Cookie Consent byPrivacyPolicies.comthermocompaction: quel ciment de scellement - Eugenol

thermocompaction: quel ciment de scellement

pointG

21/12/2014 à 12h46

Quelques réponses -suggestions;cela fait quelques
décennies (Schilder Laurichesse etc)+ de nombreuses
soirées et congrès SFE que l'on nous répète la
nécessité de faire une obturation tridimensionnelle
après parage sous hypochlorite pour une bonne endo.
pour éviter une percolation bactérienne et obtenir une étanchéité apicale (et on nous explique de fermer au plus vite
l'obturation coronaire.
Comme Marc Apap l'explique la méthode compactage "mac spadden"
est une des méthodes de choix pour l'obturation 3D,sans
doute le meilleur rapport qualité-prix/Mais effectivement
cela ne va pas sans risques ou inconvénients si le "tug-back"
n'est pas top....J'ai quelques cas négatifs de dépassements de pâte ou gutta dans le périapex.Le thermocompacteur peut
casser heureusement souvent très haut vers le mandrin ,donc facile à retirer.On doit effectivement éviter de passer le
thermocompacteur dans une courbe prononcée (sans doute la limite du système)
autrement je passe le compacteur à LT-4mm +sealite regular
sur le cône à l'apex et les 4 derniers mm vers l'apex sont
les plus importants (c'est là ou se trouvent les deltas apicaux le plus souvent)le système B est sans doute meilleur
mais je trouve techniquement difficile pour être reproductible à chaque fois;
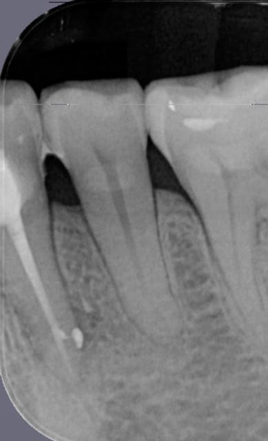
chicot 29 montre une endo abandonnée depuis 3 ans sans lésion apicale;mais cela ne montre pas les percolations bactériennes et cette dent (outre une bonne carie mésiale
et peut être élongation coronaire nécessaire) va avoir
besoin d'un IC;donc en obtenant une étanchéité coronaire
on risque une flambée bactérienne;Donc le RTE est indispensable dans un but prothétique;
C'est le problème de l'étancheité 3d ;cela m'est arrivé après des RTE sous hypo+compactage mac spad,d'avoir des
réveils de la lésion apical sans bruit mais présente radiologiquement;être obligé à une prescription antibio
Par contre après la semaine difficile pour le patient
la dent redevient normale avec souvent guérison des LIPOE
à 95%


Capture d  cran 2015 03 12 12.28 - Eugenol
chicot29

21/12/2014 à 13h48

pointG écrivait:
----------------

> chicot 29 montre une endo abandonnée depuis 3 ans sans lésion apicale;mais cela
> ne montre pas les percolations bactériennes et cette dent (outre une bonne carie
> mésiale
> et peut être élongation coronaire nécessaire) va avoir
> besoin d'un IC;donc en obtenant une étanchéité coronaire
> on risque une flambée bactérienne;Donc le RTE est indispensable dans un but
> prothétique;

Ah ? C'est sur que les bactéries font des aller-retour dans le traitement canalaire viennent prendre une bouffée d'oxygène en surface et redescendent mais bizarrement s'arrêtent à l'apex. -)))))


pointG

21/12/2014 à 15h01

et donc comme le dit si bien "chicot 29" la dent abandonnée
à la salive est oxygénée ;obturation canalaire non hermétique
et dans ce cas il n'y a pas eu (pas encore???) de lésion
apicale Heureusement pour nous il n'y a pas toujours des
lA et les bactéries ne sont pas toujours en phase aigues et
en pleine virulence;il est certain que fermer la racine de
manière 3d est risqué sans une grosse désinfection hypo
avant avec un champ caoutchouté pour maintenir la désinfection
chlorée pendant le RTE.


levm

21/12/2014 à 19h07

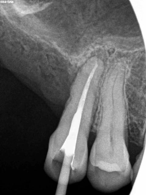
La thermocompaction , ce n'est pas si dur que cela .
Moi j'obtiens de bons résultats radio avec .
Je prends en general une cone en place scellée pour verifier que tout est ok au niveau radio.
Puis je thermocompacte et j'ai souvent des puffs apres .

Le canal meme aprés une preparation n'est pas a 100% conique .
Quand on découpe obturée en monocone , il existe parfois des espaces entre la gutta et le canal.
La preparation canalaire ne peut pas tout faire .

Capture d  cran 2014 12 21   18.01 - Eugenol

Capture d  cran 2015 03 12 12.28 - Eugenol
chicot29

21/12/2014 à 20h03

Dis donc tu as toujours des puffs latéraux avec la thermo compaction ? Est tu sur qu'il n'y a pas d'autres canaux latéraux ?


Licorne

22/12/2014 à 00h25

C'est bizarre j'ai les memes sans technique de condensation.
Avec cette derniere je pourrais en avoir plus peut être.
Mais bon!
Pour la même dent et sur le même patient...qui peut savoir?



Dsc05680 medium aphmfg - Eugenol
BasArtDentaire

22/12/2014 à 09h37

Discussion intéressante (et fort agréable à lire).

Pour revenir uniquement sur les puffs apicaux et canaux latéraux, leur obtention est plus dépendant de l'irrigation.
La préparation mécanique ne concerne pas les canaux accessoires (directement dirons nous, puisse qu'elle a une action sur la suite). C'est l'irrigation et l'élimination de la boue dentinaire qui permet leur obturation.
Toute la dificulté étant de réaliser une bonne irrigation dans le 1/3 apical.


cheval de troie

22/12/2014 à 12h32

Bon avant et après GC. Sur les canaux en 8 balèzes c'est chiant de condenser et d'avoir cette sensation de remontée du GC.( GC de 40)

1 ir7utf - Eugenol
2 lu9rz8 - Eugenol

Licorne

22/12/2014 à 16h23

cheval de troie écrivait:
-------------------------
> Bon avant et après GC. Sur les canaux en 8 balèzes c'est chiant de condenser et
> d'avoir cette sensation de remontée du GC.( GC de 40)

Ok! Densité améliorée de l'obturation.( previsible heureusement)
Rien de plus dans ce cas précis au niveau du 1/3 apical.
merci à notre ami.