Cookie Consent byPrivacyPolicies.comAvis sur ZIMMER - Eugenol

Avis sur ZIMMER

1980 husqvarna 390 automatic 2 kl7m5v - Eugenol
Cyanolit

22/01/2015 à 16h45

Bonjour.

Je travaille avec Straumann depuis un momment, système hors de prix mais performant.

Je pose pour moi ainsi que pour des correspondants.

Je suis aujourd'hui approché par Zimmer pour travailler avec eux sous des conditions franchement avantageuses par rapport à Straumann.

Qu'en pensez vous? En termes d'utilisation, usure des forets, qualité du service, facilité d'utilisation, catalogue prothétique...

Merci !!


damienB

22/01/2015 à 17h16

ancien straumannien aussi, ça fait 10 ans que je suis passé chez ZImmer. excellent rapport qualité prix.les forets terminaux valent un bras mais ils sont quasi inusables, d'autant que j'utilise des forêts jetables pas chers pour les premiers diamètres (2 et 2.8mm).
SAV RAS. équipe commerciale (Grand Ouest) très sympa.
c'est très complet tant sur le plan prothétique que chirurgical.
un seul bémol par rapport à Straumann : la plateforme du swiss+ (équivalent du Bone Level) est de 4.8 maxi, pour 6.5 chez straumann. sur les molaires, j'aime bien mettre du 6.5 donc je pose encore des Straumann ou des euroteknika pour cette indication.


Photo pluton1b h9n4ea - Eugenol
pluton

22/01/2015 à 18h32

ancien zimmerien, je suis maintenant chez Implant Direct
suite logique des TSV, SWISSPLUS, etc...puisque développés par Niznick...;-)

les fameux forets terminaux qui coûtent un bras (forets driva...à 165€...) sont quasi identiques chez Implant Direct sauf qu'ils n'ont pas d'irrigation interne (pas grave, c'est un nid à merde impossible à correctement nettoyer...) et ne coûtent que 53€ pièce....

sachez qu'ils ont des solutions à la fois prothétiquement et chirurgicalement intégralement compatibles avec vos systèmes et d'autres partiellement

quand à la qualité des implants, il faut savoir que Zimmer faisait fabriquer ses implants sur les mêmes chaines que les ID à leur début....chaines qui étaient dans les usines...de Niznick...perso çà fait depuis 2008 que je travaille avec eux...

mêmes alliages, même état de surface (MTX = SBM, le nom change mais c'est le même état de surface) même rigueur et précision d'ajustage...(même mieux encore maintenant car les machines se sont modernisées...)

ah, oui....les tarifs sont encore plus sympathiques...


damienB

22/01/2015 à 18h40

pluton écrivait:
----------------

>
> ah, oui....les tarifs sont encore plus sympathiques...

et en plus ils font les plateformes de 6.5 ! merci du tuyau !


Scan10030 ukikhq - Eugenol
vava

22/01/2015 à 18h44

la connectique est identique zimmer ID mais les spires sont bien différentes


Photo pluton1b h9n4ea - Eugenol
pluton

22/01/2015 à 19h03

vava écrivait:
--------------
> la connectique est identique zimmer ID mais les spires sont bien différentes

oui, elles sont bien meilleures!!!

juste une petite info, les prix sont affichés sur le site après inscription...mais ils sont en HT (car la TVA est différente dans les différents pays d'Europe...) donc ne pas oublier de rajouter les 20% de "racket" national...pour avoir le prix en France...;-)


youn

22/01/2015 à 19h14

.


pointG

22/01/2015 à 20h32

je pose des implants directs legacy ,swish+ et des zimmer
j'avoue faire un peu la marche arrière de Pluton!
Si le prix implant direct est moindre que zimmer (c'est net),
je trouve l'insertion primaire des zimmer supérieure à legacy
et le col lisse de zimmer serait un plus ,car une barrière microbienne par rapport aux micro-spires du col qui une
fois dépassé freine moins les attaques bactériennes.
Ce ne sont que des sensations ,des explications interrogations sur le col lisse et le dessin des implants
avec des confrères


pointG

22/01/2015 à 20h49

je pose des implants ID swish+ et ce type d'implant est
bien pour les implants courts disponible en
6.5mm de longueur avec platform 4,8mm ou 6,5mm
copie straumann?


1980 husqvarna 390 automatic 2 kl7m5v - Eugenol
Cyanolit

23/01/2015 à 11h25

Merci à tous pour vos avis.

Certains ont ils testé le Trabecular métal?

Et pour la prothèse, c'est bien?!

Bon courage pour votre journée !


Photo pluton1b h9n4ea - Eugenol
pluton

23/01/2015 à 11h26

pointG écrivait:
----------------
> je pose des implants directs legacy ,swish+ et des zimmer
> j'avoue faire un peu la marche arrière de Pluton!
> Si le prix implant direct est moindre que zimmer (c'est net),
> je trouve l'insertion primaire des zimmer supérieure à legacy
> et le col lisse de zimmer serait un plus ,car une barrière microbienne par
> rapport aux micro-spires du col qui une
> fois dépassé freine moins les attaques bactériennes.
> Ce ne sont que des sensations ,des explications interrogations sur le col lisse
> et le dessin des implants
> avec des confrères

tout çà c'est assez subjectif...personnellement j'ai le ressenti inverse entre le TSV et le legacy3...
tu préfères certainement avoir un implant plus compressif...alors attends toi à une petite merveille qui devrait te correspondre dans les prochains mois...mais je n'en dit pas plus...je dois démarrer les phases de test de pré lancement du produit dans les prochains jours...;-))


pointG

26/01/2015 à 12h14

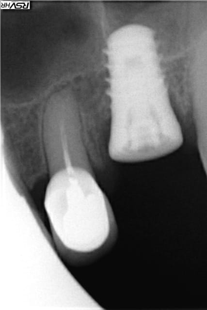
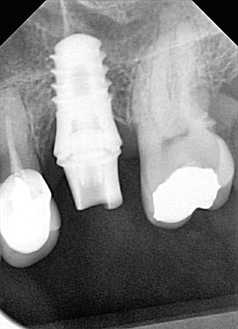
Pour Cyanolit des photos de swish plus pose en 2014

MEG1 MEG2 CH1 CH2et swiw + ric en 2015 (swish d'implant direct

j'aime le col lisse=barrière anti-bacterienne)


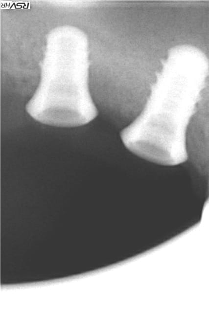
2 radios de 2 zimmer SPAT1 en 2010 pose et provisoire

et SPAT2 2015 comportement actuel


Pour Pluton : peux tu montrer des radios de zimmer

avec des problèmes


nouveautés prévues chez ID?

Meg1 arfqm4 - Eugenol
Meg2 ym48p4 - Eugenol
Ric skecuu - Eugenol
Spat1 sm1tdx - Eugenol
Spat2 qyrybz - Eugenol
Ch1 tu2bbi - Eugenol
Ch2 ohw8xo - Eugenol

Photo pluton1b h9n4ea - Eugenol
pluton

26/01/2015 à 13h03

je n'ai pas plus de problèmes avec les zimmer posés qu'avec les ID posés...
la seule chose, c'est qu'entre les 100 zimmer et les environ 1000 ID, forcément j'ai plus de cas de problèmes avec les ID...

maintenant je peux te montrer des radios d'ID (screwplant) posés en 2008 sans problèmes...;-)

oui, une grosse nouveauté ID prévue normalement fin mai...;-)


Smile beach jgh0a1 - Eugenol
Céramik

26/01/2015 à 21h35

J'ai aussi des screw-plant qui se porte très bien (2008 environ)

Pour ID, c'est quoi la nouveauté ?

On vient tout juste d'avoir l'Interactive chez moi...



--
Céramik


Photo pluton1b h9n4ea - Eugenol
pluton

26/01/2015 à 21h59

la nouveauté: le swishactive...la guerre est déclarée au bone level straumann...;-)