Cookie Consent byPrivacyPolicies.comMerveilleuse nomenclature - Eugenol
chipoundine

05/02/2015 à 23h47

uɹöɾq écrivait:
---------------
> chipoundine écrivait:
> ---------------------
>
> > Sauf que de plus en plus de confrères ont pris conscience du changement de
> > "dogme" que nos chers profs de la fac nous inculquent en se basant sur des
> > ouvrages des années 70 , et ceux là échapperont peut-être au scandale de santé
> > publique auquel nous allons devoir répondre dans quelques années.
> >
>
>
> Quel scandale de santé publique?

de dévitaliser des dents asymptotiques à des fins prothétiques ....c'est un peu le débat du post.


John gp55mb - Eugenol
Faivre-rampant

05/02/2015 à 23h48

@chicot29
pour ton cas des incisives tu a utiliser un hémostatique ou un bistouri avant l'empreinte ?


uɹöɾq

05/02/2015 à 23h48

Tu penses, les dents, personne n'en a rien à branler.


Index vakr2r - Eugenol
pgc

06/02/2015 à 00h07

chipoundine écrivait:
---------------------

> > Quel scandale de santé publique?
>
> de dévitaliser des dents asymptomatiques à des fins prothétiques ....c'est un
> peu le débat du post.


Quand on en sera à traiter de ce scandale-là c'est qu'on en aura fini avec tous les autres...Tu penses vivre 1000 ans? :)
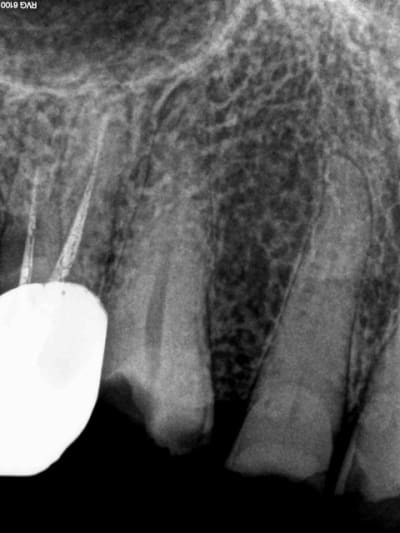
La dent que présente Chicot est pas blanc-bleue.
Bien délabrée
Archi-calcifiée
Un peu fêlée en mésial
Je pense pas qu'il ira aux Assises pour cette dent s'il prend la liberté de faire une endo.
Je peux me tromper hein...


Capture d  cran 2015 03 12 12.28 - Eugenol
chicot29

06/02/2015 à 00h22

chipoundine écrivait:
---------------------
> uɹöɾq écrivait:
> ---------------

> >
> > Quel scandale de santé publique?
>
> de dévitaliser des dents asymptotiques à des fins prothétiques ....c'est un
> peu le débat du post.

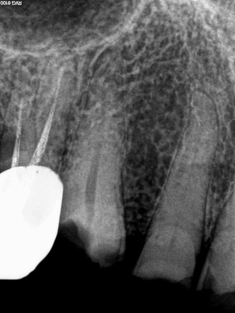
Sur une dent dévitalisée en général on couronne. Tu dois confondre a symptomatique et intactes. Elles sont intactes les dents de mon post ?
Si vous avez écrémé les patients peu solvables de votre clientèle à coup d'onlays, moi pas.
Le scandale c'est le non remboursement des onlays par la sécu et par les complémentaires. parce que figures toi quand tu as payé une fois l'assurance maladie csg et tout le toutim+ 1000-1500 euros de complémentaire ca commence à tirer la langue pour raquer encore entre 250 et 350 euros par onlay.
Exemple patient de 67 ans agriculteur à la retraite, revenus du couple 1200 euros par mois, cotisation mutuelle 1500 euros par an, remboursement par ceram 150 euros. Tu m'étonnes qu'il ait attendu pour aller chez le dentiste. Dents a symptomatiques (si si si) meme pas de pèches à la radio. Je dévitalise à des fins prothétiques ou je lui fout un coup de pompe dans le derche avec un devis full ceram hors de sa portée, parce que j'ai pas envie de m'emmerder avec un étalement de paiement sur les 600 euros qu'il va lui rester à charge meme au tarif CMU ? ?


1 hsgtda - Eugenol
2 idsadz - Eugenol
3 vpgcgn - Eugenol

youn

06/02/2015 à 00h23

chipoundine écrivait:
---------------------
> Donc moralité , il vaut mieux faire endo/IC/CCM sur ce cas plutôt qu'un compo en
> gardant la dent vivante, si le patient ne peux pas se payer d'inlay, car il
> risque de ne pas revenir, et donc la dent risque de se péter....sauf que si la
> dent elle pète le patient pourra peut être faire un inlay non ? les fractures
> sont systématiquement intra-pulpaires et intra-osseuses ? savait pas ....
>

En bref oui et de très loin. Les fractures quand on a une fissure comme c'est le cas là sont effectivement bien souvent infra osseuses. Et le seul risque n'est pas la fracture, il y a la carie infra osseuse...


> Je vous conseille donc avec un tel raisonnement , d'extraire toute dent cariée,
> et de la remplacer par un implant directement, au moins c'est réglé ! pas d'endo
> , pas de pêche , pas d'ASM....

Pas de raison: bien plus de péri-implantites que d'échecs de pulpo dans la littérature, faudrait se renseigner. Si pour toi l'implant est cette chose qui ne s'infecte jamais et reste en bouche toute sa vie, il va falloir se remettre à la lecture.
>
> C'est bien les gas continuez comme ça...Finalement certains d'entre vous ne font
> qu'appliquer les recettes des centre low-cost dans leur cabinet, mais en plus
> cher .

En centre low-cost m'étonnerait beaucoup qu'ils laissent le choix.

> que de plus en plus de confrères ont pris conscience du changement de
> "dogme" que nos chers profs de la fac nous inculquent en se basant sur des
> ouvrages des années 70 , et ceux là échapperont peut-être au scandale de santé
> publique auquel nous allons devoir répondre dans quelques années.

On ne répondra de rien du tout, on soigne des dents, on n'est pas des médecins ni même des médicaux.


Pour finir et comme je l'ai déjà dit, je pratique plus à la Cingulum qu'à la chicot, mais faut pas se voiler la face face, je soigne les riches et je suis bon vendeur. Je ne saurais pas être rentable comme chicot tout en ne faisant pas de la merde aux tarifs qu'il pratique.
Et enfin dans ce cas oui IC+CCM valent 1000 fois mieux qu'un vieux compo dégueu (même un parfait, là il faut cercler cette dent)!


Capture d  cran 2015 03 12 12.28 - Eugenol
chicot29

06/02/2015 à 00h34

Faivre-rampant écrivait:
------------------------
> @chicot29
> pour ton cas des incisives tu a utiliser un hémostatique ou un bistouri avant
> l'empreinte ?

Les 2.


Vw campersurfvan bmnk1q - Eugenol
enlaye

06/02/2015 à 01h13

Je crois que vous mélangez 2 types de traitements :
La prothèse fixée qui refait une fonction absente ou altérée
Et les techniques adhésives qui sont avant tout des soins de qualité.

Dans le 1er cas , il y a de la réflexion , de la stratégie , et la conservation pulpaire dépend du projet .
Dans le second cas , il n' y a pas de stratégie, là conservation pulpaire dépend de son état initial.

La conservation pulpaire n est pas synonyme de qualité , mais du peu de dégats sur l ensemble de la dentition .


Bebe 038 nf8eum - Eugenol
danteyeah

06/02/2015 à 04h47

enlaye écrivait:
----------------
>
> La conservation pulpaire n est pas synonyme de qualité , mais du peu de dégats
> sur l ensemble de la dentition .

+1
Bravo pour avoir posté avec cette phrase toute simple ce qui fait l'essence même de notre art: ici on ne soigne pas UNE dent, mais une pathologie sur un patient avec ses spécificités. Il s'avère simplement que pour beaucoup d'entre nous et de nos patients, la finance soit devenu une des spécificités la plus importante, et que cela pèse de plus en plus lourd sur la pratique voir le moral de notre ami chicot29, surtout qu'il fait pas un temps à sortir un "kite-surf" dehors pour se vider la tête et oublier qu'il y a déjà bien longtemps que notre gouvernement a passé à la trappe la santé bucco-dentaire de ses ouailles et l'éthique de ses choix thérapeutiques.

chicot29 nous donne une info au début du fil: pour lui le traitement idéal etait l'Onlay (il se trompe peut être mais nous n'avons pas assez de données pour le savoir) et qu'il en a plein le cul de ne pas pouvoir appliquer un plan de traitement aussi simple alors qu'il est parfaitement indiqué sur le plan économique qui dirige tout acte médical: meilleur ratio coût/intérêt therapeutique.

La question du post de chicot est toute simple: pourquoi continuons nous a accepter que les Français ne puissent être pris en charge sur des actes " basiques", pourquoi notre couverture sociale obligatoire (et pire: privée) privilège t- elle les actes lourd et délabrant.
L'UJCD a bien réussi en son temps à faire inscrire et valider de nouveaux actes à la nomenclature ( certes ce n'était pas les plus inspirés, mais à l'époque on restait encore dans les clous de notre enseignement), je ne comprends pas pourquoi le bon sens ne peut pas en faire autant aujourd'hui avec le collage indirecte?


Vw campersurfvan bmnk1q - Eugenol
enlaye

06/02/2015 à 09h00

Et oui danteyeah
Ce serait si simple de dire:
Un onlay = couronne. Question remboursement., puisque comme le dit chicot , un onlay se transforme vite en couronne ....pour une histoire de pognon.

en fait il faudrait augmenter le remboursement en fonction des faces proximales a restaurer !!!!!


Orezza gazeuse verre litre ocoxey - Eugenol
casa

06/02/2015 à 10h30

de toute façon , dans quelques années on aura des machines à 2 balles (cad moins de 1000€ à l'échelle dentaire !) qui te feront tes petits onlay/inlay dans les 5 mn !mais en attendant comme dit pgc , faudra attendre 1000 ans pour que le couple sécu, mutuelle rembourse le moindre "soin " à la valeur d'une couronne ! Mais c'est bien , Enlaye, tu essayes de recentrer le débat sur le côté médical du sujet pcq c'était parti sur rentabilité horaire , prix des montres... Au fait , existe -il une étude comparative sur durée de vie d'un onlay / reconstitution classique ?


Capture d  cran 2015 03 12 12.28 - Eugenol
chicot29

06/02/2015 à 11h04

casa écrivait:
--------------

> fait , existe -il une étude comparative sur durée de vie d'un onlay /
> reconstitution classique ?

Recommandations HAS. Si tu ne les a pas lues, rassures toi, les assureurs non plus. -)))


http://www.has-sante.fr/portail/upload/docs/application/pdf/2009-10/texte_court_inlay_onlay.pdf


"III.5.4 Indications et contre-indications
Le GT a défini les avantages et indications des IO par rapport aux restaurations
directes et aux couronnes périphériques. Les avantages généraux des IO cités par
le GT sont : la préservation tissulaire par rapport à une couronne périphérique ; la
qualité anatomique de la restauration et la possibilité de restaurer de façon
satisfaisante plusieurs dents sur un même quadrant en comparaison avec les
restaurations directes.
L’objectif principal du praticien est la préservation dentaire et pulpaire d’autant plus
que le patient est jeune. Il y a une notion de gradient de traitement, l’évolution des
traitements d’une dent vivante passe d’une restauration directe à une restauration
indirecte par inlay-onlay puis à une restauration indirecte par couronne périphérique.
Ainsi, le praticien doit privilégier :
- dans le cas de perte de substance petite, les restaurations
directes exclusivement ;
- dans le cas de perte de substance moyenne, les reconstitutions par méthode
directe par rapport aux reconstitutions indirectes par inlay-onlay ;
Les impératifs de préservation tissulaire doivent être pondérés par les impératifs
biomécaniques. Une restauration directe est possible si elle permet de restaurer de
façon satisfaisante : l’anatomie occlusale, les contacts proximaux et occlusaux, les
profils d’émergence. Si la restauration d’une cuspide est nécessaire, un inlay-onlay
peut être indiqué.
- dans le cas de perte de substance importante, les reconstitutions indirectes
par inlay-onlay par rapport aux couronnes."


Orezza gazeuse verre litre ocoxey - Eugenol
casa

06/02/2015 à 11h15

Lecture rapide , je suis allée directe à ça ....
"III.3 Comparaison des différentes restaurations directes et indirectes
Les études comparatives ne montrent pas de différence selon le matériau ou le
procédé de fabrication. Néanmoins, ces études ont des périodes de suivi courtes qui
peuvent expliquer cette absence de différence.
Une méta-analyse conclut de l’avantage en terme de longévité des restaurations
indirectes par rapport aux restaurations directes, il est démontré que le taux d’échec
annuel des restaurations directes (3 %+/-2,0) est supérieur au taux d’échec des
restaurations indirectes (2 %+/-2,9). "

C'est tout ce qui m’intéressait !

Y'a quand même 2% d'échec annuel pour un inlay onlay contre 3% pour une restauration directe .... la différence est ENORME !!!


Orezza gazeuse verre litre ocoxey - Eugenol
casa

06/02/2015 à 11h24

Ha ben j'ai tout lu , en gros , c'est pas mal mais c'est pas non plus l'idéal .... donc t'as raison on dévitalise on couronne et en plus le mec il paye rien ! c'est le pied !

PS j'aime bien cette phrase :" Elles permettent
des possibilités de réparation et de réintervention" ah bon ?


doagui

06/02/2015 à 11h30

casa écrivait:
--------------

> Y'a quand même 2% d'échec annuel pour un inlay onlay contre 3% pour une
> restauration directe .... la différence est ENORME !!!

Bah 50% tout de même, excusez-moi du peu ! A l'échelle de toute une patientèle c'est très loin d'être négligeable.


youn

06/02/2015 à 11h31


Ben déjà échec annuel, donc oui ça fait une grosse différence, il faudrait la même stat à 15 ans, même à 10 tu me diras.

De deux il faut voir ce que l'on qualifie d'échec, si il faut que le truc tombe, ou si l'on regarde fractures, infiltration, occlusion merdique, poches paro etc... Mais je suppose aussi que c'est une restauration directe faite dans les normes par un praticien correct, sous digue etc... Très loin du standard français, problème qui diminue beaucoup avec de l'indirect.


Capture d  cran 2015 03 12 12.28 - Eugenol
chicot29

06/02/2015 à 11h33

C'est pas clair. Pour les petites moyennes ou grosses reconstitutions ?
C'est sur que pour une classe 1 ca doit etre kif kif ! -))))


Grueavatar nptrc9 - Eugenol
Le Choixpeau magique

06/02/2015 à 11h33

doagui écrivait:
----------------
> Bah 50% tout de même, excusez-moi du peu ! A l'échelle de toute une patientèle
> c'est très loin d'être négligeable.

Sauf que vus les chiffres, ce n'est sans doute pas statistiquement significatif.


003 penrd2 - Eugenol
Cingulum

06/02/2015 à 12h04

<<"III.3 Comparaison des différentes restaurations directes et indirectes
Les études comparatives ne montrent pas de différence selon le matériau ou le
procédé de fabrication. Néanmoins, ces études ont des périodes de suivi courtes qui
peuvent expliquer cette absence de différence.
Une méta-analyse conclut de l’avantage en terme de longévité des restaurations
indirectes par rapport aux restaurations directes, il est démontré que le taux d’échec
annuel des restaurations directes (3 %+/-2,0) est supérieur au taux d’échec des
restaurations indirectes (2 %+/-2,9). "

C'est tout ce qui m’intéressait !

Y'a quand même 2% d'échec annuel pour un inlay onlay contre 3% pour une restauration directe .... la différence est ENORME !!!">>



Hé, Oui ! le pronostic n'est que peu lié au matériau...
Ce qui impact la survie c'est la perte de substance.
Quand une dent est peu abimée, que ce soit un IRM, un amalgame, un composite, de la ceram ça se passe bien ...;
Quand la dent est délabrée, que ce soit une couronne, un gros onlay un gros compo, le pronostic est pas bon!
La question qu'il faut alors se poser, qu'est ce qui est responsable de la perte de substance ... La carie ou NOUS!

La complication peut être mécanique, ou biologique.
Qu'est ce qui est le plus étanche pour l'organisme, un overlay collé sur une dent pulpée, ou de la gutta et des tenons dans une racine dont les limites de préparation sont sous le sulcus .... ?







 mg 7698m nhrwwu - Eugenol

Orezza gazeuse verre litre ocoxey - Eugenol
casa

06/02/2015 à 12h06

Ben un truc qui coûte 400€ sans remboursement et qui s'est fait la malle en moins d'un an ... d'abord t'as de la chance si il ne l'a pas avalé au milieu de son jambon beurre ...et je ne suis pas sure que le patient , quand il revient, il soit super content pourtant il a bien fallu que tu lui fasses l'article ... pour le convaincre que c'était le top . Et 2% , mon cher Doagui , c'est énorme .. va falloir inclure ça dans la rentabilité horaire parce que bien sur tu refais gratis .... et vu qu'il l'a avalé ça fait des frais ! c'est vraiment petits ces bidules .
Perso , j’adore sculpter, polir les amalgames , de vrais bijoux en argent cuivre et Hg ..ha mince !


Vw campersurfvan bmnk1q - Eugenol
enlaye

06/02/2015 à 13h22

casa écrivait:
--------------


> Y'a quand même 2% d'échec annuel pour un inlay onlay contre 3% pour une restauration directe .... la différence est ENORME !!!

:-)))))))))) j'adore ton esprit moqueur ....


Vw campersurfvan bmnk1q - Eugenol
enlaye

06/02/2015 à 13h37

il est vrai qu'avec le recul , j en ai eu fracassé des tonnes des dents rien que pour trouver un peu de retention a l'epoque ou le seul moyen de retention fiable etait le tenon.. ...continuer pour des raisons financieres c' est encore plus con !!!
Mais je vois que l'inlay-core est encore a la mode ...:-))))


Orezza gazeuse verre litre ocoxey - Eugenol
casa

06/02/2015 à 13h59

"Mais je vois que l'inlay-core est encore a la mode ...:-))))"

Ben ouais .. devine pourquoi ? à 365 € l'IC .. on trouve tout un tas de raisons .... L'has :notre bible notre coran ..s'est elle penchée sur la question ? non ? comme c'est dommage !


Vw campersurfvan bmnk1q - Eugenol
enlaye

06/02/2015 à 14h00

doagui écrivait:
----------------

> Bah 50% tout de même, excusez-moi du peu ! A l'échelle de toute une patientèle c'est très loin d'être négligeable.


50% oui mais d'ecart entre les 2% et les 3 % ..d'echecs !
tu as une si grosse que ça ...de patientèle ??


Vw campersurfvan bmnk1q - Eugenol
enlaye

06/02/2015 à 14h08

casa écrivait:
--------------

> Ben ouais .. devine pourquoi ? à 365 € l'IC .. on trouve tout un tas de raisons

2400 fr l'ic ? ç est enorme pour une merde faite en simultané avec la couronne !!
effectivement ça fait un gros manque a gagner....


1...567...