Cookie Consent byPrivacyPolicies.comOn extrait ou pas? - Eugenol
Photo pluton1b h9n4ea - Eugenol
pluton

01/04/2015 à 13h00

Etoile écrivait:
----------------
> Bonjour,
> Visiblement ma réponse d'hier s'est volatilisée !!!
>
> D'abord, en ce qui concerne les lasers, un CO2 n'a aucune indication dans un cas
> pareil.

c'est sûr!!! un laser CO2 ne fait que couper/cautériser

> Les lasers ne sont que des outils pour tenter d'améliorer les résultats de nos
> traitements classiques et sont en rien "magiques".

oui, mais leur efficacité sur les tissus mous (hormis le CO2...) reste à démontrer et pour l'instant, rien n'étaye leur efficacité dans les études (du moins celles qui sont sérieuses et pas celles sponsorisées...)

> Pour cela, il faut un minimum de formation. Pour commencer, il y a un livre que
> je conseillerai à tous les intéressés par le sujet : celui de Gérard Rey &
> col.aux éditions cdp.

çà tombe bien j'ai fait ma thèse avec lui...et son pote Pascal Bufflier...

>
> Pour en revenir au cas clinique, bien évidemment, une étude globale est
> nécessaire pour valider la décision, avec une pano.
> Il me semble que la patiente a une bonne hygiène, qu'elle est non fumeuse et que
> le problème est ponctuel.
> Elle présente des malpositions.
> L'origine de la lésion paro à l'air plutôt occlusale.
> Elle a un gros amalgame. Entre le trauma occlusal certain et le gros amalgame,
> la dent est certainement mortifiée : pb endo-paro.
> Plan de traitement perso si validation des éléments ci-dessus :
> 1/ traitement endo de 35 & paro non chirurgical dans la même séance
> 2/ inlay-core + provisoire faite par le laboratoire en évitant toute prématurité
> fonctionnelle
> 3/ si tout va bien, 9 à 12 mois après, envisager une couronne d'usage.

mouais....et 9 à 12 mois plus tard, il n'y aura amha certainement plus d'os du tout...


Photo pluton1b h9n4ea - Eugenol
pluton

01/04/2015 à 13h03

mrquentin écrivait:
-------------------
> pluton, lors de l'extraction de 35 notamment, est ce ue tu cureterais le tissus
> de granulation ou pas? j'aurais tendance à dire que si ca saigne pas abondement,
> je laisserais pour éviter un effondrement muqueux, qui me donnerais un manque de
> tissus kératinisé lors de la réouverture pour la greffe... qu'en penses tu?

si tu laisses du tissus de granulation, tu n'auras pas d'os...

donc curetage soigneux, éponges hémostatiques (gelatemp Roeko) sutures...;-)


Etoile

01/04/2015 à 22h14

Vu la lésion, s'il n'y a pas de réglage occlusal, la situation sera certainement identique plus tard avec des implants.

Pluton,
Je ne sais de quand date ta thèse mais, aussi dubitatif que tu sois sur l'intérêt des lasers, en dermato, les diodes ne sont plus à prouver.
Perso, je n'ai qu'un diode. En paro et en endo, j'ai vraiment des résultats beaucoup plus rapidement qu'avec les traitement classiques seuls et quasi aucun besoin de traitement post-op.
Je pourrais te montrer des résultats fantastiques sur des dents pour lesquelles la fin était programmées : mobilités, suppurations, etc... Pas jojo le tableau.
Aujourd'hui, la patiente a encore ses dents et radiologiquement, on a des reconstructions osseuses inimaginables. La patiente, consciente de la situation extrême, est ravie : quasi plus de mobilité et surtout confort. Je ne peux mettre ces rx sur le forum actuellement.

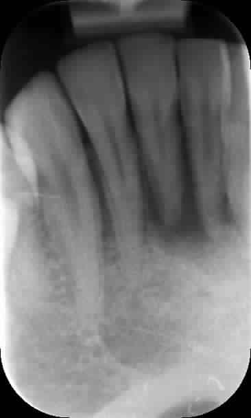
Quand même, un petit cas sympa endo-paro avec mobilités et fistule. Aujourd'hui, tout va bien : plus aucune sensibilité ni mobilité.
20/03/13, 24/04/13, 04/06/14

Le plus important, il me semble, c'est de proposer le meilleur pour nos patients avec ce que l'on sait bien faire.
Quand j'ai encore de l'os, je propose de tenter. Si l'évolution ne va pas dans le bon sens, on devient alors plus radical.
En final, si on l'explique bien au patient, c'est à lui de choisir en connaissance de cause. Parfois, il n'a pas envie de tenter mais si oui, tout ce qui est gagné est bon à prendre, en particulier avec les évolutions possibles de propositions thérapeutiques.

Maintenant, j'imagine que si la question de la conservation a été posée, c'est que la situation est limite.
Que le meilleur soit retenu pour le confort et bien-être de la patiente.

200313 ydrkmm - Eugenol
240413 xwvazs - Eugenol
040614 smhyt0 - Eugenol

Photo pluton1b h9n4ea - Eugenol
pluton

02/04/2015 à 01h54

Etoile écrivait:
----------------

> Pluton,
> Je ne sais de quand date ta thèse mais, aussi dubitatif que tu sois sur
> l'intérêt des lasers, en dermato, les diodes ne sont plus à prouver.
> Perso, je n'ai qu'un diode. En paro et en endo, j'ai vraiment des résultats
> beaucoup plus rapidement qu'avec les traitement classiques seuls et quasi aucun
> besoin de traitement post-op.

tu fais ta propre expérience, c'est bien...
le sujet, je l'ai vraiment étudié à fond...en 1997...c'est plus tout jeune je te l'accorde...seulement as tu au moins lu quelques publications récentes sur le sujet?
force est de constater que çà n'a pas beaucoup changé en presque 20 ans...çà marche ptêtre, ptêtre pas...bref çà bricole, et je trouve çà plutôt onéreux comme gadget qui ne prouve toujours pas sont efficacité...

Er:YAG laser versus scaling and root planing: The clinical benefits of Er:YAG laser as adjuvant to SRP was still lacking.

The effect of the thermal diode laser in non-surgical periodontal therapy: that the combined treatment provides an effect comparable to that of SRP surfacage) alone.

Nd:YAG laser as an adjunctive treatment to nonsurgical periodontal therapy: a meta-analysis.: s a result, the evidence is insufficient to support the effectiveness of adjunctive Nd:YAG to SRP.

Effectiveness of diode laser as adjunctive therapy: These findings suggested that the use of diode laser as an adjunctive therapy to conventional nonsurgical periodontal therapy did not provide additional clinical benefit.

et il y en a d'autres...qui arrivent toutes aux mêmes conclusions
attention, je parle des applications en dentaire, dans notre domaine, et çà n'a rien à voir avec la dermato ou l'ophtalmo...et oui, notre domaine est unique en son genre, aucune autre spécialité médicale n'a à travailler dans un milieu: hautement septique, avec des contraintes thermiques et mécaniques...c'est con à dire, mais çà change quand même pas mal de choses, autant de choses que les "gourous" du laser oublient un peu vite de préciser...


Etoile

04/04/2015 à 00h48

Bonsoir Pluton,

Depuis toujours, il y a des septiques. Les médecines alternatives le savent très bien.
Effectivement, il n'y a pas d'études randomisées comme tous les scientifiques aiment avoir (G.Rey en a fait tout de même quelques unes depuis ta thèse, en particulier sur les divers protocoles en paro et leurs effets sur les différents germes pathogènes que l'on rencontre dans ces pathologies).
Je reconnais que j'en arrive aux mêmes conclusions que les anglaises citées.
Mais ce dont je suis certaine, c'est qu'avec un laser adapté, avec des réglages & protocoles précis pour des effets spécifiques, je suis plus efficace que sans.


Quant à l'investissement, effectivement, il faut savoir ce que l'on veut faire.
Perso, le diode convient parfaitement à mon activité.
J'aimerais bien investir dans un NdYap pour son efficacité remarquable dans les désobturations et obturations spectaculaires en endo. Cela n'est pas raisonnable aujourd'hui chez moi. Demain ?

En attendant, je ne vais pas me priver d'un outils qui me simplifie la tâche, optimise mes résultats et fait le bonheur de mes patients (soins plus rapides et moins douloureux - diminution nette de prescriptions - cicatrisations plus rapides - etc...).

ET puis, star wars au cabinet, ça me plait
Signé un gourou qui veut du bien à ses patients ;-)


Img 5404 pmlzfi - Eugenol
Chicot44

04/04/2015 à 02h16

pluton écrivait:
----------------
> Etoile écrivait:
> ----------------

> tu fais ta propre expérience, c'est bien...
> le sujet, je l'ai vraiment étudié à fond...
> Er:YAG laser versus scaling and root planing: The clinical benefits of Er:YAG
> laser as adjuvant to SRP was still lacking.
>
> The effect of the thermal diode laser in non-surgical periodontal therapy: that
> the combined treatment provides an effect comparable to that of SRP surfacage)
> alone.
>
> Nd:YAG laser as an adjunctive treatment to nonsurgical periodontal therapy: a
> meta-analysis.: s a result, the evidence is insufficient to support the
> effectiveness of adjunctive Nd:YAG to SRP.
>
> Effectiveness of diode laser as adjunctive therapy: These findings suggested
> that the use of diode laser as an adjunctive therapy to conventional nonsurgical
> periodontal therapy did not provide additional clinical benefit.
>
> et il y en a d'autres...qui arrivent toutes aux mêmes conclusions


ça c'est la réponse que font tous les paro sauf que toutes les études qui comparent les traitements paro Surfaçage aveugle versus lambeaux, irrigation versus antibiotique locaux et/ou généraux, soins locaux avec ou sans bicarbonate, full arch versus sextant etc ....montrent les mêmes résultats/ pas de différence significative donc démerde toi pour trouver ton protocole et vogue la galère... je suis pas un fou de la conservation a tout prix mais le/ les laser sont une aide précieuse dans mon activité... y a qu'a voir les résultats immédiats sur un abcès , sur une sensibilité , la rapidité des cicatrisations sur des frenectomies , des régularisations de crête.... tes metas analyse c'est du flan et ceux qui les étudies le savent bien dans 100% des cas la conclusion c'est: pas de différences significative bla bla... biais... études sur trop peu de cas bla bla... peu reproductible bla bla...et enfin.... d'autres études sont nécessaires pour pouvoir répondre à la question... c'est ça la médecine...Alors ton scepticisme me rend sceptique et malgré tous le respect que tu mérites, je penses que tu te trompes....
in lux véritas .... ;-)


Img 5404 pmlzfi - Eugenol
Chicot44

04/04/2015 à 02h16

pluton écrivait:
----------------
> Etoile écrivait:
> ----------------

> tu fais ta propre expérience, c'est bien...
> le sujet, je l'ai vraiment étudié à fond...
> Er:YAG laser versus scaling and root planing: The clinical benefits of Er:YAG
> laser as adjuvant to SRP was still lacking.
>
> The effect of the thermal diode laser in non-surgical periodontal therapy: that
> the combined treatment provides an effect comparable to that of SRP surfacage)
> alone.
>
> Nd:YAG laser as an adjunctive treatment to nonsurgical periodontal therapy: a
> meta-analysis.: s a result, the evidence is insufficient to support the
> effectiveness of adjunctive Nd:YAG to SRP.
>
> Effectiveness of diode laser as adjunctive therapy: These findings suggested
> that the use of diode laser as an adjunctive therapy to conventional nonsurgical
> periodontal therapy did not provide additional clinical benefit.
>
> et il y en a d'autres...qui arrivent toutes aux mêmes conclusions


ça c'est la réponse que font tous les paro sauf que toutes les études qui comparent les traitements paro Surfaçage aveugle versus lambeaux, irrigation versus antibiotique locaux et/ou généraux, soins locaux avec ou sans bicarbonate, full arch versus sextant etc ....montrent les mêmes résultats/ pas de différence significative donc démerde toi pour trouver ton protocole et vogue la galère... je suis pas un fou de la conservation a tout prix mais le/ les laser sont une aide précieuse dans mon activité... y a qu'a voir les résultats immédiats sur un abcès , sur une sensibilité , la rapidité des cicatrisations sur des frenectomies , des régularisations de crête.... tes metas analyse c'est du flan et ceux qui les étudies le savent bien dans 100% des cas la conclusion c'est: pas de différences significative bla bla... biais... études sur trop peu de cas bla bla... peu reproductible bla bla...et enfin.... d'autres études sont nécessaires pour pouvoir répondre à la question... c'est ça la médecine...Alors ton scepticisme me rend sceptique et malgré tous le respect que tu mérites, je penses que tu te trompes....
in lux véritas .... ;-)


Img 5404 pmlzfi - Eugenol
Chicot44

04/04/2015 à 02h23

l'effet le plus significatif du laser, du moins le plus quantifiable mais qui n'est jamais étudié dans les analyses des traitement paro c'est l'absence de sensibilité au chaud/froid après utilisation des laser...
Et rien que pour ça, mes patients sont ravis...
Une diode c'est moins de 3000€.
C'est 10-20 secondes par dent en plus...

Mais Saint Thomas qui ne croit que ce qu'il voit a fait beaucoup d'émules depuis 2000 ans...


Photo pluton1b h9n4ea - Eugenol
pluton

04/04/2015 à 02h34

bon, pour tout dire, le sujet du laser est passionnant!

dans certains domaines dentaires, ils prouvent leur efficacité (le Nd YAP en endo par ex, le CO2 en muco)
mais en paro, désolé, aucune étude digne de ce nom ne montre un réel effet, du moins statistiquement significativement positif...

donc pour l'instant...pour moi, acheter un laser pour faire de la paro, tant qu'il n'y aura pas de publis prouvant leur efficacité dans ce domaine...c'est niet...

maintenant, je ne vous interdis pas non plus de les utiliser...mais j'ai d'autres projets qui seraient eux significativement positifs sur mon activité avant de m'acheter ce genre de joujou...


Img 5404 pmlzfi - Eugenol
Chicot44

04/04/2015 à 03h04

là d'accord avec toi , si c'est pour faire uniquement de la paro ça vaut pas le coût. Mais heureusement que le potentiel d'utilisation ne se limite pas qu'à ça.


12