Cookie Consent byPrivacyPolicies.comExpasyl - Eugenol

Expasyl

Vw campersurfvan bmnk1q - Eugenol
enlaye

20/02/2015 à 00h30

Ah oui 300% de spr 107 en fait .
Mais ça oblige
1 de faire devis préalable pour savoir à combien ils sont remboursé ( ou plutôt combien tu est payé ).
2 de faire l 'IC
2 choses que je ne fait pas en fait .faut revoir l histoire pour.....

J ai pour habitude de ne pas faire de devis , et plus d ic .
Le Prov 1ère génération à 110
Le prov 2 ème génération à 150
La céramique à 800
Mais c est putain de long tout ça!!


Capture d  cran 2015 03 12 12.28 - Eugenol
chicot29

20/02/2015 à 00h39

Ah bon ? Tes patients ne t'amènent pas spontanément leurs contrats mutuelles pour savoir combien ca va leur couter ? -))))


Vw campersurfvan bmnk1q - Eugenol
enlaye

20/02/2015 à 00h56

Non jamais .
Et quelques fois je leurs file 1 devis écrit mais ils ne me ramènent la réponse qu' au moment du règlement et encore s ils me le ramènent ..
Un jour , j ai dit à une patiente :
Mais qu'' est ce que vous faites de tout ces papiers ?
Oh , rien, je les mets sur le frigo
Et apres ?
Et apres quand y en a trop , je les jettes!,

Pour faire ton système , il faut la coopération des patients question papiers.....( et de la mienne aussi )


Prehome gif anime lfnqnl - Eugenol
fredledragon

20/02/2015 à 10h34

enlaye écrivait:

> Mais qu'' est ce que vous faites de tout ces papiers ?
> Oh , rien, je les mets sur le frigo
> Et apres ?
> Et apres quand y en a trop , je les jettes!,


le fameux classement vertical :)


Vw campersurfvan bmnk1q - Eugenol
enlaye

20/02/2015 à 12h46

oui oui elles sont cool les mamies !!!
je les soupsconne meme de faire un rangement vertical avec les magnets....

bon , mais revenons a nos affaires ,
quand tu tailles , la gencive se barre tjs un peu apres ,comment vous faites pour savoir ou sera le contour gingival a l avance ....


Capture d  cran 2015 03 12 12.28 - Eugenol
chicot29

20/02/2015 à 12h55

enlaye écrivait:
----------------
> Non jamais .
> Et quelques fois je leurs file 1 devis écrit mais ils ne me ramènent la
> réponse qu' au moment du règlement et encore s ils me le ramènent ..
> Un jour , j ai dit à une patiente :
> Mais qu'' est ce que vous faites de tout ces papiers ?
> Oh , rien, je les mets sur le frigo
> Et apres ?
> Et apres quand y en a trop , je les jettes!,
>
> Pour faire ton système , il faut la coopération des patients question
> papiers.....( et de la mienne aussi )

C'est une question d'éducation ! lol ! Quand tu leur expliques à tout bout de champ qu'ils paient une fortune leur complémentaire pour des prestations de merde, ils ne les jettent plus les papiers. -))))


Vw campersurfvan bmnk1q - Eugenol
enlaye

20/02/2015 à 13h32

chicot29 écrivait:
------------------

C'est une question d'éducation ! lol ! Quand tu leur expliques à tout bout de champ qu'ils paient une fortune leur complémentaire pour des prestations de merde, ils ne les jettent plus les papiers. -))))

mais ç est toi qui payes pour mes patients et qui me payes indirectement :-)))):
ils touchent la retraite , mais celle qui va bien .
ils etaient par chez toi mais il pleut trop alors ils viennent ici .sont con ces bretons lol.
10000 le metre carré et ils ont besoin d'espace pour les valises des petits n'enfants squateurs .
et leurs mut est prise en prelevements d'argent qu'ils ne savent pas tres bien d'où ça vient .
tu vois ? qui qui la paye la retraite où ils n'ont jamais cotisé ou à peine ? toi moi nous avec tes cotisations de endo ic ccm hahaha


Capture d  cran 2015 03 12 12.28 - Eugenol
chicot29

20/02/2015 à 13h41

Avec 57 % de prélèvements obligatoires il faut dire que nous avons de fortes chances de payer pour tout et n'importe quoi. -))))


Vw campersurfvan bmnk1q - Eugenol
enlaye

20/02/2015 à 13h44

ce pays est foutu ????????


Prehome gif anime lfnqnl - Eugenol
fredledragon

20/02/2015 à 17h40

enlaye écrivait:

> bon , mais revenons a nos affaires ,
> quand tu tailles , la gencive se barre tjs un peu apres ,comment vous faites
> pour savoir ou sera le contour gingival a l avance ....

c'est nous qui décide non mais! le gencive elle se met là on lui dit et pis c'est tout!

D'ailleurs à chaque fois qu'elle se barre c'est là ou ma provisoire déborde d'un poil au delà de la limite :)

Donc la solution c'est bien voir, d'où l'éclairage et les loupes.

si c'est une gencive fine, là c'est greffe de conjonctif et céramo céram pour avoir un résultat nickel. Mais il faut que ça vaille la peine


Vw campersurfvan bmnk1q - Eugenol
enlaye

20/02/2015 à 20h00

fredledragon écrivait:
----------------------
> Donc la solution c'est bien voir, d'où l'éclairage et les loupes.

bien voir quoi ? qu'est'u dis ?
regarde sur la molaire , j'ai différé l empreinte de 7 jours.
la photo est le jour de l'empreinte , or le jour de la taille j'etais juxta voire infra .
si j'avais pris l'empreinte le meme jour je l'aurais eu gros...

K qtvmog - Eugenol

Prehome gif anime lfnqnl - Eugenol
fredledragon

20/02/2015 à 21h12

enlaye écrivait:

> bien voir quoi ? qu'est'u dis ?
> regarde sur la molaire , j'ai différé l empreinte de 7 jours.
> la photo est le jour de l'empreinte , or le jour de la taille j'etais juxta
> voire infra .
> si j'avais pris l'empreinte le meme jour je l'aurais eu gros...

Non si tu mets une céramo céramique bien ajustée là dessus, ta gencive reviendra exactement à la bonne place, car elle sera protégée par ta couronne (effet déflecteur)

La question est pourquoi ta gencive est soudain partie en absence d'agression car manifestement tu fais du bon boulot.

Souvent je constate dans ce genre de cas que c'est la provisoire qui a repoussé un poil ma gencive, et heureusement ça reviendra.

Autre cas de figure, le patient avec brossage iatrogène, tu descends toujours plus bas, mais la brosse glisse sur la paroi vestibulaire et attaque la gencive marginale (pour le savoir il faudrait voir les autres collets chez ce patient), là le meilleur dentiste n'y peut rien sauf si il arrive à le convaincre de changer de méthode de brossage.

Maintenant pour des cas sensibles en antérieur certains préconisent le fil rétracteur avec le produit chimique, et une fois rétracté on taille.

Si tu analyses bien tu verras que quand on travaille en deux temps, souvent on retouche car on a perdu un peu, mais en fait le problème n'est pas de ne pas avoir pris l'empreinte, mais de comprendre pourquoi ta gencive est partie. Pendant des années j'ai fait comme toi, et je stressais quand même le jour de la pose.

Maintenant je fais en un temps et je ne stresse plus, car je sais à quoi ça va ressembler, donc parfois je sais que ça sera moyen car en regardant les autres couronnes et ces dents naturelles, je vois qu'il va me mettre le collet à nu...

Et inversement avec d'autres tu sais que même si tu as une petite fuite à cause de la provisoire (ou de l'absence de provisoire) ça va disparaitre dans la semaine.





>


Vw campersurfvan bmnk1q - Eugenol
enlaye

21/02/2015 à 12h52

"la question est pourquoi ta gencive est soudain partie en absence d'agression car manifestement tu fais du bon boulot."

Je pense qu'elle n'est pas partie ,dragon , elle s'est raffermie tout simplement ,contractée et kératinisée .
En fait lors de la taille ,mémé en ne la touchant qu'a peine on fait de l'assainissement parodontal sans le savoir .
Faut pas oublier que si on la couronne cette dent ç est qu'elle n'était pas en pleine forme,et son environnement non plus (surtout en proximal le plus souvent ) . Le fait de libérer les points de contacts proximaux et occlusaux et de faire un curetagepériphériquee remet la gencive dans une configuration optimum , ç est d'ailleurs pour cette raison que j'évite au maximum de poser un prov ,afin de permettre un massage périphérique et donc une meilleur cicatrisation,
Tarzan marche pieds nus , du coup il a les pieds durs .
Alors bien sur si on pose la ceram ,sans reprendre un poil la taille , la gencive remonte pour aller au contact ,mais avec un tissus oedematié presque inflammatoire en tout cas moins tonique .
Il va de soit que la couronne doit être sans métal .
Alors autant je m'en bat les cacahuètes de l'endo mais alors grave …(.pour moi ç est du pipeau),autant je n'arrive pas (encore?) a tout gérer en même temps taille + empreinte ,et ic compris j't 'en parle même pas . Voilà pourquoi vous me faites rêver …..

ci joint la photo de la molaire d'en haut le jour du scellement.


Vw campersurfvan bmnk1q - Eugenol
enlaye

21/02/2015 à 12h54

passe pas la photo , mince .
il y a ecrit eugenol 500 !! lui faut un doliprane ?


Vw campersurfvan bmnk1q - Eugenol
enlaye

21/02/2015 à 13h26

ha la voilà

16 i9zdkt - Eugenol

6szjws718sv1jksw54v4mpj3a6cu - Eugenol
vulpi

21/02/2015 à 18h47

Mais d'où elles te viennent toutes ces idées enlayes? Suis jaloux.
Tu pourrais pas te contenter de chasser le MV2 comme tout le monde?


Vw campersurfvan bmnk1q - Eugenol
enlaye

21/02/2015 à 19h41

vulpi écrivait:
---------------
> Mais d'où elles te viennent toutes ces idées enlayes? Suis jaloux. Tu pourrais pas te contenter de chasser le MV2 comme tout le monde?


ha ha ha merci , sais pas vulpi.
le MV2 ,je m'en tape un peu puisque l'endo n'a pas l'importance qu'on lui donne .
ç est une escroc intellectuelle l'endo avec les cannaux alésés et defoncés à mort, les microscopes ,les solutions de j'sais pas quoi , les rte ,etc etc .
Sans endo ç est plus sur et plus rapide , ç est tres embetant ,cela remet tout en cause , question idées .
Encore faut il avoir les couilles d 'essayer , ç est tout .

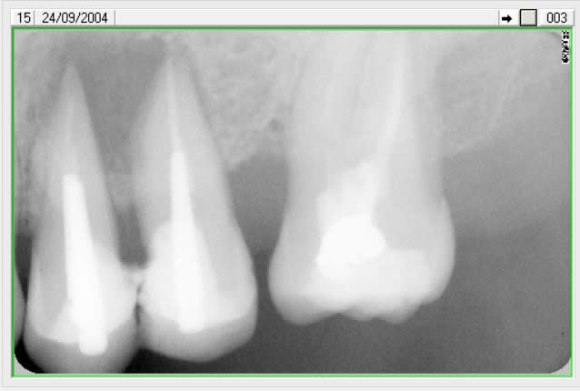
regarde ce cas ,il y a bien un kyste entre les 2 pm ?
sans rien toucher aux endos ,le fait d'enlever une dent , de cureter et remettre ça à suffit .
quoi en penser ? que l'endo (rte ) n'est pas indispensable en tout cas !!!!!!
Comment veux tu apres ça que je m'enerve sur un MV2 (dans le cas ou je ne le trouve pas bien sur) ?

2004 ol0ef3 - Eugenol
2006 osdd8r - Eugenol
2015 ahvvuu - Eugenol

studydent

21/02/2015 à 20h11

enlaye écrivait:

> regarde ce cas ,il y a bien un kyste entre les 2 pm ?
> sans rien toucher aux endos ,le fait d'enlever une dent , de cureter et remettre
> ça à suffit .
> quoi en penser ? que l'endo (rte ) n'est pas indispensable en tout cas !!!!!!
> Comment veux tu apres ça que je m'enerve sur un MV2 (dans le cas ou je ne le
> trouve pas bien sur) ?

Tu extrais, tu nettoies et tu réimplantes ?


--
Etudiant passionné


Vw campersurfvan bmnk1q - Eugenol
enlaye

21/02/2015 à 20h35

oui , tout simplement , tranquille .


dolcel82

21/02/2015 à 21h39

??


Darmon - Eugenol
Latin

21/02/2015 à 22h02

studydent écrivait:
-------------------
> Tu extrais, tu nettoies et tu réimplantes ?

dolcel82 écrivait:
------------------
> ??

Pour ceux qui ne connaissent pas bien Enlaye, préparez-vous à entrer dans une autre dimension :
http://www.eugenol.com/sujets/406035-1ere-fois-que-ca-m-arrive?page=1#post_760864


Vw campersurfvan bmnk1q - Eugenol
enlaye

21/02/2015 à 22h35

@ latin
:-))))))))))))))))))))))


Capture d  cran 2015 03 12 12.28 - Eugenol
chicot29

24/02/2015 à 14h07

Chaud devant ! empreinte 48 support de crochet.

Capture d e cran 2015 02 24 13.05 - Eugenol

Vw campersurfvan bmnk1q - Eugenol
enlaye

24/02/2015 à 14h29

pourquoi pas ? en meme temps si t'as pas le choix ...ouaiss.

la semaine d'apres quand tu mets la belle couronne qui brille ,elle fait pas aille la patiente ?la gencive fait craac avec un peu de sang ? un depucelage quoi !chaud devant :-))))))


Cquenotte

24/02/2015 à 15h59

chicot29 écrivait:
------------------
> Chaud devant ! empreinte 48 support de crochet.



2 questions chicot29 si tu permets :

1- tu mets une provisoire aussi dans la séance ou pas ?

2- comment s'appelle le truc que tu mets sur l'aspiration en linguale et où l'achètes tu svp ?