Cookie Consent byPrivacyPolicies.comLegacy 7MM platform corps5.7mm - Eugenol

Legacy 7MM platform corps5.7mm

pointG

31/01/2015 à 10h51

même si je me redirige plutôt vers Zimmer avec une insertion primaire supérieur (à mon avis ) voici un cas de plusieurs années
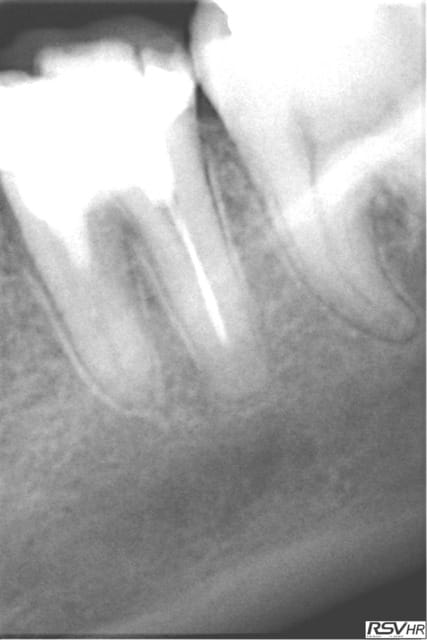
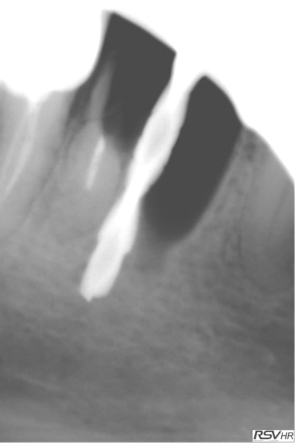
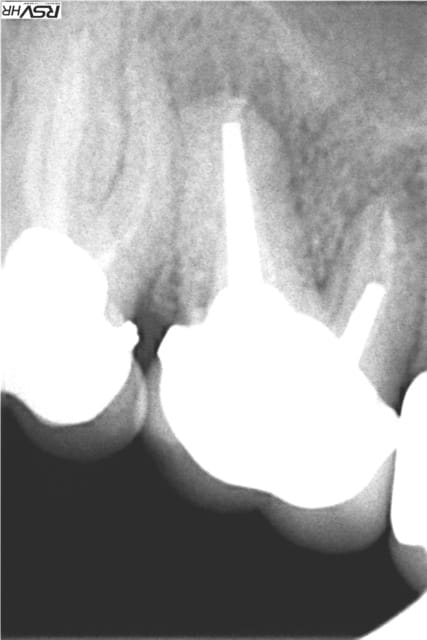
j'avais gardé une racine distale de 46 (montage 2 ccm soudées au début 4647- avec diastème avec 45 ;2008;le montage
n'a pas tenu longtemps=extraction racine distale et
implantation immédiate legacy2 7 mm(2011)
et ccm transvissée 3 mois après
radio à 2015

El1 l5p8oa - Eugenol
El2 e3ngpn - Eugenol
El3 zabw8p - Eugenol
El4 gtvk3y - Eugenol

Photo pluton1b h9n4ea - Eugenol
pluton

31/01/2015 à 12h05

pointG écrivait:
----------------
> même si je me redirige plutôt vers Zimmer avec une insertion primaire supérieur
> (à mon avis ) voici un cas de plusieurs années
> j'avais gardé une racine distale de 46 (montage 2 ccm soudées au début 4647-
> avec diastème avec 45 ;2008;le montage
> n'a pas tenu longtemps=extraction racine distale et
> implantation immédiate legacy2 7 mm(2011)
> et ccm transvissée 3 mois après
> radio à 2015

good job...;-)

j'ai jamais osé/eu le cas, mais bon on peut voir que çà marche bien...
pour l'insertion primaire je ne suis pas de ton avis...mais c'est seulement mon avis...
tu es habitué à un implant moins conique, plus compressif et c'est vrai que les derniers produits ID sont beaucoup plus autotaraudant et coniques ce qui fausse amha ton ressenti...

tu vas voir dans quelques mois, il y aura une petite nouveauté que tu devrais essayer...;-)


Image r6habu - Eugenol
Thomas Crown

31/01/2015 à 12h09

Vraiment intéressant mais pas reproductible! Tu as vraiment mis en charge 3 mois après extraction implantation?
Chapeau , on l'appelle Pépé Boyington.
Ce qui m.interpelle aussi, c'est la moindre densité osseuse tout autour du corps de l'implant, et pourtant, nickel.
Combien de cas similaire stp?


Logo m4n3gc - Eugenol
drmarcus

31/01/2015 à 15h54

BRAVO !
Je pensais être dingue mais là je m'incline.
Sincères félicitations.

Ne nous emballons pas pour l'évolution Pluton.

--
"La seule chose promise d'avance à l'échec, c'est celle que l'on ne tente pas" Paul Emile VICTOR


pointG

31/01/2015 à 16h44

thanks for les encouragements (cela veut dire quoi :je pensais
être dingue!!!je m'estime plutôt
prudent en chirurgie;toujours pas fait de sinus -lift;même par voie crestale je ne mets pas de substituts osseux ... )

suite à la promotion Pluton(sans ironie) sur le legacy et ID
j'ai essayé les systèmes extraction-implantation pour les molaires du bas legacy2 platform7mm corps5.7mm (j'ai 5 cas
je posterai et OK ce n'est pas reproductible)

dans le cas posté extraction le05/03/2011 et implantation le jour même du legacy2 de 7mm plus vis de cicatrisation

l'empreinte imprégum les 10/06/2011 CCM transvissée une semaine après
ici une seule racine à extraire la distale de 46 donc plus facile,pas de problème par rapport au septum à trouver

pour mes autres cas outre la difficulté d'extraire sans exploser l'os vestibulaire(j'ai maintenant un piézochir de satelec et même si cela facilite c'est long pas très simple)
il faut viser le septum pour amorcer le premier forêt pilote
sans tomber dans les espaces des 2 racines donc comme préconisé dans leur vidéo j'utilise le forêt pilote dans le septum en gardant les 2 racines puis le 2 eme voir le 3 eme forêt;ensuite j'extrais les 2 racines sans casser l'os alvéolaire;je passe les forêts suivant au milieu des alvéoles ouvertes
effectivement le diamètre de 7 mm comble bien les espaces des racines
après on est tributaire de la cicatrisation osseuse autour de l'implant
je trouve cela difficile à poser même avec peu de lésions osseuses(sous AB 3 jours avant) sinon je fais comme vous extraction et on attend 6 à 10 semaines minimum avant implantation


moritooth

31/01/2015 à 17h39

BRAVO, c'est une sacrée idée de se guider grace aux racines de la dent pour bien taper dans l'axe du septum. Bon je sais pas si j'oserais, trop peur d'enmener au fond des debris d'Ag, dentine cariée, pâtes à canaux etc...


pointG

31/01/2015 à 18h23

je ne veux pas faire de la "pub" ID!mais cf. le site
avec une vidéo legacy2 sur laquelle je me suis basée
c'est plus simple une extraction -implantation sur monoradiculée...


pointG

03/02/2015 à 13h53

Les délires continuent !(clin d’œil doc Marcus)
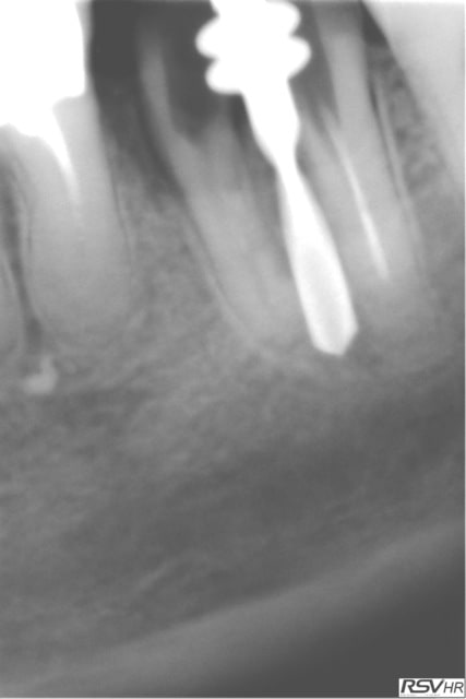
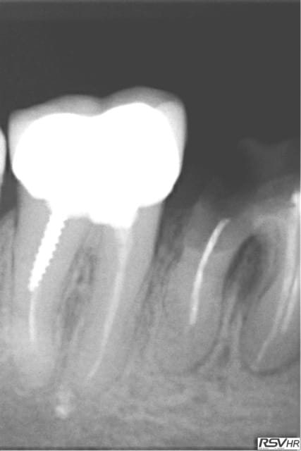
37 fêlure-fracture au niveau du plancher en cours de RTE(1er radio avant RTE)
extraction dans la séance forage entre les racines extraction des racines re- forage après dans le septum
pose implant 7 mm long10mm le 11.06.2012
le 25.09.2012 pose d'un faux moignon titane transvissé et
couronne provisoire
RTE en cours sur 36
CCM définitives après
CBCT en 2014 OK pour l'implant

Cl1 o929qp - Eugenol
Cl2 m6ahy7 - Eugenol
Cl3 iv9hui - Eugenol
Cl4 vg2zck - Eugenol
Cl5 euo8tf - Eugenol
Cl6 zdr7pm - Eugenol
Cl7 ortui9 - Eugenol

pointG

03/02/2015 à 13h59

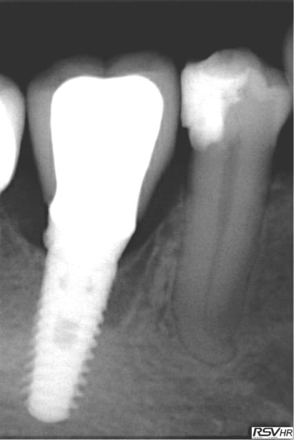
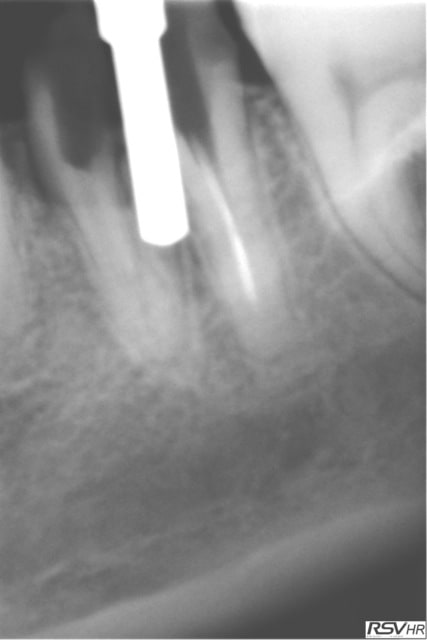
même patiente pour 46
extraction le 31.03.2012 avec le même jour pose implant legacy
cette fois long10mm diamètre 4.7mm
toujours la technique forage entre racines extraction reforage pose implant
le 13.09.2012 couronne céramométallique sur fM

C1 dr41ns - Eugenol
C2 hd5esq - Eugenol
C3 q6hcqq - Eugenol
C4 kmoibp - Eugenol
C6 elrxvx - Eugenol
C7 mbba5g - Eugenol
C8 nqd7wn - Eugenol

3f3boxni50k58rq7e9ce9ddqrxgk - Eugenol
dentiste57

03/02/2015 à 13h59

il semblerait qu'il soit possible de mettre des pièces nobel sur des implants interactiv mais est 'il possible de mettre des pièces interactiv sur des implants nobel ?


Photo pluton1b h9n4ea - Eugenol
pluton

03/02/2015 à 15h14

dentiste57 écrivait:
--------------------
> il semblerait qu'il soit possible de mettre des pièces nobel sur des implants
> interactiv mais est 'il possible de mettre des pièces interactiv sur des
> implants nobel ?

oui, les pièces prothétique Nobel Active et Interactive ID sont totalement compatibles puisqu'ils ont les mêmes plateformes prothétiques, 3mm et 3.4mm

çà vaut pour les piliers, vis de cicat, etc...;-)


pointG

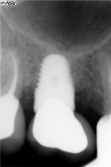
03/02/2015 à 16h53

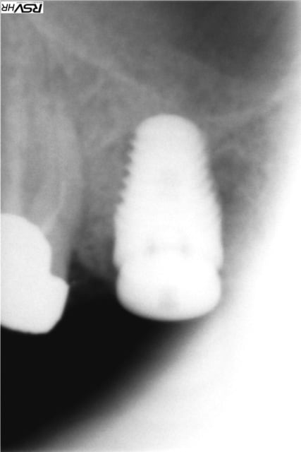
Un dernier pour la route legacy2 7mm
16 RTE 2006 /2007 avec curetage périapical et IRM
échec de cicatrisation et extraction-implantation le26.02.2011
empreinte essayage pose le 24.10.2011
radios de contrôle en 2012 et 2013
patiente revue en 2014 cbct =ok

Du000 t2oera - Eugenol
Du00 xsecuv - Eugenol
Du0 canakk - Eugenol
Du1 cluxdt - Eugenol
Du2 f9q47v - Eugenol
Du3 vhkptl - Eugenol
Du4 cbqdhg - Eugenol
Du5 d2c7hn - Eugenol
Du6 cyayvm - Eugenol
Du7 ny1dwb - Eugenol
Duo5 kwpmbc - Eugenol

pointG

21/02/2015 à 11h12

Pose implant legacy2 le02/06/2012 :espace large
motivant ce choix (ici pas d'extraction implantation)
os type 1
intégration jusqu'à ce jour...et dépose (périimplantite mobilité)et attente
3 mois pour un nouveau implant sans doute un zimmer
col lisse (protecteur antibactérien ???)

Rig1 nrxwpi - Eugenol
Rig2 lhzp97 - Eugenol