Cookie Consent byPrivacyPolicies.comaide au diagnotic - Eugenol
marco17

27/02/2015 à 13h57

Bonjour,
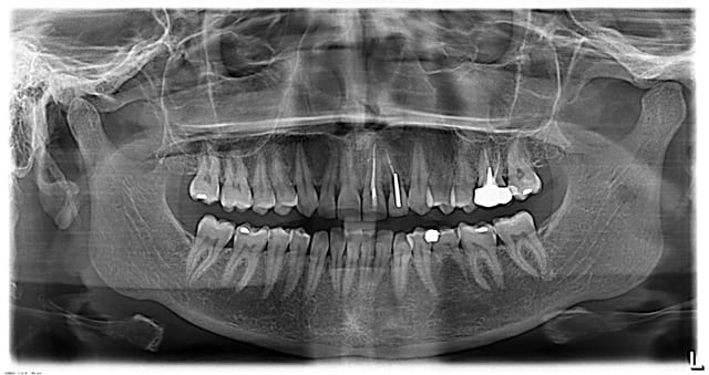
je vous poste cette pano car je sèche concernant le diagnostic,


patiente 34 ans, pas d'antécédents,
douleur quasi continue coté droit, sous l'oreille et le long
du bord inf de la branche montante de la mandibule,

légèrement douloureux à la palpation,

voyez-vous un problème osseux à la pano ?
une idée de l'origine des douleurs ?


merci de votre aide ;-)

 20150227 477 uvhp3s - Eugenol

ny162

27/02/2015 à 14h17

Bonjour,

Douleur de l'ATM droite?


jbl

27/02/2015 à 14h20

Douleur projetée à cause de la carie distale de 36?


jbl

27/02/2015 à 14h20

Douleur projetée à cause de la carie distale de 36?


Image r6habu - Eugenol
Thomas Crown

27/02/2015 à 14h41

tu as une rétro de 36?
Allez, on arrête les diagnostics sur pano en 2015? :)


Bonta mvdcrm - Eugenol
matt_clrvt

27/02/2015 à 14h44

Qu'est-ce qui est douloureux à la palpation ? La gencive, le plancher de la langue, le masseter, au niveau de l'atm, etc. ?

Toutes les dents répondent uniformément au tests de vitalité ?

--
- ping -t 127.0.0.brain
- ... sending packets ...
- délai d'attente de la demande dépassé
- délai d'attente de la demande dépassé


marco17

27/02/2015 à 14h49

pas de retro de la 36, je le fais dès que je peux,

la pano c’était plus pour ne pas passer à coté de qqchose
au niveau osseux ou ATM

ce cas m'a un peu refroidi
http://www.eugenol.com/sujets/397385-urgent-abces-enfant?page=4


marco17

27/02/2015 à 14h53

matt_clrvt écrivait:
--------------------
> Qu'est-ce qui est douloureux à la palpation ? La gencive, le plancher de la
> langue, le masseter, au niveau de l'atm, etc. ?
>
> Toutes les dents répondent uniformément au tests de vitalité ?

aucune douleur aux dents : percussion ,test au froid positif,
gencive ok,


la douleur me fait plus penser à un problème musculaire,
la palpation du masseter est douloureuse,
mais quid de l'origine ?


roger chicot

27/02/2015 à 14h56

Mastication unilatérale droite, vu l'état à gauche...

virer la 75 et implant, 36 dentinite, revoir peut-être le traitement et la k sur 26...

Explication, etc, sans résoudre les pbes à gauche, pas de solution pour la droite (qui sont apparus depuis ?).

Ta sémio est de toute façon merdique, il nous en faut plus !!!


Image r6habu - Eugenol
Thomas Crown

27/02/2015 à 15h01

relax roger, c'est Vendredi..
je pense que jbl a raison, lésion distale36 reponse pulpaire depuis des mois, elle est en nécrose partielle amha.


roger chicot

27/02/2015 à 18h19

Je suis tout à fait relax et les douleurs "projetées", c'est du pipeau d'un côté à l'autre sans douleur intense (type pulpite).

Et notre intervenant l'aurait peut-être quand même diagnostiqué... Lisez son post avant le mien.

Quant à la mastication unilatérale, elle est évidente...
Mais ça c'est pour ceux qui observent traitent et suivent leurs patients avec assiduité depuis au moins 15 ans, les vieux comme moi, quoi !!!


isabelle73

27/02/2015 à 18h30

Bonjour,
@Roger : juste pour savoir, pourquoi la mastication unilatérale est évidente pour toi?
Merci pour ta réponse!


marco17

27/02/2015 à 19h36

roger chicot écrivait:
----------------------
> Je suis tout à fait relax et les douleurs "projetées", c'est du pipeau d'un côté
> à l'autre sans douleur intense (type pulpite).
>
> Et notre intervenant l'aurait peut-être quand même diagnostiqué...


oui merci j'arrive à reconnaitre une douleur violente ;-)
la douleur est légère mais continue, elle a l'impression qu'elle est accentuée quant elle est stressée ( tension musculaire )



> Quant à la mastication unilatérale, elle est évidente...
> Mais ça c'est pour ceux qui observent traitent et suivent leurs patients avec assiduité depuis au moins 15 ans, les vieux comme moi, quoi !!!

et pour les autres, quels signes ?
pourquoi d'un coup elle se met à mastiquer unilatéralement ?
la 85 est là depuis un petit moment non ?


Vw campersurfvan bmnk1q - Eugenol
enlaye

27/02/2015 à 20h29

un truc tout simple , verifie s 'il n'y a pas un sur contact sur 21 ou 22 qui ont ete machinées ..
quand je dis surcontact , en fait il ne doit pas y en avoir du tout ou bien pas plus a droite qu'a gauche , au niveau ant .


Canin

27/02/2015 à 22h32

marco17 écrivait:
-----------------
> Bonjour,
> je vous poste cette pano car je sèche concernant le diagnostic,
>
>
> patiente 34 ans, pas d'antécédents,
> douleur quasi continue coté droit, sous l'oreille et le long
> du bord inf de la branche montante de la mandibule,
>
> légèrement douloureux à la palpation,
>
> voyez-vous un problème osseux à la pano ?
> une idée de l'origine des douleurs ?
>
>
> merci de votre aide ;-)

La pano est relativement pourrie mais tu es peut-être chanceux. Je ferai un scan cervico-facial en premier.

J'adresserai ensuite le patient à un chirurgien cervico-facial pour avis et ablation d'un processus styloïde apparemment très long et qui bien très bien visible sur cette pano malgré tous les défauts qu'elle comporte.

La sémiologie clinique peut tout à fait coller.

Sinon difficile d'en dire plus.

--
Canin


Images mg2jvu - Eugenol
zorg

28/02/2015 à 17h21

D'accord avec Canin. Aucune chance que ce soit un pb dentaire surtout croisé droite gauche.
- Syndrome d'Eagle possible mais toute apophyse styloïde longue (4% de la population) n’entraîne pas forcément le syndrome. Rechercher si la déglutition et la rotation du cou est sensible.
- DAM possible mais en l'absence de bruit articulaire on est sur du musculaire donc assez rarement unilatéral et surtout sans accompagnement de douleur du temporal.
- problème parotidien (l'image de calcification autour de l'apophyse styloïde est bizarre)

J'adresserai volontiers à un orl après avoir demandé un scan.