Cookie Consent byPrivacyPolicies.comQue feriez vous - Eugenol
olivier

19/03/2015 à 16h30

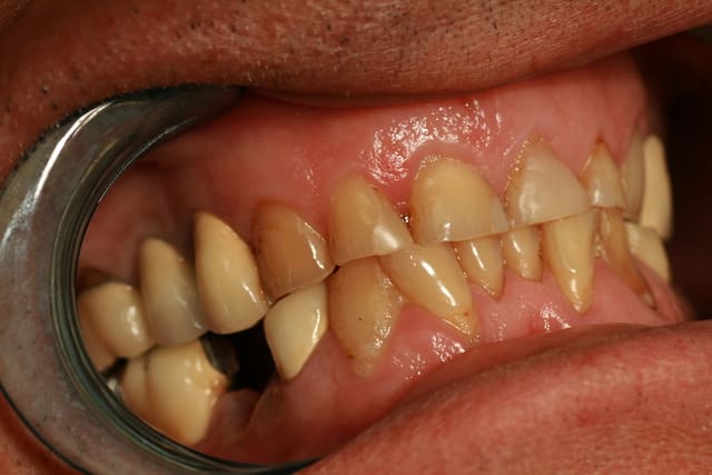
Petit dilemme j'ai un patient hyper bruxomane voir photo (qui ne supporte pas la gouttière ) il vient de perdre la 45 sur un bridge 44 45 47 avec inter sur 46.
Je ne sais pas quoi lui proposer :

-2 implants en 46 45 (si possible) mais quid des problèmes occlusaux

-un bridge de 47 à 44 avec 2 pontiques après retraitement (délicat) des 2 dents.

Que feriez vous ?

Enlaye des idées ??

Img 1731 ov92m0 - Eugenol
B1 uwt0bw - Eugenol
B2 zx0gio - Eugenol
B3 uuijov - Eugenol

lachmar

19/03/2015 à 17h13



s'il nesupporte pas la gouttière ne fais rien :

tout va peter et tu seras emmerde sans cesse

l'expérience montre que même après correction parfaite par un occluso , ces patients tendent à revenir à la position de départ et usent de plus belle

la gouttière renouvelée est le seul moyen que ca ne pète pas


olivier

19/03/2015 à 17h41

oui....en même temps c'est un patient qui vient depuis 8 ans chez moi je me vois mal lui "ben je peux rien faire ...désolé vous m'en voulez pas ?"

Non il va falloir trouver une solution mais comme je suis en période de doute j'ai du mal à choisir une option thérapeutique (le bridge avait 30 ans ....) . Donc je me demandais ce que vous en pensiez , effectivement je vais lui reparler de la gouttière (ou lui offrir) .

Mais vous feriez quoi sur lui ? Plutôt implants, plutot bridge ?


Image r6habu - Eugenol
Thomas Crown

19/03/2015 à 18h53

Bridge provisoire renforcé 6 mois, et gouttiére imposée.
Si concluant , implants ensuite et 2 couronnes sur 4 et 7, enfin si tu arrives à passer en mésial sur la 7..
Faut qu il accepte, on fait pas de la magie .


Utilisateur banni

19/03/2015 à 22h11

belle infection sur 47 préalable à quoique ce soit, faire disparaître cette infection après faudra voir. Vu le contexte je passerais avec une provisoire sur 47 et rien en 46 45 temporairement afin de voir comment la situation évolue.


damienB

19/03/2015 à 22h17

voilà mon humble avis :

1/ s'assurer de la pérennité de 47 (lésion apicale mésiale + épaississement ligamentaire + racines fortement fragilisées)
2/ bridge provisoire 47/44 avec renfort
3/ si 47 conservable, pose de 2 implants en position 45/46 et repose du bridge provisoire pendant l'ostéointégration
3 bis/ si 47 non conservable, extraction de 47 et pose de 2 implants en position 45 et 47
4/ couronnes unitaires sur 47 et 45 et couronnes TRANSVISSEES (surtout pas de scellé dans ce cas pour anticiper la maintenance) sur 45 et 46
4 bis/ couronne unitaire sur 44 et bridge transvissé sur 45/46/47.

le bruxisme n'est pas une contre-indication à l'implantologie. il doit être traité ou tout au moins protégé par gouttière. je pense même qu'une solution sur 4 couronnes unitaires sera la plus fiable et la plus facile à manager en cas de casse. un bridge de 4 dent sur 2 piliers dentaires fragilisés comme ça, c'est 4 dents à remplacer dans peu de temps !


Vw campersurfvan bmnk1q - Eugenol
enlaye

20/03/2015 à 00h03

olivier écrivait:
-----------------
> Petit dilemme j'ai un patient hyper bruxomane voir photo (qui
> Je ne sais pas quoi lui proposer :

> Enlaye des idées ??

Bien je lui proposerai d abord de lui arranger le haut .
Un petit malin à voulu lui faire 2 bridge avec des pm faisant office de protection canine. Je pense que ce verrouillage est trop fort pour lui.
Or quand tu es trop verrouillé une gouttière ne peut te faire du bien au contraire puisque tu augmentes encore plus la largeur du bas .
Voilà pourquoi il ne la supporte pas .
Fais le parler pour lui faire dire ou est sa plus grosse gêne.
Donc pour moi c est d abord le haut sinon rien .


Vw campersurfvan bmnk1q - Eugenol
enlaye

20/03/2015 à 01h42

lachmar écrivait:

>
> l'expérience montre que même après correction parfaite par un occluso , ces patients tendent à revenir à la position de départ et usent de plus belle

Malheureusement , oui.
Au mieux tu peux reprendre les facteurs iatrogenes.
Tu refais et meme si c est bien aujourdhui ils redeviendront pathogenes demain puisque l usure est differenciee suivant les materiaux et les dents naturelles.


Smile beach jgh0a1 - Eugenol
Céramik

20/03/2015 à 03h19

il nous manque pas mal d'info...
Pano,radio, photo arcades, en latt, en propulsion, etc.
Modèles montés

Faut tout refaire (haut et bas)
47: HS, donc 3 implants (45-46-47)

--
Céramik


olivier

20/03/2015 à 12h15

enlaye écrivait:
----------------
> olivier écrivait:
> -----------------
> > Petit dilemme j'ai un patient hyper bruxomane voir photo (qui
> > Je ne sais pas quoi lui proposer :
>
> > Enlaye des idées ??
>
> Bien je lui proposerai d abord de lui arranger le haut .
> Un petit malin à voulu lui faire 2 bridge avec des pm faisant office de
> protection canine. Je pense que ce verrouillage est trop fort pour lui.
> Or quand tu es trop verrouillé une gouttière ne peut te faire du bien au
> contraire puisque tu augmentes encore plus la largeur du bas .
> Voilà pourquoi il ne la supporte pas .
> Fais le parler pour lui faire dire ou est sa plus grosse gêne.
> Donc pour moi c est d abord le haut sinon rien .

Intéressant , comme toujours, penses tu que c'est le bridge du haut qui fait office de P canine ou alors le bruxisme qui a "usé" une canine alors que le bridge CIV a tenu...

Maintenant en haut tu proposerai quoi ? Quand même pas tout mettre sous CCM pour ré-augmenter la DVO ??


Vw campersurfvan bmnk1q - Eugenol
enlaye

20/03/2015 à 14h30

olivier écrivait:
-----------------

"> Intéressant , comme toujours, penses tu que c'est le bridge du haut qui fait office de P canine ou alors le bruxisme qui a "usé" une canine alors que le bridge CIV a tenu..."



les 2 mon capitaine :-)))
on dirait qu'il avait une occlusion croisée pm style pm en rotation par ddd et que le dentiste lui a viré les pm pour faire un bridge protection groupe . tres a la mode dans les années 80 .bon on ne sait pas tres bien de quoi ça protegeait en fait ..
en tout cas le gonz n'avait plus sa liberté ,ni en avant ,ni sur les cotés .ça rend fou du matin au soir, et du coup il allait plus en avant pour prendre de l'espace libre .au moins il pouvait bouger en hyper propulsion bout a bout .et il a donc tout usé sauf l'inox qui s'est ecroui .ce type de gonz stimule tellement l 'os qu'ils n'ont trop pas de granulomes ou de pb paro ,l'os etant en perpetuel remaniement. ( bon signe pour les implants d'ailleur).par contre quand tu demontes un vieux bridge , dessous ç est souvent fragile comme du verre et ç est tout sec .mefi si on cherche a reprendre des ttt endo : a eviter le plus souvent.
voilà comme je vois l'histoire . je me trompe ?


>" Maintenant en haut tu proposerai quoi ? Quand même pas tout mettre sous CCM pour ré-augmenter la DVO ??"

non surtout pas ,faut pas mettre le bras dans la moulinette !!.je chercherais a le traiter comme une prothese totale,occlusion balancée + une tres tres legere desoclusion vers les canines . bien sur la goutiere ne sert a rien dans ces cas là sauf a lui donner a manger du plastaga .en bas je prefere un brige aux implants ....ça peux tenir au moins 4 ,5 ans tranquille voir plus .si d'aventure il faut des implants en bas il en faut 2 avec multi-units et prothese vissée histoire de pouvoir la reparer tous les 4 matins :-))et garder le provisoire implantaire fixe dans un coffre .

bien entendu tout cela n engage que moi .