Cookie Consent byPrivacyPolicies.comfil rétracteur - Eugenol

fil rétracteur

Capture d  cran 2015 03 12 12.28 - Eugenol
chicot29

23/03/2015 à 20h18

Qu'utilisez vous comme fil rétracteur en fixée ? quelle technique ? Quel liquide d'imprégnation ?

J'ai utilisé ca ( avec un seul tour) sauf en mésial (bistouri because gencive dans la cavité) , mais ca rétracte pas des masses.

Capture d e cran 2015 03 23 19.08 - Eugenol
Capture d e cran 2015 03 23 19.14 - Eugenol

Dents t2cri9 - Eugenol
FGR

23/03/2015 à 21h54

Quand fil des ce cas sans anesthésie
Ultrapack aussi, imprégné de chlorure d'aluminium "STY" de chez Zizine
simple fil en général 00, ou double fil (000non imprégné +00) ou (000 non imprégné+0)


Logo vuaztn - Eugenol
mac

23/03/2015 à 23h03

Double fil 00 et 2 non impregnés, je frotte juste la gencive avec du viscostat clear avant de mettre le deuxieme fil.




http://focusimplant-unitaire-posterieur.com/

Img 4301 erf57v - Eugenol
Img 4312 ysce15 - Eugenol
Img 4444 ejhoqa - Eugenol

Vw campersurfvan bmnk1q - Eugenol
enlaye

23/03/2015 à 23h49

chicot29 écrivait:
------------------

> J'ai utilisé ca ( avec un seul tour) sauf en mésial (bistouri because gencive dans la cavité) , mais ca rétracte pas des masses.



Chicot , en fait le but de l ultra pak n est pas de rétracter mais d écarter .c est l'effet ressort du tissage . C est pour ca qu il est conseillé d en utiliser 2 . Un qui ouvre et un qui reste au fond du sulcus .
Mais bien sur qui dit sulcus ,dit tissus sain . ( sans effraction et sans saignements ) .
Il existe bien sur plusieurs tailles d ultrapak .


Simple dlizse - Eugenol
hermestine67

24/03/2015 à 09h09


Ultrapack et astringedent
--
N'oublions pas les shadoks!!


Vw campersurfvan bmnk1q - Eugenol
enlaye

24/03/2015 à 09h22

Hermestine , tu remarqueras que l ultrapak ne pompe pas trop :-)) il serait presque hydrophobe comme un canard .


Joker

24/03/2015 à 09h56


Personne n'utilise l'expasyl? Qu'en pensez-vous
-- ?

je crois au soleil même quand il ne brille pas


Capture d  cran 2015 03 12 12.28 - Eugenol
chicot29

24/03/2015 à 10h00

enlaye écrivait:
----------------
> Hermestine , tu remarqueras que l ultrapak ne pompe pas trop :-)) il serait
> presque hydrophobe comme un canard .

J'ai remarqué aussi ! -))))


Vw campersurfvan bmnk1q - Eugenol
enlaye

24/03/2015 à 12h21

Joker écrivait:
---------------

>" Personne n'utilise l'expasyl? Qu'en pensez-vous ? "

si bien sur qu'il connait l expasyl le chicot , mais lui il veut causer filasse .
D ailleur il m inquiete le chicot , il fait dans le delicat ?
Qu' es t as Chicot , tu te mets à la broderie bretonne ou quoi ?
ce metier nous mene a tout !:-)))


Capture d  cran 2015 03 12 12.28 - Eugenol
chicot29

24/03/2015 à 12h26

Disons que quand tu nitrates la gencive au bistouri électrique su Une ou 2 dents ca va. mais sur 6 c'est disons sport pour poser. -))))


Capture d  cran 2015 03 12 12.28 - Eugenol
chicot29

25/03/2015 à 23h51

enlaye écrivait:
----------------


> Mais bien sur qui dit sulcus ,dit tissus sain . ( sans effraction et sans
> saignements ) .

Donc tt paro, motivation hygiène etc, etc.......
Tu m'excuseras j'ai pas le temps d'attendre. -))))

Capture d e cran 2015 03 25 22.48 - Eugenol

Vw campersurfvan bmnk1q - Eugenol
enlaye

26/03/2015 à 00h18

Je m en doute bien chicot c est pour ca que je ne comprenais pas que tu t intéresses au fil .:-)))
Le fil marche bien surtout quand tu n'en as pas besoin .


Simple dlizse - Eugenol
hermestine67

26/03/2015 à 08h59

enlaye écrivait:
----------------
> Hermestine , tu remarqueras que l ultrapak ne pompe pas trop :-)) il serait
> presque hydrophobe comme un canard .

EXACT c'est pour cela que je laisse les brins de ultrapack dans le flacon et la ça marche, ça mouille parfaitement!
--
N'oublions pas les shadoks!!


Vw campersurfvan bmnk1q - Eugenol
enlaye

26/03/2015 à 14h05

donc tu vois Chicot , grace a Hermestine , on saura que meme lorsque ça ne pompe pas , ça mouille quand meme .ç est deja ça ! :-)))))
ok je sors


Vw campersurfvan bmnk1q - Eugenol
enlaye

27/04/2015 à 21h57

bon voila chicot , je viens de prendre une empreinte à fil et j'ai pensé a toi :-))))( on voit le fil en transparence )

en fait avec le fil il ne faut pas se tromper dans l'ordre de la sequence ;
ce n'est pas :
je taille
ça pisse
je met le fil
je prends l'empreinte

mais
je mets le fil
je taille
ça ne saigne pas
donc je peux prendre l'empreinte .

A x7ogcm - Eugenol
B pr8j4c - Eugenol

Capture d  cran 2015 03 12 12.28 - Eugenol
chicot29

27/04/2015 à 22h12

Joli ! tu n'enlèves donc pas le fil ( ou du moins le 2 ième ) Parce que si tu l'enlèves .....


Vw campersurfvan bmnk1q - Eugenol
enlaye

27/04/2015 à 22h18

ah , ben ç est ca le pb , faut plus l'enlever jusqu'a fin avril :-))))


Capture d  cran 2015 03 12 12.28 - Eugenol
chicot29

27/04/2015 à 22h57

2016 ? -)))


6szjws718sv1jksw54v4mpj3a6cu - Eugenol
vulpi

28/04/2015 à 11h47

Bonjour enlaye, as tu un truc pour ne pas attraper le fil avec la fraise?

L'ultrapack je ne comprends pas, je préfère le gingibraid 0 non imprégné.


jeff13

28/04/2015 à 14h04

comment vous faites pour mettre le fil avant la preparation et passer donc le point de contact?


Vw campersurfvan bmnk1q - Eugenol
enlaye

28/04/2015 à 15h02

vulpi écrivait:
---------------
" Bonjour enlaye, as tu un truc pour ne pas attraper le fil avec la fraise?
L'ultrapack je ne comprends pas, je préfère le gingibraid 0 non imprégné."

pour ne pas attraper le fil ? ben ne pas le toucher pardi :-))
Mais ça m'arrive , et avec une fraise bague rouge et l'ultrapack au pire tu le pèles un peu . alors qu'avec le gingibraid si tu le touches il fait : "Piiiilouuuuuiiibzzz eh merde".pcq trop rigide le gingibraid , je pense .


Vw campersurfvan bmnk1q - Eugenol
enlaye

28/04/2015 à 15h04

jeff13 écrivait:
----------------
"comment vous faites pour mettre le fil avant la preparation et passer donc le point de contact?"

ha ben oui tu pretailles et tu le mets just'avant d'arriver à la limite bien sur .


Vw campersurfvan bmnk1q - Eugenol
enlaye

28/04/2015 à 19h24

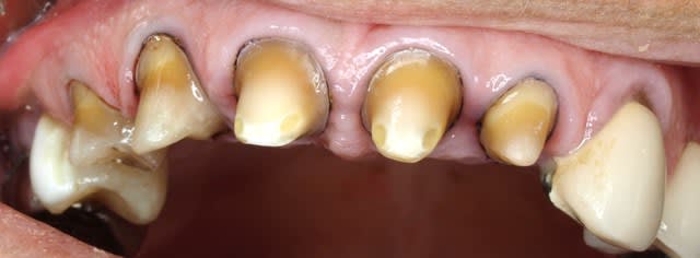
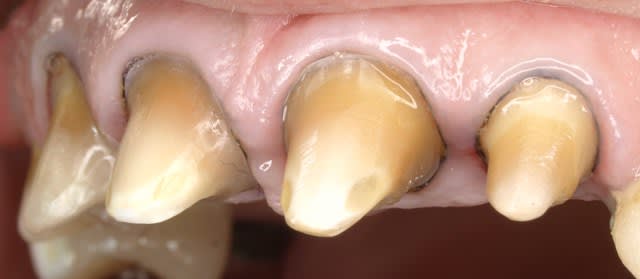
cet aprem ,
c'est surtout la gencive qu'il ne faut pas toucher ( le fil ,ç est moins grave ) , pcq si ça saigne cela ne sert plus à rien. .
par contre faut que je passe à autre chose , pcq question rentabilité suis à l'ouest .

A fytpr6 - Eugenol
B kirrjp - Eugenol

Capture d  cran 2015 03 12 12.28 - Eugenol
chicot29

28/04/2015 à 19h34

Et quand tu l'enlèves ( si tu l'enlèves le 2 ième fil) ) ca saigne ou pas ?


masterbibop

28/04/2015 à 19h45

enlaye écrivait:
----------------
> cet aprem ,
> c'est surtout la gencive qu'il ne faut pas toucher ( le fil ,ç est moins grave )
> , pcq si ça saigne cela ne sert plus à rien. .
> par contre faut que je passe à autre chose , pcq question rentabilité suis à
> l'ouest .
>


Juste une question par rapport à tes photos ! Comment tu arrives à caler une digue pour coller ensuite ? Comment tu arrives à l'accrocher sur des limites juxta ?


12