Cookie Consent byPrivacyPolicies.comepulis? - Eugenol

epulis?

E - Eugenol
e.maxx

22/02/2015 à 22h01

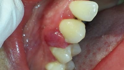
bonsoir, j'ai reçu une patiente en consultation pour "un problème de gencive qui saigne et qui est douloureuse".
a l'examen, on observe une gencive inflammatoire entre 13-14.
13+14 test de vitalité ok; poche paro entre ces 2 dents
j'ai de suite penser a un épulis inflammatoire.
un avis sur l'étiologie et la conduite a tenir?

20150219 102246 gvbn2b - Eugenol
R6 mabsmt - Eugenol

 mg 0207 xwjxcl - Eugenol
Tillc

22/02/2015 à 23h12

Oui ou gros syndrome du septum
Brossage/BdB/ surfacage et re evaluation


Canin

22/02/2015 à 23h14

Bourrage alimentaire et bourrage ayant entraîné une grossesse.

--
Canin


E - Eugenol
e.maxx

22/02/2015 à 23h43

J ai detartrer et fait une ordo bdb.
la grossesse est passee, elle a accoucher il ya 6/8 mois de memoire.


Vw campersurfvan bmnk1q - Eugenol
enlaye

22/02/2015 à 23h49

Canin écrivait:
---------------
> Bourrage alimentaire et bourrage ayant entraîné une grossesse.

Qu'elle soirée bien remplie ::)♡♡


G-P

23/02/2015 à 13h51

Canin écrivait:
---------------
> Bourrage alimentaire et bourrage ayant entraîné une grossesse.
>
> --
> Canin

Était-elle bourrée pendant son bourrage ?


Vw campersurfvan bmnk1q - Eugenol
enlaye

23/02/2015 à 15h00

Syndrome Bourre et bourré et ratatam et amstramdram