Cookie Consent byPrivacyPolicies.comCollage et digue - Eugenol
masterbibop

19/03/2015 à 19h38

Bonjour,

3 Questions "bêtes" si vous avez un peu de temps à m'accorder :

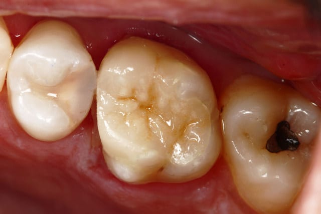
- quand on colle, on le fait sous digue. Une céramique type emax, en supra de 1 mm, c'est pas jolie, je trouve qu'on voit l'écart de teinte... Donc je mets en juxta... Mais comment placer la digue sur les limites pour que ca accroche, que ca ne saigne pas et que la digue ne vienne pas à remonter sur les limites, notamment en proximal !???

-Pour coller la couronne, vous percez la digue sur la dent concerné ET pour les dents adjacentes? ca gêne pour l'insertion de la couronne si on ne digue que le moignon ?

- quand vous souhaitez faire un onlay collé mais que la limite est infra... comment "relevez" vous la limite ?. Parce que franchement, les cas d'école ou toutes les limites sont supra, c'est pas courant !

Merci pour vos réponses


Images jm2g2g - Eugenol
dr_0le

19/03/2015 à 21h37

masterbibop écrivait:
---------------------
> Bonjour,
>
> 3 Questions "bêtes" si vous avez un peu de temps à m'accorder :
>
> - quand on colle, on le fait sous digue. Une céramique type emax, en supra de 1
> mm, c'est pas jolie, je trouve qu'on voit l'écart de teinte... Donc je mets en
> juxta... Mais comment placer la digue sur les limites pour que ca accroche, que
> ca ne saigne pas et que la digue ne vienne pas à remonter sur les limites,
> notamment en proximal !???

tu digues les dents adjacentes et tu fais un lasso au fil dentaire sur la dent a restaurer.

>
> -Pour coller la couronne, vous percez la digue sur la dent concerné ET pour les
> dents adjacentes? ca gêne pour l'insertion de la couronne si on ne digue que le
> moignon ?

cf première réponse. tu n'auras pas de digue en proximal. pour info je colle régulièrement des onlay proximaux en ne diguant que la dent concernée, jamais de problème.. a la rigueur pour enlever la digue je dois parfois découper au ciseau..

>
> - quand vous souhaitez faire un onlay collé mais que la limite est infra...
> comment "relevez" vous la limite ?. Parce que franchement, les cas d'école ou
> toutes les limites sont supra, c'est pas courant !
>
> Merci pour vos réponses

dans les cas de cavité sous gingivale, je remonte au cvi, je retaille le cvi en restant supra et roule ma poule.


--
You can't always get what you want..


masterbibop

19/03/2015 à 22h39


>
> tu digues les dents adjacentes et tu fais un lasso au fil dentaire sur la dent a
> restaurer.

Merci pour ta réponse... Comment peux tu faire un lasso sur une prep juxta ? je ne comprends pas la technique ... tu as des photos ?


003 penrd2 - Eugenol
Cingulum

19/03/2015 à 23h18

masterbibop écrivait:
---------------------
> Bonjour,
>
> 3 Questions "bêtes" si vous avez un peu de temps à m'accorder :

ça existe pas les questions intelligentes ;)

>
> - quand on colle, on le fait sous digue. Une céramique type emax, en supra de 1
> mm, c'est pas jolie, je trouve qu'on voit l'écart de teinte... Donc je mets en
> juxta... Mais comment placer la digue sur les limites pour que ca accroche, que
> ca ne saigne pas et que la digue ne vienne pas à remonter sur les limites,
> notamment en proximal !???

Pourquoi on colle ?
-Soit on fait une restauration partielle qui tire sa "rétention" du collage, et il faut isoler avec la digue pour avoir le meilleur collage possible

-Soit on fait une couronne, la rétention est assurée par le moignon,et la taille périphérique. Le collage peut alors se résumer à l'utilisation d'une colle automordançante, comme le rely X afin d'améliorer les valeurs mécanique de la céramique si celle si est mordançable (Emax). Dans ce cas, la digue est moi cruciale, car protocole plus simple. Sur une Zircone t’embête pas, cvimar....


>

>
> - quand vous souhaitez faire un onlay collé mais que la limite est infra...
> comment "relevez" vous la limite ?. Parce que franchement, les cas d'école ou
> toutes les limites sont supra, c'est pas courant !

Pour remonter la marge, je pense que le composite dual est le matériau de choix. Le CVi tend à se dissoudre dans le temps en cas de sandwich ouvert.

Je te met les photos temps par temps d'un cas avec remonté de la marge supra gingivale sur une molaire... Adéhsif dual et compo dual (type matériau pour reconstruction corono radiculaire)

>
> Merci pour vos réponses

de rien ;)



--
Dr Cingulum
-----Ancien interné----
----Attaché à l'apex----
http://www.clinic-all.fr/ formation par passion

 mg 6967 qh9uss - Eugenol
 mg 6968 qhr1nd - Eugenol
 mg 7148 nlooyp - Eugenol
 mg 7149 j4d46g - Eugenol
 mg 7195 ggq0ff - Eugenol
 mg 7199 w8usdc - Eugenol
 mg 7202 f9v0ov - Eugenol
 mg 7204 jyiyda - Eugenol

ny162

19/03/2015 à 23h34

Cingulum :

Superbe, il n'y a pas d'autre mot...

Le compo dual c'est un peu flow, comment tu fais pour ne pas faire de bulle entre le composite et la dent? J'ai beau essayer de le répartir à la sonde, il m'est arrivé plusieurs fois de trouver une belle bulle une fois le compo fini et tout le système de matrice retiré (et ça fait pas plaisir quand faut tout fraiser ce qu'on vient de passer 1h à faire pour tout recommencer...)


Image bm39we - Eugenol
daggets

19/03/2015 à 23h37

Cingulum écrivait:
------------------

> Le CVi tend à se dissoudre dans le temps en cas de sandwich ouvert.

A cause l'acidité ? Pas avant un tres long moment en moyenne je suppose? Autant le LC II n'est pas à mettre en contact direct avec l'antagoniste car s'use vite, autant le coup de la dissolution...

A choisir entre de l'emax sous gingival dont le collage n'est pas optimal à 100% lors du protocole , et un sandwich ouvert en fuji qui se dissout sous l'emax... Mon coeur balance haha


damienB

19/03/2015 à 23h38

masterbibop écrivait:
---------------------
>
>
> - quand vous souhaitez faire un onlay collé mais que la limite est infra...
> comment "relevez" vous la limite ?. Parce que franchement, les cas d'école ou
> toutes les limites sont supra, c'est pas courant !

je ne fais pas de collage sous gingival. je fais une élongation coronaire d'abord pour transformer ma limite infra en supra !
en plus sur du long terme, le parodonte te dira merci :-)



HDent

20/03/2015 à 09h50

bonjour

cingulum tu utilises quelle camera buccale pour de telles photos ?


003 penrd2 - Eugenol
Cingulum

20/03/2015 à 10h32

appareil photo .... 100mm macro sur un reflex


--
Dr Cingulum
-----Ancien interné----
----Attaché à l'apex----
http://www.clinic-all.fr/ formation par passion


masterbibop

20/03/2015 à 10h44

Merci ! Superbes photos ! (pour info, je prends les miennes avec mon iphone 6 puis avec le téléphone, j’agrandis l'image, le résultat est impressionnant même si le plus difficile c'est de trouver de la lumière...)je vous mettrai une photo


----Pour remonter la marge, je pense que le composite dual est le matériau de choix.
> Le CVi tend à se dissoudre dans le temps en cas de sandwich ouvert.

Ok, mais si la limite est infra, on ne peut pas isoler la limite pour mettre le compo dual ? Donc la qualité du collage et le risque de reprise de carie est important ? (Quelle colle utilise tu pour ce cas ?)

Pourquoi un compo dual spécialement ? LA limite est quand même accessible à la lumière ?


003 penrd2 - Eugenol
Cingulum

20/03/2015 à 11h49

masterbibop écrivait:
---------------------

> Ok, mais si la limite est infra, on ne peut pas isoler la limite pour mettre le
> compo dual ? Donc la qualité du collage et le risque de reprise de carie est
> important ? (Quelle colle utilise tu pour ce cas ?)
>
> Pourquoi un compo dual spécialement ? LA limite est quand même accessible à la
> lumière ?
>

Avec digue, ligature, teflon, matrice, coin etc... on arrive a se mettre au sec. (mais tout ceci empecherait le collage d'un onlay par contre). Donc on peut coller la marge
compo dual car moins de rétraction de polymérisation. Et je fais un apport de lumière progressif. Le but c'est d'avoir le plus d'étanchéité possible.

un scellement ou collage d'une couronne ne serait pas plus (voir moins étanche) seul l'élongation permet de resituer la limite au sec ... mais cela n'est pas toujours possible (pluriradiculé)

--
Dr Cingulum
-----Ancien interné----
----Attaché à l'apex----
http://www.clinic-all.fr/ formation par passion


G-P

20/03/2015 à 13h05

Je fais exactement la même chose que cingulum pour les remontées de marche, c'est chiant à faire mais ça fonctionne très bien.
En plus de permettre le collage de l'onlay, cela facilite l'empreinte et l'élimination des excès de colle en proximal.

Et le parodonte se porte très bien, mieux en tout cas qu'avec une élongation où on défonce tout :)


Marque a3 orange fyvhyq - Eugenol
Marc Apap

20/03/2015 à 13h16

Je suis perplexe sur les choix de composite pour remonter cette fameuse marche : les compos dual sont des fluide avec 4 à 6 % de rétraction de prise contre 1,6 à 3 % pour les compos photopolymérisables de viscosité normale.
Avec le dual, la rétraction de prise s'effectue dans une direction plus favorable, ou plus lentement, à condition de ne pas appliquer la lumière immédiatement, puisque le degré de conversion est toujours meilleur après exposition à la lampe.
Par ailleurs, j'ai une confiance très limitée dans un composite fluide (dual ou photo) qui par nature est plus sujet à l'hydrolyse en raison de sa forte proportion de résine qu'un composite de haute viscosité.


003 penrd2 - Eugenol
Cingulum

20/03/2015 à 13h28

Marc Apap écrivait:
-------------------
> Je suis perplexe sur les choix de composite pour remonter cette fameuse marche :
> les compos dual sont des fluide avec 4 à 6 % de rétraction de prise contre 1,6 à
> 3 % pour les compos photopolymérisables de viscosité normale.
> Avec le dual, la rétraction de prise s'effectue dans une direction plus
> favorable, ou plus lentement, à condition de ne pas appliquer la lumière
> immédiatement, puisque le degré de conversion est toujours meilleur après
> exposition à la lampe.
> Par ailleurs, j'ai une confiance très limitée dans un composite fluide (dual ou
> photo) qui par nature est plus sujet à l'hydrolyse en raison de sa forte
> proportion de résine qu'un composite de haute viscosité.

J'aime pas les fluides. Les composites dual que j'utilise sont ceux dont l'indication est la reconstruction de moignon.
Consistance trés épaisse avec un pistolet spécial pour la pression (polycore HD, Grandio Core Dual)

mais on peut tout aussi utiliser un compo classique

--
Dr Cingulum
-----Ancien interné----
----Attaché à l'apex----
http://www.clinic-all.fr/ formation par passion


HDent

20/03/2015 à 13h39

il fallait se douter que c'était un reflex pour les photos


Marque a3 orange fyvhyq - Eugenol
Marc Apap

20/03/2015 à 14h16

Cingulum écrivait:

> J'aime pas les fluides. Les composites dual que j'utilise sont ceux dont
> l'indication est la reconstruction de moignon.
> Consistance trés épaisse avec un pistolet spécial pour la pression (polycore HD,
> Grandio Core Dual)
>
> mais on peut tout aussi utiliser un compo classique
>
Je viens d'acquérir le réchauffeur de compules de chez Vista, ainsi que des accessoires qui affinent l'embout de ces capsules. On peut ainsi déposer du composite normal qui devient presque aussi fluide que les compo fluides; Moi non plus, je n'aime pas les compo fluides, je ne leur fais pas confiance. J'ai pensé que ce dispositif pourrait me permettre d'utiliser du composite de haute densité fluidifié. Après seulement deux jours d'utilisation, je ne peux pas dire que j'aie encore tout exploré, mais je pense que cette méthode peut être intéressante.


Images jm2g2g - Eugenol
dr_0le

20/03/2015 à 16h14

avez vous une références de compo dual pour remontée?
je me sers de cvi parce que c'est pratique, et que cela ne craint pas trop les fluides sulculaires..

Le problème de ces remontée de niveau de cavité vient du fait qu on ne peut isoler parfaitement..

--
You can't always get what you want..


Grueavatar nptrc9 - Eugenol
Le Choixpeau magique

20/03/2015 à 16h15

Marc Apap écrivait:
-------------------
> les compos dual sont des fluide avec 4 à 6 % de rétraction de prise contre 1,6 à
> 3 % pour les compos photopolymérisables de viscosité normale.

Le pourcentage on s'en fiche, c'est le stress qui est important, c'est lui qui tire sur les interfaces.
Et en général, plus les compos sont chargés, plus basses sont les valeurs de rétraction en volume et plus important est le stress de polymérisation !


Grueavatar nptrc9 - Eugenol
Le Choixpeau magique

20/03/2015 à 16h33

Marc Apap écrivait:
-------------------
> Je viens d'acquérir le réchauffeur de compules de chez Vista, ainsi que des
> accessoires qui affinent l'embout de ces capsules. On peut ainsi déposer du
> composite normal qui devient presque aussi fluide que les compo fluides; Moi non
> plus, je n'aime pas les compo fluides, je ne leur fais pas confiance. J'ai pensé
> que ce dispositif pourrait me permettre d'utiliser du composite de haute densité
> fluidifié. Après seulement deux jours d'utilisation, je ne peux pas dire que
> j'aie encore tout exploré, mais je pense que cette méthode peut être
> intéressante.

Juste une remarque sur un détail que tu connais peut être, le chauffage du composite augmente certes le pourcentage de conversion mais également le stress de polymérisation !


6szjws718sv1jksw54v4mpj3a6cu - Eugenol
vulpi

21/03/2015 à 10h49

Juste pour la culture générale, à la fin des année 80 Didier Dietschi faisait ses remontés à l'amalgame. C'est fou ce qu'on a essayé dans les bouches des patients.


Marque a3 orange fyvhyq - Eugenol
Marc Apap

21/03/2015 à 12h58

Concernant le stress des composites réchauffés, je vais revoir la biblio que j'ai faite, je n'ai pas tout noté dans ma tête.
Le stress peut également être diminué par une polymérisation plus lente; On peut dire qu'en se mettant un peu plus loin de la dent (ce qui est ipso facto possible vu la profondeur de la marche) ça le fait.
Tout cela reste quand même bien empirique.
De mon temps, on insistait pour que la limite de la prothèse se situe sur de la dent et pas un matériau d'obturation car on n'avait pas confiance dans la liaison entre ce matériau et la dentine; C'est logique, mais si on veut coller un onlay dans de bonne conditions, la remontée de marche préalable simplifie la suite des étapes.
Je pense que toutes choses égales par ailleurs, c'est la qualité du travail du praticien( ajustage, pas de surplombs) et d'hygiène du patient qui font l'essentiel des bons résultats. Ceci étant, le CVI pour remonter une marche, cela me semble la plus mauvaise idée qui soit en raison du côté fragile et labile de ce ciment.


Olieve

21/03/2015 à 13h11

Le Choixpeau magique écrivait:
------------------------------
> Le pourcentage on s'en fiche, c'est le stress qui est important, c'est lui qui
> tire sur les interfaces.
> Et en général, plus les compos sont chargés, plus basses sont les valeurs de
> rétraction en volume et plus important est le stress de polymérisation !

C'est pas plutôt le contraire ? Je pensais que stress et retraction étaient directement liés ?


Olieve

21/03/2015 à 13h14

Marc Apap écrivait:
-------------------
Ceci étant, le CVI pour remonter une marche,
> cela me semble la plus mauvaise idée qui soit en raison du côté fragile et
> labile de ce ciment.

Je suis entièrement d'accord : ça ne resiste même pas à quelques quelques détartrages aux US.


masterbibop

21/03/2015 à 16h46

Donc pour resumer:

- Vous remontez la limite sous digue avec un compo chargé (surtout pas un flow) (dual ou pas ?) ?

- Puis Vous collez votre pièce prothétique... il y aura donc deux joints de collage ?:
- 1 composite dent
-1 prothèse composite

On ne multiplie pas le risque de récidive carieuse ?

On peut faire pareil une une RMIPP sur tenon fibré ? créer artificiellement la limite de la couronne sur le composite ayant servi à monter le moignon ? ça me parait risqué...


G-P

21/03/2015 à 17h48

masterbibop écrivait:
---------------------

> On ne multiplie pas le risque de récidive carieuse ?
>
> On peut faire pareil une une RMIPP sur tenon fibré ? créer artificiellement la
> limite de la couronne sur le composite ayant servi à monter le moignon ? ça me
> parait risqué...

Je l'ai fait récemment sur un patient âgé avec des lésions carieuses sous gingivales sur les incisives supérieures. Endo / tenon fibré / remontée de marche sur la moitié de la périphérie de la dent.
4 couronnes e.max, ça a l'air de tenir j'ai .. 3 semaines de recul.

C'était ça ou des implants. Patient prévenu, on verra bien. Vu son âge et son état de santé, pas besoin que ça tienne 10 ans.


12