Cookie Consent byPrivacyPolicies.comRTE guérison - Eugenol

RTE guérison

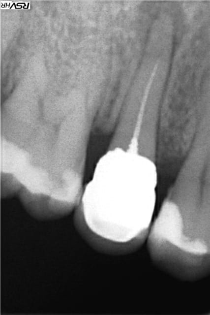
pointG

11/03/2015 à 11h35

un post pour montrer que :reprise de traitement canalaire
sous digue+hypo+gutta compactée mac spaden peut fonctionner
RTE en 2013 ;guérison en 2015

Re1 hsytbg - Eugenol
Re2 upbol2 - Eugenol
Re3 txsjt7 - Eugenol
Re4 t65ys6 - Eugenol

Bagheera tudzjy - Eugenol
bagheerra

11/03/2015 à 12h03

Même sans digue, irrigation au Dakin, obturation monocône scellé, provisoire à tenon, bref tout ce qui ne faut pas faire ...

C2 ueppul - Eugenol
R7 fawrka - Eugenol

damienB

11/03/2015 à 14h01

bagheerra écrivait:
-------------------
> Même sans digue, irrigation au Dakin, obturation monocône scellé, provisoire à
> tenon, bref tout ce qui ne faut pas faire ...

excellent !
j'en ai aussi des kilos des cas comme ça, avec le même traitement que Bagheera ;-))


moi22

12/03/2015 à 22h54

la même chose, avec même des instruments fracturés :)


Vw campersurfvan bmnk1q - Eugenol
enlaye

13/03/2015 à 01h30

La même chose sans rien retraiter . encore plus fainéant: extraire nettoyer remettre .:-)))))
L endo est foutue :-))))


Bonta mvdcrm - Eugenol
matt_clrvt

13/03/2015 à 10h07

http://first2board.com/thepointsjock/files/2014/06/boy-that-escalated-quickly.jpg