Cookie Consent byPrivacyPolicies.comDescellements à répétition . - Eugenol

Descellements à répétition .

doctyoni

18/03/2015 à 23h45

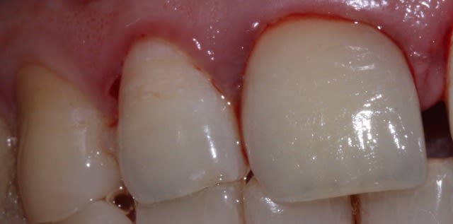
J'ai soigné l'oncle d'un très bon ami .
Il est arrivé au cabinet avec sa centrale complétement fracturée (fracture coronaire) sans aucune raison .
J'ai déposé le segment fracturé , réalisé l'endo sous digue , puis mis sous provisoire.
J'ai travaillé avec un très bon laboratoire parisien .

Les travaux livrés qui m'ont été livrés sont d'une grande qualité .


Lors de mon scellement , la dent était adaptée il y a environ 5 mois .

un premier descellement de la couronne s’est produit rapidement après la pose , j’ai pensé à une surocclusion et la correction a été réalisé par le laboratoire.



Un second descellement s’est produit aujourd’hui mais avec l’inlay core .
J’ai vérifié l’absence de fracture de racine à travers un sondage (aucune perte d'attache).


Je pense que le patient a des parafonctions importantes (sollicitations en diductions ou propulsions).
J'ai pensé aussi au ciment mais 2 descellements à des intervalles aussi court ?

Des idées , j'avoue que je seche .

Inconnu kbpy6o - Eugenol
10732548 10152325716891146 560544696 o srtwa1 - Eugenol

fou

18/03/2015 à 23h51

Il n'aurait pas un tic de morsure ? Comme tenir ces clefs de voiture avec les dents ou mordre des stylos?


doctyoni

18/03/2015 à 23h57

J ai pensé à exactement la meme chose , tic de Morsure à la fermeture.
Ca n'explique pas un descellement aussi rapide , non ?


carident

19/03/2015 à 00h09

De prime abord, je dirais que le tenon de l'inlay core n'est pas assez long, ni assez large (trop fin). Il devrait faire 2 mm de plus et être plus large pour optimiser la rétention de l'inlay core et la transmission des contraintes à la racine...

Second, l'effet ferrule semble absent (pas de cerclage de la racine en elle même par la couronne). Lorsque c'est possible, il faut faire en sorte que la couronne recouvre à la fois la partie coronaire de l'inlay core, mais aussi une partie de la dent/racine résiduelle, car sinon seule la partie intraradiculaire de l'inlay core retient la couronne...

Pour ce qui est des contraintes occlusales excessives éventuelles en oclusion dynamique, c'est impossible à voir sans voir l'arcade dans son ensemble et des moulages en occlusion sous plusieurs angle de vue...


Nouveau image bitmap fz77zh - Eugenol
Sethef

19/03/2015 à 00h16

Dans tous les cas similaires que j'ai pu voir, il y avait toujours une fêlure sous jacente, invisible au début, puis ça finit par péter définitivement.

Pas grand chose à faire malheureusemement.

Pour l'étiologie, on peut effectivement soupçonner une parafonction quelconque, onychophagie, crayon, liée au boulot...


Photo pluton1b h9n4ea - Eugenol
pluton

19/03/2015 à 00h27

+1 sethef...fêlure très probable (vu l'aspect de la gencive je penche dans la zone mésio-vestibulaire) et qui serait bien en accord avec le passé de cette dents qui c'est déjà fracturée...
au début, il n'y a généralement aucun signe au sondage et bien souvent la fêlure n'est visible qu'a très fort grossissement au microscope op...


doctyoni

19/03/2015 à 00h45

Le tenon on m a toujours appris à laisser au moins 5 mm de gutta .
Je ne le trouve pas particulièrement petit ,d'autant plus qu'il est anatomique (je prendrai une photo ).

Felure , J y ai pensé . J'ai cherché avec une lampe à photopolymeriser .
Pas de microscope mais rien de visible.

Je pense à l'implant directement ou ca vaut le coup de m'acharner à refaire une seconde fois la couronne ?


Je pense que le probleme vient de l'occlusion.
Puisqu'au final , la premiere fois seule la couronne s est déscellée . Puis la seconde fois , ce sont les 2 .




carident

19/03/2015 à 00h54

Il n'y a aucune fêlure, c'est juste la conception du logement de l'inlay core qui fait que ça se descelle aussi vite.

5 mm de gutta c'est dans l'idéale...

Après quand tu as une couronne aussi large, la partie radiculaire de l'inlay core doit être plus longue que la hauteur de la couronne, sinon ça ne peut pas tenir...


Vw campersurfvan bmnk1q - Eugenol
enlaye

19/03/2015 à 01h05

Ca sent très fort la sur occ . la latérale et la canine sont presque en bout a bout, et il y a un diasteme.+ plus une paro pas très belle . l angle distal de ta centrale est trop verrouillant .si le tenon n est pas tordu ,ce n est pas la peine de tout reprendre , il suffirait d équilibrer . a ce propos je ne comprend pas pourquoi c est le labo qui te l a équilibré ? S' ils savaient le faire ca se saurait.
Pourquoi vous commencez toujours vos post par " j ai mis la digue " ?? Comme si c etait un signe de qualité pour la suite !


carident

19/03/2015 à 01h17

enlaye écrivait:
----------------
> Ca sent très fort la sur occ . la latérale et la canine sont presque en bout a
> bout, et il y a un diasteme.+ plus une paro pas très belle . l angle distal de
> ta centrale est trop verrouillant .si le tenon n est pas tordu ,ce n est pas la
> peine de tout reprendre , il suffirait d équilibrer . a ce propos je ne comprend
> pas pourquoi c est le labo qui te l a équilibré ? S' ils savaient le faire ca se
> saurait.
> Pourquoi vous commencez toujours vos post par " j ai mis la digue " ?? Comme si
> c etait un signe de qualité pour la suite !

C'est sûre qu'en occluso c'est pas favorable (les incisives semblent participer à la latéralité) ... Si la rétention de la couronne et de l'inlay core était mieux assurée, il y aurait eu de toute façon une fracture très rapide de la céram plutôt qu'un descellement...


Vw campersurfvan bmnk1q - Eugenol
enlaye

19/03/2015 à 01h32

Oui carident . la c est un moindre mal . la couronne part c est un fusible .
Je le dis dans tous mes post a notation occlusale :
Il faut une absence totale de contact sur les centrales .je redis bien totale . l incidence est énorme sur la cinématique mandibulaire .


Vw campersurfvan bmnk1q - Eugenol
enlaye

19/03/2015 à 01h41

Sethef écrivait:
----------------
> Dans tous les cas similaires que j'ai pu voir, il y avait toujours une fêlure
> sous jacente, invisible au début, puis ça finit par péter

A mon avis pas encore ,puisqu il y a de l os on dirait.
Mais effectivement si on insiste , il y a une revession osseuse , en vest , et la , au lieu que le tenon ne se torde , c est la racine qui pete .


6szjws718sv1jksw54v4mpj3a6cu - Eugenol
vulpi

19/03/2015 à 14h06

couronne provisoire à long terme, pour valider la forme et l'occlusion, au moins trois mois et avec un ciment provisoire peu endurant (temp bond par exemple), tu évides bien l'intrados pour qu'il y ait un léger jeu, si problème occlusal ça va vite ce desceller.
Il y a des patients qui en dehors de toutes fonctions occlusales classiques aiment bien s'appuyer, pousser sur une dent particulière, lors d'efforts de concentration ou physique, j'en ai eu un c'était en éternuant, une vrai rigolade et ça impactait fort.


RépondreCiter
carident

19/03/2015 à 14h22

Mieux vaut revoir la préparation du logement et surement aussi la préparation périphérique, car lorsque le problème occlusale sera résolu, cela n'empêchera pas la couronne de se desceller pour une autre raison...

Peu importe la force exercée sur cette dent, c'est pas normal que la dent se descelle plutôt que la céramique ne casse...

Il n'y a qu'à voir la taille du tenon et celle de la couronne pour s'en convaincre. L'image parle d'elle même!

http://www.eugenol.com/sujets/409632-facette-et-bruxisme?page=1#post_810968

Une facette bien collée se casse plutôt que de se décoller, pour une couronne cela devrait être encore plus vrai!


6szjws718sv1jksw54v4mpj3a6cu - Eugenol
vulpi

19/03/2015 à 14h30

Étiologie de la fracture originelle?
Pour l'effet ferrule Ok, pour le tenon, si le problème n'est pas réglé c'est la racine qui va nous quitter.


6szjws718sv1jksw54v4mpj3a6cu - Eugenol
vulpi

19/03/2015 à 14h33

"Peu importe la force exercée sur cette dent, c'est pas normal que la dent se descelle plutôt que la céramique ne casse..."

Cela dépend peut être aussi du point d'application de la force nocive.


Vw campersurfvan bmnk1q - Eugenol
enlaye

19/03/2015 à 15h23

vulpi écrivait:
---------------

> Cela dépend peut être aussi du point d'application de la force nocive.

OK avec le vulpi .
Si la force est de traviol , la dent tourne sur son axe et le ciment claque de suite . pas besoin de forcer beaucoup .dans le cas de cette centrale , l appuis est sur l angle distal donc l effet de couple est important .

Carident , la photo de cingulum est différente , c est plusun vrai bruxisme avec usure en bout a bout


Vw campersurfvan bmnk1q - Eugenol
enlaye

19/03/2015 à 15h28

La centrale est la canne d un aveugle :
Si elle est trop courte peuchère , il se cogne de partout.
Voila pourquoi je dis qu il faut soulager les contavts incisifs , cela revient a ralonger la canne .


carident

19/03/2015 à 16h34

enlaye écrivait:
----------------
> La centrale est la canne d un aveugle :
> Si elle est trop courte peuchère , il se cogne de partout.
> Voila pourquoi je dis qu il faut soulager les contavts incisifs , cela revient a
> ralonger la canne .

C'est pour ça que la cécité n'est pas un réel problème chez les lapins... :-)


carident

19/03/2015 à 16h46

vulpi écrivait:
---------------
> Étiologie de la fracture originelle?
> Pour l'effet ferrule Ok, pour le tenon, si le problème n'est pas réglé c'est la
> racine qui va nous quitter.


Contrairement à ce que beaucoup pensent, plus le tenon est long, gros (sous réserve qu'il reste assez de dentine autour), et bien adapté, plus les contraintes exercées sur la racine sont mieux réparties...
Plus la couronne est haute et large et plus les contraintes exercées auront des chances d'être importante. Le point où s'exerce la force a aussi son importance (effet de bras de levier et/ou moment de la force). En tout état de cause il ne devrait pas y avoir de possibilité de rotation de la couronne/inlay core dans le logement de tenon : la préparation doit permettre d'éviter cela...

Il y a donc plus de risque de fracture avec un tenon court et trop fin...

Bien sûre, si celui est vraiment trop fin, soit il cassera à la connexion, soit il se tordra.


carident

19/03/2015 à 16h49

enlaye écrivait:
----------------
> vulpi écrivait:
> ---------------

> Si la force est de traviol , la dent tourne sur son axe et le ciment claque de
> suite . pas besoin de forcer beaucoup .dans le cas de cette centrale , l appuis
> est sur l angle distal donc l effet de couple est important .

Si les couronnes étaient aussi faciles à déposer... Pas besoin de couper à la fraise, pas besoin d'utiliser les wamkey... Prochaine fois, je vais appliquer le couple sur l'angle distal lol! Mais quelque chose me dit que c'est plutôt la céramique (peu résistante à la flexion) qui va craquer avant...


6szjws718sv1jksw54v4mpj3a6cu - Eugenol
vulpi

19/03/2015 à 17h13

Cela dépend aussi du matériau de l'inlay core (de sa rigidité), de l'effet anti-rotationnel de l'IC, là pas d'effet je pense et du matériau d'assemblage. Après si il y a une micro-fêlure c'est bingo.
La céram casse sur des chocs importants, ou mal situés si elle n'est pas soutenue.
Là ce serait plutôt de la fatigue cyclique, petits chocs répétés Xfois.


Vw campersurfvan bmnk1q - Eugenol
enlaye

19/03/2015 à 17h59

carident écrivait:
------------------

> Si les couronnes étaient aussi faciles à déposer... Pas besoin de couper à la fraise, pas besoin d'utiliser les wamkey... Prochaine fois, je vais appliquer le
> couple sur l'angle distal lol!

ça ne t'est arrivé de desceller une couronne en voulant extraire celle d'à coté ? :-))))))
ç est rigolo surtout quand ç est pas la tienne :-))


carident

19/03/2015 à 18h33

enlaye écrivait:
----------------
> carident écrivait:
> ------------------
>
> > Si les couronnes étaient aussi faciles à déposer... Pas besoin de couper à la
> fraise, pas besoin d'utiliser les wamkey... Prochaine fois, je vais appliquer le
> > couple sur l'angle distal lol!
>
> ça ne t'est arrivé de desceller une couronne en voulant extraire celle d'à coté
> ? :-))))))
> ç est rigolo surtout quand ç est pas la tienne :-))

Honnêtement, non... pas encore desceller de couronne lors de l’extraction d'une dent adjacente.
Je ne prend pas appuie sur les dents adjacentes lorsqu'elles sont couronnées ou fragile (notamment du point de vue paro). Et si c'est pas possible de faire autrement je sépare les racines.

Maintenant desceller une couronne sur une molaire avec un élévateur ou un syndesmotome ça n'a rien avoir le cas dont on discute, si?


209209668 fh2mys - Eugenol
fredo667

19/03/2015 à 19h10

Longueur du tenon pour moi, et fais un box trangulaire dans l'axe global du tenon avec ta grosse congé (base du triangle en vestibulaire, pointe en palatin): ça augmente ta surface de contact fm/racine au niveau du collage et ca amène un effet antirotationnel.
Serti ensuite sur 1.5 à 2 mm tout le pourtour de ta dent pour amener effectivement du "férule effect".
Pour le reste tu sais encore équilibrer une dent..

En tout cas fais quelque chose, car en dehors de l'hypothese ou tu aurais collé et ta couronne et ton faux moignon dans la salive et le sang, ce qui est tombé une fois retombera.


12