Cookie Consent byPrivacyPolicies.comérosion interne? - Eugenol

érosion interne?

stefnoumea

09/01/2015 à 05h05

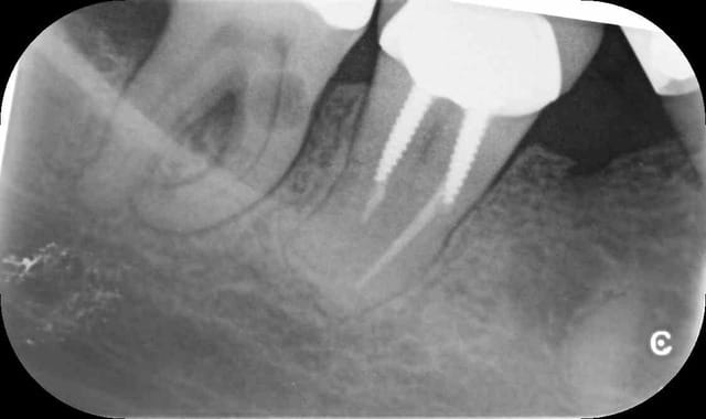
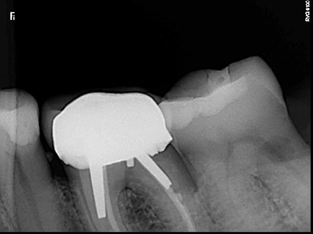
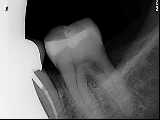
Bonjour, la patiente présente les signes d'une pulpite débutante sur 37 et à la radio j'ai trouvé çà : une lacune (érosion interne?) de forme atypique...j'ai pris plusieurs clichés avec angulations différentes.
Quelqu'un sait il ce que c'est ? Le diagnostic ? J'envisage le TC, des précautions particulières ?
Merci.

37 agulation distale ankhba - Eugenol
37 angulation m siale ynhqin - Eugenol
37 ortho rkjsrl - Eugenol

endoz

09/01/2015 à 07h01

Bonjour.
as tu vérifié la face vestibulaire de la racine distale? Probable carie radiculaire.


Darmon - Eugenol
Latin

09/01/2015 à 09h47

Si ce n'est pas une lésion externe (noter la perte osseuse au niveau de la racine distale), ce serait plus une résorption interne qu'une érosion interne, non?


Vw campersurfvan bmnk1q - Eugenol
enlaye

09/01/2015 à 09h55

une mylolyse interne ? lacune avec des angles nets


stefnoumea

09/01/2015 à 12h26

Je confirme, aucune lésion externe vestibulaire, distale ou linguale. Résorption interne ou lacune à angles nets, quelles sont les causes ? Traitement spécifique ou endo traditionnelle ? (je suis la patiente en paro depuis plusieurs années).


Images 3 nesubi - Eugenol
zizine78

09/01/2015 à 12h58

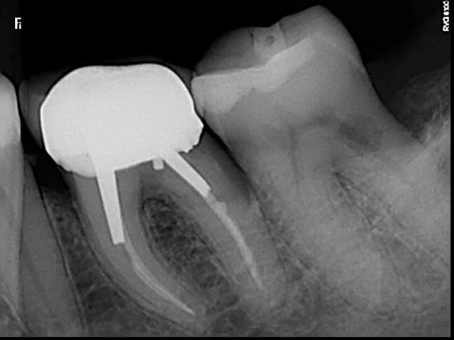
La faute revient probablement au dentinoclastes, je temporiserais à l'hydroxide de ca pendant un mois puis obturation à la gutta chaude.


Avatar eugenol pe0ymx - Eugenol
nicklebenou

09/01/2015 à 13h11

slt à toi. il semble s'agir d'une résorption interne.
POur confirmer ton diagnostic tu dois avoir 2 rétro alvéolaires dont une décentrée de 30°. Tu peux également faire un conbeam bien que pas indispensable.
Le traitement est simple il faut faire le traitement canalaire car l'évolution de résorption interne est plus rapide qu'une externe. obturation gutta chaude.


Vw campersurfvan bmnk1q - Eugenol
enlaye

09/01/2015 à 13h40

a mon avis il y a une grande cause occlusale .
il serait interessant de voir les arcades dans la totalité.


stefnoumea

11/01/2015 à 08h17

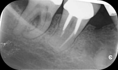
nicklebenou : oui c pour etre sure que j'ai pris 2 autres clichés un distalé et un mésialé.
Donc résorption interne, les dentinoclastes s'énervent on ne sait pas vraiment pourquoi. Je ne pense pas à une cause occlusale. Patiente totalement dentée, pas de signes, sa spécificité est plus sa pathologie parodontale. Ce peut il etre la cause ?
Bref, je vais faire le TC, avec temporisation hydroxyde de Ca pendant 1mois, puis gutta chaude.
Merci, je vous tiendrai au courant.


Vw campersurfvan bmnk1q - Eugenol
enlaye

11/01/2015 à 12h05

stefnoumea écrivait:
--------------------
Je ne pense pas à une cause occlusale. Patiente totalement dentée, pas de signes,


la mylolyse en est un ...
cette lacune est du meme genre non ?
les signes de causes occlusales n' etant pas forcement articulaires


Img 9301 q0yyqn - Eugenol
Art-dent

11/01/2015 à 18h15

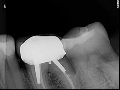
Entre la première et la deuxième radio, tu as clairement un décalage de la lésion.
De plus les contours du canal distal sont très nets sur toutes les radios
On devine une résorption osseuse sur cette racine distale

Donc pour moi tout indique que c'est externe

--


Avatar eugenol pe0ymx - Eugenol
nicklebenou

11/01/2015 à 18h42

Finalement oui je révise mon diag et pense à une externe aussi.
Même si je n'en suis pas certain à 100%. On voit bien le canal distal défini en effet derrière la lésion de résorption. Après je pense que les clichés sont décalés ne le sont pas assez pour se faire une meilleure idée mais il semble que la lésion soit décalée entre les clichés 1 et 2 par rapport au canal donc externe aussi.
Je ferai un CBCT pour vérifier le point d'entrée et voir pour la suite.


stefnoumea

13/01/2015 à 08h56

C'est vrai que mes clichés ne sont pas assez décalés mais j'ai bien examiné la dent et la patiente à un parodontite chronique généralisée. Bref, je pense toujours à une résorption interne, verdict vendredi, à suivre...


stefnoumea

08/02/2015 à 04h44

J'ai finalement fait faire un cone beam qui a révélé, selon le confrère qui l'a effectué, une lésion externe infra osseuse au niveau mésio-vestibulaire de la racine distale (en inter radiculaire). Dent à extraire selon ce confrère à qui je fais confiance et qui lui aussi n'avait jamais vu çà. Malheureusement, la patiente a gardé le cone beam et est allée prendre un 3eme avis. Je n'ai pas eu de nouvelles mais je voulais vous tenir au courant, merci pour vos avis.


Avatar eugenol pe0ymx - Eugenol
nicklebenou

24/02/2015 à 23h24

stefnoumea écrivait:
--------------------
> J'ai finalement fait faire un cone beam qui a révélé, selon le confrère qui l'a
> effectué, une lésion externe infra osseuse au niveau mésio-vestibulaire de la
> racine distale (en inter radiculaire). Dent à extraire selon ce confrère à qui
> je fais confiance et qui lui aussi n'avait jamais vu çà. Malheureusement, la
> patiente a gardé le cone beam et est allée prendre un 3eme avis. Je n'ai pas eu
> de nouvelles mais je voulais vous tenir au courant, merci pour vos avis.

merci de nous avoir confirmé le diag.
vu l'entrée de la lésion c est sûr que ça semble pas jouable.


Img 9301 q0yyqn - Eugenol
Art-dent

25/02/2015 à 10h39

Merci pour ce retour!

En effet, aucun traitement conservateur ne sera efficace malheureusement. Le risque principal c'est de perdre en volume osseux autour de cette résorption et donc de compromettre son remplacement par une solution implantaire, cependant une fois la patiente informée de ça il n'y pas d'urgence à extraire cette dent.

Dommage qu'elle demande un 3eme avis, la confiance est sans doute perdue

C'est une image typique de résorption externe, ci joint un cas récent d'un confrère qui me demandait mon avis également sur le même type de lésion, il m'a transmis la photo de la dent après l'extraction. La décision d'extraire a été prise car une atteinte osseuse de la furcation commençait. La dent était elle complètement asymptomatique et répondait tout à fait normalement au test de vitalité, car la résorption externe préserve en général le tissus pulpaire

--

27.01 - Eugenol
Dsc 0003  2  brgyqo - Eugenol