Cookie Consent byPrivacyPolicies.comdemande d'avis - Eugenol

demande d'avis

tT

12/01/2015 à 20h36

bonsoir

Eugenol egl0mo - Eugenol

MHC

12/01/2015 à 20h50

une brosse à dents sinon rien.

ça veut dire quoi état du parodonte?

avant de traiter, il faut un diagnostic et un pronostic, global et dent par dent.


Kon nx3ojp - Eugenol
Kon

12/01/2015 à 21h27

titou1705 tes post c'est du foutage de gueule. Je sais pas comment il y a encore des gens pour te répondre.


titou1705

12/01/2015 à 22h20

je vois que personne veut m 'aider dans ce forum


La mule ynmlik - Eugenol
la mule

12/01/2015 à 22h59

tu es denturologue?


eusebius

13/01/2015 à 09h25

de bio compos, cela serait déjà pas mal du tout :-))


Darmon - Eugenol
Latin

13/01/2015 à 10h10

1) OHM
2) détartrage +/- assainissement paro
2) soins conservateurs : compo et endo
3) prothèse.



titou1705 écrivait:
-------------------
> je vois que personne veut m 'aider dans ce forum

?!?


G-P

13/01/2015 à 10h26

+1 titou tu te fous du monde.
On ne pose pas une question comme ça. Expose ton diagnostic et ton plan de traitement? Qu'on parte de quelquechose.


colza2

13/01/2015 à 11h21

comme l'a dit kon il faudrait nous en dire juste un peu plus sur toi afin que l'on puisse mieux t'aiguiller en fonction de ta situation.


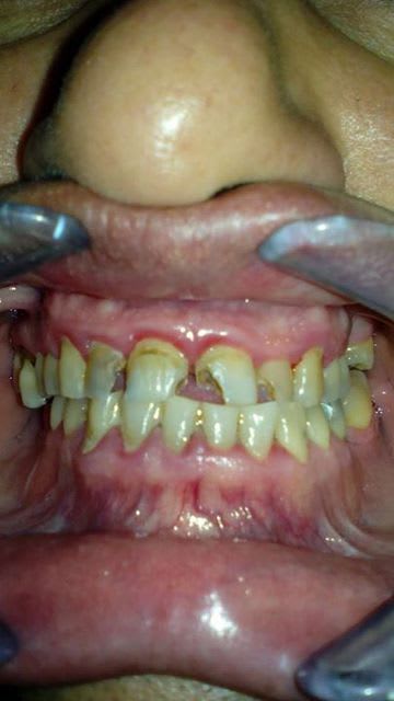
Img 0812 mvp6i0 - Eugenol
jeamba

13/01/2015 à 11h52

Moi je vais t'aider, demande lui d'aller voir un dentiste.


tT

14/01/2015 à 19h17

le problème


Img 0812 mvp6i0 - Eugenol
jeamba

16/01/2015 à 00h15

En fait je me suis finalement penché sur ton cas et en observant bien ton patient je me suis rendu compte que le regard est spontanément dirigé vers le pif ce qui fait qu'on ne remarque même pas les dents. Moi c'est sur le tarin que je focalise ma réflexion. Comme quoi des fois la nature nous aide sans qu'on la sollicite.