Cookie Consent byPrivacyPolicies.comMerveilleuse nomenclature - Eugenol
E - Eugenol
e.maxx

07/02/2015 à 19h58

très intéressante cette discussion.....
le reste a charge est le problème de beaucoup de patient, et il faut bien les soigner non?
pour ce cas, l'onlay est l'indication ideale; si le patient peut pas payer, on fait quoi? un compo? je pense que 9 fois sur 10 ça se termine en screw-post +amalg(de ce que je vois!!), et la probabilité à 5 ans que la dent fracture est non négligeable.... alors forer pour mettre un screwpost ou un inlay core......


003 penrd2 - Eugenol
Cingulum

07/02/2015 à 20h08

.


Canard fkryf7 - Eugenol
Agachon

07/02/2015 à 20h10

e.maxx écrivait:
----------------
> très intéressante cette discussion.....
> le reste a charge est le problème de beaucoup de patient, et il faut bien les
> soigner non?
> pour ce cas, l'onlay est l'indication ideale; si le patient peut pas payer, on
> fait quoi? un compo? je pense que 9 fois sur 10 ça se termine en screw-post
> +amalg(de ce que je vois!!), et la probabilité à 5 ans que la dent fracture est
> non négligeable.... alors forer pour mettre un screwpost ou un inlay core......


Nous sommes des thérapeutes et non des techniciens, ce qui fait que l'on traite un problème de santé dans sa globalité. En plus de tous les paramètres intrinsèques de la dent (délabrement, paro etc.), on doit intégrer tout le reste : l'âge du patient, son taux de caries, sa motivation à l'hygiène, à venir aux rendez-vous et aux visites de contrôle, son implication dans sa santé bucco-dentaire ainsi que sa capacité financière.

C'est pour cela qu'on ne peut appliquer de "recettes", et que pour 2 patients avec la même pathologie, il pourra y avoir 2 traitements différents.


003 penrd2 - Eugenol
Cingulum

07/02/2015 à 20h16

.


003 penrd2 - Eugenol
Cingulum

07/02/2015 à 20h29

"Mon Dieu comme c'est mignon toutes ces oies blanches...

25 pages à lire vos conneries de petites filles prudes alors que Chicot n'a fait qu'exposer à la patiente les différentes solutions thérapeutiques envisageables...."

Le problème initié par ce post c'est que la devitalisation avec un faux moignon sur cette molaire ne devrait pas être une solution thérapeutique.
Elle a été présentée comme solution économique, notre métier c'est de soigner les gens. Ce n'est pas de faire en sorte que cela leur coûte rien.
C'est de la responsabilité des organismes sociaux et privés que revient le remboursement.

Le fil est au final fort intéressant et je trouve assez constructif pour une fois sur Eugenol.
J'ai noté qu'on pouvait s'adapter à sa patientelle. J'ai préféré qu'elle s'adapte à ma vision de la santé dentaire.


Capture d  cran 2015 03 12 12.28 - Eugenol
chicot29

07/02/2015 à 20h31

Cingulum écrivait:
------------------
> <
> 25 pages à lire vos conneries de petites filles prudes alors que Chicot n'a fait
> qu'exposer à la patiente les différentes solutions thérapeutiques
> envisageables....>>
>
> Le problème initié par ce post c'est que la devitalisation avec un faux moignon
> sur cette molaire ne devrait pas être une solution thérapeutique.
> Elle a été présentée comme solution économique, notre métier c'est de soigner
> les gens. Ce n'est pas de faire en sorte que cela leur coûte rien.
> C'est de la responsabilité des organismes sociaux et privés que revient le
> remboursement.
>
> Le fil est au final fort intéressant et je trouve assez constructif pour une
> fois sur Eugenol.
> J'ai noté qu'on pouvait s'adapter à sa patientelle. J'ai préféré qu'elle
> s'adapte à ma vision de la santé dentaire.

Et bien moi je m'adapte au système collectiviste ( sécu + mutuelle) qui pompe un max de blé aux assurés pour des prestations de merde. Les assurés étant également des électeurs, qui dans leur majorité, cautionnent ce système collectiviste . Je n'ai pas l'ombre d'un scrupule à leur faire profiter à fond de ce système de santé que tout le monde nous envie.
Pas de temps à perdre à leur expliquer que ce qu'il faut faire dans la plupart des cas c'est justement ce que ce système de merde ne rembourse pas. Je fais le minimum syndical c'est tout.


E - Eugenol
e.maxx

07/02/2015 à 20h41

chicot29, je pense que la couronne sur dent vivante avec reconstitution du moignon par compo aurait été plus approprier; mais c'est surement parce que j'ai pas envie de m'emmerder a faire l'endo(mais toi tu maitrise cette acte!!!)
le problème c'est que dans ton cas cela aurait squizzer la ventilation du prix sur l'inlay core.....


moritooth

07/02/2015 à 20h44

chicot29 écrivait:
------------------
> Pas de temps à perdre à leur expliquer que ce qu'il faut faire dans la plupart
> des cas c'est justement ce que ce système de merde ne rembourse pas. Je fais le
> minimum syndical c'est tout.

A relativiser car tu fais des endo impeccables, très au-dessus de la moyenne!


Marque a3 orange fyvhyq - Eugenol
Marc Apap

07/02/2015 à 21h53

Et puis merde, ce ne sont que des dents, et en plus, au fond de la bouche qui ne se voient pas.
C'est pas comme si on disait qu'il fallait descendre 15 personnes à la Kalachnikov parce qu'on estime que c'est la seule façon d'imposer sa manière de penser.


dentek

07/02/2015 à 22h01

Du coup, je trouve les pseudos de Chicot 29 et Cingulum bien adaptés à leurs visions respectives ;-)


Capture d  cran 2015 03 12 12.28 - Eugenol
chicot29

07/02/2015 à 23h05

moritooth écrivait:
-------------------
> chicot29 écrivait:
> ------------------
> > Pas de temps à perdre à leur expliquer que ce qu'il faut faire dans la plupart
> > des cas c'est justement ce que ce système de merde ne rembourse pas. Je fais
> le
> > minimum syndical c'est tout.
>
> A relativiser car tu fais des endo impeccables, très au-dessus de la moyenne!

En terme d'information. Les endos c'est pas pour etre emmerdé après. -)))


Capture d  cran 2015 03 12 12.28 - Eugenol
chicot29

07/02/2015 à 23h13

Marc Apap écrivait:
-------------------
> Et puis merde, ce ne sont que des dents, et en plus, au fond de la bouche qui ne
> se voient pas.

C'est sur. je préfèrerais néanmoins etre un des technocrates responsables de se merdier, c'est plus cool de ne pas se salir les mains et de ne pas etre confronté à la réalité de ses décisions. .


carident

08/02/2015 à 00h08

Je pense qu'il est très difficile de dire de manière péremptoire qu'il existe une solution thérapeutique idéale dans tel, ou tel cas de figure... Et en particulier dans ce cas précis. Beaucoup d'autre facteurs sont à prendre en compte, en tout cas beaucoup de facteurs qui ne figurent pas dans la présentation du cas qui a initié ce post.

En réalité, chacun d'entre nous a ses domaines de de prédilection, et quoique l'on puisse dire notre façon de présenter les différentes propositions thérapeutiques au patient aura tendance à l'influencer, sauf à donner des statistiques objectives de durabilité que l'on retrouve dans la littérature scientifique...

Et là encore, ces statistiques ne veulent rien dire, car quelque soit le matériau ou la technique utilisée, notre travail est manuel, et de ce fait les résultats au long terme demeurent essentiellement influencés par l'opérateur.

Celui qui est "nul" en endo aura tendance à botter en touche, et à reculer au maximum cette étape quitte à la rendre infaisable par la suite, en privilégiant de préserver la vitalité de cette dent... Mais, est-on sûre au moins que cette dent soit encore viable???

Il y a vitalité et vitalité... Cette dent a-t-elle encore le potentielle pour supporter un protocole d'hybridation/collage, une préparation périphérique? Un peu de lecture sur le sujet ferait le plus grand bien à certains qui au début du fil était prêt à vilipender Chichot29...

http://www.endoexperience.com/filecabinet/Consent%20Forms%20and%20Printouts/Patient%20Education/The%20Warning%20Signs%20of%20Pulpal%20Insult.pdf

http://onlinelibrary.wiley.com/doi/10.1111/iej.12340/abstract

Celui qui ne maitrise pas les techniques moderne de collage aura tendance à ne pas proposer les onlays, facettes, ou à les proposer à demi mot... Le patient ressentira ce peu d'entousiasme ; il est difficile de faire adhérer autrui à quelque chose à la quelle on ne croit pas soit même!

Une endo suivie d'un IC+couronne faite par quelqu'un qui maitrise son sujet aura une bien meilleure longévité qu'un onlay réalisé par un débutant en la matière... Quoiqu'on en dise, une couronne bien réalisée aura toujours une meilleur longévité qu'un onlay...

Quant à l'inlay core, qui a une mauvaise réputation, j'en pose plus de 200 par an sans qu'aucune dent reconstituée de la sorte ne casse, et sans qu'aucune de mes couronnes ne se descelle. J'exerce depuis 8 ans au même endroit... Comme pour toute technique, tout protocole, le diable se cache dans les détails : il faut être rigoureux et comprendre pourquoi les choses doivent être faite comme ceci et pas comme cela, et savoir apprendre de ses erreurs lorsque l'on en fait...

De là à éviter l'endo sous prétexte que l'on a un taux important d'infection suite à ses traitements canalaires...
On a qu'à proposer un implant tant qu'on y est!

@chipoundine

"
En prenant le problème à l'envers , en gardant ce qui est conservable (la pulpe et les 2 mm des parois cervicales vestibulaires et linguales) , il est possible aujourd'hui , avec les techniques de collage , de restaurer des dents, sans avoir à réaliser d'endos à visée prothétique.

Dans une dizaine d'année, il sera toujours possible de refaire un onlay et peut être un IC et une CCM dans 20 ans et un implant dans 30... "

Très jolis tes deux onlays sur 25-26, mais que feras tu si dans 5 ans la pulpe se nécrose, et que retrouves à ce moment là des canaux complètement oblitérés et calcifiés?
ça sera l'extraction et implant, sans passer par la case IC+couronne...
Et après on me dira que l'onlay est la meilleur solution à long terme?

Cette semaine, j'ai galéré deux séances de 30 min pour traiter une incisive latérale maxillaire complètement calcifiée... J'ai essayé le forêt pilote, puis j'y suis allé carrément à la fraise diamentée fine pour rejoindre une portion de canal non oblitérée plus apicalement...
Quid du traitement d'une molaire nécrosée et complètement calcifiée?

http://www.endoexperience.com/pro_newsMar02.html

http://www.theendoblog.com/2007/12/finding-calcified-canal.html

1   02022015 xhyug0 - Eugenol
3   02022015 athoja - Eugenol
2   02022015 jomvv1 - Eugenol
4   06022015 zewfwa - Eugenol
5   06022015 uym87j - Eugenol

carident

08/02/2015 à 00h19

Quant au couronne sur dent vivante (notion toute relative)... sur une dent ayant déjà subie beaucoup de traumatisme (caries, grosses restaurations, fêlure, traitement ortho, récession gingivale, trauma occlusaux, concussion, etc...)... Tout cela pour faire une préparation moins mutilante et donc une couronne moins esthétique... No comment.

A part, si la dent n'a aucun antécédent et sur une personne jeune, je ne vois pas l'intérêt.

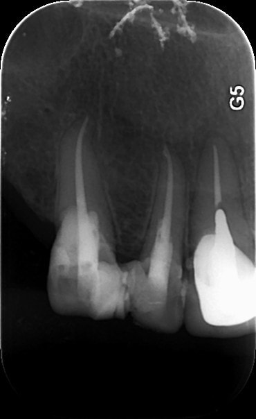
Ci-dessous un bridge quasi complet mandibulaire à 3 ans (fin 2013) : seule dent présentant une lésion apicale... La seule dent qui était vivante et intacte au départ! hahahaha

N crose pulpaire bridge 3 ans 16122013 wo4jfh - Eugenol

carident

08/02/2015 à 00h24

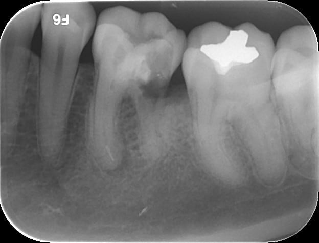
Parfois, les soins conservateurs aboutissent plus rapidement à des lésions apicales... 36 et 46 même patient, même résultat! Arrivé en urgence avec une cellulite très importante côté de gauche...

N crose pulpaire 46   01122014 vjykji - Eugenol
N crose pulpaire   11122014 m74z40 - Eugenol
N crose pulpaire   01122014 acyqev - Eugenol

carident

08/02/2015 à 00h38

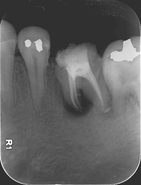
De la à dire que nos propositions thérapeutiques sont influencées par la nomenclature... Je dirais qu'elles sont plutôt influencée par nos aptitudes et/ou nos inaptitudes!

Patiente venue me voir en septembre 2011, après avoir été charcuté par un dentiste qui ne maitrisait visiblement pas la cavité d'accès (lime cassée et perforation monstrueuse)... et s'être vu proposé un implant par deux autres dentistes.

Hemisection 1   20092011 ym6khl - Eugenol
H misection 2   26092011 tzinao - Eugenol
H misection 3   29092011 cpywb0 - Eugenol
H misection 4   12112014 cp4xrk - Eugenol

levm

08/02/2015 à 01h36

http://www.has-sante.fr/portail/upload/docs/application/pdf/2009-10/rapport_inlay_onlay.pdf
page 78 , dernières recommandations en date.

Ah oui , la HAS c est aussi bozzo le clown ?

J'ai parlé pas plus tard que cette aprés midi à une consoeur qui a mis la clef sous la porte
Je lui ai demandé comment on peut arriver là?
Elle me répond qu''elle a beaucoup proposé d'onlay sur des dents dépulpées et que les patients ne suivaient pas à cause du fameux reste à charge .

Elle a à diminué ses honoraires mais le cabinet a fermé.

Bref , pour un patient qui ne veut pas payer ses soins (qui paye à la fois une mutuelle et sa sécu) et qui ne Fera pas les soins .
Est -il preferable de laisser sa dent pourrir ou de poser une CCM/Inco remboursé ?
le patient choisit son traitement aprés lui avoir exposé les avantages inconvénients ainsi que le cout respectif.

Le collage s'adresse à qui ?
-pour les patients :une ultra minorité exercant dans les beaux quartiers parisiens capables de payer des milliers d'euros sans broncher.
Pour le reste , on fait quoi .

-pour les praticiens : une ultra minorité quasiment tous déconventionné. Collage de 6 facettes chez un "ponte" =4h.
Pose de la digue , préparation des surfaces dentaires et des ceramiques , essayage , collage.

Capture d  cran 2015 02 08   00.18 - Eugenol

chipoundine

08/02/2015 à 08h52

Je pense que de toutes façon nous ne serons pas d'accord , et chacun peut mettre une photo pour expliquer à l'autre qu'il a tort ou raison.

On nous a appris justement que rien ne marche à 100 % et qu'il faut voir les choses sur le long terme pour comparer, donc si un ponte colle une facette et qu'elle se décolle , on ne peut pas conclure que la facette c'est de la merde en inversement pour les CCM.

j'en tend bien vos sirènes en ce qui concerne les éventuelles nécroses ou calcifications...j'adore la radio qu'a posté carident avec le bridge complet et la 37 nécrosée.
Premièrement nous ne connaissons pas l'étiologie de cette nécrose ( bactérienne, occlusale ?)
Malgré tout il suffit de percer le bridge en occlusal et de traiter la nécrose, et le tour est joué , tu fais quoi cardent si tu as une pêche sous un des autres piliers ? du déposes tout et tu recommence à tes frais ?

Avec des "si" on ne fera que tourner en rond et comme dit précédemment il faut prendre en compte la globalité.

Je n'ai jamais dit que la CCM est un mauvais traitement , je dis que dans Beaucoup de cas , il est possible de passer par l'étape "ONLAY" et que peut être un jour on arrivera à la CCM ? Toute la différence est là, le nuit est de faire gagner quelques années supplémentaires aux dents. J'espère que c'est clair pour vous sur ce point.

Enfin , pour finir , vous pensez vraiment que les praticiens qui pratiquent la dentisterie adhésive aux States ou en Suisse ou ailleurs , vu les tarifs qu'ils pratiquent ( 800 euros pour un inlay ), peuvent se permettre de prendre autant de risques que ce que vous décrivez ?

Soyons sérieux ! Vu la qualité des obturations canalaires réalisées dans l'hexagone , je pense que 95% d'entre nous auraient des dizaines de procès au cul , en exerçant de la sorte aux états unis.

Donc oui je continue de faire des CCM et des IC , dans certains cas , même pour des raisons financières, par contre je suis CONTRE la systématisation de l'IC CCM . Donc pour en revenir sujet , sur la patient de chicot 29 , j'aurai fait un compo , et expliqué au patient de mettre 38 euros par mois de côté pendant 1 an , et fait un inlay dans 1 an ! S'il refuse je l'envoie ailleurs.


levm

08/02/2015 à 10h19

chipoundine écrivait:
---------------------
> Je pense que de toutes façon nous ne serons pas d'accord , et chacun peut mettre
> une photo pour expliquer à l'autre qu'il a tort ou raison.

Ce n'est pas une photo , c'est la dernière recommandation de la HAS .


> On nous a appris justement que rien ne marche à 100 % et qu'il faut voir les
> choses sur le long terme pour comparer, donc si un ponte colle une facette et
> qu'elle se décolle , on ne peut pas conclure que la facette c'est de la merde en
> inversement pour les CCM.

Je n'ai jamais dit que la facette n'est pas un traitement de confiance .J'en ai une bouche. Ce qui me déplait , c'est qu'un nouveau traitement arrive avec peu de recul clinique et ceux qui travaillent encore à l'ancienne ont une qualification de "dentisterie low cost".
Des CCM avec inlay core en bouche présente depuis 20 ans , j'en vois régulierement.
Par contre , le joint du compo fait à mon frere sous digue quand j'étais étudiant il y a quelques années se détériore de plus en plus .

on a la meme attitude en implanto ou en ortho. Si tu ne fais pas Damon , tu bosses mal , tu fais perdre du temps à tes patients , etc.




> Je n'ai jamais dit que la CCM est un mauvais traitement , je dis que dans
> Beaucoup de cas , il est possible de passer par l'étape "ONLAY" et que peut
> être un jour on arrivera à la CCM ? Toute la différence est là, le nuit est de
> faire gagner quelques années supplémentaires aux dents. J'espère que c'est clair
> pour vous sur ce point.

Je suis entierement d'accord ,un onlay doit etre proposé avant la CCM.
On vit dans un pays où une grosse majorité ne désire plus payer .Si les centres dentaires cartonnent , d'aprés vous , c est pour quelles raisons ?
On fait quoi pour ces patients qui ne veulent pas payer ?
un compo et on se met en faillite
on laisse pourrir la dent jusqu'a l'extraction ?
on l adresse en centre , il repartira avec une endo minute obturée loin de l apex.
Perso , ca ne me pose aucun probleme aussi de faire une couronne et un inlay core.
je pense qu'on oublie facilement que sortir des milliers d'euros pour un francais moyen est impossible.






>
> Enfin , pour finir , vous pensez vraiment que les praticiens qui pratiquent la
> dentisterie adhésive aux States ou en Suisse ou ailleurs , vu les tarifs qu'ils
> pratiquent ( 800 euros pour un inlay ), peuvent se permettre de prendre autant
> de risques que ce que vous décrivez ?


on est pas aux States , ni en suisse et encore moins dans les pays nordiques .
Au states , le patient paye tous ses soins . J'en reviens . Tout n'est pas non plus si rose. on peut voir dans le métro des publicités pour des facettes ou de l'ortho poussant à la surconsommation ou au surtraitement
Je ne parle meme pas des pubs à la télé pour du cialis ou d'autres médicaments

en suisse le niveau de vie est différent et dans les pays nordiques , on récompense la prévention.





> Soyons sérieux ! Vu la qualité des obturations canalaires réalisées dans
> l'hexagone , je pense que 95% d'entre nous auraient des dizaines de procès au
> cul , en exerçant de la sorte aux états unis.


D'un autre coté , on ne paye pas 83 euros pour une bio molaire aux USA ni 33 euros une extraction la bas .
Tu crois que tu peux exiger une qualité fauchon à prix lidl ?





> Donc oui je continue de faire des CCM et des IC , dans certains cas , même pour
> des raisons financières, par contre je suis CONTRE la systématisation de l'IC
> CCM . Donc pour en revenir sujet , sur la patient de chicot 29 , j'aurai fait un
> compo , et expliqué au patient de mettre 38 euros par mois de côté pendant 1 an
> , et fait un inlay dans 1 an ! S'il refuse je l'envoie ailleurs.


Le patient ira à la mutuelle d a coté .
il aura un reste à charge à 0
Le chiffre d affaire va etre impacté
Et on aura le droit sur eugenol à des sujets 'mon cabinet ne tourne plus".
C'est malheureux mais c est comme ca


Capture d  cran 2015 03 12 12.28 - Eugenol
chicot29

08/02/2015 à 10h37

C'est exactement ce que j'ai vécu avec le cerec. Meme à 150 euros l'onlay dans une écrasante majorité un ic-coiffe emporte la timbale.
Pour que l'onlay soit choisi à 100 % il faut écrémer sa clientèle à 95 % dans mon cas. C'est d'ailleurs le meme % age qu'en implanto.


Capture d  cran 2015 03 12 12.28 - Eugenol
chicot29

08/02/2015 à 10h40

carident écrivait:
------------------
> De la à dire que nos propositions thérapeutiques sont influencées par la
> nomenclature... Je dirais qu'elles sont plutôt influencée par nos aptitudes
> et/ou nos inaptitudes!
>
C'était pareil à l'école. Un de mes prof de français disait que les élèves choisissaient des sections littéraires non pas parce qu'ils aimaient le fiançais mais parce que les maths les repoussaient. j'étais d'ailleurs beaucoup plus conservateur à mes débuts, on avait ni réciproc, ni endo master mais des bonnes vieilles limes K, bonjour la galère pour faire une endo.


P2eqdh3csim6s7nb09ktdq3e7ev8 - Eugenol
barbabapat

08/02/2015 à 10h51

carident écrivait:
------------------
> De la à dire que nos propositions thérapeutiques sont influencées par la
> nomenclature... Je dirais qu'elles sont plutôt influencée par nos aptitudes
> et/ou nos inaptitudes!
>
> Patiente venue me voir en septembre 2011, après avoir été charcuté par un
> dentiste qui ne maitrisait visiblement pas la cavité d'accès (lime cassée et
> perforation monstrueuse)... et s'être vu proposé un implant par deux autres
> dentistes.
>

Le bridge onlay-couronne est aussi risqué d'un point de vue mécanique à cause de la trop grande différence de rétention entre l'onlay et la couronne qui induit régulièrement un descellement de l'onlay et une carie secondaire dessous.

Et sans onlay, une extension distale seule pose un problème mécanique et un problème de nettoyage.

Sinon, j'ai eut une patiente qui pourrait donner cette image si elle ne revenait pas à son prochain rendez vous, normalement sans la lime cassée.
Résorption interne en mésial de 37 et cavité d'accés en occlusal. La radio en fin d'ouverture donne l'impression que j'ai perforée en mésial et en cervical pour trouver les deux canaux mésiaux.

Ca me fait chier car soit je détruis la crête d’Émail pour y voir clair, soit je la conserve mais le collage va se faire totalement à l'aveugle en sous gingival presque en juxta osseux.



Orezza gazeuse verre litre ocoxey - Eugenol
casa

08/02/2015 à 11h22

Moi je m'éclate à faire des extractions et des complets ... c'est balot ! Par contre j'ai horreur de tailler une dent pour faire une couronne ....

Mais j'ai trouvé la truc je draine des abcès paro toute la journée .....il n'en reste aucune trace ....vive la CCAM ...


Vw campersurfvan bmnk1q - Eugenol
enlaye

08/02/2015 à 11h44

J aime beaucoup la tournure de ce fil .
Il est honnête .
Alors puisque l on est dans la vérité ,j avoue avoir devitalisé a mort puisque sorti de promotion années 85.
( avoir fait une thèse sur conservation vitale.....)
Et bien j ai quand même le sentiment , que dévitaliser peut faire beaucoup de bien ,pour le patient.
Oui oui ,vous pouvez crier , vous rouler par terre , me traiter de tout ......je pense que dans certains cas ,l endo est un vrai ttt médical .
Je dis ca ,je vous dit tout . ......


Capture d  cran 2015 03 12 12.28 - Eugenol
chicot29

08/02/2015 à 11h52

heureusement que je ne peux pas saquer faire des complets et de la mobile. Ca serait un massacre ! -))))


1...10111213