Cookie Consent byPrivacyPolicies.comcas clinique - Eugenol

cas clinique

dolcel82

26/03/2015 à 14h07

bonjour à tous ;
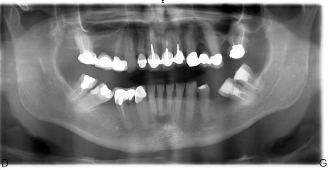
voici la pano de mon patient
motif consult : "des trucs qui s’ébrèchent à droite et à gauche et bourrages en bas à D "

qu'en pensez vous ? les 47-48-37-38 versées me chagrinent mais pas le temps de redresser car contrainte : patient part début juillet , ca doit etre fini ;

que feriez vous?

Mr lb oed57s - Eugenol

Zorba le grec 1373406512 108 lfk5ey - Eugenol
zorbalegrec

26/03/2015 à 14h34

Si le patient est presse alors extraction et PAP


dolcel82

26/03/2015 à 14h36

il a juqu'à debut juillet , et pas de pb financiers
donc coiffes et bridges possibles ... mais sur des dents versées comme ca , ca donne quoi...


Nouveau image bitmap fz77zh - Eugenol
Sethef

26/03/2015 à 15h11

Si on ne parlait que du bas, j'en ai fait, jusque là ça tiens, même si je serres toujours un peu les fesses quand je revois les patients en contrôle...

Plusieurs problèmes:
-le temps de cicatrisation de la 45
-la pano ne donne pas l'état paro de 37 47: sondage?
-38 48 seront dans tous les cas à ex
-je ne suis pas certain que le maxillaire permette de recréer un schéma occlusal adéquat. Et là, ce n'est plus acrobatique, c'est franchement casse gueule. Évidemment, à voir sur les plâtres.


Bon, évidemment, si il n'est là que jusqu'en juillet, tu n'auras pas à assumer les suites. ;-)


lachmar

26/03/2015 à 15h13



s'il part debut juillet laisse tomber :

si il a un emmerde à sa nouvelle adresse il trouvera un confrère qui lui dira : "qui vous a fait cette m...."
et les ennuis vont commencer
sur les gens qui déménagent je ne fais jamais de gros travaux


Vw campersurfvan bmnk1q - Eugenol
enlaye

26/03/2015 à 15h35

Sage lachmar .+1


dolcel82

26/03/2015 à 17h41

je poste les emp d étude dès que je les reçois

je suis d 'accord que c'est délicat de faire un trt à des patients qui partent , mais celui ci son boulot l'amène tous les 6 mois ailleurs....

et meme si je fais rien je le laisse galerer avec son bourrgae 47-48?


Nouveau image bitmap fz77zh - Eugenol
Sethef

26/03/2015 à 17h54

Tu peux toujours dégager la 48, ça réglera déjà un premier problème.


lachmar

26/03/2015 à 19h30



ce n'est pas un cas simple :

le patient bruxe (facettes d'usure visibles)

quoi que tu fasses tu agraves le bruxisme si tu ne traites pas globalement

et globalement en 3 mois tu n'as pas le temps de le faire avec sérieux en faisant des étapes de réevaluation

donc je reste sur ce que j'ai dit )

et il aurait du s'y prendre 3 mois plus tôt

conseille lui de prendre un rendez-vous dès maintenant à l'endroit de sa prochaine affectation


Etoile

05/04/2015 à 11h54

En 3 mois, tu peux peut être deja lui proposer de lui mettre une plaque occlusale maxillaire pour le protéger du bruxisme.
Également, le mettre sous provisoires longues durées réalisées par le prothésiste (couronne 47 & bridge 37-35).
Il faut ensuite extraire 48 & 38. L idéal aurait été de le faire avant mais là, le temps presse.
Et bien sûr, rééquilibrer également le secteur 2.
Si le patient est content et que tout se passe bien, il peut très bien revenir te voir pour les prothèses d usage. Certains n hésitent pas à programmer cela même lorsqu ils sont mutés à l autre bout du monde.
Avant de faire tout cela, un montage sur articulateur s impose, ne serait-ce que pour la prise de conscience de la situation par le patient et de l origine occlusale de son bruxisme.


Utilisateur banni

21/04/2015 à 16h11

1) simulation sur les modèles des extractions de 47 48 37 38 28, faire réaliser un PPA immédiate qui respecte les courbes d'occlusion (tailler les faces occlusales des dents antagonistes sur le modèle maxillaire avant)

2) Extraction de 47 48 37 38 28 , pose d'un PPA immédiate qui respecte les courbes d'occlusion et démonter les bridges qui ne respectent pas les courbes d'occlusion
faire des couronnes provisoires unitaires en occlusion adaptées à la PPA immédiate.

3) Facettes d'usures ne veut pas forcément dire bruxomane ! donc si le patient n'est pas bruxomane faire le bridge et couronnes définitives du maxillaire + couronne sur 34 (qui doit respecter les courbes occlusales aussi) et pose d'implants 35 36 37 46 47 à la mandibule, adapter la PPA, puis après cicatrisation pose des couronnes sur implants.