Cookie Consent byPrivacyPolicies.com"un agenda ça se configure" ... - Eugenol

"un agenda ça se configure" ...

Capture d  cran 2015 03 12 12.28 - Eugenol
chicot29

20/01/2015 à 22h14

clearstream cs 1500.


Prehome gif anime lfnqnl - Eugenol
fredledragon

20/01/2015 à 22h24

au putaing cong, tu as trempé dans l'affaire clearstream!


Capture d  cran 2015 03 12 12.28 - Eugenol
chicot29

20/01/2015 à 22h26

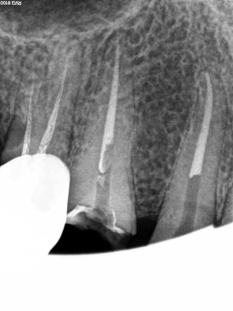
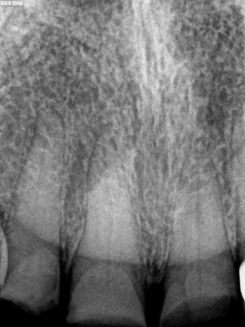
Et 2 autres pour terminer la journée. Ca fait 5 endos molaires aujourd'hui.
Pas trouvé de MV2 sur la 7.

1 uwjr89 - Eugenol
2 s5ubas - Eugenol
3 hcoxgg - Eugenol
4 rverzf - Eugenol

4a338550 6a5b 47ea b2a7 d3cb675c5076 oni5gh - Eugenol
fistule69

22/01/2015 à 10h10

Pour info Chicot, motivation de ton choix pour ta caméra ?
Je teste les chinoises, mais des bugs sur la gestion de l'USB!
Sopro, Durr, Kodak ?


Capture d  cran 2015 03 12 12.28 - Eugenol
chicot29

22/01/2015 à 10h19

Motivation ? ben, j'ai kodak en imagerie -)))))


4a338550 6a5b 47ea b2a7 d3cb675c5076 oni5gh - Eugenol
fistule69

22/01/2015 à 10h28

Bonjour Chicot,
C'est vrai que tes images ( et tes endos ...) sont très propres !
Mais ça, tu le sais déjà ( petit mégalo ...)

PS : j'ai merdé sur des racines mésiales très courbes sur une 6 du bas, planté comme une merde au 1/3 sup, malgré ta méthode SX, S1, R25, des infos ?
J'ai vu une de tes RX ressemblant fortement récemment, mais à l'apex, pas comme moi !
:-(
Bonne journée à toi !


Capture d  cran 2015 03 12 12.28 - Eugenol
chicot29

22/01/2015 à 13h35

Ceci est exceptionnel, faut pas forcer, récapituler ( S1,R25) sans forcer lime manuelle si nécessaire.


Capture d  cran 2015 03 12 12.28 - Eugenol
chicot29

22/01/2015 à 13h38

Endo taille empreinte provisoires 2H 30.

1 sisdzg - Eugenol
2 p7nqcb - Eugenol
3 aiq3mz - Eugenol
4 g8lwxm - Eugenol
5 uzqcvk - Eugenol
6 rq0wpr - Eugenol
7 qcsxlu - Eugenol
8 ji828d - Eugenol
9 opc6bm - Eugenol
10 p1ynkg - Eugenol
11 htbjh9 - Eugenol
12 p1ddmz - Eugenol
13 ismz2n - Eugenol
14 t3nvue - Eugenol

4a338550 6a5b 47ea b2a7 d3cb675c5076 oni5gh - Eugenol
fistule69

22/01/2015 à 14h03

C'est chiant, tu mets la pression !
;-)

AH plus utilisé pour la première fois, on dirait de la flotte, pas de consistance pâteuse, c'est normal ?
Toujours tes prep au bistouri électrique et expasyl ?
Bonne après midi !


damienB

22/01/2015 à 15h02

chicot29 écrivait:
------------------
> Endo taille empreinte provisoires 2H 30.

tu obtures tes endo avec quoi pour pouvoir faire les préparations des tenons et les empreintes dans la même séance ?
merci


Marque a3 orange fyvhyq - Eugenol
Marc Apap

22/01/2015 à 15h08

fistule69 écrivait:
-------------------
> C'est chiant, tu mets la pression !
> ;-)
>
> AH plus utilisé pour la première fois, on dirait de la flotte, pas de
> consistance pâteuse, c'est normal ?
> Toujours tes prep au bistouri électrique et expasyl ?
> Bonne après midi !

C'est un ciment de scellement des cônes de gutta, pas une pâte à canaux à pousser au lentulo. On en utilise qu'une minigoutte et on compacte la gutta en condensation à chaud (gutta condensor, voir nombreux posts à ce sujet)


Capture d  cran 2015 03 12 12.28 - Eugenol
chicot29

22/01/2015 à 15h44

damienB écrivait:
-----------------
> chicot29 écrivait:
> ------------------
> > Endo taille empreinte provisoires 2H 30.
>
> tu obtures tes endo avec quoi pour pouvoir faire les préparations des tenons et
> les empreintes dans la même séance ?
> merci

Gutta scellée au tubuli seal avec ou sans condensation thermo mécanique.
Logement du tenon réalisé au friendo ( voir photos) qui fond la gutta ( 200 ° au niveau de l'insert) . Un coup de machtou et hop tu peux passer les forets.
Avantage tu peux faire les provisoires et l'empreinte dans la séance et surtout tu peux raser les couronnes ce qui est un réel plus pour les endos surtout avec des pulpes rétractées comme ici ca évite de faire des conneries avec un abord palatin ou on ne voit rien du tout.

6 jnxedq - Eugenol
10 h86bcq - Eugenol
11 vbsb6d - Eugenol

Morgan ztbb1b - Eugenol
BONNET jc

22/01/2015 à 17h55

c et surtout
> tu peux raser les couronnes ce qui est un réel plus pour les endos surtout avec
> des pulpes rétractées comme ici ca évite de faire des conneries avec un abord
> palatin ou on ne voit rien du tout.

CA, on voit.


Capture d  cran 2015 03 12 12.28 - Eugenol
chicot29

22/01/2015 à 18h07

Il n'y avait pas grand chose à raser de toutes façons ! Et avec notre nomenclature de merde un inlay core comprime le reste à charge. Voilà ce qui se passe quand un assureur se mêle de tarifs. En France plus on défonce les dents et plus c'est remboursé.

Ce pays est foutu.

1 hfdap7 - Eugenol

Marque a3 orange fyvhyq - Eugenol
Marc Apap

22/01/2015 à 19h18

Ben oui, c'est bien connu : en France, on rase gratis, et puis on se rattrape grâce à l'inlay core


ceel

03/11/2015 à 13h03

bonjour à tous,
j'aimerais mettre en place dans mon cabinet un agenda avec des créneaux bloc ( paro, implanto prothèse, et tout ce qui est rentable), et des créneaux hors bloc ( det, bbd, soins, extractions , endos sans prothèse,...)

j'ai quelques conseils à vous demander:

j'ai actuellement un secretariat à distance pour prendre les rdv lorsque mon assistante m'aide au fauteuil, ou quand nous sommes absents. cette gestion de l'agenda me semble un peu complexe à leur faire comprendre. me conseillez vous de me remettre au bon vieux répondeur, ou dois-je essayer de leur faire comprendre notre organisation ( sachant qu'elles sont plusieurs à répondre, et certaines sont moins vives que d'autres) ?

je n'ai pas un agenda qui déborde, je ne donne qu'un rdv, il est plein à environ une semaine. je conçois qu'il faut rester souple , si les creneaux blocs sont libres, combien de jours à l'avance y mettre du non bloc ? ( en clair j'ai mon agenda bloc vide , combien de jours à l'avance puis je y mettre des detartrages, et des compos)

quelle proportion raisonnable entrer bloc et hors bloc

merci pour vos conseils


BucaR

03/11/2015 à 17h12

chicot29 écrivait:
------------------
> Endo taille empreinte provisoires 2H 30.




les provisoires sont réalisées à partir d'un wax up labo?


tictac

03/11/2015 à 17h22

Y'a un truc que je pige pas avec la réalisation du logement dans la séance de l'endo. Pour créer le logement tu utilisesdm des forêts sous spray et donc tu mouilles ton obturation terminale pas encore sec!


Capture d  cran 2015 03 12 12.28 - Eugenol
chicot29

03/11/2015 à 18h00

A 200 ° le plugger heater le ciment de scellement de cone tubuli seal prend fissa. Et pas de spray. ( logement fait avant l'obturation au largo puis la gutta thermocompactée de la longueur du tenon est virée au plugger heater , reste à passer un foret pivomatic). En un temps ca permet de raser les antérieures avant de faire l'endo, ca dégage le champ de vision et on centre mieux pour atteindre la pulpe meme rétractée.
Toute la finesse de la dentisterie francaise économe de tissus dentaires grace à une nomenclature à la pointe de la dentisterie! -))))

Capture d e cran 2015 11 03 18.07 - Eugenol

Capture d  cran 2015 03 12 12.28 - Eugenol
chicot29

03/11/2015 à 18h05

BucaR écrivait:
---------------
> chicot29 écrivait:
> ------------------
> > Endo taille empreinte provisoires 2H 30.
>
>
>
>
> les provisoires sont réalisées à partir d'un wax up labo?

Oui. Ca prend 5 mn pour faire les 4 en auto moulage.


Cquenotte

04/11/2015 à 20h57

chicot29 écrivait:
------------------
> A 200 ° le plugger heater le ciment de scellement de cone tubuli seal prend
> fissa. Et pas de spray. ( logement fait avant l'obturation au largo puis la
> gutta thermocompactée de la longueur du tenon est virée au plugger heater ,
> reste à passer un foret pivomatic). En un temps ca permet de raser les
> antérieures avant de faire l'endo, ca dégage le champ de vision et on centre
> mieux pour atteindre la pulpe meme rétractée.
> Toute la finesse de la dentisterie francaise économe de tissus dentaires grace à
> une nomenclature à la pointe de la dentisterie! -))))

Heu ... plugger heater friendo qui chauffe tout seul ? Tu trouves ça où s'il te plait ?


cy2

05/11/2015 à 08h56

je crois que Ceel n'aura pas sa réponse...


Capture d  cran 2015 03 12 12.28 - Eugenol
chicot29

05/11/2015 à 10h39

C'était quoi la question ? -))))


Capture d  cran 2015 03 12 12.28 - Eugenol
chicot29

05/11/2015 à 10h40

Cquenotte écrivait:
-------------------
> chicot29 écrivait:
> ------------------
> > A 200 ° le plugger heater le ciment de scellement de cone tubuli seal prend
> > fissa. Et pas de spray. ( logement fait avant l'obturation au largo puis la
> > gutta thermocompactée de la longueur du tenon est virée au plugger heater ,
> > reste à passer un foret pivomatic). En un temps ca permet de raser les
> > antérieures avant de faire l'endo, ca dégage le champ de vision et on centre
> > mieux pour atteindre la pulpe meme rétractée.
> > Toute la finesse de la dentisterie francaise économe de tissus dentaires grace
> à
> > une nomenclature à la pointe de la dentisterie! -))))
>
> Heu ... plugger heater friendo qui chauffe tout seul ? Tu trouves ça où s'il te
> plait ?

Pred.

http://pro.pred.fr/index.php/produits/endodontie/condenseur-vertical-friendo.html


ceel

05/11/2015 à 12h31

cy2 écrivait:
-------------
> je crois que Ceel n'aura pas sa réponse...

merci cy2 de penser à moi !!!
je crois effectivement que je n aurai pas de réponse.
peut être que mon problème est un cas trop particulier