Cookie Consent byPrivacyPolicies.comMerveilleuse nomenclature - Eugenol
John gp55mb - Eugenol
Faivre-rampant

06/02/2015 à 23h54

tu fais que des onlays en composite pourquoi les préférer à ceux en céramique ?


chipoundine

07/02/2015 à 00h02

Des fois je cote un couronne , si la dent est dépulpée. un overlay se cote comme un inlay.

Pourquoi le compo ? car je facture l'onlay ceram à 500 et que ça a plus de mal à passer...

Le compo coute moins cher , il est réparable en cas de casse plus facilement, il à un coeff d'élasticité qui se rapproche de la dentine et est très bio mimétique, et très rapide à réaliser ( délai de 3 jours) .Après c'est une question d'habitude... mais je crois qu'il n'y a aucune différence significative sur la durée.


youn

07/02/2015 à 00h04

Je n'ai pas trouvé où on le côtait dans la CCAM. Tu as le passage? Je vais re-regarder.


chipoundine

07/02/2015 à 00h12

Si tu veux tout savoir casa depuis 5 ans que j'utilise les techniques adhésives , mon CA n'a pas changé !

Par contre aujourd'hui je gagne ma vie en faisant des soins ! je fais 2 fois moins d'endos , les rdv sont plus long, plus cool . Les patients ne me demandent plus pourquoi il y a un petit liseré noir au dessus de ma prothèse.

La relation avec les patients à totalement changé, le retour est tout simplement énorme, les gens tiennent énormément à garder leur dents vitales .


Capture d  cran 2015 03 12 12.28 - Eugenol
chicot29

07/02/2015 à 00h16

chipoundine écrivait:
---------------------
> ben 2 onlays à 380 euros soit 760... la patiente a économisé un peu plus de 1000
> euros par rapport à 2CCM .
>

Eh ben 800 euros ta CCM ? Je suis à 320 . -)))))

Devis de vitalisation  inlay core ceramo metal oy8k7r - Eugenol

Orezza gazeuse verre litre ocoxey - Eugenol
casa

07/02/2015 à 00h21

Bravo ! félicitation . ça fait envie !


Jack 2 wm3tqs - Eugenol
trepo

07/02/2015 à 00h34

chipoundine écrivait:
---------------------
> Dans un cas comme celui ci , il est certain qu'en partant du principe que le
> certissage périphérique est la seule solution, il ne reste plus qu'à dépulper la
> dent et mettre un IC, avec 0 parois résiduelles, bref, le top pour une 25.
>
> En prenant le problème à l'envers , en gardant ce qui est conservable (la pulpe
> et les 2 mm des parois cervicales vestibulaires et linguales) , il est possible
> aujourd'hui , avec les techniques de collage , de restaurer des dents, sans
> avoir à réaliser d'endos à visée prothétique.
>
> Dans une dizaine d'année, il sera toujours possible de refaire un onlay et peut
> être un IC et une CCM dans 20 ans et un implant dans 30...
>
> Par contre cette prémo à 0 parois résiduelles reconstituée par IC + CCM , je ne
> me risquerai pas à pronostiquer 20 ans....
>
> Nos traitements ne sont pas éternels , mais en étant plus conservateur , et en
> suivant le gradient thérapeutique , nous pouvons repousser les limites plus
> loin, et faire gagner des années aux dents den nos patients.
>
> Enfin dans ce cas bien précis nous sommes tout d'accord pour dire que l'endo est
> parfaite ! La pulpe étant la meilleure obturation canalaire.

Super boulot. Mais elles sont en occlusion 25/26 ?


Simple dlizse - Eugenol
hermestine67

07/02/2015 à 00h42

J ai essayé de lire jusqu au bout vos différents posts sur ce cas dont la pulpe est tout de même déjà bien rétractée
au delà de la nomenclature, il manque l'évaluation clinico psychologique de la situation
obtenir l'avis éclairé du patient n'est pas toujours évident, percevoir une lueur est parfois bien difficile, les images logiciel d'explication me sont "for" utiles, le patient pose les questions qui lui permettent de comprendre, s'il bloque sur la question financière, je lui propose les deux alternatives(pas plus car les sous ce sont des oiellères et il y a radins dans toutes les couches de revenus) qui correspondent au diagnostic posé avec les composantes occlusion conservation vitale pronostic vitale de la dent évaluation du suivi
Si je vois qu il est plus interressé par ses dents que par son porte feuille et qu il comprend je vais plus loin je vais jusqu à trois ou quatre alternatives en motivant les choix de chacune
Faire un devis comporte à ce jour trop de clics pour se bousiller les canals carpiens déjà bien sollicités
Ensuite refusons de rentrer dans ce jeu médiatico financier de la santé,
communiquons sur la vaste fumisterie du tiers payant généralisé
votre mutuelle vous présente des remboursements incluant la securité sociale que nos cotisations payent % opaques et miroitant surfant sur la peur des lendemains
vous payez donc bien cher depuis des années une mutuelle qui fait de la publicité tous les soirs et qui possédent un parc immobilier certain
pour les plus intelligents qui de plus emploient les politiques en perte de vitesse
sachez que depuis le 1er janvier 2015 vous pouvez si vous etes victime de racket depuis plus d'un an changer de racketteur cf Loi HAMON



--
N'oublions pas les shadoks!!


levm

07/02/2015 à 00h52

techniques adhésives et biomimétisme.

Le concept est séduisant mais ne me satisfait pas à 100%

Le risque carieux , on en fait quoi.
Faire un collage avec des dents à ras , c'est joli. On fait de belles photos mais concretement ca donne quoi à 10 ans ou 20 ans .
Le cas de chipoudine est pour ma part absurde , 4 dents sur un meme secteur avec des reprises de caries partout .


Perso je prefere une couronne bien faite qu'un onlay a remontée de marche avec 2 interfaces .

Meme les grands pontes du collages ont des échecs (j'ai eu l'occasion de voir un cas raté sur la mere d'un ami confrere).
Photos au début en 25 mégapixels , un an plus tard on descellait l’arrache a 140 euros en codifiant 2 détartrages .

ps :chicot29 , je prefere rolex (pour moi c est daytona blanche ;) ,elles ont pris 12%


chipoundine

07/02/2015 à 00h55

Nos cerveaux sont formatés par nos études et le discour de la sécu. C'est pour cela que nous avons du mal à proposer et à faire accepter ce type de soins à nos patients.

Lorsque j'annonce que je dois faire une endo à un patient , on me répond quasi systématiquement : Ah merde encore une couronne...même les patients sont formatés à cette pensée unique.

Par contre il faut prendre le temps et expliquer....et il y a les phrases chocs !
"ne comptez pas sur moi pour vous flinguer le peu de dent qu'il vous reste, vous devrez aller ailleurs"
"380 euros , sachant que cela va durer environ 10 ans c'est 38 euros par an "

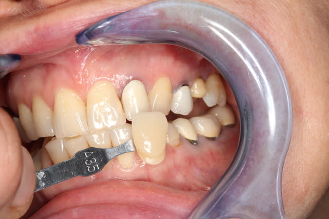
La majorité des onlays que je fais en 2015 , sont des conséquences de devis réalisés en 2013 ou 2014. Par contre j'ai pris soin de ne pas dépulper les dents à l'époque, de faire un compo et un devis et un peu de bourrage de crâne.

Du coup quand le compo tombe ou la dent casse, les patients se font tout petit..."je sais vous me l'aviez dit".

C'est très difficile de changer ses habitudes, cela demande une grosse remise en question et surtout de la formation. c'est très dur à accepter de se dire qu'on a fait des erreurs ....aujourd'hui il m'arrive d'extraire des centrales que j'ai dévitalisé et couronné il y a 15 ans pour raisons esthétiques, car mes profs ne m'ont jamais formé à faire des facettes .je suis confronté à ce sentiment tous les jours , et c'est insupportable.

Soyons humble, nous ne ferons jamais mieux que la nature, et ayons toujours à l'esprit qu'aucun de nos traitement n'est éternel


RépondreCiter
Capture d  cran 2015 03 12 12.28 - Eugenol
chicot29

07/02/2015 à 01h00

levm écrivait:
--------------

> ps :chicot29 , je prefere rolex (pour moi c est daytona blanche ;) ,elles ont
> pris 12%

Tu as raison, je m'en lasse. D'ailleurs elle est à vendre.-))))

Capture d e cran 2015 02 06 23.59 - Eugenol

Vw campersurfvan bmnk1q - Eugenol
enlaye

07/02/2015 à 01h15

chipoundine écrivait:
---------------------
. Les patients ne me demandent plus pourquoi il y a un petit liseré noir au dessus de ma prothèse.


et tu leur repondais quoi ???? :-)))))))))


chipoundine

07/02/2015 à 01h16

levm écrivait:
--------------
> techniques adhésives et biomimétisme.
>
> Le concept est séduisant mais ne me satisfait pas à 100%
>
> Le risque carieux , on en fait quoi.

Le risque carieux n'existe pas sous les couronnes ?

> Faire un collage avec des dents à ras , c'est joli. On fait de belles photos
> mais concretement ca donne quoi à 10 ans ou 20 ans .

dans 10 ans je recommence si besoin , pourquoi toutes tes céram durent 20 ans ? pas les miennes

> Le cas de chipoudine est pour ma part absurde , 4 dents sur un meme secteur avec
> des reprises de caries partout .
>
>
> Perso je prefere une couronne bien faite qu'un onlay a remontée de marche avec 2
> interfaces .

Je ne doute pas une seconde de ta capacité à faire des couronnes bien faites. Dans ce cas bien précis pour faire une couronne bien faite , il faudrait commencer d'abord par faire une endo bien faite. J'imagine que tu fais faire tes endos par un endo exclusif , ou bien que tu as fait l'acquisition d'un microscope , et que tu as une technique d'obturation tridimensionnelle bien sur.


>
> Meme les grands pontes du collages ont des échecs (j'ai eu l'occasion de voir un
> cas raté sur la mere d'un ami confrere).

Et alors , tu n'as jamais d'échecs sur tes endos ,tes IC , tes CCM ? tu leur dis quoi à tes patients , quand tu pose une CCM sur une 15 à 0 parois , c'est pour 20 ans ?

Tu sais les grand pontes de l'implanto ont des péri-implantite eux aussi .

Cela fait bien longtemps que j'ai intégré l'échec à ma pratique quotidienne, il semble que ça n'est pas le cas pour toi , car apparemment tu n'en n'a jamais eu.

> Photos au début en 25 mégapixels , un an plus tard on descellait l’arrache a 140
> euros en codifiant 2 détartrages .
>
> ps :chicot29 , je prefere rolex (pour moi c est daytona blanche ;) ,elles ont
> pris 12%


chipoundine

07/02/2015 à 01h35

Pour enlaye

J'adore cette photo, je la montre à tous les patients à qui je fais un devis d'onlay sur dents dépulpée.

je précise que ce n'est pas moi qui ait fait les cerams, elles ont une dizaine d'années.

La 25 est dépulpée , la 26 est vivante.

Tu vois je crois que cette patiente fais bien la différence maintenant entre les CCM et les onlays . Mon petit doigt me dit qu'elle ne voudra plus jamais de CCM de sa vie et qu'elle me fait une pub phénoménale. Après les gouts et les couleurs ...

Pas besoin de fil de bistouri ni de produits chimiques....il suffit tout simplement de laisser la gencive tranquille.Dans 10 ans on pourra toujours chercher le petit liseré sur 25 si vous voulez.

Img 0077 e653s3 - Eugenol
Img 0131 dcndt0 - Eugenol
Img 0136 u4xnyl - Eugenol

levm

07/02/2015 à 02h26

Prends les couronnes de cingulum , ca n'a rien a voir avec ce que tu nous montres vite fait mal fait.

On a le droit d etre dubitatif sur le collage en general dans un contexte de risque carieux fort.

On montre ce qu'on veut bien nous montrer.
Des implants recouverts d'hydroxyapatite au puros , ca a été à un moment la grande tendance .

Quand j'étais à la fac , j'entendais beaucoup parler de tenons fibrés collés , aujourd'hui plus du tout.

Pour finir , et je trouve le concept assez drôle le concept de facette derriere en composite et facette devant en ceramique .
2 fois les honoraires pour une dent (pour quelques dixiemes d'émail concervés. j'adore.)


On fait quoi des inlay et des composites dans ce cas ?

2014 12 03 15.50 - Eugenol

Jack 2 wm3tqs - Eugenol
trepo

07/02/2015 à 08h43

@Chipoundine

Elles sont en occlusion 25 / 26 sur ce cas? Parce que sur le premier cas presenté, elles n'y sont pas du tout. Par manque de confiance au collage ?


chipoundine

07/02/2015 à 09h05

A trepo : elles sont en occlusion , je ne vois pas ce qui te fais dire ça ! peut être le fait que j'ai poli 25 26 avant photo.

A levm :Pourquoi deviens tu agressif ? c'est la question sur ta technique d'endo qui te met dans cet état ? Peux tu m'expliquer le rapport entre le collage et le risque carieux car j'avoue ne pas comprendre... les patients porteurs de facettes sont plus susceptibles à la carie ?????

Enfin en ce qui concerne le principe des doubles facettes , tu as raison , Pascal Magne ne fais ça que pour les tunes ,pour prendre le double....C'est vrai que c'est tellement mieux de traiter un les cas d'érosion en passant tout au taille crayon, et en mettant de la ceram à gogo !



Allez détendez vous un peu c'est le week-end!


Capture d  cran 2015 03 12 12.28 - Eugenol
chicot29

07/02/2015 à 09h53

chipoundine écrivait:
---------------------

>
> Pourquoi le compo ? car je facture l'onlay ceram à 500 et que ça a plus de mal à
> passer...
>

Fais encore un effort. Je suis sur que tu peux te perfectionner en méthode directe pour les compos. Ca prend du temps ( une heure dans ce cas) mais ca passe mieux au niveau des patients question tarifs : HBMD038 sur 34 , 40,97 euros ( au lieu de tes 380 en méthode indirecte), HBMD050 sur 33, 33,74 euros. 380 euros pour un onlay composite à la place ca peut encore passer pour du vol à coté.
En plus si tu aimes les longs rendez-vous tu vas adorer ! -))))

PS : ne fais pas comme moi, n'essaies pas de rééquilibrer ton exercice avec des endos ic coiffes sur le patient suivant, ca rend schizophrène, je ne suis plus loin de l'HP ou du suicide. -))))
Me fais pas chier pour la split dam svp. -))))


Composite 1 jdut2y - Eugenol
Composite 2 vjmhbj - Eugenol
Composite 3 fqrdza - Eugenol

Vw campersurfvan bmnk1q - Eugenol
enlaye

07/02/2015 à 10h17

La technique de collage est une grande avancée démocratique.
En effet n inporte quelle tarlouze sait mettre une dent a plat et de dépouille .( ca tombe bien, la profession se feminise)
Et ainsi on donne ainsi tout pouvoir aux labos ....même pour soigner les gens.....

C est une technique qui ne doit pas être considérée comme un signe de qualité ou de luxe en soit mais rester une technique par mis les autres. Ce n est pas une religion un dogme ou un mode de distinction.
Toutefois je remarque qu il y a une terreur endodontique qui plane au dessus d eugenol :-)))))))


Orezza gazeuse verre litre ocoxey - Eugenol
casa

07/02/2015 à 10h18

C'est vraiment marrant de vous lire ... Chicot , t'es vexé ? mais oui t'as fait du bon boulot , ou plus précieusement sur ce dernier cas t'as fait "ton" boulot ! le reste de ton post : moi pas comprendre .

@ chipoudine : tu ne verras jamais levrn dans ton cabinet .. c'est ballot ! moi si !


Orezza gazeuse verre litre ocoxey - Eugenol
casa

07/02/2015 à 10h20

@ ha ha ha enlaye .... j'adore !


Capture d  cran 2015 03 12 12.28 - Eugenol
chicot29

07/02/2015 à 10h28

casa écrivait:
--------------
> C'est vraiment marrant de vous lire ... Chicot , t'es vexé ? mais oui t'as fait
> du bon boulot , ou plus précieusement sur ce dernier cas t'as fait "ton" boulot
> ! le reste de ton post : moi pas comprendre .

Egale à toi meme casa. Quelqu'un peut lui expliquer ? J'en peux plus. -)))

Il y a l'alimentaire. Et à coté de ca le plaisir ( de temps en temps afin de ne pas mourir idiot) . Tout ca grace à notre "Merveilleuse Nomenclature" qui fait que des amalgames de merde ( une classe 3 sur une canine en amalgame faut le faire) sont au meme tarif que des compos faits dans les regles de l'art.
Si je faisais mon boulot comme je l'entend ( travail sous digue + soins à minima et compos) je préfèrerais demander le RSA tout de suite ca évite d'avoir des emmerdes avec le banquier. C'est plus clair ?


Capture d  cran 2015 03 12 12.28 - Eugenol
chicot29

07/02/2015 à 10h49

Si un jounaleux passe par ici il ne va retenir que les compos au top et à 2 balles. Comment ? certains dentistes font du super boulot pour 40, 97 euros alors que d'autres dévitalisent et posent des IC coiffe en bousillant les dents pour 660 euros.
C'est les memes du con, creuses ton sujet pour une fois et tu auras l'explication de ce comportement schizophrène.
Une piste : les payeurs ne paient pas ce qui doit etre fait. La sécu c'est dangereux pour la santé. La preuve ? aucune évolution de la convention dentaire en 40 ans, si ce n'est sur la forme.


Vw campersurfvan bmnk1q - Eugenol
enlaye

07/02/2015 à 10h50

Et oui chicot , quand on est pris dans le tourbillon du temps , on a du mal a s en sortir . tout va tellement vite..ces .putains de banquiers , ils ne se rendent pas compte du mal qui ils font .....:-)))))))))))))


Capture d  cran 2015 03 12 12.28 - Eugenol
chicot29

07/02/2015 à 10h54

enlaye écrivait:
----------------
> Et oui chicot , quand on est pris dans le tourbillon du temps , on a du mal a s
> en sortir . tout va tellement vite..ces .putains de banquiers , ils ne se
> rendent pas compte du mal qui ils font .....:-)))))))))))))

Tu me fous au salaire fixe dans un centre sécu. Je m'en vais te leur arranger moi leur déficit ! je vais etre très mal noté mais heureux ! -))))


1...8910...