Cookie Consent byPrivacyPolicies.comOn extrait ou pas? - Eugenol
Blocperso talon jer3sl - Eugenol
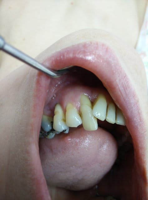
mrquentin

26/03/2015 à 12h03

salut
patiente de ce matin, vient car la 35 bouge. gencive dépressive à la palpation en regard de 35, à priori plus du tout de table vestibulaire.
la 33 est très eggressée et prend bcp lors de la cinétique mandibulaire.
Que faites vous?
-extraction 35 34 33 avec comblement (immédiat ou différé à 3 semaines pour avoir du lest dans le lambeau en raison du mentonnier?) puis 3 implants?
-extraction 35 comblement 1 implant, endo 33 et on coupe juste la dent en hauteur pour éviter qu'elle sorte comme ca et prenne tous les chocs?

La 34 ne bouge pas.
j'ai prescris un scanner pour voir si surprises il y a, mais avec les éléments en mains, que feriez vous?
Patiente 62 ans, non fumeuse ras.

Img 20150326 100801 xphvjl - Eugenol
35 abc s cl56rc - Eugenol
Img 20150326 102500 kbkitj - Eugenol

BucaR

26/03/2015 à 14h18

je dirais:
34 35 extraction comblement immédiat
33 endo greffe gingivale couronne


Photo pluton1b h9n4ea - Eugenol
pluton

26/03/2015 à 14h30

amha c'est terminal pour ces 3 dents...
extrac, puis à 3/4 semaines ROG
pour les implants amha tu auras du mal à en placer 3 (espace M/D certainement trop juste pour respecter les 3mm inter-implants et les 1.5mm avec les dents adjacentes avec des 3.7mm il te faudrait plus de 23mm)...donc 2 et un bridge...


Img 5404 pmlzfi - Eugenol
Chicot44

28/03/2015 à 09h37

conserver pour quoi faire?
Réponse: se tirer une balle dans le pied...


Blocperso talon jer3sl - Eugenol
mrquentin

28/03/2015 à 23h23

Peux tu expliciter stp?
De mon point de vue, la 34 n est pas forcément perdue, ca depend de.... Ben de quoi? J imagine que si la paroi vestibulaire et linguale est conservée, il n y a que la distale qui manque, et qui peut être reconstruite par le bioos; la question est que lors du levé de lambeau, je vais agresser un peu cet os vestibulaire.... Et puis, quid de la régénération d un ligament avec un cément au contact d un tissus de granulation pdt longtemps? Peut il y avoir un nouveau ligament? Et enfin, si on prend la 33 individuellement, une endo et une mise en occlusion correcte devrait le faire.... Je sais pas.... Est çe que les implanto ont pas tendance à vouloir extraire un peu vite ( je dis ca parce que j en pose)!? D un autre point de vue, extraction comblement implants, le résultat est très prédictible, et stable dans le temps. Quels sont vos pistes de reflexions?


Photo pluton1b h9n4ea - Eugenol
pluton

29/03/2015 à 00h28

la piste de réflexion que j'ai c'est que tu nous montres une radio avec lésions endo/paro très avancées sur 3 dents comme je te l'ai dit amha en phase terminale pour ces 3 dents
et comme tu l'as dit la prédictibilité d'une ROG puis 2 implants et un bridge dans ce cas est importants alors que la solution conservatrice est très très aléatoire...

je ne sais pas pour toi mais je n'ai plus le temps de gaspiller mon temps et mon énergie à sauver des situations désespérées, donc ma préférence va obligatoirement vers ce qui est le plus prédictible...

donc pour moi c'est extrac, ROG puis 2 implants et un bridge...


Blocperso talon jer3sl - Eugenol
mrquentin

29/03/2015 à 00h33

Oui oui tout à fait pluton, en fait l extraction comblement implanto est çe que j ai proposé à la patiente, mais j aurais voulu savoir si les pro conservation avaient des arguments auxquels je n avait pas pensé... Est çe que tu tenterais de faire une implantation immédiate lors de la phase de comblement a 3 semaines?


Blocperso talon jer3sl - Eugenol
mrquentin

29/03/2015 à 00h33

Oui oui tout à fait pluton, en fait l extraction comblement implanto est çe que j ai proposé à la patiente, mais j aurais voulu savoir si les pro conservation avaient des arguments auxquels je n avait pas pensé... Est çe que tu tenterais de faire une implantation immédiate lors de la phase de comblement a 3 semaines?


Photo pluton1b h9n4ea - Eugenol
pluton

29/03/2015 à 00h48

j'aime pas la gueule des lésions, donc extrac, rog toute seule et enfin implants
de plus la gestion de la hauteur dans ce cas est délicate et tu vas avoir un défaut osseux à plusieurs parois...
je pense donc que l'implantation simultanée est une prise de risque importante


Blocperso talon jer3sl - Eugenol
mrquentin

29/03/2015 à 00h52

Ok merci

D autant plus qu il y a forcement une pap immédiate le jour de la pose, donc les implants en plus...


rico13

29/03/2015 à 11h10

t'as pas une atteinte de furcation sur la 36?
vu les lésions paro sur les dents adjacentes..
auquel cas tu auras d'autres extractions à prévoir


Blocperso talon jer3sl - Eugenol
mrquentin

29/03/2015 à 13h18

Nan la 36 est ok


Etoile

29/03/2015 à 16h05

Bonjour,
Je découvre le forum et tombe par hasard sur le sujet.
Perso, avant d extraire, je préfère les tentatives de conservation en étant bien consciente de l aléa thérapeutique.
Il me semble qu il reste encore de l os alvéolaire.
J ai un doute avec les radio au niveau des racines : fractures ?
Si ce n est pas le cas : endo laser assisté en cas de non réponse aux test pulpaires et assainissement paro laser assisté. On a des petits miracles qui retardent voire supriment l indication de perte de dents avec de belles cicatrisations osseuses. Pour cela il faut être bien rigoureux dans le protocole d assainissement avec un patient bien coopératifs avec son hygiène.
En parallèle, je vérifierais bien l occlusion, souvent responsable de lésions paro ponctuelles.
Et voilà !


Img 5404 pmlzfi - Eugenol
Chicot44

29/03/2015 à 19h52

Etoile écrivait:
----------------
> Bonjour,
> Je découvre le forum et tombe par hasard sur le sujet.
> Perso, avant d extraire, je préfère les tentatives de conservation en étant bien
> consciente de l aléa thérapeutique.
> Il me semble qu il reste encore de l os alvéolaire.
> J ai un doute avec les radio au niveau des racines : fractures ?


Je répète: conserver mais pour quoi faire?
C'est évident que dans ce cas, comme dans tous les cas d'ailleurs, il faut faire une analyse globale de la situation.
Mais quand je décide de prendre un "risque" sur un groupe de dent c'est parce que il y a un avantage, si c'est pour tout compliquer , compromettre le résultat esthétique, fonctionnel, alors là pas d'accord et si en plus tu te retrouve , 6 mois ou 1 an plus tard à gérer un problème alors là t'as tout perdu. Y compris tes illusions... Du coup , la dentisterie héroïque et conservatrice à l'extrême, non merci. Plus d'acharnement thérapeutique à 2 Francs 6 sous la séance.


Etoile

29/03/2015 à 22h33

Bonsoir,
C est clair que côté finance, c'est plus rentable de tout enlever, faire des comblements et ensuite mettre des implants.
En attendant, quand on voit l alvéolyse angulaire et le terrain parodontal, un avenir serein sans péri implantite à gérer, me semble illusoire...
Quant à l esthétique et au confort, conserver ses propres dents, c est toujours préférable et rarement un patient refuse.
Dans ce cas, un petit tratement d urgence au laser aurait déjà bien soulage le patient et évite des prescriptions médicamenteuses en préparant le terrain. Compte tenue du terrain paro terminal, je suis intimement persuadée que l on peut avoir de beaux résultats.
Les patients sont toujours reconnaissants quand on se bat avec eux pour tenter de conserver. Les années gagnées sont toujours bonnes à prendre et les protocoles évoluent. Quand on a tout enlevé, on peut rarement faire marche arrière.
Et ça, c est ce que j aimerais que l on me propose si j étais le patient.
A chacun sa philosophie...


Photo pluton1b h9n4ea - Eugenol
pluton

29/03/2015 à 23h38

étoile, tu factures quoi ta séance de zigouigoui star wars?

si c'est rien, aucun intérêt d'acheter des milliers d'€ un bazar pareil...
si c'est quand même quelque chose, je veux bien voir tes résultats, parce que moi, de ce que j'ai vu des traitements paro au laser => à part faire high-tech le résultat n'est pas meilleur que sans...à part les biffetons dans ton portefeuille...

le seul laser qui marche vraiment sur les tissus mous, c'est le laser CO2, le reste non, et çà va d'un magnifique effet placebo à tout cramer... (si, si, je sais de quoi je parle...j'ai fait une thèse sur le laser....) et c'est pas la revue de la littérature qui va me contredire...

bref, en gros tu ne risques dans ce cas...que de reculer pour mieux sauter...et comme je l'ai dis, je n'ai plus le temps de faire des prières et brûler des cierges...


Blocperso talon jer3sl - Eugenol
mrquentin

29/03/2015 à 23h40

Salut étoile, merci de donner ton avis, mais j ai pas bien compris:toi tu tenterais même de conserver la 35???


Blocperso talon jer3sl - Eugenol
mrquentin

29/03/2015 à 23h40

Salut étoile, merci de donner ton avis, mais j ai pas bien compris:toi tu tenterais même de conserver la 35???


Blocperso talon jer3sl - Eugenol
mrquentin

29/03/2015 à 23h40

Salut étoile, merci de donner ton avis, mais j ai pas bien compris:toi tu tenterais même de conserver la 35???


Blocperso talon jer3sl - Eugenol
mrquentin

29/03/2015 à 23h40

Salut étoile, merci de donner ton avis, mais j ai pas bien compris:toi tu tenterais même de conserver la 35???


Blocperso talon jer3sl - Eugenol
mrquentin

29/03/2015 à 23h40

Salut étoile, merci de donner ton avis, mais j ai pas bien compris:toi tu tenterais même de conserver la 35???


Blocperso talon jer3sl - Eugenol
mrquentin

29/03/2015 à 23h40

Salut étoile, merci de donner ton avis, mais j ai pas bien compris:toi tu tenterais même de conserver la 35???


Blocperso talon jer3sl - Eugenol
mrquentin

29/03/2015 à 23h49

Oula, parkinson me guette !


Etoile

31/03/2015 à 14h05

Bonjour,
Visiblement ma réponse d'hier s'est volatilisée !!!

D'abord, en ce qui concerne les lasers, un CO2 n'a aucune indication dans un cas pareil.
L'idéal ici serait d'avoir un diode pour la paro et un NdYap pour l'endo avec des réglages adaptés aux indications.
Les lasers ne sont que des outils pour tenter d'améliorer les résultats de nos traitements classiques et sont en rien "magiques".
Pour cela, il faut un minimum de formation. Pour commencer, il y a un livre que je conseillerai à tous les intéressés par le sujet : celui de Gérard Rey & col.aux éditions cdp.

Pour en revenir au cas clinique, bien évidemment, une étude globale est nécessaire pour valider la décision, avec une pano.
Il me semble que la patiente a une bonne hygiène, qu'elle est non fumeuse et que le problème est ponctuel.
Elle présente des malpositions.
L'origine de la lésion paro à l'air plutôt occlusale.
Elle a un gros amalgame. Entre le trauma occlusal certain et le gros amalgame, la dent est certainement mortifiée : pb endo-paro.
Plan de traitement perso si validation des éléments ci-dessus :
1/ traitement endo de 35 & paro non chirurgical dans la même séance
2/ inlay-core + provisoire faite par le laboratoire en évitant toute prématurité fonctionnelle
3/ si tout va bien, 9 à 12 mois après, envisager une couronne d'usage.

Bonne journée


Blocperso talon jer3sl - Eugenol
mrquentin

01/04/2015 à 12h23

pluton, lors de l'extraction de 35 notamment, est ce ue tu cureterais le tissus de granulation ou pas? j'aurais tendance à dire que si ca saigne pas abondement, je laisserais pour éviter un effondrement muqueux, qui me donnerais un manque de tissus kératinisé lors de la réouverture pour la greffe... qu'en penses tu?


12