Cookie Consent byPrivacyPolicies.comintrusion 61 enfant de 2 ans - Eugenol
marco17

31/03/2015 à 20h07

Bonjour,
j'aurais voulu avoir vos avis,

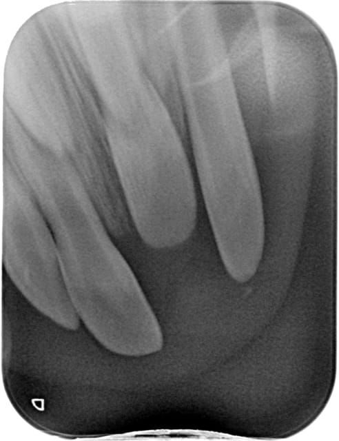
petite patiente ( 2 ans ce mois-ci ) :

mi-janvier chute avec intrusion complète de la dent ( je l'ai vu à J+5 ), on voyait à peine le bord libre,

revue la semaine dernière, la face vestibulaire de la dent est
visible au fond du vestibule mais la dent n'a pas bougée

à la radio la racine semble plus courte donc pour moi elle est passée complétement en vestibulaire du germe,

selon vous quelle serait la CAT ?

si il n'y a aucune éruption, exo ??

Perso je pensais ne pas y toucher jusqu'à ses 5 ans

Inconnu x 20150119 125357 xky55smdaa1g 4 twastb - Eugenol