Cookie Consent byPrivacyPolicies.comcomposites pour contention - Eugenol

composites pour contention

jt2000

06/02/2015 à 12h05

bonjour,

je voulais avoir votre avis pour le choix d'un composite pour les contentions ou mylolyses.
mon choix se porte sur un composite fluide plutot.
mais je souhaite surtout une bonne résistance.

jai essayé le grandioso heavy de chez voco car il était chargé mais il n'est pas assez fluide à mon gout.


Grueavatar nptrc9 - Eugenol
Le Choixpeau magique

06/02/2015 à 12h50

Il n'y a pas de miracle, qui dit plus chargé dit quasi forcément moins fluide.
Tu as donc ces nouveaux composites "semi fluides" comme celui de Voco ou l'universal flow chez GC.
Ce qu'il faut savoir quand même c'est qu'en général plus tu as de charge plus tu as de stress de polymérisation, ce qui peut poser problème notamment au niveau des classes V pour lesquelles tu veux les utiliser.
Pourquoi pas un flow "normal" ?


jt2000

06/02/2015 à 12h55

oui,

je pensais passer a un flow normal.
mais comme jen utilise peu, je ne savais pas lequel prendre.


jt2000

07/02/2015 à 19h22

pourquoi pas le beautifil Flow Plus de chez shofu ?
ou le 3M pour faire simple ?


Marque a3 orange fyvhyq - Eugenol
Marc Apap

07/02/2015 à 19h31

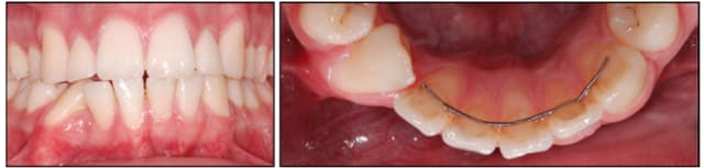
Franchement, on s'en fout complètement : aucun composite fluide ou pas fluide ne peut servir pour faire des contentions !!! Il faut obligatoirement lui associer un support comme un tresse en fibre de verre par exemple, et alors, prendre n'importe quel composite fluide, au goût de chacun (selon sa viscosité ou son comportement).


jt2000

07/02/2015 à 19h37

bien sur, je met toujours un arc acier totalement passif.
pour éviter un genre de récidive

Capture d  cran 2015 02 07   18.36 - Eugenol

Dsc05680 medium aphmfg - Eugenol
BasArtDentaire

07/02/2015 à 19h47

Si le problème n'est que la manipulation du composite, je me permet de mettre en parallèle un sujet pas si vieux, sur l'utilité des réchauffeurs à composite.

http://www.eugenol.com/sujets/408290-rechauffeur-de-composite-a-quoi-ca-sert?