Cookie Consent byPrivacyPolicies.comEndo or not endo? - Eugenol

Endo or not endo?

Kinox

25/02/2015 à 17h04

Bonjour à tous,

j'avais une petite question pour vous :)

Voilà, je me pose aujourd'hui la fameuse question de traiter ou non une dent porteuse d'un gros soin avec une calcification de la chambre et des canaux bien avancée.

Je sais qu'il y a deux écoles :
- faire la bio avant qu'elle ne soit éventuellement plus possible,
- laisser la nature faire son travail.

Sachant que les deux portent des inconvénients :
- risquer de casser un instrument ou autre problème pré- post-opératoire,
- problème infectieux dûe aux limites physiologiques de la dent attentes, et impossibilité de faire le TE.

Bref, j'ai bien entendu un patient qui va avoir une cure de chimio, avec une dent porteuse d'un Ag + fond de cavité douteux, le tout à proximité de la pulpe (désolé j'ai pas de radio, mais le cas classique en bref). On aperçoit bien entendu une pulpe bien rétractée.

Vous faites le traitement ou vous laissez (en reprenant au minimum le soin bien entendu) ??

Merci à tous :)


Extractum

25/02/2015 à 18h25

Si tu veux faire l'endo juste parce qu'il y a un pulpolite ou que les canaux sont calcifiés, s'il n'y a aucune symptomatologie pulpaire, respire, et laisse filer...


Capture d  cran 2015 03 12 12.28 - Eugenol
chicot29

25/02/2015 à 19h56

Hein ? quoi ? ,un pulpolithe ? Vas y fonces ! -))))
Et ne m'oublies pas le MV2 comme le chicot 29 des années 90 ! -))))

Capture d e cran 2015 02 25 19.00 - Eugenol

Kinox

25/02/2015 à 20h37

Je ne parle pas d'un pulpolithe mais d'une vrai sénescence pulpaire liée aux diverses agressions que la dent a déjà subit ;)


Capture d  cran 2015 03 12 12.28 - Eugenol
chicot29

25/02/2015 à 22h10

Ah ! problème. la pulpe alzheimerisée n'a rien signé alors qu'elle était encore consciente pour qu'on la débranche ! -))))


Avatar eugenol pe0ymx - Eugenol
nicklebenou

25/02/2015 à 22h14

Kinox écrivait:
---------------
> Je ne parle pas d'un pulpolithe mais d'une vrai sénescence pulpaire liée aux
> diverses agressions que la dent a déjà subit ;)

une radio de la dent et de la chambre nous aiderait à te conseiller....


Kinox

25/02/2015 à 22h27

Oui je sais bien, mais c'est vraiment le cas classique d'une rétraction centripète. A la radio, pour faire imagé, la pulpe ressemble à une grosse croix, deux extrémités en haut correspondant aux cornes pulpaires, deux en bas pour les entrées canalaires (molaire mandibulaire). Et en regard d'une corne, le soin profond à refaire car dégueu.

Bref, le genre de truc qu'on rencontre souvent malheureusement.


Avatar eugenol pe0ymx - Eugenol
nicklebenou

25/02/2015 à 23h17

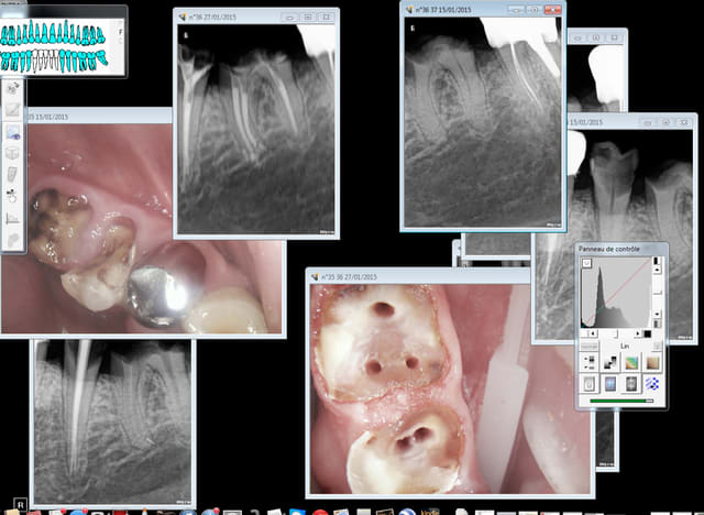
Moi je fais. Mais j ai des aides optiques..je vais retrouver une radio d un traitement de correspondant que j ai fait il y a peu tu me diras si c est ressemblant


Avatar eugenol pe0ymx - Eugenol
nicklebenou

25/02/2015 à 23h25

traitement fait juste avec loupes. l'ouverture de la chambre et trouver les entrées canalaires ca a été coton mais faisable..1h30 de traitement tout de même

Mme durif annette 1 azvr6d - Eugenol
Mme durif annette 4 kdtmtm - Eugenol

Avatar eugenol pe0ymx - Eugenol
nicklebenou

25/02/2015 à 23h29

manquait celle ci désolé

Mme durif annette 2 makpln - Eugenol

Capture d  cran 2015 03 12 12.28 - Eugenol
chicot29

26/02/2015 à 02h06

Sans loupes. -))))

Capture d e cran 2015 02 26 01.04 - Eugenol
Capture d e cran 2015 02 26 01.05 - Eugenol

Avatar eugenol pe0ymx - Eugenol
nicklebenou

26/02/2015 à 12h04

j'avoue que pour les ouvertures de chambre je les ai toujours à portée de main. mais dans la plupart des situations c est pas forcément nécessaire :-)


Kinox

26/02/2015 à 22h19

Ce n'est pas le problème de la visibilité pour ça j'ai un microscope ;)
C'est juste le fait d'y aller ou pas... sur-traitement ou prévention... that is the questions :)


Avatar eugenol pe0ymx - Eugenol
nicklebenou

26/02/2015 à 22h51

Au cas par cas.
Mais pour moi j y vais avant que l endo soit infaisable et que le patient est d accord.
mais en tant qu endodontiste mon point de vue est forcément biaisé
:-()


Kinox

26/02/2015 à 22h54

Je pose cette question en tant qu'endodontiste également, pour voir si mon point de vue est justement biaisé ou non :)


Avatar eugenol pe0ymx - Eugenol
nicklebenou

27/02/2015 à 00h28

je comprends mieux ton interrogation. Je me pose régulièrement la question dans certaines situations, sans aucun signe. comme ça, si y a pas de signes ca m'arrive de pas faire l'endo. mais bon sans la radio je peux pas te dire de manière sûre ce que j'aurai fait..
Désolé
je posterai dans qq jours un cliché de CBCT de ma 46 avec une résorption externe au niveau de la chambre ou avec le responsable endo sur Toulouse on sait pas encore ce qu'il fera car les canaux mésiaux sont déjà très rétractés en regard de cette résoprtion.
On verra les avis :-)


Kinox

27/02/2015 à 12h02

Je vais tâcher de mettre la radio, ce sera plus simple :)