Cookie Consent byPrivacyPolicies.comLentulo qui dépasse - Eugenol

Lentulo qui dépasse

Eldrya

15/04/2015 à 17h47

Le bridge de cette patiente se descelle (pas vraiment étonnant vu l'absence d'ancrage) et je lui propose donc d'en refaire un tout beau tout neuf.
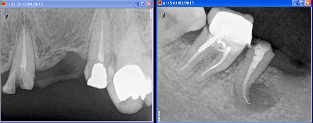
Sauf que j'ai un bout de lentulo au bout de la 23 qui m'mbête un peu, je prévois de toute façon le retraitement de la dent puisque le bridge n'est plus étanche depuis un moment mais pensez-vous qu'il soit judicieux de faire enlever ce bris instrumental (rapport bénéfice/risque?).
J'ai envoyé la patiente chez ma correspondante chir mais en attendant la réponse la question me taraude.

Ps Pour la racine D de 46 j'ai fait retraitement et pose d'Ic + provisoire avec réserve il y a un mois mais ça suinte toujours par la fistule (+ avis demandé à la chir comme de toute façon je l'envoie pour 23)- Puis-je en espérer quelque chose? (c'est louche aussi sous 47)

23 25 46 othbsg - Eugenol
Pano skjhzx - Eugenol

Smile beach jgh0a1 - Eugenol
Céramik

16/04/2015 à 02h00

Pour la 23 faut enlever le lentulo

Pour la 46...chirurgie pour enlever la lésion, et probablement la racine...


--
Céramik


Dr.Lebreton

16/04/2015 à 11h59

.


Image r6habu - Eugenol
Thomas Crown

16/04/2015 à 15h12

De quel rapport bénéfice/risque parles-tu ? je comprends pas..
Tu as déja fait une résection apicale ? sinon c'est un cas parfait pour commencer, si tu maitrises la théorie.
Ah tu as adressé! pas de probléme ! Si je peux me permettre tu devrais te former à ces gestes, qui ne sont pas compliqués, mais pas si simple non plus! Cela doit faire parti de notre travail, amha.
Tu vois un cas comme ça, ben tu enléves le bout de lentulo avec resection apex ( aprés avoir repris l endo ), 3 semaines aprés tu lui braques son chicot 46, elle est contente puis devis implantaire en toute confiance!


Vw campersurfvan bmnk1q - Eugenol
enlaye

16/04/2015 à 15h26

un cas comme ça miam miam l'extraction reimplantation !!


Eldrya

16/04/2015 à 21h39

Quand je parle de rapport bénéfice/risque je parle de l'abord necessaire, effectivement je ne fais pas ce genre de geste car je suis seule au fauteuil donc je ne fais que les extractions simples (je n'ai même pas de quoi suturer correctement dans ma collabo, c'est pas du tout un plateau orienté chir donc j'ai le minimum).
Effectivement j'ai adressé donc le lentulo sera enlevé.

Pour répondre à l'un des participants: nan je n'attend pas 2 ans que l'image disparaisse, la patiente est venue car son dentiste habitule lui faisait Ab sur Ab donc elle voulait un avis, la couronne était jumelée à la 47, j'ai proposé le retraitement avec les réserves quand au pronostic, elle a accepté donc découpe entre les couronnes, RTE, IC et provisoire + chir.
J'avais un doute sur l'extraction immédiate mais j'ai décidé de tenter, la patiente étant bien informée.
Un bridge me parait pas idéal car longue portée je trouve + prendre appui sur une dent saine, appareil pas possible en l'état car la distance inter-arcade est réduite à zéro a gauche, ne reste que les implants (à droite seulement donc) mais la patiente ne peut pas tout faire (implants en bas et bridge à refaire en haut) d'un coup financièrement


Image r6habu - Eugenol
Thomas Crown

17/04/2015 à 00h33

Non .. Faut que tu t'achetes quand même de quoi faire une suture correct, et des écarteurs en plastoc si tu as pas de 3ème main.. Je veux bien qu'on soit pas "orienté chir" mais c'est marqué sur ta plaque que tu es Chir..
En ce moment il paraît qu il y a des fonctionnaires qui viennent au cab ou appellent pour demander si on a les feuilles de suivi des matériaux utilisés au cab.. Genre toutes les feuilles de tous ce qu.on utilise.. Tu vois le délire ?? Et on doit les avoir.. J.y comprends rien à ce truc , j'ai pas fini la compta de l'an dernier, j'ai des factures en retard , mais purée si un patient vient au cab avec une hémorragie buccale, ben ça c'est ton boulot quand même , même si ton cab est pas orienté..


Eldrya

17/04/2015 à 10h02

J'ai de quoi dépanner mais pour l'instant je préfère être à l'aise sur les extractions simples avant d'aller plus loin, pas la peine de s'ajouter du stress. De plus sinon les chir encombreraient mon planning.
Je ne me voit pas improviser sur une canine, quand j'aurais envie de faire ce genre de chir, j'irais voir et j'apprendrais avant plutôt que seule sur mon patient.


Nouveau image bitmap fz77zh - Eugenol
Sethef

17/04/2015 à 10h21

Sans même voir les modèles, on sait que le bridge se casse la figure à cause de l'occlusion pourrie. Regarde les facettes d'usure en face, c'est lui qui porte toute la charge.
Si tu refais sans voir la globalité, ça foutra le camp à nouveau...

Pour le problème spécifique du lentulo, j'aurais tendance à reprendre tranquillement mon endo, reconstruire dessus as usual, et résection si nécessaire par la suite. Aussi bien, dans 30 ans, il est toujours là.


(pas de fil de suture? Ca doit être sport, quand le patient se souvient après l'extraction qu'il a oublié de te dire pour la petite gélule, là, que le toubib il a donné, mais c'est rien du tout, c'est pour le sang.)