Cookie Consent byPrivacyPolicies.comMCI - Eugenol

MCI

Azerty06

07/04/2015 à 14h11

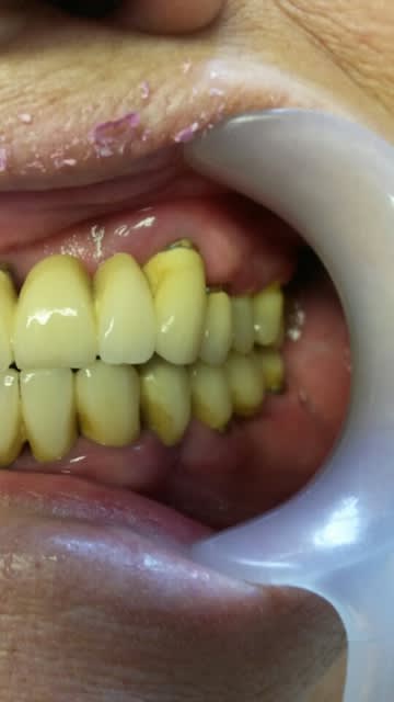
Je soumets un cas à vos critiques ( la prothèse d'usage ne remplacera pas les deuxièmes molaires car la patiente refuse les greffes )
critiques constructives bien sûr !!

1 raj0fl - Eugenol
2 hbrysp - Eugenol
3 dbaxzf - Eugenol
4 kvkyqv - Eugenol
5 uny8l3 - Eugenol
6 rrd68p - Eugenol
7 i460zs - Eugenol
8 td7fa0 - Eugenol

Img 0812 mvp6i0 - Eugenol
jeamba

07/04/2015 à 16h08

Bonjour, je suis peut être sur la digestion mais je n'ai rien compris. Peux tu développer pour les esprits lents?


Azerty06

07/04/2015 à 17h25

je demande l'avis de gens ayant l'expérience de ce genre de cas. Mon associé, par exemple trouve que je mets trop d'implant. Je ne fais pas d'extension en haut d'où les implants postérieurs qui seront reliés par une poutre, on me dit que c'est inutile etc ...
je voulais donc juste savoir comment vous auriez traité ce cas


G-P

07/04/2015 à 17h27

Joli boulot, as-tu utilisé un guide ?
Quelle est ta technique de MCI ?

Vu le manque d'hygiène de la patiente, j'espère que tu l'as bien briefé :) Le bas est prévu pour quand ?

Edit : en effet les deux implants postérieurs ne servent à mon avis à rien.


l adan

07/04/2015 à 17h42

Question annexe : c'est quoi ce truc ?

Capture vigkq1 - Eugenol

Azerty06

07/04/2015 à 19h03

l adan écrivait:
----------------
> Question annexe : c'est quoi ce truc ?

je ne sais pas, la patiente doit voir un stomato


Azerty06

07/04/2015 à 19h15

G-P écrivait:
-------------
> Joli boulot, as-tu utilisé un guide ?
> Quelle est ta technique de MCI ?
>
> Vu le manque d'hygiène de la patiente, j'espère que tu l'as bien briefé :) Le
> bas est prévu pour quand ?
>
> Edit : en effet les deux implants postérieurs ne servent à mon avis à rien.

j'avais fait une gouttière à partir du modèle d'étude avec une plaque un peu rigide pour me faire un guide chir.
ça fait deux mois que je la suis et tente d'améliorer son hygiene ( h2o2 + bicar), diminution du tabac , détartrage.
je pensais que les implants postérieurs renforçaient le bridge, bon, je le saurai pour la prochaine fois !


G-P

07/04/2015 à 20h05

Ca fait pas de mal, hein, c'est pas ça que je veux dire, c'est que tu te dois, toutes choses étant égales par ailleurs, de proposer à ton patient le traitement le plus léger possible (tant au niveau de la chirurgie, qu'au niveau financier).
Tu aurais eu le même résultat sans ces implants, étant donné que tu ne remplaces pas les 7.


ladentETeve

07/04/2015 à 23h42

Bonsoir,

La localisation de cette radio-opacite et sa tonalité font penser a une lithiase de la glande sous mandibulaire ( à confirmer par l anamnèse et la palpation). Ça peut être aussi une calcification d un lympho noeud


BucaR

07/04/2015 à 23h55

Ils serviront à quoi les implants en 18, 26, 28?


Azerty06

09/04/2015 à 15h32

BucaR écrivait:
---------------
> Ils serviront à quoi les implants en 18, 26, 28?

je m'en sers d'appuis pour renforcer le système, je n'aime pas trop les extensions.

. bdynjp - Eugenol

Img 5404 pmlzfi - Eugenol
Chicot44

09/04/2015 à 17h24

Les "tout sur 6" fonctionnent très bien avec des extensions raisonnables. 5-8 mm. Perso, je penses que tu sécurise plus ton esprit que le patient. Prothèse plus complexe, contrôle de plaque hyper compliquée, coût très augmenté, je suis pas du tout convaincu mais tu ne fais pas d'erreur et personne ne peut te reprocher ton choix.
Quand je peux en mettre 8 et que le patient accepte le prix , je préfère toujours 8... Plus de sécurité, hygiène plus facile et confort meilleur car moins de pontiques mais l'implant postérieur est souvent problématique, donc ce ne sera jamais mon choix de les placer aussi loin sauf éventuellement si le dernier implant se trouve en canine- 1ère prémolaire je me poserai éventuellement la question.


S2y2o1v7q53ws4r5wy6ou8czrpom - Eugenol
pxav

09/04/2015 à 20h33

Azerty06 écrivait:
------------------
> BucaR écrivait:
> ---------------
> > Ils serviront à quoi les implants en 18, 26, 28?
>
> je m'en sers d'appuis pour renforcer le système, je n'aime pas trop les
> extensions.

Je trouve aussi que c'est plus sécurisant et j'aime bien faire comme ça.
Je ne fais que très exceptionnellement des extensions.
--
xbk
"Si tous ceux qui croient avoir raison n'avaient pas tort, la vérité ne serait pas loin" Dac Pierre