Cookie Consent byPrivacyPolicies.comMerveilleuse nomenclature - Eugenol
Capture d  cran 2015 03 12 12.28 - Eugenol
chicot29

04/02/2015 à 23h15

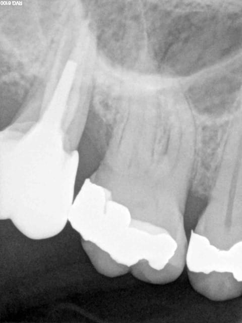
Patiente se présentant avec une fracture cuspide disto-vestibulaire de 16.
Mutuelle à 300 % sur la prothèse, 30 % sur les soins ( comme d'hab)
Dent ne pouvant etre reconstituée de facon durable par un matériau inséré en phase plastique ( composite, amalgame).
3 devis sont proposés avec forte motivation POUR LE MOINS CHER (onlay ceramique)qui est le plus indiqué mais largement le moins remboursé.
Malgré tout la patiente a choisi le devis LE PLUS CHER, le plus délabrant mais le mieux remboursé ( reste à charge 0).
Ca tombe bien j'adore l'endo, meme si c'est une perte de temps. On peut se consoler en se disant que la pulpe est bien rétractée peut etre en voie de nécrose.

Le meilleur système de santé au monde, hein ! Mieux vaut ne pas avoir de mutuelle, le choix eut été différent !-))))

1 cp7lfl - Eugenol
2 rjb9gc - Eugenol
Devis composite 3 faces couronne sur dent vivante bcynqi - Eugenol
Devis de vitalisation  inlay core ceramo metal lqrd6u - Eugenol
Devis onlay ceramique reark2 - Eugenol
3 d2lwnq - Eugenol

moritooth

04/02/2015 à 23h58

Mince, moi qui croyait que la CCAM allait tout arranger...Bon t'as fait ton boulot d'information, 3 devis, bravo j'en fais pas tant.

Sinon comment tu fais ces photos à l'aplomb des faces occlusales des 6 ? (caméra ?). Et y'a comme un bout de salade coincé entre 15 et 16 ?


Capture d  cran 2015 03 12 12.28 - Eugenol
chicot29

05/02/2015 à 00h11

Camera kodak cs 1500.
Ce qui est magique c'est que les mutuelles mettent le peu d'argent qu'elles redistribuent dans des actes délabrants !

550,54 euros pour fusiller une dent contre 12,29 euros pour la préserver au maximum. Bravo ! Ca ne m' arrange pas trop de faire une endo et un ic coiffe ( surtout pour l'endo vous vous en doutez) car je vais y passer infiniment plus de temps ( 2 à 3 fois plus) que de faire un onlay ceram.


endoz

05/02/2015 à 08h09

Bonjour pourquoi un IC?
un tenon fibré n'est-il pas plus indiqué?


Jack 2 wm3tqs - Eugenol
trepo

05/02/2015 à 08h59

endoz écrivait:
---------------
> Bonjour pourquoi un IC?
> un tenon fibré n'est-il pas plus indiqué?

Nomenclature qu'on te dit :)


Soudeur dentiste uqhaxr - Eugenol
dr-madd

05/02/2015 à 09h04

et une préparation périphérique sur dent vitale, avec la pulpe dans les chaussettes ça devrait passer
et ça reste dans les clous de la nomenclature non


Capture d  cran 2015 03 12 12.28 - Eugenol
chicot29

05/02/2015 à 09h16

endoz écrivait:
---------------
> Bonjour pourquoi un IC?
> un tenon fibré n'est-il pas plus indiqué?

Pardon j'avais oublié ce devis qui n'est pas non plus du tout indiqué cliniquement.-))))
Vous noterez que plus on s'approche des indications cliniques , plus la mutuelle fait des économies. -)))))
J'ajouterais qu' un DU d'endo de 3 ans à Garancières pour faire l'endo à 81,94 euros et soigner selon les données acquises de la science est fortement conseillé. -))))

Devis de vitalisation sc33 ceramo metal hcoj8o - Eugenol

003 penrd2 - Eugenol
Cingulum

05/02/2015 à 09h33

dans une situation comme celle-ci je ne propose qu'un seul devis celui correspondant à la solution la plus indiquée ici un onlay.
si tu fais 3 devis cela équivaut à dire que les trois solutions sont possibles pourquoi la patiente choisirait alors le moins remboursés
j'explique donc il faut faire un onlay et grâce à cette solution on pourra éviter la couronne
--
Dr Cingulum
-----Ancien interné----
----Attaché à l'apex----
http://www.clinic-all.fr/ formation par passion


Capture d  cran 2015 03 12 12.28 - Eugenol
chicot29

05/02/2015 à 09h37

dr-madd écrivait:
-----------------
> et une préparation périphérique sur dent vitale, avec la pulpe dans les
> chaussettes ça devrait passer
> et ça reste dans les clous de la nomenclature non

Tout est dans les clous de la nomenclature. Par contre un seul devis est dans les clous des recommandations HAS : celui qui fait le plus faire d'économies à la sécu et à la mutuelle.
De toutes facons c'est le patient "éclairé" qui décide de son traitement.-)))


roger chicot

05/02/2015 à 09h43

Réponse anticonfraternelle, désolé...

C'est de la mutilation si tu fais l'endo !

Et c'est inadmissible, revois ta copie...

Et j'espère que les cdc ne nous lisent pas ce matin et que ton sujet passe vite aux oubliettes.

IC + CCM sur cette 6, et on nous traite de voleur... Cherchez l'erreur.


Capture d  cran 2015 03 12 12.28 - Eugenol
chicot29

05/02/2015 à 09h47

Cingulum écrivait:
------------------
> dans une situation comme celle-ci je ne propose qu'un seul devis celui
> correspondant à la solution la plus indiquée ici un onlay.
> si tu fais 3 devis cela équivaut à dire que les trois solutions sont possibles
> pourquoi la patiente choisirait alors le moins remboursés
> j'explique donc il faut faire un onlay et grâce à cette solution on pourra
> éviter la couronne

Tu es dentiste et je suppose que tu ne gagnes pas le smic. Quand ta mutuelle d'entreprise obligatoire te te coute déjà une fortune ( 1000 euros par an) et que tu as 359,03 euros à sortir en plus c'est mort.
En outre je pense (surtout toi) que tu as le bagage technique nécessaire pour nous faire un petit compo 3 faces sous digue , non ?
Allez un dernier petit devis ( facultatif celui là) pour la route.
Je crois qu'on a fait le tour de toutes les possibilités pour reconstituer cette molaire , non ?-))))

Devis composite 3 faces  ovlhut - Eugenol

Pubg2 rjl8jc - Eugenol
vincent63

05/02/2015 à 10h01

Inlay core cr pour une cuspide pêtée ... On chasse les mouches au bazooka en Bretagne ? :-))

Plus sérieusement ne peut t'elle pas te reprocher un jour un surtraitement ? ce qui m'embete dans ton cas c'est quelle est la justification clinique de la bio ?

--
J'occluse donc je suis


cocoladent

05/02/2015 à 10h06

Si je comprends bien dans la cas céram + inlay core tu factures l'inlay core 367 euros soit plus cher que la céram (320) , et tu factures la même céram 483 si tu ne fais pas l'inlay core ?
Comment tu justifies ça auprès de ton patient ?


RépondreCiter
Capture d  cran 2015 03 12 12.28 - Eugenol
chicot29

05/02/2015 à 10h09

vincent63 écrivait:
-------------------
> wahou ... inlay core cr pour une cuspide pêtée ... On chasse les mouches au
> bazooka en Bretagne ?
>
> Plus sérieusement ne peut t'elle pas te reprocher un jour un surtraitement ?
> quelle est la justification clinique de la bio ?
>
Aucune. Pas plus que pour la couronne sur dent vivante, Le patient éclairé choisit.
Il ne choisit pas en fonction de la situation clinique mais en fonction de ses remboursements mutuelle. Tout le monde n'a pas la chance de ne soigner que le haut du pavé ( ou voulu sélectionner sa clientèle en fonction de sa capacité à auto financer ses soins) .


Grueavatar nptrc9 - Eugenol
Le Choixpeau magique

05/02/2015 à 10h10

C'est ce que font 90% des dentistes, le plus souvent pas ignorance.
Je préfère ceux qui disent ce qu'ils font plutôt que ceux qui tiennent des discours édifiants sur la pureté de leur travail et font de la grosse merde au quotidien.


dentek

05/02/2015 à 10h12

Perso, si je suis ton patient, je prends ta dernière proposition (compo...aux données acquises de la science...hein?) et j'économise 6 mois pour me payer un onlay céram...
sérieux, y'a aucune indication à faire une pulpec d'après ce que tu nous dis.
Je refuse le choix du patient dans ce cas quitte à le perdre; mon principe, soigner mes patients comme un des miens, ou comme j'aimerais être soigné, sinon tant pis pour eux et pour moi!


Capture d  cran 2015 03 12 12.28 - Eugenol
chicot29

05/02/2015 à 10h16

vincent63 écrivait:
-------------------
> wahou ... inlay core cr pour une cuspide pêtée ... On chasse les mouches au
> bazooka en Bretagne ?

En bretagne on a eu un cerec il y a quelques années mais ca n'a pas marché. Les mouches doivent etre spéciales dans le coin. -)))))


Capture d  cran 2015 03 12 12.28 - Eugenol
chicot29

05/02/2015 à 10h20

cocoladent écrivait:
--------------------
> Si je comprends bien dans la cas céram + inlay core tu factures l'inlay core
> 367 euros soit plus cher que la céram (320) , et tu factures la même céram 483
> si tu ne fais pas l'inlay core ?
> Comment tu justifies ça auprès de ton patient ?

Jamais eu de question à ce sujet. Mais si tu veux une explication quand tu fais ic coiffe en un temps tu passes combien de temps à préparer la ceram et combien de temps à préparer l'inlay core ?-)))))
Comment justifie la sécu une base de rbt de 122,55 pour l'inlay core et 107,5 euros pour une ceram ?
Ne cherches pas de logique là dedans. Il n'y en a pas.


003 penrd2 - Eugenol
Cingulum

05/02/2015 à 10h23

chicot29 écrivait:
------------------

> Tu es dentiste et je suppose que tu ne gagnes pas le smic.
Tu supposes bien

>Quand ta mutuelle
> d'entreprise obligatoire te te coute déjà une fortune ( 1000 euros par an) et
> que tu as 359,03 euros à sortir en plus c'est mort.

Je sais pas, je fais pas le devis avant de savoir ce qui va être pris en charge. Mes honoraires c'est pour mon travail, le remboursement c'est pour le patient...
Je facture mon Onlay 350€, il va rester à charge environ 300€... Si il reste 300€ à charge sur ta couronne, plus provisoire et inlay core... tu fais quoi tu arraches ?



> En outre je pense (surtout toi) que tu as le bagage technique nécessaire pour
> nous faire un petit compo 3 faces sous digue , non ?

Quand il manque une cuspide comme ça, non je pense pas que le composite soit le meilleur choix. Mais je peux me tromper...

> Allez un dernier petit devis ( facultatif celui là) pour la route.
> Je crois qu'on a fait le tour de toutes les possibilités pour reconstituer cette
> molaire , non ?-))))

Tu as oublié l'abstention, ou l'extraction ...




--
Dr Cingulum
-----Ancien interné----
----Attaché à l'apex----
http://www.clinic-all.fr/ formation par passion


Capture d  cran 2015 03 12 12.28 - Eugenol
chicot29

05/02/2015 à 10h25

dentek écrivait:
----------------
> Perso, si je suis ton patient, je prends ta dernière proposition (compo...aux
> données acquises de la science...hein?) et j'économise 6 mois pour me payer un
> onlay céram...
> sérieux, y'a aucune indication à faire une pulpec d'après ce que tu nous dis.
> Je refuse le choix du patient dans ce cas quitte à le perdre; mon principe,
> soigner mes patients comme un des miens, ou comme j'aimerais être soigné, sinon
> tant pis pour eux et pour moi!

Eh ben tu le perds. Mais c'est une facon de voir les choses sélectionner sa clientèle par le fric. Pas forcément une mauvaise idée à long terme.
Par contre ca peut etre chiant d'avoir une clientèle de dentistes parfaitement éclairés. -))))


dentek

05/02/2015 à 10h29

Je suis pas sûr que je sélectionne mes patients par le fric, vraiment pas quand je vois mon CA...
par contre, quand tu crois dans un truc et que tu le présentes comme il faut, je te promets que les gens te suivent même sans rouler sur l'or...c'est une question de discours.
Loin de moi de jeter la pierre, je fais aussi des choses pour arranger les patients et qui ne sont sûrement pas les plus indiquées.


Pubg2 rjl8jc - Eugenol
vincent63

05/02/2015 à 10h33

J'ai suivit ton aventure cerec chicot, ce qui me surprend c'est la facilité avec laquelle tu dévitalises une dent pour une question de remboursement, en terme de durée de vie sur l’arcade une dent dévitalisée n'a plus le même capital qu'une dent vivante.

Concernant la sélection de la patientèle par l'autofinancement des soins dentaires ... On appelle ça la médecine à deux vitesse mais faut pas le dire trop fort il parait que c'est un gros mot ... La France est foutue isnt it ?

Les soins moins invasifs avec une plus grande part npc c'est génial mais effectivement particulièrement injuste au regard de ce que les patients cotisent.

--
J'occluse donc je suis


cocoladent

05/02/2015 à 10h38

Ce sujet me conforte définitivement sur le fait que nous ne faisons pas le même métier . Nous nous déchirons souvent sur les différents posts , parfois de façon violente . Non , nous n'exerçons pas le même métier . Chacun sa sauce . Facturer plus cher un IC qu'une céram me fait tomber de ma chaise ( mais j'ai tort , il faut que je fasse pareil , il ne faut pas mourir idiot ) . Comment voulez vous être pris au sérieux ? Comment voulez vous que les mutuelles ne nous harcèlent pas ? C'est du foutage de gueule . Du pain béni pour elles .
Quant à dévitaliser cette dent , mieux vaut ne pas dire ici ce que j'en pense ...
On nous traite de voleurs ? Non , sans blague ....


RépondreCiter
Image r6habu - Eugenol
Thomas Crown

05/02/2015 à 10h59

cocoladent écrivait:
--------------------
Facturer
> plus cher un IC qu'une céram me fait tomber de ma chaise ( mais j'ai tort , il
> faut que je fasse pareil , il ne faut pas mourir idiot ) . Comment voulez vous
> être pris au sérieux ? Comment voulez vous que les mutuelles ne nous harcèlent
> pas ? C'est du foutage de gueule . Du pain béni pour elles .
> Quant à dévitaliser cette dent , mieux vaut ne pas dire ici ce que j'en pense
> ...
> On nous traite de voleurs ? Non , sans blague ....

Le débat est la.Le Ministère bloque les remboursements de soins depuis 35ans, en disant aux mutuelles de faire ce qu'elles veulent, et explique aux patients qu'on s'en met plein les poches.
Résultat: le champ d'indication thérapeutique est laisser libre aux praticiens. Et ca va étre comme ça pour tout et tous, bientôt.

La démonstration de Chicot est parlante, et ça nous fait bien ch.. mais il a raison:
Le syndicat qui signe ces accords, et nous laisse nous débrouiller aprés, et ben il est possible qu'il ai la MEME démarche de soin.
Et c'est pour ça que les élections sont les bienvenus en 2015, on va pouvoir se compter.


003 penrd2 - Eugenol
Cingulum

05/02/2015 à 11h00

"Le patient éclairé choisit."

Eclairé sur quoi ?? sur ce que ça va lui coûter ou ce que ça va lui rapporter...

Tu l'éclaires :
- sur les risques endo ? .. casse, dépassement, infection à moyen long terme, perfo...
Sur le pronostic moins bon des restaurations sur dent dépulpée que sur dent pulpée ?
Sur les conséquences esthétiques, biologiques et mécanique d'une dent dépulpée...

Tu éclaires personnes... Tu mets le patient devant un choix financier...
Alors que ton métier est de choisir le meilleur traitement pour l'avenir des dents de ton patient ....


--
Dr Cingulum
-----Ancien interné----
----Attaché à l'apex----
http://www.clinic-all.fr/ formation par passion


12...