Cookie Consent byPrivacyPolicies.comMerveilleuse nomenclature - Eugenol
Capture d  cran 2015 03 12 12.28 - Eugenol
chicot29

05/02/2015 à 15h48

fistule69 écrivait:
-------------------
> Post de depart !
> Honnêtement, la dent est quand même bien niquée !
> Fêlure mesiale et distale, le curetage n'est pas complet sur l'arrête restante.
> Une couronne, c'est pas une connerie, patient 25-35 on tente l'onlay, patient
> 45-55, je couronne directement !
> C'est une 6 ! 150 kg pression au cm2 !
>
> J'aime bien les Zorros dentistes, moi, moi, moi, moi !
>
> Chacun monte sa sauce à sa façon et vive le libéral !
>
> Chicot, faut bien remplir le réservoir du 6 cylindres !


8 cylindres. -)))) Cependant largement moins gourmand que l'urssaf et la cardcd. 2000 euros de carburant VS 80 000 il n'y a pas photo ! -)))))


Capture d  cran 2015 03 12 12.28 - Eugenol
chicot29

05/02/2015 à 15h52

fistule69 écrivait:
-------------------
> Cingulum, je pense comme toi en fonction de l'indication et de la motivation du
> patient !

La motivation du patient ? De quelle sorte de motivation parles tu ?


el diablo

05/02/2015 à 16h14

Les mutuelles acceptent elles qu'on adapte le devis en fonction de leur réponse? (genre augmenter prix IC pour réduire reste a charge)


4a338550 6a5b 47ea b2a7 d3cb675c5076 oni5gh - Eugenol
fistule69

05/02/2015 à 16h16

Certains comprennent mieux que d'autres la notion d'économie tissulaire !
Mais, j'ai comme toi des patients constipés du porte monnaie ou la seule motivation est l'économie financiere.
Comment tu dis : ce pays est ?
😷😖


4a338550 6a5b 47ea b2a7 d3cb675c5076 oni5gh - Eugenol
fistule69

05/02/2015 à 16h20

@👹👺
Non, l'autre jour j'ai reçu une demande d'explications de la mutuelle d'un pote !
J'ai expliqué la hausse de l'IC par le choix du métal !
Et ils ont bien été oblige d'accepter.😷🙉🙊🙊


Azerty06

05/02/2015 à 16h22

casa écrivait:
--------------
> heureusement que la médecine ..la vraie ! ne tient pas ce genre de raisonnement
c'est ironique ou naïf ?


003 penrd2 - Eugenol
Cingulum

05/02/2015 à 16h46

pouvez vous regarder honnêtement le temps et le cout pour:
Endo + IC + Couronne, avec frais de laboratoire et temps passé

et ensuite faire la même chose pour:
Couronne sur dent vivante...

et enfin regardé quelle rentabilité vous avez selon les deux protocoles ...
Vous allez être surpris...



--
Dr Cingulum
-----Ancien interné----
----Attaché à l'apex----
http://www.clinic-all.fr/ formation par passion


4a338550 6a5b 47ea b2a7 d3cb675c5076 oni5gh - Eugenol
fistule69

05/02/2015 à 16h52

Cingulum, tu dois avoir des actions chez UHU !
😷😆


01 ukhwbq - Eugenol
ʎqqoq

05/02/2015 à 16h54

Ça me rappelle un truc ça Cingulum ^^
Sans parler de rentabilité, c'est de la faisabilité ou non qu'il faut être conscient.
Mais effectivement, si c'est faisable, indiqué, et en plus rentable, que demande le peuple?


moritooth

05/02/2015 à 17h18

En fait en lisant ce fil j'ai l'impression que nous sommes très peu à faire des Cr sur dents vivantes. Probablement une déformation de l'epoque de l'entente préalable où il fallait envoyer la radio de la dent "traitée". Sortez vous de la tête que pour avoir une CR remboursée il faut obligatoirement avoir une dent dévitalisée !!

Personnellement depuis 10 ans, je fait 2 CR sur 3 sur dent vivante, et j'ai pas plus, voir moins de problème qu'avec des endo délicates. Pour ceux qui veulent de la rentabilité, y'a pas photo on part pas avec le deficit de l'endo. Pour ceux qui veulent de la sécurité, y'a pas photo par rapport à onlay ( même bien collé !).

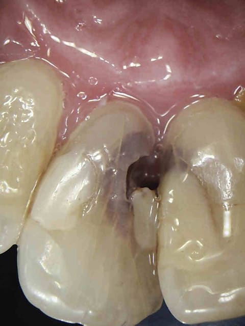
Pour en revenir au cas de départ présenté par Chicot29, sauf pathologie pulpaire, cette dent à simplement besoin d'une bonne couronne. L'histoire de la dévitalisation c'est dans nos têtes de dentistes que ça se passe, et l'IC j'en parle même pas parceque je serai grossier.

Chez moi sur un cas comme ça quand j'explique au patient que sa dent a besoin d'une couronne : pas de problème. Mais si j'enchaine en lui disant il faut la dévitaliser, là il commence à se poser des questions ( légitimes d'ailleurs), "on est vraiment obligé Docteur?" .

Sans rire, essayer ça va vous changer la vie !, et techniquement à part un deux trucs à savoir, c'est pas compliqué.


Capture d  cran 2015 03 12 12.28 - Eugenol
chicot29

05/02/2015 à 17h24

roger chicot écrivait:
----------------------

> Et j'espère que les cdc ne nous lisent pas ce matin et que ton sujet passe vite
> aux oubliettes.

Au contraire, il serait intéressant de leur demander pourquoi les actes médicalement indiqués ( onlays) dans de nombreux cas, sont justement ceux que la sécu ne rembourse pas. Question à poser par l'assuré d'ailleurs.


moritooth

05/02/2015 à 17h28

chicot29 écrivait:
------------------
> roger chicot écrivait:
> ----------------------
>
> > Et j'espère que les cdc ne nous lisent pas ce matin et que ton sujet passe
> vite
> > aux oubliettes.
>
> Au contraire, il serait intéressant de leur demander pourquoi les actes
> médicalement indiqués ( onlays) dans de nombreux cas, sont justement ceux que
> la sécu ne rembourse pas. Question à poser par l'assuré d'ailleurs.

En fait aucun CDC ne peut te répondre la-dessus c'est pas eux qui font la nomenclature, ils se contentent de la faire appliquer. C'estles pouvoirs publics qui sont responsables de cet état de fait.


Capture d  cran 2015 03 12 12.28 - Eugenol
chicot29

05/02/2015 à 17h31

Oui, personne n'est responsable, c'est le système. Hein ?


Capture d  cran 2015 03 12 12.28 - Eugenol
chicot29

05/02/2015 à 17h38

Cingulum écrivait:
------------------
> pouvez vous regarder honnêtement le temps et le cout pour:
> Endo + IC + Couronne, avec frais de laboratoire et temps passé
>
> et ensuite faire la même chose pour:
> Couronne sur dent vivante...
>
> et enfin regardé quelle rentabilité vous avez selon les deux protocoles ...
> Vous allez être surpris...
>
C'est évident, mais je ne dis pas l'inverse. Tu crois que ca me plait de faire ca ? Tu es sur un petit nuage je pense ou tu as sélectionné ta clientèle au départ en ne gardant que les patients "motivés". Je trouve ca élégant cette notion de "patient motivé" décontracté du porte monnaie. -))))


l adan

05/02/2015 à 17h38

Je fais aussi souvent des couronnes sur dents vivantes . Par contre dans le cas present , j'y reflechirai à deux fois : grosse obturation, nombreuses felures (atteinte pulpaire ?) et retraction pulpaire +++ .
N'as tu jamais eu des réactions apicales aigues suite à la pose d'une couronne sur de telles dents ?
Par contre , inlay core : non !


eusebius

05/02/2015 à 18h00

moritooth écrivait:
-------------------

>
> Sans rire, essayer ça va vous changer la vie !, et techniquement à part un deux
> trucs à savoir, c'est pas compliqué.


tu peux préciser vite fait?? :-))


moritooth

05/02/2015 à 18h01

chicot29 écrivait:
------------------
> Oui, personne n'est responsable, c'est le système. Hein ?

Derrière le système y'a toujours des responsables, des ministre, des directeurs de CNAM, des présidents(es) de syndicat...


Capture d  cran 2015 03 12 12.28 - Eugenol
chicot29

05/02/2015 à 18h01

Tiens quel plan de tt pour ces 2 centrales ? Pas de symptomatologie pulpaire.

1 l13vhm - Eugenol
5 jxsarf - Eugenol

youn

05/02/2015 à 18h04

Ben oui mais une couronne sur dent vivante a été proposée cingulum, elle est juste plus chère que la couronne au-dessus d'un IC. Ce qui est normal.

Et je vais faire un calcul simple :

IC + CCM + endo : 2h30 (en étant sympa) et 120€ de prothèse.

CCC sur dent vivante : 1h30-1h45 et 125€ de prothèse.

Tarif proposé par chicot : IC+CCM+endo : 97.90 + 360 + 320 = 784€-120/2.5 = 265€/h

CCC : 483€ - 125 / 1.75 = 204€/h

.... Pas certain pour la rentabilité pour moi la CCC sans IC devrait être autour de 590€ pour la même rentabilité horaire.


Capture d  cran 2015 03 12 12.28 - Eugenol
chicot29

05/02/2015 à 18h06

eusebius écrivait:
------------------
> moritooth écrivait:
> -------------------
>
> >
> > Sans rire, essayer ça va vous changer la vie !, et techniquement à part un
> deux
> > trucs à savoir, c'est pas compliqué.
>
>
> tu peux préciser vite fait?? :-))

Oui précises. Autant des 7 et des 8 maxillaires à dévitaliser je trouve ca facile, mais une taille de couronne sur dent vivante j'ai des soucis. -)))))


youn

05/02/2015 à 18h14

Et je ne parle pas de L'ASM qui est bien supérieure avec une CCC vendue plus chère que la CCM


youn

05/02/2015 à 18h16

Ni de l'Onlay vendu moins cher qu'une CCC... Je ne comprends vraiment pas cela.

Dans beaucoup d'autres pays Onlay=Couronne question tarifs.


Photo thumb 45 lnhuvp - Eugenol
wakrap

05/02/2015 à 18h18

chicot29 écrivait:
------------------
> Tiens quel plan de tt pour ces 2 centrales ? Pas de symptomatologie pulpaire.


Cerec.


003 penrd2 - Eugenol
Cingulum

05/02/2015 à 18h19

"CCC sur dent vivante : 1h30-1h45"

Donc 30 min pour faire l'endo ? et 1h30 pour faire prep, empreinte pose ?

Si tu fais pas l'empreinte pour Inlay core le jour de l'endo faut rajouter un bon quart d'heure d'installation, dépose pansement etc...
Et en plus dans ton calcul le FM est gratuit :)

refais ton calcul tu vas voir que c'est kif kif... voir plus pénalisant avec l'endo
Sans compter la sté, le consommable et le plaisir de l'acte endodontique...

--
Dr Cingulum
-----Ancien interné----
----Attaché à l'apex----
http://www.clinic-all.fr/ formation par passion


moritooth

05/02/2015 à 18h20

1; Tailler avec fraise pas usagée, sous spray abondant. Turbine ou bague rouge peu importe.

2; Coiffe pro scellée avec IRM fluide. Lors des interséances, on laisse le ciment dans la pro, on rajoute juste une goutte d'eau avant de remettre la coiffe en place

3; Si proximité pulpaire : DYCAL ou CVIrésine ( surtout pas de CAOH)

4; Sur dent vivante on a souvent des tailles sous gingivales, donc empreinte à coque (= die en silicone fait dans la provisoire, et sur lequel on fait une petite coque en palavit)

5; Scellement selon hauteur moignon: du plus court au plus haut : SuperBond, Fuji+, et polycarboxylate (cas normaux)

6;Anesthesie pas trop chargé, chez des personnestd'un age a pulpe bien calcifiée on peut tailler sans AL, ils ne sentent rien !( mais tjs fraises neuves et spray)

Voilà rapidement mes trucs, mais quand j'ai commencé j'ai fait une petite formation,
En fait c'est une habitude. Mais que reconnais que quand j'ai démarré j'arrivais pas à imaginer une Cr sans dévitaliser.


1234...