Cookie Consent byPrivacyPolicies.comciment de scellement canalaire - Eugenol

ciment de scellement canalaire

carident

24/01/2015 à 19h02

http://www.edp-dentaire.fr/produits/nouveautes/1039-nouveau-materiau-dobturation-bioceramique-pre-melange

Quelqu'un a-t-il déjà utilisé ce nouveau ciment/système d'obturation canalaire?

http://www.fkg.ch/sites/default/files/fkg_totalfill_brochure_fr_0.pdf

Où peut-on se le procurer?

Je ne l'ai trouvé que chez DPI :
http://www.edp-dentaire.fr/produits/nouveautes/1039-nouveau-materiau-dobturation-bioceramique-pre-melange

http://www.fkg.ch/sites/default/files/fkg_totalfill_brochure_fr_0.pdf


Marque a3 orange fyvhyq - Eugenol
Marc Apap

24/01/2015 à 19h27

Il y a l'original chez Schein. Intéressant, mais la buse des aiguilles en plastique est trop fine, le produit ne coule pas jusqu'au bout. et puis comme il ne durcit pas tout de suite, on ne peut pas désobturer dans la séance pour un tenon. Un concept révolutionnaire (ciment bio compatible et inducteur de minéralisation/cicatrisation) mais une technique monocone passéiste.


carident

24/01/2015 à 19h39

Peut-être peut-on le combiner avec des soft-core ou gutta core pour améliorer la technique?


Marque a3 orange fyvhyq - Eugenol
Marc Apap

24/01/2015 à 19h54

Pas si sûr : j'ai oublié de dire que les cones de gutta fournis (en 4 ou 6% de conicité) sont recouverts d'une fine couche de matériau leur permettant d'adhérer à cette fameuse biocéramique. Une gutta normale ne ferait pas l'étanchéité


carident

24/01/2015 à 19h59

J'avais lu cette particularité des cônes dans le descriptif de FKG que j'ai mis plus haut...

Mais dans la mesure où la gutta chaude devient assez collante, j'imaginais que cela pourrait fonctionner en créant une sorte de couche "hybride"... Après tout comment font-ils pour fixer cette biocéramique sur leurs cône de gutta?


Thom75

24/01/2015 à 20h28

Il ne peut y avoir de couche hybride, il n'y a pas de résine ni dans la gutta ni dans la biocéramique.
L'adhésion se fait avec la gutta de la même façon qu'avec la dentine par réaction avec la structure cristalline.
Par contre Marc, c'est une erreur de dire que la technique est passeiste car tu peux très bien faire une technique de condensation à chaud.
La technique monocone est passéiste car aucun ciment jusqu'à présent n'était capable d'avoir les propriétés d'étanchéité qui durait dans le temps avec des épaisseurs de ciments importantes.
Or le concept de la biocéramique est complètement différent.
PS: la biocéramique de FKG générique de BUSA sera en vente chez acteon, donc beaucoup plus accessible et légèrement mois chère (même si ça reste très élevé...)


Marque a3 orange fyvhyq - Eugenol
Marc Apap

24/01/2015 à 21h30

Moi, je veux bien, mais ça me pose un problème :
1/ Je ne suis pas sûr d'obturer de manière aussi complète que possible un canal en y injectant une pâte + un cone de gutta. Difficile d'aller dans les canaux latéraux sans une certaine pression
2/ La gutta chaude, je suis bien d'accord, mais comment résoudre la contradiction entre l'adhésion de la surface du monocone au ciment grâce à un traitement spécial, et l'adhésion d'une masse de gutta fondue, qui ne présente plus cette couche superficielle lui permettant de coller au ciment


carident

24/01/2015 à 22h23

De toute les manières le principe du scellement ne suppose pas qu'il y ait une adhésion, si je ne m'abuse, sinon ça serait un collage...

L'important est qu'il n'y ait pas de contraction du matériau d'obturation et que le ciment soit assez résistant pour ne pas se dissoudre ou se déliter dans le temps, et ainsi conserver l'étanchéité du système endo-canalaire...

Si ce ciment est réellement assez résistant et qu'en plus il adhère à la dentine, pourquoi serait-il moins efficace qu'un autre ciment associé à un cône de gutta chaud avec tuteur du style soft core...

La pression de la gutta s'exerçant du centre vers les parois, on est en mesure de penser que le ciment adhèrera au parois et que la gutta occupera l'essentiel du volume canalaire et demeurera intimement appliqué au ciment et donc aux parois canalaires... Non?

Ou alors, y a-t-il des ciments plus indiqués pour le scellement des cônes de gutta (non recouvert de biocéramique) à chaud?


Thom75

25/01/2015 à 01h37

Marc Apap écrivait:
-------------------
> Moi, je veux bien, mais ça me pose un problème :
> 1/ Je ne suis pas sûr d'obturer de manière aussi complète que possible un canal
> en y injectant une pâte + un cone de gutta. Difficile d'aller dans les canaux
> latéraux sans une certaine pression

Certes, mais le BC sealer a la particularité d'avoir des particules très fines et donc une pénétration (théoriquement) supérieure aux autres ciments.

> 2/ La gutta chaude, je suis bien d'accord, mais comment résoudre la
> contradiction entre l'adhésion de la surface du monocone au ciment grâce à un
> traitement spécial, et l'adhésion d'une masse de gutta fondue, qui ne présente
> plus cette couche superficielle lui permettant de coller au ciment

Parce que les pellets de gutta sont également traités mais dans la masse!!


Thom75

25/01/2015 à 01h44

carident écrivait:
------------------
> De toute les manières le principe du scellement ne suppose pas qu'il y ait une
> adhésion, si je ne m'abuse, sinon ça serait un collage...

C'est bien une adhésion mais au niveau cristallin (entre cristaux d'hydroxyapatite pour être exact), rien à voir avec une bonding à base résineuse (collage).


> L'important est qu'il n'y ait pas de contraction du matériau d'obturation et
> que le ciment soit assez résistant pour ne pas se dissoudre ou se déliter dans
> le temps, et ainsi conserver l'étanchéité du système endo-canalaire...

c'est censé être le cas!!


> Si ce ciment est réellement assez résistant et qu'en plus il adhère à la
> dentine, pourquoi serait-il moins efficace qu'un autre ciment associé à un cône
> de gutta chaud avec tuteur du style soft core...

Parce que les deux "gold-stantard" que sont oxyde de zinc-eugénol (adhésion à la gutta par l'action solvante de l'eugénol) et l'epoxy (propriétés adhésives propres) ont une adhésion relative à la dentine mais bonne avec la gutta.
Ce qui n'est pas le cas du BC sealer.



Marque a3 orange fyvhyq - Eugenol
Marc Apap

25/01/2015 à 11h48

Thom75 écrivait:
----------------

> Parce que les pellets de gutta sont également traités mais dans la masse!!

Je n'ai vu que des cones, pas de pellets. Les cones sont ils traités dans la masse ?


carident

25/01/2015 à 12h18

Un faq qui répond à quelques unes des questions que l'on se pose...

http://www.fkg.ch/sites/default/files/mediacenter/fkg_totalfill_info_collection_en.pdf


Dans la brochure ci dessous, il est écrit :
http://www.fkg.ch/sites/default/files/fkg_totalfill_brochure_fr_0.pdf

"Les TotalFill® BC Points™ sont disponibles en tailles individuelles ou en assortiment. Les TotalFill® BC Pellets™
sont également disponibles pour l'obturation verticale à chaud. Il est possible d’utiliser des pointes de gutta percha standard, mais pour un scellement parfaitement étanche il est recommandé d’utiliser les TotalFill® BC Points"

Il est donc possible d'utiliser des pointes de gutta standard, mais on perd bien sûre cette adhésion chimique entre le ciment et les cônes de gutta...


carident

25/01/2015 à 15h00

Marc Apap écrivait:
-------------------
> Un concept révolutionnaire (ciment bio compatible et inducteur de
> minéralisation/cicatrisation) mais une technique monocone passéiste.

http://www.dental-tribune.com/htdocs/uploads/printarchive/editions/60f01a2ff396414f6815530033a55bf8_6-12.pdf

Quelle ironie ; après avoir été décriée par tous les partisans de l'obturation à chaud qui vise à obtenir un plus grand pourcentage d'obturation à base de gutta, la technique mono-cône revient sur le devant de la scène... Les auteurs ne parlent plus de technique mono-cône mais de "condensation hydraulique synchronisée".

Si j'ai bien compris la théorie : le cône de gutta sert en quelque sorte de piston pour condensée/pressée le ciment de scellement à base de biocéramique qui va fuser ainsi dans les canalicules dentinaires et canaux secondaires... Peu importe si la gutta n'occupe pas le plus grand pourcentage d'obturation possible, les caractéristiques intrinsèques des ciments biocéramique seraient suffisantes et même meilleures...
Dans cette technique d'obturation, le mono-cône de gutta, outre son rôle de piston hydraulique, permet de conserver une capacité de retraitement.

http://endoexperience.com/documents/Ceramicbasedsealers.PDF


carident

25/01/2015 à 17h38

http://www.eugenol.com/sujets/409100-bioceramiques


youn

26/01/2015 à 03h00

Désolé j'avais vu le sujet sans l'ouvrir pensant qu'on parlerai de différentes marques de ciments "classiques"

Voilà :
https://realworldendo.com/videos/restorative-endodontics

Qu'en penser? J'en connais qui ne jurent que par ça, et plusieurs techniques existent, celle plus haut, avec un cône calibré et rendu hydrophile par coating,

Et celle qui consiste à remplir les canaux par du ciment puis mettre un cône qui ne rentre pas en contact avec les parois canalaires (ne va pas à l'apex) et reste au centre du canal.

La retraitabilité ne semble pas être un problème avec la technique dans la vidéo plus haut, mais j'ai mes doutes.

Des avis, et éventuellement des études cliniques?

Pour le moment j'obture à chaud mais quand on regarde cette vidéo :


Quand il découpe les dents à la fin, on se dit que on ferait peut-être bien de revoir ses positions...

Le mec de cette vidéo utilise la technique 2 depuis 2004. Il dit ne pas avoir du tout de soucis. En gros il prend un Cone un peu large qui descend jusqu'à pas loin de l'apex, rempli le canal de Biocéram et "pompe" avec ce cône 15 20 fois pour faire avancer le matériau par capilarité. Ensuite il enlève ce cône et en met plus fin et déjà coupé qu'il noie dans la masse du matériau.

La seule question est pour moi la retraitabilité. Quand on voit ses coupes on comprend vite que le système canalaire est beaucoup mieux rempli qu'avec de la Gutta même chaude.

D'ailleurs regardez cette vidéo :
On voit que ça va bien plus loin.

Franchement je commence à me demander sérieusement ce qu'il en est.

En tous cas il utilise des cônes classiques, son cône ne servant que de tuteur et non de matériau d'obturation, il se fiche qu'il soit "collé" à la Biocéramique (ses dires pas les miens)...

Le hic est que je ne pense pas que ce soit retraitable.


youn

26/01/2015 à 03h24

http://www.ncbi.nlm.nih.gov/pubmed/25506149
Mieux mais pas parfaitement étanche, donc a priori si on peut pas retraiter...


C'est pas la même chose mais il semble qu'on trouve mieux que le MTA...http://www.ncbi.nlm.nih.gov/pubmed/25596728
http://www.ncbi.nlm.nih.gov/pubmed/24910665


youn

26/01/2015 à 13h08

https://scholarworks.iupui.edu/handle/1805/2705


Kun

26/01/2015 à 18h28

je fais ma thèse dessus...je pourrais en parler 3 plombes. (j'ai une bonne biblio sur le sujet si besoin)

En gros le véritable problème c'est le retraitement.

Le but est vraiment d'utiliser un minimum de ciment et si possible un système rotatif qui "match" avec le cône de gutta.

D'après les études et des coupes que j'ai pu voir, les propriétés des biocéramiques permettent de se passer d'une véritable compaction, et la présence du cone de gutta suffit à ce que le ciment fuse dans les irrégularités du système canalaire.

En théorie c'est prometteur mais ça manque cruellement d'études cliniques pour le moment.


carident

26/01/2015 à 19h21

Il faudra voir sur le long terme ce que ça donne...

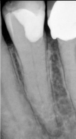
Ci-dessous, retraitement des canaux mésiaux de la 46 au mono-cone + MTA en février 2014. Patient revu aujourd'hui pour le retraitment de la 47.

Les cônes de gutta activés en surface pour adhérer à la biocéramique sont disponible en 2, 4 et 6%, donc pour le système Réciproc ça ne va pas être facile... (R25 <=> 8%, R40 <=> 6%, R50 <=> 5%).

Mais dans la mesure où l'autre intérêt de ce système d'obturation est de pouvoir être plus conservateur au niveau de la mise en forme canalaire, j'opterais bien pour les limes FKG iRace (lime terminale en 4%).
Le Reciproc, je le réserverais au retraitement en R40 avec des cônes à 6%!

46 47 avant eiobhz - Eugenol
46 47 08022014 wtbemp - Eugenol
46 47 15022014 p86o9h - Eugenol
46 47 26012015 aoqw5g - Eugenol

youn

26/01/2015 à 20h14

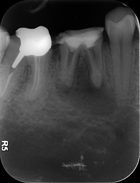
Premier cas aujourd'hui avec Smartseal et les cones qui vont avec... 14 super calcifiée, 2h30 plus tard :

Endo 49  1  preop t5er2c - Eugenol
Endo 49  2  end rdggnk - Eugenol

youn

26/01/2015 à 20h16

Et bien Kun c'est le moment d'en parler et d'envoyer la biblio!

Tres beau cas Carident!


Kun

30/01/2015 à 12h39

Marc Apap écrivait:
-------------------
technique monocone passéiste.

La technique monocone n’est pas "passéiste" bien au contraire je trouve qu’elle permet de réaliser une préparation canalaire beaucoup plus conservatrice (je pense qu’en obturation à chaud on est beaucoup trop délabrant )

Le problème de la technique monocone avec les ciments traditionnels c'est une absence d'obturation 3D : pas de compaction, résorption des ciments et contraction de prise entrainant la formation de vide et un volume de ciment trop important.

La question est de savoir si les ciments biocéramiques ont les propriétés qui permettent de combler les défauts de la technique monocône :
- Adhésion à la dentine (Candeiro GT de M. Evaluation of Radiopacity, pH, Release of Calcium Ions, and Flow of a Bioceramic Root Canal Sealer. Journal of Endodontics. 2012)
- Très bonne propriété d’étalement, hydrophile (candeiro ; Zhou H, Physical Properties of 5 Root Canal Sealers. Journal of Endodontics. 2013 Oct ; Ersahan S, Aydin C. Dislocation Resistance of iRoot SP, a Calcium Silicate–based Sealer, from Radicular Dentine. Journal of Endodontics. 2010)

- Légère expansion de prise 0,1% ( Ersahan S, Aydin C. Solubility and apical sealing characteristics of a new calcium silicate-based root canal sealer in comparison to calcium hydroxide-, methacrylate resin- and epoxy resin-based sealers. Acta Odontol Scand. 2013 J)

Il semble que la simple présence du cône de gutta permet au ciment de combler les irrégularités.
Ces propriétés combinées à la facilité d’emploi, leur biocompatibilité ++, bioactivité ++, pp antibactériennes, ça en fait un des meilleurs ciments sur le marché.

Mais vu le problème pour les RTE (Hess D. Retreatability of a bioceramic root canal sealing material. Journal of Endodontics. 2011) il faut utiliser un minimum de ciment, et un max de gutta. (et ça fait des économies vu le prix des biocéramiques). Pour ça il faut réfléchir au niveau de la préparation canalaire. Une correspondance entre le cône et la préparation permet de maximiser la quantité de gutta.

Pas du tout convaincu par la technique je fou un max de ciment au lentulo et je rajoute un cone (qui a pas l’air adapté non ?), c’est à mon avis mort pour un rte.

J'espère être clair j'ai du mal a synthétiser et à ordonner ce que j'ai dans la tête :^)


youn

02/02/2015 à 20h09

La technique je fous un max de ciment puis je mets un cône me semble pas mal dans les cas de RTE, vu que de toute façon en cas d’échec, on y va a rétro, on va pas re-retraiter.

Effectivement pour une première obturation je suis d'accord avec toi.

un deuxième cas aujourd'hui...

Endo 50 ehy5mo - Eugenol

Marque a3 orange fyvhyq - Eugenol
Marc Apap

02/02/2015 à 20h37

@Kun : bien pour toutes ces précisions, mais une remarque concernant la première proposition :
La préparation minimalement invasive est un fantasme que tout le monde voudrait proposer. Malheureusement, il y a un minimum d'élargissement à faire pour nettoyer le canal. Par ailleurs, les nouvelles techniques d'obturation à la gutta chaude n'exigent plus d'évaser le canal autant que du temps de Schilder où l'on utilisait des fouloir manuels en acier rigide pour tasser la gutta dans le canal.

Ces derniers jours, deux obturations en biocéramique + 1 cone par canal (une pulpectomie et une reprise de traitement).

Cer tqcbep - Eugenol