Cookie Consent byPrivacyPolicies.comLes difficultés rencontrées avec vos patients - Enquête - Eugenol

Les difficultés rencontrées avec vos patients - Enquête

Capture d  cran 2015 03 12 12.28 - Eugenol
chicot29

17/02/2015 à 13h24

Allez une autre variante ! -))))

Capture d e cran 2015 02 17 12.23 - Eugenol

RépondreCiter
Capture d  cran 2015 03 12 12.28 - Eugenol
chicot29

17/02/2015 à 13h36

Et une autre spécial MV2. formation gratuite chicot 29. -))))

Euh , RIB à suivre ! -))))

Capture d e cran 2015 02 17 12.35 - Eugenol

eusebius

17/02/2015 à 13h36

chicot29 écrivait:
------------------
> La communication avec le patient, version chicot29.-))))
>
> C'est bien les scellements de sillons et les amalgames juxta pulpaires hein ?
> surtout jamais de pulpites (26) ni de reprises de caries (27) après quand les
> indications sont bien posées hein ! ? -))))


je vous jure que je suis pas voisin avec Chicot, mais qu'on doit avoir le même type de "patients à soigner " :-)


Capture d  cran 2015 03 12 12.28 - Eugenol
chicot29

17/02/2015 à 13h47

C'est facile pour évaluer la qualité des soins , abrutis d'assureurs, il n'y a pas qu'un pseudo controle à réaliser sur une tracabilité inutile sur la prothèse, il suffit de demander des "contextes" photo et radios des soins sous jacents à vos "partenaires" autrement plus importants pour la santé de vos assurés.

Mais :
1. vous n'en avez rien à foutre.
2. essayez on va rigoler 2 minutes. -)))


RépondreCiter
Gina

17/02/2015 à 13h53

Christophe, ton intervention sur ce forum aura au moins été révélatrice. Tu auras pu juger de la qualité communicative des intervenants, du respect confraternel, de l'ouverture d'esprit à des idées nouvelles...
Des praticiens qui savent tout sur tout, qui insultent lorsqu'on leur pose une question, tellement aigris qu'ils sont...
ça te laisse imaginer comment ils se comportent avec leurs patients. Aucune remise en question à attendre de leur part. Si l'image de leur profession est aussi délabrée : c'est forcément la faute des autres.
Bon courage!


Orezza gazeuse verre litre ocoxey - Eugenol
casa

17/02/2015 à 13h59

Chicot , tu payes 3500€ HT une camera ? c'est ça ? j'ai bien lu ?(j'ai la flemme d'aller vérifier la ref !) ... punaise mais y'a quoi la dedans , des composants en or ? t'as pas l'impression de te faire plumer . remarque , tu t'en sers , y' a pas de doute la dessus , tu fais même que ça .. et poster ici ... Mais dis moi tu fais tout ça pourquoi: pour nous ? pour toi ? pour tes patients ? t'as trouvé un MV2 , super ...tu sais que tout le monde en trouve ... et on ne les poste pas tous (y'a même que toi qui fait ça !).... heureusement parce que sinon ça serait d'un ch... !


Capture d  cran 2015 03 12 12.28 - Eugenol
chicot29

17/02/2015 à 14h01

Respect confraternel, ok, encore faut il le mériter.
Ceci dit quand le patient pose des questions sur le pourquoi et le comment de ses problèmes , tu restes muet comme une carpe ? Ou tu l'informes? Tout en restant confraternel bien sur !
Ca part bien votre" module communication" ! -))))


Capture d  cran 2015 03 12 12.28 - Eugenol
chicot29

17/02/2015 à 14h10

casa écrivait:
--------------
..tu sais que tout le monde en trouve ...

C'est évident. a condition de le chercher ! -))))


Capture d  cran 2015 03 12 12.28 - Eugenol
chicot29

17/02/2015 à 14h22

casa écrivait:
--------------
> Chicot , tu payes 3500€ HT une camera ? c'est ça ? j'ai bien lu ?(j'ai la flemme
> d'aller vérifier la ref !) ... punaise mais y'a quoi la dedans , des composants
> en or ? t'as pas l'impression de te faire plumer .

Un peu quand meme. Tu sais c'est pas tout les ans qu'on achète une camera à 3500 HT et on a le choix de ne pas l'acheter, on a pas un révolver sur la tempe comme les charges sociales personnelles obligatoires qui font autrement plus mal au fion et pour du vent !..
Au fait casa est ce que tu as une petite idée du prix que je la paye réellement car c'est déductible, je te le rappelle .
Autrement dit, as tu une petite idée de ce qu'il te reste sur les 4200 TTC euros après passage à la moulinette sociale et fiscale ?
Je vais t'aider : 2000 euros.
Amortissement sur 3 ans ca me coute 55 euros par mois. Alors que l'urssaff et la carcd m'en coutent 4500.

Capture d e cran 2015 02 17 13.14 - Eugenol

RépondreCiter
burnax

17/02/2015 à 15h02

Parenthèse dans cette discussion , car je tiens à apporter mon soutien à Chicot29,où je me retrouve dans son type d'exercice professionnel et qui régulièrement nous montre son boulot souvent les beaux et parfois les moins bons, quand il y a des fractures instrumentales. Il m'a poussé ainsi dans la qualité de mes endos, et la recherche de mv2 que je ne faisais pas forcément auparavant.


Orezza gazeuse verre litre ocoxey - Eugenol
casa

17/02/2015 à 15h08

chicot29 écrivait:
------------------
> casa écrivait:
> --------------
> ..tu sais que tout le monde en trouve ...
>
> C'est évident. a condition de le chercher ! -))))

Heu oui .... et toi tu les trouves à chaque fois bien sur , c'est évident .. sinon tu peux aussi acquérir un microscope ... ça te coûtera ..../ mois ... mais c'est pas obligatoire bien sur , t'as aussi une pano 3D , allez je te fais un prix : c'est seulement X / par mois , déductible et en plus tu le rentabilises ... la totale .. là non plus c'est pas obligatoire , on s'en sort sans, mas bon .. si tu veux vraiment vraiment foutre la trouille à ton patient et à toi , c'est pas mal non plus ... On ne va plus pouvoir s'en passer . et Christophe n'a pas fini de nous prendre en charge ...il y a du travail effectivement .
Ah oui j'oubliais , on a changé de siècle ... j'ai tendance à vivre au siècle dernier !


Orezza gazeuse verre litre ocoxey - Eugenol
casa

17/02/2015 à 15h16

Ok burnax mais que vient faire, dans ce sujet une photo de MV2 ? ... et si il n'y avait que là .... je vais lancer un sujet sur le tricot .... chicot va réussir à y glisser une photo d'une endo ...


Dsc05680 medium aphmfg - Eugenol
BasArtDentaire

17/02/2015 à 16h00

@ casa, il y a un sujet suivi dans le temps, qui parle des caméras sur ebay.
De mémoire la MD740, pour moins de 100 euros (si ce n'est 75).
Ça ne la rend pas plus indispensable, mais au moins plus abordable.

Et de fil en aiguille (à tricoter), chicot arrive toujours à mettre une photo ou une radio d'endo.


RépondreCiter
burnax

17/02/2015 à 16h22

casa écrivait:
--------------
> Ok burnax mais que vient faire, dans ce sujet une photo de MV2 ? ... et si il
> n'y avait que là .... je vais lancer un sujet sur le tricot .... chicot va
> réussir à y glisser une photo d'une endo ...

c'est vrai, vu sous cet angle !!


RépondreCiter
Capture d  cran 2015 03 12 12.28 - Eugenol
chicot29

17/02/2015 à 16h27

casa écrivait:
--------------
> Ok burnax mais que vient faire, dans ce sujet une photo de MV2 ? ... et si il
> n'y avait que là .... je vais lancer un sujet sur le tricot .... chicot va
> réussir à y glisser une photo d'une endo ...

Ca a avoir avec la communication avec le patient. Les miens sont au courant qu'il y a 4 canaux sur une molaire et qu'une obturation à l'apex c'est mieux. c'est à mon avis la meilleure réponse à santéclair qui nous traite de transmetteurs d'hépatite et les médias de vendeurs de prothèse.
Non sans dec je viens de découvrir l'utilité du mode" contexte" sur trophy, pour la tracabilité, evaluation qualité des traitements il n'y a pas mieux. Ca te remet n'importe quel baveux en place au cas ou.


Capture d  cran 2015 03 12 12.28 - Eugenol
chicot29

17/02/2015 à 16h33

casa écrivait:
--------------
> Ok burnax mais que vient faire, dans ce sujet une photo de MV2 ? ... et si il
> n'y avait que là .... je vais lancer un sujet sur le tricot .... chicot va
> réussir à y glisser une photo d'une endo ...

Mouhaha, tu veux des photos d'amalgames ou de composites ? ca ne me branche pas c'est la routine. Une endo c'est moins la routine,.


RépondreCiter
Orezza gazeuse verre litre ocoxey - Eugenol
casa

17/02/2015 à 17h08

ok chicot , que tu communiques avec tes patients , que tu les éduques , c'est parfait , mais nous .. ça y est je crois qu'on a compris ton message , tu fais des belles endo , tu as des patients avec des bouches pourries , tu te démerdes avec la CCAm .. c'est tous les jours que tu fais passer ce message à propos de tous et de n'importe quoi ..; alors si en plus tu vas nous mettre tes compos , amalgames , CCM ..on a pas fini ... je te conseille d'ouvrir une rubrique spéciale chicot29 (si les modérateurs peuvent faire ça pour toi !) et là tu t'éclates ... ceux que ça intéresse , vont te faire un petit coucou .. et voilà . tout le monde est content mais là que viens tu prouver avec ton obturation de MV2 ... ? j'ai pas compris ... et alors ta facture de camera ? tes charges ? ça vient faire quoi ici ....

Ps : j'ai remarqué que ça date pas d'hier que tu fais ça .... ça date de Mathusalem .... t'as pas une photo de l'echographie dans le ventre de ta mère ?


RépondreCiter
Capture d  cran 2015 03 12 12.28 - Eugenol
chicot29

17/02/2015 à 17h19

burnax écrivait:
----------------
> Parenthèse dans cette discussion , car je tiens à apporter mon soutien à
> Chicot29,où je me retrouve dans son type d'exercice professionnel et qui
> régulièrement nous montre son boulot souvent les beaux et parfois les moins
> bons, quand il y a des fractures instrumentales. Il m'a poussé ainsi dans la
> qualité de mes endos, et la recherche de mv2 que je ne faisais pas forcément
> auparavant.

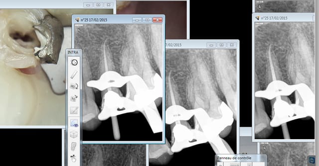
Moi aussi ca pousse à s'améliorer. Il y a une petite différence par rapport à d'habitude sur cette 25. Laquelle ?
Ok promis, après j'arrete de faire joujou avec mes "contextes" je sens que ca agace ! -))))))

Capture d e cran 2015 02 17 16.18 - Eugenol

RépondreCiter
Images jm2g2g - Eugenol
dr_0le

17/02/2015 à 17h21

chicot29 écrivait:
------------------
> burnax écrivait:
> ----------------
> > Parenthèse dans cette discussion , car je tiens à apporter mon soutien à
> > Chicot29,où je me retrouve dans son type d'exercice professionnel et qui
> > régulièrement nous montre son boulot souvent les beaux et parfois les moins
> > bons, quand il y a des fractures instrumentales. Il m'a poussé ainsi dans la
> > qualité de mes endos, et la recherche de mv2 que je ne faisais pas forcément
> > auparavant.
>
> Moi aussi ca pousse à s'améliorer. Il y a une petite différence par rapport à
> d'habitude sur cette 25. Laquelle ?

t'as mis la digue =)
...pour 48€....


RépondreCiter
Capture d  cran 2015 03 12 12.28 - Eugenol
chicot29

17/02/2015 à 17h24

Tu as gagné un stock de digue et un voyage à New York offert par GACD. -))))


RépondreCiter
Images jm2g2g - Eugenol
dr_0le

17/02/2015 à 17h31

chicot29 écrivait:
------------------
> Tu as gagné un stock de digue et un voyage à New York offert par GACD. -))))

mes coordonnées en mp pour les modalités...


RépondreCiter
Images 3 nesubi - Eugenol
zizine78

17/02/2015 à 18h36

Ohlà, Casa,arrête d'être vilaine avec Chicot29,je pense qu'il est très fort en com justement; et puis même s'il est parfois hors sujet,on s'en fout, de toute façon, Christophe a déserté ce forum de méchants,alors...
Chicot m'a remotivée pour les endos, et je ne pense pas être la seule.
Vas-y Chicot,continue tes belles photos, tes belles endos!


RépondreCiter
FrankD

17/02/2015 à 19h22

Je suis dentiste irlandais et j'aimerai savoir si il y a beaucoup parmi les 40.000 et quelques dentistes français qui veulent quitter notre profession?


Vw campersurfvan bmnk1q - Eugenol
enlaye

17/02/2015 à 19h37

pourquoi ?
tu as une reconversion à nous proposer ?


Orezza gazeuse verre litre ocoxey - Eugenol
casa

17/02/2015 à 19h40

J'ai beau lire "Elle" toutes les semaines j'arrive pas à être comme les filles sur les photos ! hey chicot j'ai trouvé un MV2 tu veux voir ? visiblement t'as des supporter donc comme je le disais une rubrique "l'endo et chicot 29" , rien que pour toi , voilà la consécration , t'auras déjà 2 visiteurs assidus , tu pourras poster toutes tes endo , bilan radio , photo made in Kodak , et comme ça tout le monde pourra s'enrichir en pensant: faut que j'arrive à faire pareil ! Allez les modo , faites un petit effort ... je suis pas vilaine , il faut juste trouver un moyen de canaliser toute cette énergie dépensée en post inondant tous les sujets .

Bon Christophe reviens , ils sont pas si méchants en fait !


1...456