Cookie Consent byPrivacyPolicies.comRestauration globale - Eugenol

Restauration globale

Eldrya

18/01/2015 à 11h10

Je voudrais votre avis sur un de mes patients qui consulte pour une réhabilitation prothétique.
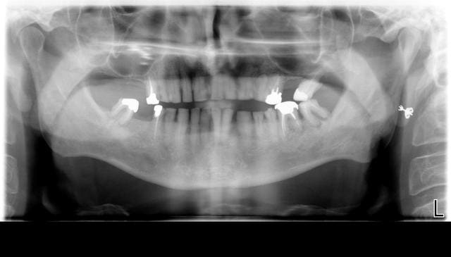
Vous trouverez ci dessous les photos des modèles d'étude (les photos sont pas terribles dslée) et la pano (27,37 et 47 ayant été extraites depuis).
En gros il a souffert de malnutrition enfant, les dents ne sont pas cariées mais super abrasées malgré une béance importante. D'ailleurs quand il ferme c'est instable car il peine à trouver un contact au niveau des prémolaires.
Je lui ai expliqué que c'était du "tout ou rien" ce qu'il a parfaitement compris par contre il ne veut pas d'amovible.
Donc ce que je pense lui proposer c'est implants à l'arrière pour les 6 à la mandibule (avec extraction de 36 préalable) et endo- Ic- couronne sur tout le reste. Comme il n'y a presque plus d'os sous les sinus j'envisage des extensions pour remplacer les 6 en solidarisant tout l'ensemble.
Du coup je ne remplacerais pas du tout les 7.
Je garde cependant une réticence à l'idée de faire des éléments en extension malgré la possibilité de s'appuyer de 5 à 5.
Qu'en pensez-vous?

Panoramique x49pip - Eugenol
Pict0004 zzihqo - Eugenol
Pict0006 masw2m - Eugenol
Pict0007 pi97lp - Eugenol

Image r6habu - Eugenol
Thomas Crown

18/01/2015 à 12h55

Ce serait sympa de voir une photo de son sourire, pour estimer les courbes dans les 3plans.
Tu as déjà marché sur des oeufs? Ben tu y es là.
Si je peux me permettre, éviter les "c'est tout ou rien" sur les gros cas comme ça.
En gardant les 7, tu avais un calage postérieur parfait, il faut le garder si possible, next time..

Le défi ici, retrouver une DV fonctionnelle qu'il ne va pas exploser tous les dimanches, car ton bruxisme est le SEUL vrai problème de ce cas.
Ensuite si tu veux que ça dure, il faudra caler, donc 2sinus lift et 4implants.

Y'a du boulot jusqu'à Noël.. Bonne année:)


Eldrya

18/01/2015 à 20h22

La 27 était déjà extraite quand je l'ai vu sinon je l'aurais exploitée pour la position de base.
Un sinu-lift permettrait d'obtenir assez d'espace pour un implant? (je l'envoi en chir pour voir ça de toute façon). Je n'ai pas fait de photos du sourire malheureusement (j'arrive tout juste dans le cabinet et je n'ai découvert l'appareil qu'après les empreintes).
Je pensais passer par un wax-up qui permettrait de réaliser des appareils et des provisoires pour tester la dv mais j'ai conscience de la difficulté du cas.
Bien sûr le "tout ou rien" je ne l'ai pas annoncé comme ça et les modèles sont là aussi pour lui expliquer. Je ne me vois pas bricoler sur un cas comme ça.