Cookie Consent byPrivacyPolicies.comidentification implant - Eugenol

identification implant

mars84

28/01/2015 à 22h17

Bonjour les amis!!
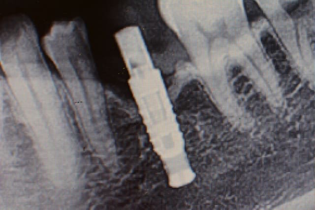
J'aurais besoin d'aide pour l'identification de ces implants.
Merci beaucoup!

Dsc 0359 dkxvha - Eugenol
Dsc 0363 ox2toq - Eugenol

Photo pluton1b h9n4ea - Eugenol
pluton

28/01/2015 à 23h10

BIS Biotech en 3.6mm de diamètre....hex externe...

la prochaine fois avec une bonne rétro, çà m'aiderais plus...que de me taper/comparer 800 et quelques références...merci...


G-P

29/01/2015 à 10h20

Quel design dégueulasse...