Cookie Consent byPrivacyPolicies.comAller travailler au Canada - Eugenol

Aller travailler au Canada

Image r6habu - Eugenol
Thomas Crown

21/01/2015 à 18h58

Ouais, enfin le mec de Chinon était surtout devenu complétement dingue, ou il l'était déja..
Il a fini par faire une TS il me semble.


Prehome gif anime lfnqnl - Eugenol
fredledragon

21/01/2015 à 19h52

Je ne sais pas si tu connais ce blog, c'est pour un médecin mais c'est quand même super instructif https://medecinquebec.wordpress.com/


Dog wwyerg - Eugenol
TTDAM

21/01/2015 à 23h59

zorbalegrec écrivait:
---------------------

>
> Alors dans ce cas evite les grosses métropoles et choisi un desert médical comme
> château chinon, à la place de van nierop mais surtout evite les mutilations ou
> les actes fictifs ils sont devenus procédurier la bas


Il est exact que les attentats ont rarement lieu dans les petites villes de province. Mais plutôt dans les grandes métropoles (Toulouse, Paris,...).
Une partie de ma famille vit dans l'Orne, je peux te dire qu'on est très tranquille (un peu trop pour moi) et que certains laissent la voiture tourner pour aller chercher leur baguette.
Par contre au niveau dentaire, c'est le desert medical.
As-tu penser à t'expatrier en province? (-:))
C'est plus facile qu'au Québec, non?


--
TTDAM


Blason dql7mj - Eugenol
growler

24/01/2015 à 15h52

pour en revenir aux impôts, voici un petit calulateur qui permet de se donner une idée. Il semble que ce calculaeur tient compte à la fois des taxes fédérales et des provinciales.

http://lsminsurance.ca/calculators/canada/income-tax


Smile beach jgh0a1 - Eugenol
Céramik

24/01/2015 à 18h10

growler écrivait:
-----------------
> pour en revenir aux impôts, voici un petit calculateur qui permet de se donner
> une idée. Il semble que ce calculateur tient compte à la fois des taxes fédérales
> et des provinciales.
>
> http://lsminsurance.ca/calculators/canada/income-tax

Merci Olivier de me rappeler qu'au Québec, on paye plus d'impôts que dans le reste du Canada...c'est l'endroit le plus taxé en Amérique du Nord...

Ne pas oublier aussi la taxe de vente de 15%, l’impôt foncier de 6000$ par an pour une maison dite moyenne, et l'hiver canadien...






--
Céramik


Smile beach jgh0a1 - Eugenol
Céramik

24/01/2015 à 19h01

dentiste777 écrivait:
---------------------

> J'ai lu par exemple que les dentistes ne faisainet pas d'endos sur molaires et
> qu'ils étaient adressés quasi systématiquement à l'endodontiste


On fait BCP moins d'endo que chez vous. Les endo/IC partout, on voit jamais ça. Un patient avec plus de 2 endo, c'est pas fréquent.

Pour les molaires, ça dépend, les endodontistes sont peu nombreux et principalement dans les grandes villes. Donc, certains font des endo molaires, d'autres non, c'est un choix perso, pas une règle.


--
Céramik


South park   craig te7bfk - Eugenol
CRAIG

24/01/2015 à 19h18

Et toi tu en fais Ceramik?


South park   craig te7bfk - Eugenol
CRAIG

24/01/2015 à 19h21

Céramik écrivait:
-----------------

> Merci Olivier de me rappeler qu'au Québec, on paye plus d'impôts que dans le
> reste du Canada...c'est l'endroit le plus taxé en Amérique du Nord...
>

> --
> Céramik


Ce sont vos anciennes racines françaises qui ont laissé des traces dans vos gènes.... ;-)


Smile beach jgh0a1 - Eugenol
Céramik

24/01/2015 à 21h31

CRAIG écrivait:
---------------
> Et toi tu en fais Ceramik?

Les endo molaires ?
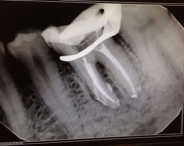
oui, mais j'adresse les re-traitements, les cas lourds ou limites, bref je choisis un peu.

Tient une p'tite 36 (1 rdv, Protaper Gold)
et pas de IC mais tenon fibré collé et couronne zircone pour la suite


--
Céramik

Endo 36   pre op kldksv - Eugenol
Endo 36 ssavow - Eugenol

tictac

24/01/2015 à 22h26

tu as utilisé quel systeme d'obturation ceramik?


Smile beach jgh0a1 - Eugenol
Céramik

24/01/2015 à 22h41

Gutta 6% , ciment Kerr, condensation verticale à chaud, rien de spécial

--
Céramik


youn

25/01/2015 à 01h08

Ceramik tu sais où on peut trouver les bouquins de référenec pour préparer le NDEB?


Smile beach jgh0a1 - Eugenol
Céramik

25/01/2015 à 01h37

youn écrivait:
--------------
> Ceramik tu sais où on peut trouver les bouquins de référenec pour préparer le
> NDEB?

Sorry, non.
J'ai passé ce truc en 1992, lors de ma dernière année de fac dentiare, car même si j'ai gradué à Montréal (et je suis canadien) fallait passer l'examen pour pouvoir travailler dans le reste du Canada (dans les autres provinces)...




--
Céramik


Smile beach jgh0a1 - Eugenol
Céramik

25/01/2015 à 01h39

http://www.ndeb.ca/fr/references

trouver sur google


--
Céramik


youn

25/01/2015 à 02h43

Céramik écrivait:
-----------------
> http://www.ndeb.ca/fr/references
>
> trouver sur google
>
>
> --
> Céramik

Oui j'avais trouvé ça, mais je pensais qu'il y aurait des bouquins de synthèse pour préparer le tout...


Smile beach jgh0a1 - Eugenol
Céramik

25/01/2015 à 19h05

youn écrivait:
--------------

>
> Oui j'avais trouvé ça, mais je pensais qu'il y aurait des bouquins de synthèse
> pour préparer le tout...

Je sais que ça existait pour le test d'équivalence aux USA, mais j'ai pas vu pour le test canadien (j'ai jamais cherché en fait)


http://www.americasdentalbookstore.com/testpreparation.htm


--
Céramik


RépondreCiter
youn

26/01/2015 à 02h33

Oui pour le NBDE t'en a plusieurs, Kaplan est le plus gros. Je me disais que ça devait exister pour le canada, mais visiblement pas si sûr alors. Merci quand même.


youn

26/01/2015 à 02h33

doublon.


12