugenol

Capture d  cran 2015 03 12 12.28 - Eugenol
chicot29

20/12/2014 à 13h17

Au vu de mon expérience et au vu des remboursements de merde de la sécu il vaut mieux se concentrer sur la LT, radio cone en place + tug back + parage efficace et sceller un cone 6 % que de s'emmerder à stresser avec un mac spadden et faire des conneries surtout sur des molaires du haut à 4 canaux.


Capture d  cran 2015 03 12 12.28 - Eugenol
chicot29

20/12/2014 à 13h35

uɹöɾq écrivait:
---------------
> Licorne écrivait:
> -----------------
> >
> >
> > Voilà un discours qui tient la route du debut jusqu'à la fin.
> > aspect radio:
> /// faux, => pas d'obturation des canaux accessoires///

A prouver. Mais c'est sur que tu as plus de chance de faire une fusée apicale de gutta que d'obturer les canaux accessoires.

> > emmerdes potentiels:
> /// vrai (si la technique est mal maîtrisée)///

Vrai. C'est marrant des fois on maitrise et des fois on ne maitrise pas -)))

> > pb economique:
> /// faux, puisqu'on gagne une séance///

Vrai, si tu utilises un plugger heater pour faire le logement du tenon dans la séance.


> Ajoutons le continuum endo-prothétique mieux respecté au nombre des avantages de
> la thermocompaction.

Enfin bjorn tu commences à me connaitre tu crois que je vais faire en 2 séances ce que je peux faire en une ?

> > Chicot a raison ......point barre.
> > +100
>
> Pas sur ce coup. Point barre. :-)

Ajoutons le fait de la réticence de l'opérateur à ne pas envoyer le mac spadden là ou il devrait aller ( pour plus de maitrise) et tu as une compaction coronaire de la gutta et la pointe non compactée scellée scellée. J'imagine le stress de l'étudiant qui apprend cette technique, franchement il n'a pas besoin de ca ! . -))))

Tu disais ? -))))


Marque a3 orange fyvhyq - Eugenol
Marc Apap

20/12/2014 à 13h35

Puisque nous restons chacun sur notre position, j'aimerais juste, pour information, savoir comment tu introduis ta pâte dans le canal. Et ensuite, je ne dirais plus rien. Merci d'avance !