Cookie Consent byPrivacyPolicies.comFacette et bruxisme - Eugenol

Facette et bruxisme

003 penrd2 - Eugenol
Cingulum

08/03/2015 à 13h52

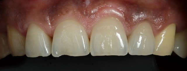
Que ce passe t'il quand on colle des facettes, sur un patient avec une usure importante du secteur antérieur .... et ben il use ses facettes comme ses dents....

Mais ça se décolle pas ;)
Eclat dans la céram à 2ans post collage....


--
Dr Cingulum
-----Ancien interné----
----Attaché à l'apex----
http://www.clinic-all.fr/ formation par passion

 mg 3488 nrzld3 - Eugenol
 mg 3072 hi44en - Eugenol
 mg 8031 qgyr38 - Eugenol
 mg 8036 dp15pg - Eugenol

tulpen

08/03/2015 à 14h33

c'est quel type de ceramique avec quel collage svp? car je dois refaire une facette dans un contexte un peu plus favorable mais qui s'est cassée en moins d'un an et je m'interrogeais justement a ce sujet


003 penrd2 - Eugenol
Cingulum

08/03/2015 à 16h10

Emax, collage compo photo et traitement adhésif

--
Dr Cingulum
-----Ancien interné----
----Attaché à l'apex----
http://www.clinic-all.fr/ formation par passion


tulpen

08/03/2015 à 23h00

merci!


jeff13

08/03/2015 à 23h14

t'auras pas de photos de tes preps en vue "interne/palatine"?


003 penrd2 - Eugenol
Cingulum

09/03/2015 à 10h18

il n'y a pas de préparation palatine. Que vestibulaire et ménagé 1.5 a 2mm au niveau du futur bord libre en ceramique

--
Dr Cingulum
-----Ancien interné----
----Attaché à l'apex----
http://www.clinic-all.fr/ formation par passion

 mg 3486 mzgfbl - Eugenol

218754 2054998371773 6343441 o urig4z - Eugenol
ParisianDentist

09/03/2015 à 19h20

Bonsoir Cingulum :)

T'as mis une gouttière de protection après le traitement ?
T'as utilisé quoi comme compo de collage, G-aenial ?
Merci pour le partage