Cookie Consent byPrivacyPolicies.comcas clinique: a votre avis? - Eugenol

cas clinique: a votre avis?

Blocperso talon jer3sl - Eugenol
mrquentin

13/01/2015 à 16h05

bonjour
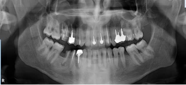
Mr X se présente en consultation le 18/11/14 pour des douleurs sect 1, que je localise sur 16. BElle couronne en bouche, pas d'endo malheureusement à la radio. la dent présente une mobilité 2. je lui fais une devis RTE IC CCM.
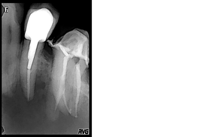
Puis le 08/12/14 je fais la dépose, le rte sous digue. je n'arrive pas à trouver de MV2, ni à aller jusqu'à l'apex de la racine palatine. j'obture., et met un cavit
le 08/12 je fais l'empreinte pour la ccm, prévu à la pose le 15/12.
Le jour de la pose, le patient dit avoir vraiment supe mal et avoir dégusté ces derniers temps. Supicieux, je me demande si, en fait, je ne suis pas passé à coté du MV2. là, je le trouve presque immédiatement. pas le temps de reprendre, je travaille vite fais l'entrée pour pas galerer à le retrouver la fois suivante, mets un pulpéril et mise sous ATB pour les fetes de noel.
Aujourd'hui le 13/01/15: rdv pour faire le MV2, et poser l'ic ccm.
etlà, en bouche, 2 gros abcès , l'un à l'apex de 15, l'autre un peu en distal de l'apex de 16. les 2 fistules sont distantes de presque 1 cm. Le patient dit avoir toujours un peu mal.
J'essaye de reprendre le MV2 quand meme: ma lime progresse et je bloque à un moment.
du coup, je fais une radio lime en pace. et là: je crois que je suis dans un faux canal. Moi, les faux canaux, j'arrive jamais à les passer. j'obuture donc là ou je juis après avoir bien irrigué.
Je prends alors des radios avec les 2 cones de guttas dans chaque fistule. JE les enfonce à fond, et le trouve la première radio (les 2 cones se rejoignent).
j'enlève le capteur, verifie que les cones sont bien à fond et qu'ils ont pas bougés, et là: surprise, ils peuvent à nouveau s'enfoncer. je pense que j'aurais pu les mettre jusqu'à la garde.... 2 eme radio.
JE remets la provisoire, et fais une pano (encore), pour voir si qque chose est apparant.
Note: le patient est enruhmé depuis 4 jours.
Le patient dit que la douleur a pas bougé depuis qu'on s'est vu le 15/12.
A la manoeuvre de vasalva, pas de pu qui sort des fistules.
La dent est mobilité 1 aujourd'hui.
PAS de sondage.

Je lui ai donc prescris un scanner en urgence qu'il doit faire cet après midi, car:
Je pense que mes cones de gutta sont allés dans mon sinus, qui a une sinusite, et que cette communication bucco sinusienne n'est pas d'origine dentaire: cancer?
Mais: n'explique pas pourquoi la mobilité a diminué. de plus, le patient a un rhume depuis 4 jours seulement.
Des avis, reflexions, avis sur l'origine des fistules?
n'hésitez pas à partager votre expérience et votre avis, meme en disant "je sais pas"

Pano1 ismr1r - Eugenol
Pr  op w1yhiu - Eugenol
Post op yoe5nw - Eugenol
Mv2 wva7f5 - Eugenol
Post op 2 outjqc - Eugenol
Cones gutta 1 pkfu1s - Eugenol
Cones gutta 2 jhnnyy - Eugenol
Pano 2 z54nii - Eugenol
100 0228 vvtb6q - Eugenol
100 0237 a8szpj - Eugenol

Blocperso talon jer3sl - Eugenol
mrquentin

13/01/2015 à 16h11

je sais pas comment changer la rubrique de mon post...


Hok 1b hgd3rj - Eugenol
Hokusai

13/01/2015 à 16h23

la qualité de tes rétro-alvéolaires est assez étrange... elles sortent comme ca sur ton écran ? C'est tout flou, y'a aucune netteté, on distingue aucun détail.


Blocperso talon jer3sl - Eugenol
mrquentin

13/01/2015 à 16h25

Hokusai écrivait:
-----------------
> la qualité de tes rétro-alvéolaires est assez étrange... elles sortent comme ca
> sur ton écran ? C'est tout flou, y'a aucune netteté, on distingue aucun détail.

oui c'est comme ca sur l'écran. c'est un coup d'oeil à prendre mais on s'y fait.


eusebius

13/01/2015 à 17h50

et au premier rdv pas de fistule?


 mg 0207 xwjxcl - Eugenol
Tillc

13/01/2015 à 17h56

Tu as bien fait pour le scanner. Il faut commencer par ca .
Perso ce qui me heurte dans la radio c'est la difference de volume entre les sinus droit et gauche.
Apres un kyste, un CE ou je ne sais quoi peut importe


Utilisateur banni

13/01/2015 à 18h11

Bonjour,
Pas de coque du plancher sinusien visible sur les rx, à priori énorme destruction osseuse depuis 17 jusque 14, avec également masse radio dense grise de la taille d'une balle de ping pong mais de forme alongée.
J'ai bien peur devant le tableau que la notion de cancer ne soit pas facilement écartable, surtout si douleurs d'apparition rapides.
Sinon je rejoint ce qui est dit mauvaise qualité rx donc dur à interpréter


Blocperso talon jer3sl - Eugenol
mrquentin

13/01/2015 à 18h14

eusebius écrivait:
------------------
> et au premier rdv pas de fistule?

Ni au premier, ni au second, ni rien... aujourd'hui seulement


Blocperso talon jer3sl - Eugenol
mrquentin

13/01/2015 à 18h23

je viens de tel au radiologue: " le kyste est énorme et englobe 17 16 et 15, mais les corticales semblent préservées".


Darmon - Eugenol
Latin

13/01/2015 à 18h26

mrquentin écrivait:
-------------------
> Hokusai écrivait:
> -----------------
> > la qualité de tes rétro-alvéolaires est assez étrange... elles sortent comme
> ca
> > sur ton écran ? C'est tout flou, y'a aucune netteté, on distingue aucun
> détail.
>
> oui c'est comme ca sur l'écran. c'est un coup d'oeil à prendre mais on s'y fait.

Regarde surtout si tu ne peux pas changer le format d'enregistrement de tes radios. J'ai déjà vu ce type rendu, mais je ne sais plus sous quel format.


damienB

13/01/2015 à 20h35

cancer ??? ça m'étonnerait !
sur la première pano, on voit une grosse image radio claire de 17 à 14 a priori. ça serait intéressant de voir deux ou trois coupes du scanner ou le cone beam, mais je pense à un banal kyste d'origine dentaire très probablement en rapport avec la 16 d'autant que l'extension semble se faire en distal.
le kyste peut très bien refouler et respecter le plancher sinusien, dans ce cas les cones sont dans le kyste.


le bébé devait grossir bien tranquillement depuis des années et ton RTE a mis un coup de pied dans la fourmilière ! maintenant, à voir selon l'image 3D, mais commence par extraire la 16 et bien tout cureter (risque de CBS majeur évidement même si le kyste n'a fait que refouler le sinus).

ensuite surveillance vitalité 17, et réévaluation des volumes osseux avant remplacement de 16 (bridge ou implant)


G-P

13/01/2015 à 23h59

Moi je ne comprends pas ce qui pousse un dentiste à proposer un IC et une CCM sur une dent mobilité deux. Et à continuer malgré un échec endo.


Blocperso talon jer3sl - Eugenol
mrquentin

14/01/2015 à 00h08

Ben la grosse majorité du temps quand tu as une grosse pêche, ta dent présente une mobilité augmentée par rapport aux autres, mais des que tu traite ( rte et Atb) la mobilité disparaît.... Au vu de l endo inexistante, je me suis dit que c était un cas classique. Quand j ai vu que j avais pas vu le mv2, je me suis dit que c etait ca qui était a l origine des douleurs, et que le traitement résoudrait le pb de douleurs. De plus, accessoirement, aujourd'hui la dent était PARFAITEMENT immobile ( CQFD) et la ccm était déjà faite. De tte maniere, quand ca tourne mal, comme ici, même si j avais posé l ic ccm, et que je dois extraire la dent puis poser un implant après, je déduis l intégralité. Donc ca n engage que moi de choisir de mettre une ccm immédiatement.
Apres, pourquoi tu dis que je continue malgré un echec endo? J ai différé 2 fois la pose de la ccm; pour finir par ne pas la poser.... Maintenant, ce que je comprends pas, moi, c est ce que tu aurais fais, toi?


Blocperso talon jer3sl - Eugenol
mrquentin

14/01/2015 à 10h48

Mis à part ca, si je dois extraire et cureter le kyste, je vais devoir cureter la membrane sinusienne ad fond, d ou une CBS évidente.... Pensez vous qu il faille cureter en caldwell Luc, ou en accès alvéolaire uniquement? Pensez vous que fermer l accès alvéolaire avec un lambeau serait suffisant? ( en supposant que pour tout cureter, il faudrait effondrer l os inter radiculaire avec une fraise boule os pour passer mes curettes) je sais que parler de ca sans scanner, ca sert a rien, mais ca permet de faire travailler les méninges... Dès que j ai le scan je le mets


G-P

14/01/2015 à 15h58

En admettant que la dent soit mobile + image apicale + échec endo, le strict minimum est de laisser une couronne provisoire quelques mois avec une RCR étanche. Tu ne penses pas que se précipiter pour faire la CCM est un peu hasardeux ? Tu dis quoi à ton patient si la dent est à extraire 3 mois après avoir posé la CCM ?


damienB

14/01/2015 à 20h25

mrquentin écrivait:
-------------------
> Mis à part ca, si je dois extraire et cureter le kyste, je vais devoir cureter
> la membrane sinusienne ad fond, d ou une CBS évidente.... Pensez vous qu il
> faille cureter en caldwell Luc, ou en accès alvéolaire uniquement? Pensez vous
> que fermer l accès alvéolaire avec un lambeau serait suffisant? ( en supposant
> que pour tout cureter, il faudrait effondrer l os inter radiculaire avec une
> fraise boule os pour passer mes curettes) je sais que parler de ca sans scanner,
> ca sert a rien, mais ca permet de faire travailler les méninges... Dès que j ai
> le scan je le mets

attends de voir le scan. si ça se trouve le plancher sinusien n'est que refoulé et il n'y aura même pas de CBS.
pareil pour l'envahissement autour des collatérales, le scan te donnera une idée très précise de l'abord nécessaire.
mets nous les radios quand tu les as, c'est intéressant.

en tout cas faire un accès vestibulaire me parait vachement délabrant. si le kyste a déjà bouffé une bonne partie du support osseux, si tu fais une ostéotomie d'abord en plus, il va pas te rester grand chose !

j'ai pensé à toi ce matin car j'ai eu un cas similaire, la lésion était sur 16 et englobait la racine de la 15 et les racines P et MV de 17, je m'en suis sorti par voie alvéolaire avec une batterie de curettes alvéolaires et parodontales, et au final, malgré une grosse perte osseuse, pas de CBS !


Blocperso talon jer3sl - Eugenol
mrquentin

14/01/2015 à 22h52

G-P écrivait:
-------------
> En admettant que la dent soit mobile + image apicale + échec endo, le strict
> minimum est de laisser une couronne provisoire quelques mois avec une RCR
> étanche. Tu ne penses pas que se précipiter pour faire la CCM est un peu
> hasardeux ? Tu dis quoi à ton patient si la dent est à extraire 3 mois après
> avoir posé la CCM ?

Y avait pas d image apicale, et on dit qu il y a echec endo en cas de lésion ou de douleurs... Et comme je t ai déjà dit, en cas d extraction, je déduis la totalité de l ic ccm sur le prochain implant. Personnellement, je trouve que c est mieux que de risquer de perdre un patient ds la nature avec une couronne provisoire pas étanche qui risque la reprise carieuse.... Perso mes travaux y a une continuité, si un patient ( comme hier) vient me voir en disant que son inlay lui fait mal depuis la pose il y a presque 1 an a chaque fois qu il boit ou mange, qu il a pas voulu revenir avant mais que là c est trop pénibl, je refais gratos. Comme beaucoup de monde je pense.


Blocperso talon jer3sl - Eugenol
mrquentin

15/01/2015 à 18h51

ALors? faisable en cab ou pas?

100 0242 ykl54n - Eugenol
100 0239 e8iqyw - Eugenol
100 0244 jqiuru - Eugenol
100 0246 zajevt - Eugenol
100 0241 xcf8hl - Eugenol
100 0240 h5qp8d - Eugenol
100 0243 njsenm - Eugenol
100 0247 n13vtf - Eugenol

G-P

15/01/2015 à 21h21

Si tu te poses la question, c'est que non ;=)


S2y2o1v7q53ws4r5wy6ou8czrpom - Eugenol
pxav

15/01/2015 à 21h42

à chacun son boulot: ORL

--
xbk
"Si tous ceux qui croient avoir raison n'avaient pas tort, la vérité ne serait pas loin" Dac Pierre


damienB

15/01/2015 à 23h02

mrquentin écrivait:
-------------------
> ALors? faisable en cab ou pas?

bingo ! j'avais bon ;-)
volumineux mais banal kyste dentigère qui a refoulé le plancher du sinus sans l'envahir (à confirmer peut être à l'anapath)! il va être content le Monsieur de savoir qu'il a pas un cancer ;-)

avec un peu de bol et en y allant délicatement, il n'y aura peut être même pas de cbs. par contre, ça va lui faire une joli trou trou ! je pense qu'au niveau de la 16 le peu de corticale vestibulaire qui reste va partir en sucette. ça va être chaud pour passer la curette au dessus de la 17 et de la 15 en passant par l’alvéole de la 16, même élargie en vestibulaire. enlever le kyste "à l'ancienn" en virant les denst et en explosant la table externe, c'est pas difficile, le faire en conservant un maximum de dents et en préservant au maximum le tissu osseux résiduel, c'est beaucoup plus chaud !

y aller ou pas ? si l'intervention relève bien de ta capacité, à toi de voir si c'est de ta compétence. si tu y vas, il faut le cliver totalement avant de l’enlever sinon il va en rester des bouts et ça va pas bien cicatriser !

tu nous reposteras une radio dans quelques mois avec les implants en place dans le sinus reconstitué ?!


elfiss

16/01/2015 à 01h07

Personnellement je n'extrairais pas 16 ce qui permettra de ne pas avoir de communication Bucco sinusienne, de plus enlever ce kyste par voie alvéolaire semble plus qu'illusoire. Il semble plus raisonnable de passer par voie latérale pour éliminer ce kyste.Personnellement au vue de la taille du kyste, et surtout qu'il monte très haut, j'avoue que je passerais la main au stomato car il faut être capable d'ouvrir assez largement et assez haut pour éliminer la totalité du tissu kystique. Sans compter que l'artère alvéolo antrale se ballade quelque part, elle ne semble pas avoir été refoulée par le kyste.


Blocperso talon jer3sl - Eugenol
mrquentin

16/01/2015 à 13h04

j'avoue que mon intention premier était e passer par un volet sinusien pour plus de visibilité. Maintenant, le kyste étant bien accroché sur la paroi nasale et celle de la cavité orbitaire, et que ces parois sont vraiment très fines, je vais déléguer à un ORL.