Cookie Consent byPrivacyPolicies.com"un agenda ça se configure" ... - Eugenol

"un agenda ça se configure" ...

Capture d  cran 2015 03 12 12.28 - Eugenol
chicot29

18/01/2015 à 15h55

TTDAM écrivait:
---------------

> >
> >
> Écoutes, tu devrais t'adresser à Vincent63, car moi je n'ai pas de problème (ni
> avec toi ni avec les autres). J'ai des solutions.
> Dont je fais bénéficier pas mal de monde en live, pas caché derrière un clavier.
>

Je pense que l'on a pas une façon si différente de travailler. A cette différence près que je n'ai pas fait la formation IDO, ni signé tous les protocoles de France et de Navarre avec les assureurs pour piquer les patients de mes confrères au stade du devis prothétique.


Dog wwyerg - Eugenol
TTDAM

18/01/2015 à 16h22

chicot29 écrivait:
------------------
> TTDAM écrivait:
> ---------------
>
> > >
> > >
> > Écoutes, tu devrais t'adresser à Vincent63, car moi je n'ai pas de problème
> (ni
> > avec toi ni avec les autres). J'ai des solutions.
> > Dont je fais bénéficier pas mal de monde en live, pas caché derrière un
> clavier.
> >
>
> Je pense que l'on a pas une façon si différente de travailler. A cette
> différence près que je n'ai pas fait la formation IDO, ni signé tous les
> protocoles de France et de Navarre avec les assureurs pour piquer les patients
> de mes confrères au stade du devis prothétique.


Tu es tellement meilleur que moi!

--
TTDAM


Pubg2 rjl8jc - Eugenol
vincent63

19/01/2015 à 11h52

Et dans vos cabinet comment se passe le passage de l'exmaen clinique au plan de traitement ? Vosu caller des plages "redaction plan de tt", vous le faite quand le patietn sort de la salle ? vous le rediger sur papier ? sur un fichier excel ?



--
J'occluse donc je suis


Capture d  cran 2015 03 12 12.28 - Eugenol
chicot29

19/01/2015 à 12h06

Ca dépend de l'importance du ptt.


Images jm2g2g - Eugenol
dr_0le

19/01/2015 à 12h11

chicot29 écrivait:
------------------
> Ca dépend de l'importance du ptt.

+1
pour une couronne, l'assistante s'en occupe..
bridge sur implant, plusieurs couronnes, je l'explique au patient au bureau, lors d'un rdv exclusivement dédié au plan ttt/devis...

ce n'est pas au fauteuil que l'on gagne notre vie, mais au bureau en expliquant les devis..


Capture d  cran 2015 03 12 12.28 - Eugenol
chicot29

19/01/2015 à 12h14

exemple :

Mobilité 31 (motif de la consultation); plan d'occlusion HS ( égression ).

Patient n'ayant pas 10 balles (mais qui travaille pourtant mais au smic malgré la moitié de cotisations sociales il a peanuts de remboursements) avec une mutuelle de merde en plus.


Amusez vous bien.

1 tetup2 - Eugenol
2 gd4qyo - Eugenol
3 hdr60o - Eugenol
4 mbhqdp - Eugenol
5 pvz5yp - Eugenol

Nouveau image bitmap fz77zh - Eugenol
Sethef

19/01/2015 à 12h29

Chez nous sur une journée de 7h, on garde 3h de prothèse et 45 min de plages d'urgence, déplaçables sans importance. Si les plages de prothèse ne sont pas remplies une semaine avant, on les ouvre aux autres rdvs. Tout simple.

Le bilan est fait lors de la première consult, radios si nécessaire, motivation à l'hygiène pendant le détartrage, gestion de l'urgence si nécessaire, puis explications/devis au bureau.
Le plan de traitement est dicté à l'assistante pendant le détartrage également.
Dès que le patient est ok sur le plan de traitement, on fixe immédiatement la série de rdvs. Pas de lapins sur les gros rdvs, quand on a un absent c'est la plupart du temps un nouveau ou un contrôle ("pas important").


Nouveau image bitmap fz77zh - Eugenol
Sethef

19/01/2015 à 12h31

chicot29 écrivait:
------------------
> exemple :
>
> Mobilité 31 (motif de la consultation); plan d'occlusion HS ( égression ).
>
> Patient n'ayant pas 10 balles (mais qui travaille pourtant mais au smic malgré
> la moitié de cotisations sociales il a peanuts de remboursements) avec une
> mutuelle de merde en plus.
>
>
> Amusez vous bien.
>


Ben, totale et subtotale. Hey, what did you expect?


Capture d  cran 2015 03 12 12.28 - Eugenol
chicot29

19/01/2015 à 12h31

dr_0le écrivait:
----------------
> chicot29 écrivait:
> ------------------
> > Ca dépend de l'importance du ptt.
>
> +1
> pour une couronne, l'assistante s'en occupe..
> bridge sur implant, plusieurs couronnes, je l'explique au patient au bureau,
> lors d'un rdv exclusivement dédié au plan ttt/devis...
>
> ce n'est pas au fauteuil que l'on gagne notre vie, mais au bureau en expliquant
> les devis..

Tu peux toujours t'accrocher et expliquer avec un cas comme ci dessus. Les Francais à 95 % n'ont plus un radis et comptent sur la" solidarité " du système qui est complètement en vrac ( bases de remboursement sécu de prothèses dentaires gelées depuis 27 ans, cotisations mutuelles en hausse vertigineuse). Alors la faute retombe sur le cochon de dentiste qui "vend" sa prothèse trop chère.


Ce pays est foutu.

"La seule chose que le socialisme ait jamais faite pour les pauvres est leur donner beaucoup de compagnie."


RépondreCiter
G-P

19/01/2015 à 13h55

Tu exerces dans un endroit qui a l'air particulièrement sinistré chicot29, mais ce n'est pas le cas de dr_Ole c'est le moins qu'on puisse dire :)))


Capture d  cran 2015 03 12 12.28 - Eugenol
chicot29

19/01/2015 à 14h13

Sethef écrivait:
----------------
> chicot29 écrivait:
> ------------------
> > exemple :
> >
> > Mobilité 31 (motif de la consultation); plan d'occlusion HS ( égression ).
> >
> > Patient n'ayant pas 10 balles (mais qui travaille pourtant mais au smic malgré
> > la moitié de cotisations sociales il a peanuts de remboursements) avec une
> > mutuelle de merde en plus.
> >
> >
> > Amusez vous bien.
> >
>
>
> Ben, totale et subtotale. Hey, what did you expect?

Endos + raser le secteur postérieur haut, rétablissement d'un plan d'occlusion correct avec de la fixe + Stellite bas.
Ca durera bien quelques années.


Capture d  cran 2015 03 12 12.28 - Eugenol
chicot29

19/01/2015 à 18h32

G-P écrivait:
-------------
> Tu exerces dans un endroit qui a l'air particulièrement sinistré chicot29, mais
> ce n'est pas le cas de dr_Ole c'est le moins qu'on puisse dire :)))

Faut pas exagérer.

Douleur froid secteur 4. Bilan radio ( coté 6 radios, fuck le pano pas indiqué en plus source d'emmerdes-))))) détartrage.
Ordonnance méridol souple elmex vert.

1 zhor8f - Eugenol
2 efevs3 - Eugenol
3 oiohdr - Eugenol

dolcel82

19/01/2015 à 22h52

Chicot , t utilises quoi comme angulateur pour les bitewings?


eusebius

20/01/2015 à 10h49

pour repartir sur la question initiale,

la théorie, c'est bien beau, mais de là à être capable de tout appliquer de suite??

Commence lentement pour "connaitre ton rythme":
quand tu mets un rdv au patient, déjà évalues ce que tu "aimerais "faire la séance suivante: par exemple 2 / 3 soins dans le m^me secteur + det ...

commence simplement, ne cumule pas endo +soins+ex etc..

mais par exemple 2 compos, et là ou avant tu passais 2 fois 30 minutes, tu prévois 45minutes..

tu en tentes quelques un comme cela , prévoir deux soins en 45 minutes au lieu de deux séances de 30 , ton planning va s'améliorer ...

ensuite tu rajouteras ptêtre un det, puis tu passeras à 1h pour refaire 4 incisives plus det...

et au cas par cas, tu finiras à avoir des plages horaires dédiées..


Vw campersurfvan bmnk1q - Eugenol
enlaye

20/01/2015 à 11h28

dr_0le écrivait:
----------------

" ce n'est pas au fauteuil que l'on gagne notre vie, mais au bureau en expliquant les devis.."

moi ç est au bar !!


Pubg2 rjl8jc - Eugenol
vincent63

20/01/2015 à 12h41

En effet, démarrage en douceur en ne donnant pas de rendez vous de 30 minutes d'emblée, et début d'explication au patient qu'en restant une heure la prochaine fois ça leur évite de venir 2 fois.

Le problème majeur reste la programmation de mon travail. Je commence à m'y mettre.

--
J'occluse donc je suis


Capture d  cran 2015 03 12 12.28 - Eugenol
chicot29

20/01/2015 à 13h02

dolcel82 écrivait:
------------------
> Chicot , t utilises quoi comme angulateur pour les bitewings?

Angulateur Kerr ( mega dental)

3 h7zq4f - Eugenol

Capture d  cran 2015 03 12 12.28 - Eugenol
chicot29

20/01/2015 à 13h38

eusebius écrivait:
------------------

> Commence lentement pour "connaitre ton rythme":

C'est sur. 1H pour 2 endos molaires c'est chaud, on finit par faire des conneries-))))

En espérant qu'ils soient en Y comme la 7.

3 ezcjhg - Eugenol
4 w0fyb0 - Eugenol
5 hb1jpv - Eugenol
6 qrlsxe - Eugenol
7 g5aq0k - Eugenol
8 cyv9ae - Eugenol
9 kvtqqw - Eugenol

John gp55mb - Eugenol
Faivre-rampant

20/01/2015 à 14h09

@chicot
les endos sont chouettes.
je suis encore pour ma part pas mal long quand il s'agit d'endo.

sinon c'est quoi le truc entre la 5 et la 6.


eusebius

20/01/2015 à 14h09

il fera les rc dans un second temps :_)))

tout le monde n'a pas ton efficacité naturelle


Capture d  cran 2015 03 12 12.28 - Eugenol
chicot29

20/01/2015 à 15h08

Faivre-rampant écrivait:
------------------------
> @chicot
> les endos sont chouettes.
> je suis encore pour ma part pas mal long quand il s'agit d'endo.
>
> sinon c'est quoi le truc entre la 5 et la 6.

Wed jet. Ca se pose avec une pince.


Capture d  cran 2015 03 12 12.28 - Eugenol
chicot29

20/01/2015 à 15h13

eusebius écrivait:
------------------
> il fera les rc dans un second temps :_)))

En 2 temps meme avec des ic remboursés à 320 %. ca comprime le prix des cerams. -))))

> tout le monde n'a pas ton efficacité naturelle

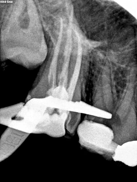
R25 + digue ca fait gagner du temps. Ceci dit dans ce cas j'ai un peu grillé les étapes ( forcé) D'ou le faux canal sur le ml de 46.


Images 3 nesubi - Eugenol
zizine78

20/01/2015 à 15h34

Trop fort mon Chicot! Même la radio sépia, les photos et le faux canal sont beaux!


Capture d  cran 2015 03 12 12.28 - Eugenol
chicot29

20/01/2015 à 17h07

Une heure pour celle là , comme quoi, ca varie....

1 ankyvr - Eugenol
2 oq5jta - Eugenol

jeff13

20/01/2015 à 19h58

c'est quoi la marque de ta camera buccale? C'est toujours tres propres tes photos