Cookie Consent byPrivacyPolicies.comL'agénésie Origine Génétique, mais pas que.... - Eugenol

L'agénésie Origine Génétique, mais pas que....

209209668 fh2mys - Eugenol
fredo667

01/04/2015 à 19h49

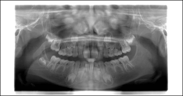
Deux petits patients de 6 ans et demi, jumeaux homozygotes, se présentent à l'instant à mon cabinet. La mère qui suis un traitement ortho/implanto suite à 6 agénésies, me demande vérifier si ses garçons présentent le même problème.

Je fais la pano du premier,
il en manque 8 Le second, je dit " Normalement, il devrait y avoir la même chose si la nature est bien faite". Manqué : la 22 qui manque sur le premier, est belle et bien là pour le second, toutes les autre parfaitement absentes aux mêmes endroits.

Conclusion (hative): Il existe une détermination génétique mais également forcément des facteurs externes qui déterminent l'activation de la fabrication du germe, ou pas.

(Peut être un mix dans les numéro des jumeaux mais vous savez compter des dents)

Jumeau2 fswqui - Eugenol
Jumeau1 fzrhkk - Eugenol

Utilisateur banni

01/04/2015 à 20h10

Il faut peut-être aller interroger du côté de l'épigénétique. Justement il y a des études faites sur les jumeaux.
"L'environnement peut façonner nos gènes et c'est l'interaction environnement/ADN qui détermine ce que nous sommes"


carident

01/04/2015 à 20h40

Je pensais que dans le cadre d'une radio panoramique, on ne pouvait parler que de suspicion d'agénésie...


209209668 fh2mys - Eugenol
fredo667

02/04/2015 à 00h18

carident écrivait:
------------------
> Je pensais que dans le cadre d'une radio panoramique, on ne pouvait parler que
> de suspicion d'agénésie...

Effectivement, j'ai pris les précautions nécessaires en disant à la mère, que peut être elle était cachée quelque part mais j'ai pris plusieurs rétro aussi et je n'ai pas vu la latérale. En tout cas je peux sans prendre trop de risque affirmer à 100 % pour les 7 autres.