Cookie Consent byPrivacyPolicies.comQuelle intervention a eut lieu 24h avant ? - Eugenol
Utilisateur banni

16/03/2015 à 10h19

.

1 - Eugenol

Condylalor2

16/03/2015 à 10h29

Je dirais PAP bloc antérieure .


Utilisateur banni

16/03/2015 à 10h33

Condylalor2 écrivait:
---------------------
> Je dirais PAP bloc antérieure .

Non, aucune prothèse amovible partielle.


Morgan ztbb1b - Eugenol
BONNET jc

16/03/2015 à 10h38

Un bon détartrage, mais on ne voit pas les limites des ceram (provisoires?)-gencives. Lol.
Pose d'implants avec bridge provisoire.


Utilisateur banni

16/03/2015 à 10h41

BONNET jc écrivait:
-------------------
> Un bon détartrage, mais on ne voit pas les limites des ceram
> (provisoires?)-gencives. Lol.
> Pose d'implants avec bridge provisoire.

Tu connais les sujets que je poste.
Combien d’implants ?


Doc Mav

16/03/2015 à 10h42

si la question est posée, c'est qu'il y a un intérêt, un exploit technique ?

patiente jeune, femme, très joli sourire mais une couronne coulée sur 36...

- des facettes - multiples- pour restaurer l'esthétique
- un bridge sur implant (antécédent de trauma des incisives ?)

- ou, un "simple" détartrage



même remarque, on ne voit pas les collets, les papilles sont ok


Utilisateur banni

16/03/2015 à 10h47

Doc Mav écrivait:
-----------------
> si la question est posée, c'est qu'il y a un intérêt, un exploit technique ?
>
> patiente jeune, femme, très joli sourire mais une couronne coulée sur 36...
>
> - des facettes - multiples- pour restaurer l'esthétique
> - un bridge sur implant (antécédent de trauma des incisives ?)
>
> - ou, un "simple" détartrage
>
>
>
> même remarque, on ne voit pas les collets, les papilles sont ok

Merci pour elle, elle approche les 60 ans.
Pas de détartrage.


Ulysse 31 nono le petit robot tjdbmb - Eugenol
ptitrobot

16/03/2015 à 10h58

Si c'est Posit c'est simple ...EII multiples et mise en charge immédiate au moins au maxillaire ^_^


Utilisateur banni

16/03/2015 à 11h01

ptitrobot écrivait:
-------------------
> Si c'est Posit c'est simple ...EII multiples et mise en charge immédiate au
> moins au maxillaire ^_^

Qui a fait l’intervention ?


Ulysse 31 nono le petit robot tjdbmb - Eugenol
ptitrobot

16/03/2015 à 11h45

pluton ou Marcus ? ^-^


Utilisateur banni

16/03/2015 à 11h47

ptitrobot écrivait:
-------------------
> pluton ou Marcus ? ^-^

Pour ce cas c’est Pluton.


dent2669

16/03/2015 à 11h54

Sinus-lifts des deux cotés puis pose des implants puis mise en charge immédiate.

Ou pose des implants dans les secteurs postérieurs maxillaire, dans des positions pas très catholiques permises par le posit-guide, puis mise en charge


Utilisateur banni

16/03/2015 à 12h03

dent2669 écrivait:
------------------
> Sinus-lifts des deux cotés puis pose des implants puis mise en charge immédiate.
>
> Ou pose des implants dans les secteurs postérieurs maxillaire, dans des
> positions pas très catholiques permises par le posit-guide, puis mise en charge
>

Pas de Sinus-lifts.
Pose des implants presque conventionnelle (toutes les explications à MALLORCA 23- 25 octobre 2015)


Utilisateur banni

16/03/2015 à 12h20

Pour résumer:
Pluton a extrais (?) dents, posé (?) implants, a mise en charge immédiatement en 1 seul temps chirurgical un bride en (?), la patiente est revenue le lendemain pour lui faire un sourire.


Photo pluton1b h9n4ea - Eugenol
pluton

16/03/2015 à 12h32

juste avant de commencer une deuxième intervention sur une autre patiente, qui au passage va très bien aussi puisqu'elle était à sa boutique tout sourire aussi le lendemain...;-)


Photo pluton1b h9n4ea - Eugenol
pluton

16/03/2015 à 13h10

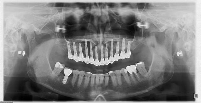
ce cas clinique est exceptionnel...

de part l’étiologie d'abord: un ttm ODF de classe 2 div 1 traité par extractions des 4 sup et des forces extrêmement lourdes appliquées à l'époque (il y a environ 40 ans...) qui a conduit à des résorptions radiculaires très importantes

les petits problèmes paro survenu à la cinquantaine ont fini le travail, seules les canines sup étaient à peu près solides...
en bas RAS, à part un implant et une couronne métal...

comme la patiente ne voulait absolument pas de prothèse amovible et désirait un traitement rapide...pas beaucoup de solutions...

c'est par contre une "vitrine" technologique pour Posit: aucun système de guide ne peut aujourd'hui faire ce qu'il a fait: extrême précision, prothèse fixe ET parfaitement esthétique ET de très longue durée (je mise sans problème sur 3 à 5 ans avant d'avoir à toucher quoi que ce soit...)


Blocperso talon jer3sl - Eugenol
mrquentin

16/03/2015 à 13h11

extraction implantation mise en charge immédiate de tout le maxillaire, et peut etre aussi secteur postérieur mandibulaire.


Photo pluton1b h9n4ea - Eugenol
pluton

16/03/2015 à 14h12

mrquentin écrivait:
-------------------
> extraction implantation mise en charge immédiate de tout le maxillaire, et peut
> etre aussi secteur postérieur mandibulaire.

pas à la mandibule...;-) tout est ok...

EII MCI de tout le maxillaire, oui...
mais ce que Posit veux vous faire deviner, c'est le nombre d'implants et le type de prothèse...

allez 3 indices:
- vous allez peut être me prendre pour pépélaratiche
- pour les (peut être...dans certainement de longues années...) prothèses d'usage, il y aura une prise en charge SS comme sur les dents naturelles ( à moins que je ne perde quelques implants...)
- nous avions moins de 3° de "liberté" sur la totalité des implants posés pour conduire a bien cette intervention...et forcément, plus il y en a...plus c'est difficile...;-)


Smile beach jgh0a1 - Eugenol
Céramik

16/03/2015 à 17h40

Si tu parles de pepe, alors, all-on-12 (minimum) ;-)


--
Céramik


dent2669

16/03/2015 à 17h55

pluton écrivait:
----------------
> il y aura une prise en charge SS comme sur les dents naturelles ( à
> moins que je ne perde quelques implants...)


Donc un implant par dent... c'est sport !!
On rentabilise mieux la matinée d'intervention comme ça ! ;-)


Photo pluton1b h9n4ea - Eugenol
pluton

16/03/2015 à 18h07

c'est bien 1 implant/dent....;-) soit donc un all on 12 (interactive)...;-)

qui plus est prothèse "scellée" mais pas une goutte de ciment de scellement...all in friction version cône morse sur des piliers standards à peine retouchés...;-)

c'est une vraie prouesse, un vrai défi technologique car on est dans les septums des molaires en postérieur et faut être bien parallèle (les 12 hein?...car sur 8 c'est presque de la rigolade à côté...)

rentable l'intervention?....heu...sincèrement non...c'est plus pour le fun et avoir relevé ce challenge...(cela dit, j'ai quand même gagné ma "croute"...)

Pano qckztn - Eugenol

olivier

16/03/2015 à 18h16

la tanée quoi....tu l'a iconographié de a à z?


Photo pluton1b h9n4ea - Eugenol
pluton

16/03/2015 à 18h25

olivier écrivait:
-----------------
> la tanée quoi....tu l'a iconographié de a à z?

of course i have...;-))

photos/vidéo bien sûr...c'est vraiment une chir magnifique, je pense même que je pourrais en faire une publication...mais bon j'ai pas beaucoup de temps...

pour ceux qui voudrons tout voir/comprendre, il faudra vous joindre à nous à Majorque...;-)


dent2669

16/03/2015 à 18h39

pluton écrivait:
----------------

> pour ceux qui voudrons tout voir/comprendre, il faudra vous joindre à nous à
> Majorque...;-)

Et non je n'irai pas à Majorque mais ça n'empêche que de prime abord, je trouve ça complètement inutile de mettre autant d'implants... et donc, je suis vraiment interessé de savoir le pourquoi du comment de cette histoire !!

Un all-on-6 n'aurait-il pas suffit ?

Pas assez compliqué ? pas assez cher ? pas assez d'os ? un stock de vieux implants à poser avant la date de péremption ? une volonté de faire de l'unitaire pour obtenir les remboursements de toutes les couronnes définitives ?


Photo pluton1b h9n4ea - Eugenol
pluton

16/03/2015 à 19h23

dent2669 écrivait:

> Et non je n'irai pas à Majorque mais ça n'empêche que de prime abord, je trouve
> ça complètement inutile de mettre autant d'implants... et donc, je suis vraiment
> interessé de savoir le pourquoi du comment de cette histoire !!
>
> Un all-on-6 n'aurait-il pas suffit ?

techniquement, un all on six çà aurait peut être pu se faire, mais aussi rapidement se casser la gueule...dans ce cas
sur un site cicatrisé, oui sans problème, mais pas en EII
et au maxillaire je préfère, de loin, prévoir 8 implants si c'est possible

>
> Pas assez compliqué ? pas assez cher ? pas assez d'os ? un stock de vieux
> implants à poser avant la date de péremption ? une volonté de faire de
> l'unitaire pour obtenir les remboursements de toutes les couronnes définitives ?

tu as déjà "planté" dans un septum inter radiculaire de molaire sup fraichement extraite? es tu dans la possibilité d'affirmer un 100% de chances d'avoir une stabilité primaire suffisante pour pouvoir faire ensuite une MCI?
ma patiente, elle voulait être sûr à 100% de repartir avec des dents...
par contre, je ne lui ai pas fais payer plus que pour une intervention avec 8 implants... les 4 en plus, c'était surtout pour moi les ceintures et les bretelles...


12...