Cookie Consent byPrivacyPolicies.comPourquoi faire simple quand.....N°2 - Eugenol

Pourquoi faire simple quand.....N°2

S2y2o1v7q53ws4r5wy6ou8czrpom - Eugenol
pxav

20/04/2015 à 23h12

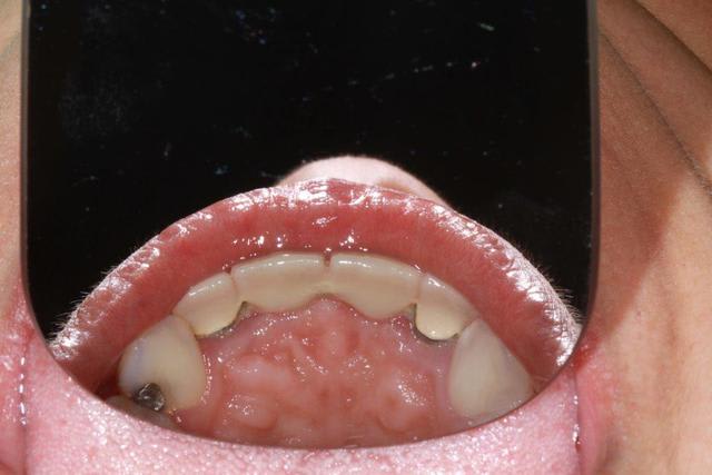
sur-traitement, pompe à fric, assassinat ...etc.. afin d'éviter tout ça je soumet à votre sagesse un cas sympa.
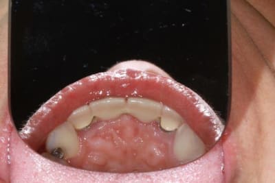
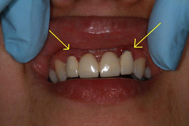
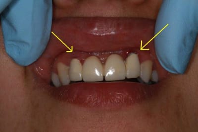
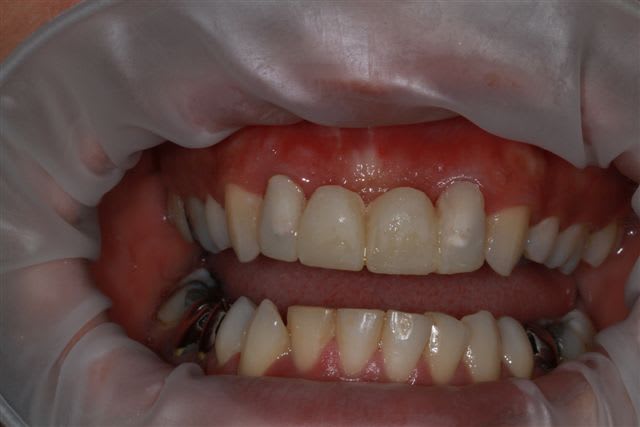
Patiente sympa, 30 ans, un bridge ceramo-métal fait il y a 10 ans, en fin de vie.
En réalité je sais déjà ce que je vais faire, mais implants, bridge ou pourquoi pas adjointe???

--
xbk
"Si tous ceux qui croient avoir raison n'avaient pas tort, la vérité ne serait pas loin" Dac Pierre

003copier rzc5fr - Eugenol
Img 1823 u0dq0b - Eugenol
Img 1857 ivlm6h - Eugenol
001 fjnsdq - Eugenol
002copier eovixk - Eugenol
Img 1860 q3hq1a - Eugenol

Images jm2g2g - Eugenol
dr_0le

20/04/2015 à 23h46

je tente:

2 implants 11/21 et bridge implanto?

ne pas se servir de ces latérales qui me semblent compromises..

--
You can't always get what you want..


S2y2o1v7q53ws4r5wy6ou8czrpom - Eugenol
pxav

20/04/2015 à 23h52

Bon choix mais si implants 11/21 bridge avec extensions latérales...je ne suis pas fan.
Par contre implants 12/22 et bridge ça devient raisonnable (pour moi)mais il faut enlever 12/22 et faire une pap pour les provisoires.
vous n'avez pas le scan mais si implants, expansion si 11/21 et 12/22 os ...

--
xbk
"Si tous ceux qui croient avoir raison n'avaient pas tort, la vérité ne serait pas loin" Dac Pierre


Tumblr nbpd8ntwip1rsb3deo1 1280 hyinig - Eugenol
Enki

20/04/2015 à 23h58

Ce que je ferai :

Si possible extrac. et implantation immédiate des 12 et 22 et PAP pendant 3mois. Elle n'en appréciera que plus de retrouver une solution fixe :)

Si l'implantation immédiate n'est pas possible elle en prend pour quelques mois de PAP en plus.


Images jm2g2g - Eugenol
dr_0le

21/04/2015 à 00h03

moi j'aime bien implants 11 21 dans ces cas la.. ça permet de mettre des implants de 4.5 pour avoir une émergence sympa..

tu fais 12/22 alors ici?

--
You can't always get what you want..


Smile beach jgh0a1 - Eugenol
Céramik

21/04/2015 à 01h10

En général, implant 12-22 c'est plus sympa que 11-21 et des extensions.

Alors exo et implants 12-22, greffe en vestibulaire (os et muco), question de blinder le tout.

Implants provisoires en 11-21 et bridge provisoire sur implant 11-21

Dans 4 mois, bridge provisoire 12-x-x-22, et lorsque tissu, émergence seront top (pontique ovoide, etc), le vrai bridge.


Pour faire plus classique, exo 12-22 et bridge 13 à 23, comme dans le bon vieux temps, pas d'implant, pas de greffe





--
Céramik


Smile beach jgh0a1 - Eugenol
Céramik

21/04/2015 à 01h15


Les endo et les IC dans les 12-22 sont sublimes...et ça a durer 10 ans....incroyable...Il y a pas de la paro aussi ?
--
Céramik


S2y2o1v7q53ws4r5wy6ou8czrpom - Eugenol
pxav

21/04/2015 à 01h17

dr_0le écrivait:
----------------
> moi j'aime bien implants 11 21 dans ces cas la.. ça permet de mettre des
> implants de 4.5 pour avoir une émergence sympa..
>
> tu fais 12/22 alors ici?
>
> --
> You can't always get what you want..

extraction de 11/21 plus de 10 ans (la patiente avait donc 18 ans...donc grosse fonte osseuse 2 séances d'ostéotension et rien de bon ...peut être pour mettre des 2.8mm (avec expansion), mais je ne suis pas chaud.
--
xbk
"Si tous ceux qui croient avoir raison n'avaient pas tort, la vérité ne serait pas loin" Dac Pierre


S2y2o1v7q53ws4r5wy6ou8czrpom - Eugenol
pxav

21/04/2015 à 01h21

Céramik écrivait:
-----------------
> En général, implant 12-22 c'est plus sympa que 11-21 et des extensions.
>
> Alors exo et implants 12-22, greffe en vestibulaire (os et muco), question de
> blinder le tout.
>
> Implants provisoires en 11-21 et bridge provisoire sur implant 11-21
>
> Dans 4 mois, bridge provisoire 12-x-x-22, et lorsque tissu, émergence seront top
> (pontique ovoide, etc), le vrai bridge.

solution classique et très acceptable, mais ce n'est pas mon choix.




> Pour faire plus classique, exo 12-22 et bridge 13 à 23, comme dans le bon vieux temps, pas d'implant, pas de greffe.

Nous sommes en 2015...donc c'est non pour le bridge 13/23.

> --
> Céramik


--
xbk
"Si tous ceux qui croient avoir raison n'avaient pas tort, la vérité ne serait pas loin" Dac Pierre


S2y2o1v7q53ws4r5wy6ou8czrpom - Eugenol
pxav

21/04/2015 à 01h24

Céramik écrivait:
-----------------
>
> Les endo et les IC dans les 12-22 sont sublimes...et ça a durer 10
> ans....incroyable...Il y a pas de la paro aussi ?
> --
> Céramik

étonnant en effet... et encore plus étonnant, ce qui n'arrive jamais le radiologue (qui est parfaitement compétent normalement) a inversé la droite et la gauche.
--
xbk
"Si tous ceux qui croient avoir raison n'avaient pas tort, la vérité ne serait pas loin" Dac Pierre


G-P

21/04/2015 à 01h26

Pareil pour 11 et 21, avec greffe en vestibulaire pour garder un bon axe si nécessaire.
C'est toujours mieux de poser en 11 et 21, meilleur profil d'émergence et gestion des papilles + facile.


S2y2o1v7q53ws4r5wy6ou8czrpom - Eugenol
pxav

21/04/2015 à 01h30

mon idée, après réflexion, bridge provisoire résine, pose de deux implants 11/21 et "sauvetage" de 12/22 donc 4 CCC indépendantes.

Et plus tard si 12/22 se cassent ...2 implants et toujours 4 CCC indépendantes.

Et oui je sais $$$$$$$$... faut bien vivre mon pauvre Monsieur.

Mais après 2 séances d'ostéotensions...

--
xbk
"Si tous ceux qui croient avoir raison n'avaient pas tort, la vérité ne serait pas loin" Dac Pierre


Smile beach jgh0a1 - Eugenol
Céramik

21/04/2015 à 02h19

Pour faire plus classique, exo 12-22 et bridge 13 à 23, comme dans le bon vieux temps, pas d'implant, pas de greffe.

Nous sommes en 2015...donc c'est non pour le bridge 13/23.


C'était une blague ;-)


--
Céramik


Smile beach jgh0a1 - Eugenol
Céramik

21/04/2015 à 02h24

Le sauvetage de 12 et 22, pourquoi pas, mais bon, faut voir.

4 implants, c'est général moins jolie (papilles difficile) et comme tu dis manque volume osseux important pour 11-21.

Idéalement, cone-beam pour voir où est la position idéale de l'implant en 3D pour le projet prothétique et ensuite greffer ce qu'il manque.



--
Céramik


S2y2o1v7q53ws4r5wy6ou8czrpom - Eugenol
pxav

21/04/2015 à 09h11

Céramik écrivait:
-----------------
> Pour faire plus classique, exo 12-22 et bridge 13 à 23, comme dans le bon vieux
> temps, pas d'implant, pas de greffe.
>
> Nous sommes en 2015...donc c'est non pour le bridge 13/23.
>
>
> C'était une blague ;-)
>
>
> --
> Céramik

je l'avais pris comme ça, mais il était bon que je réponde, pour celui qui aurait des doutes...;-))
--
xbk
"Si tous ceux qui croient avoir raison n'avaient pas tort, la vérité ne serait pas loin" Dac Pierre


120 81 mdkvjo - Eugenol
Monaco

21/04/2015 à 09h24

A 30 ans ya déjà eu pas mal de boulot là ... qu'est ce que ce sera à 50 ...


Photo pluton1b h9n4ea - Eugenol
pluton

21/04/2015 à 09h37

Céramik écrivait:
-----------------
> Le sauvetage de 12 et 22, pourquoi pas, mais bon, faut voir.
>
> 4 implants, c'est général moins jolie (papilles difficile) et comme tu dis
> manque volume osseux important pour 11-21.
>
> Idéalement, cone-beam pour voir où est la position idéale de l'implant en 3D
> pour le projet prothétique et ensuite greffer ce qu'il manque.

pour les 4 implants c'est moins joli...çà dépend...l'erreur c'est généralement de vouloir poser du trop gros diamètre et du coup tu ne peux plus respecter parfaitement les espaces inter-implantaires indispensables pour pouvoir recréer les papilles

tu as en plus une perte de longueur de l'arc du fait de la résorption osseuse qui te complique les choses et bien souvent donc, en antérieur tu es obligé d'être dans la configuration 2 ou 3 implants pour pouvoir remplacer 4 dents...


S2y2o1v7q53ws4r5wy6ou8czrpom - Eugenol
pxav

21/04/2015 à 09h41

Monaco écrivait:
----------------
> A 30 ans ya déjà eu pas mal de boulot là ... qu'est ce que ce sera à 50 ...

Oui et un peu particulier au niveau de 12/22, le bridge a été fait suite à un accident sur 11/21, mais soit l'accident était grave, soit le confrère Marocain, un peu pressé.
Ceci a d’ailleurs guidé mes choix, qui ne sont pas forcement évidents, mais Primum non nocere... enfin pas plus que ce qui est déjà fait.
--
xbk
"Si tous ceux qui croient avoir raison n'avaient pas tort, la vérité ne serait pas loin" Dac Pierre


S2y2o1v7q53ws4r5wy6ou8czrpom - Eugenol
pxav

21/04/2015 à 11h18

Céramik écrivait:
-----------------

> Idéalement, cone-beam pour voir où est la position idéale de l'implant en 3D
> pour le projet prothétique et ensuite greffer ce qu'il manque.

> --
> Céramik

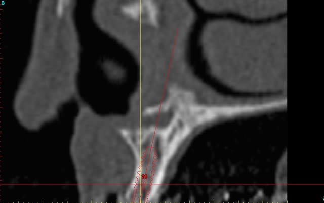
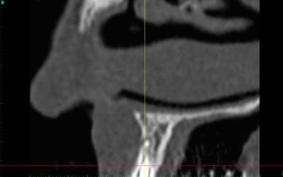
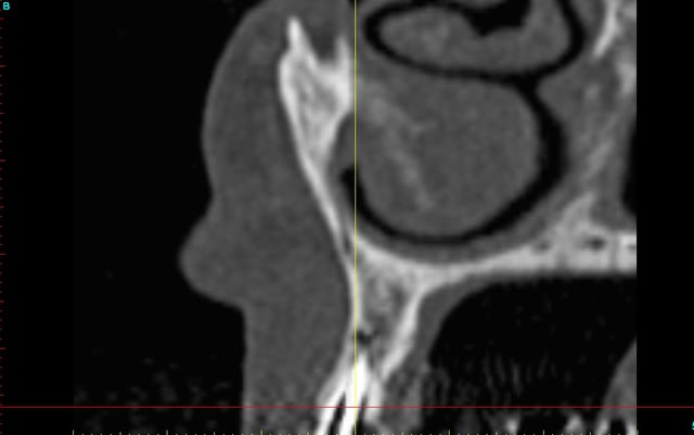
le scan n'est pas terrible, mais suffisant pour voir que 22 une fois extraite, ne va pas etre simple à implanter, par contre 11/21 avec un peu d'expansion...
--
xbk
"Si tous ceux qui croient avoir raison n'avaient pas tort, la vérité ne serait pas loin" Dac Pierre

Des lecross section21 jinha0 - Eugenol
Des lecross section sf6tbl - Eugenol
Des le cross section 12 vyz5ug - Eugenol
Des le cross section 22 w31w6b - Eugenol

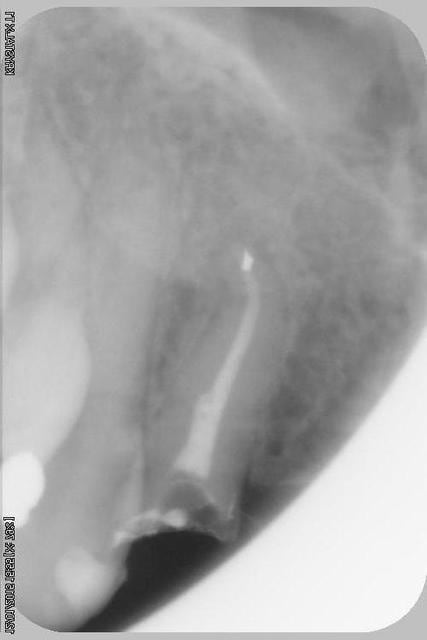
S2y2o1v7q53ws4r5wy6ou8czrpom - Eugenol
pxav

21/04/2015 à 11h34

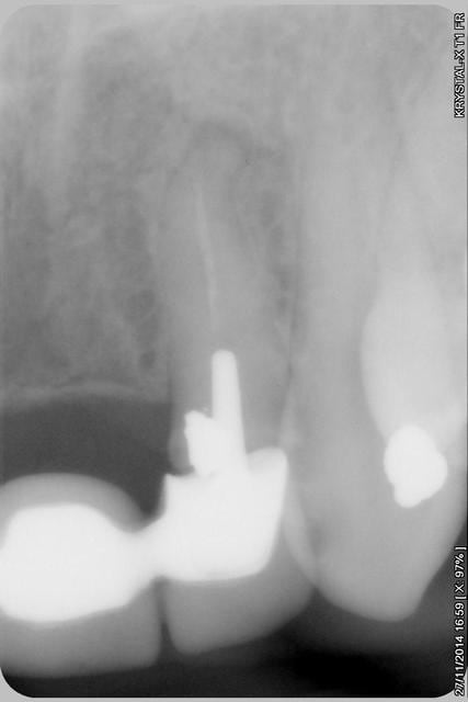
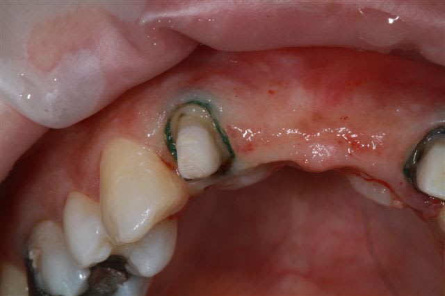
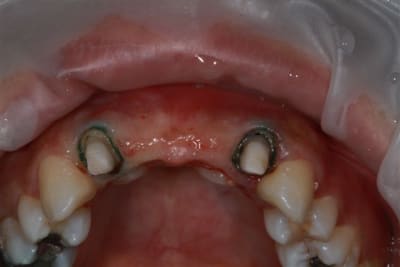
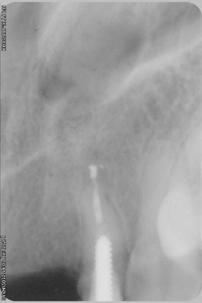
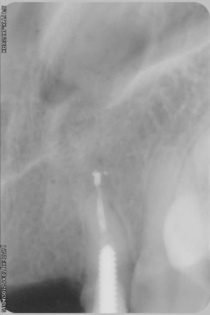
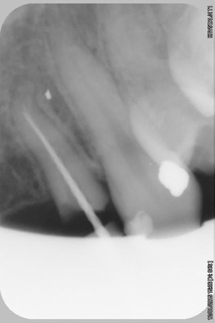
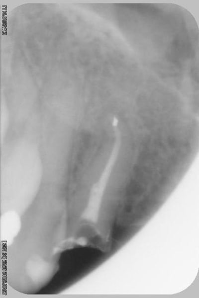
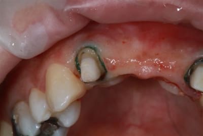
Donc dans un premier temps,je décide d'essayer de retraiter 12/22, de toute façons ça ne peut pas être pire que ce qui tiens depuis 10 ans... enfin 12 mobilité quasiment 3.
ensuite Srew post (bouh...) et résine, afin de pouvoir poser un provisoire et réfléchir à l'avenir du parodonte...car il va y avoir un problème quelle que soit la solution choisie.
--
xbk
"Si tous ceux qui croient avoir raison n'avaient pas tort, la vérité ne serait pas loin" Dac Pierre

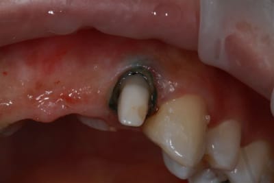
013copier i9y3do - Eugenol
Img 1857r cxv5g1 - Eugenol
003copier gsgoia - Eugenol
012copier yso0mb - Eugenol
002copier mphusk - Eugenol

dent2669

21/04/2015 à 11h48

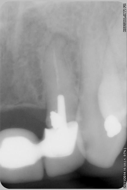
Sur la reprise de 22 je pense que tu as fais un beau "tout-droit" à l'apex... le canal devait suivre la courbure.

Tu es bon pour faire une chir-apicale dans quelques mois !

Quant au plan de traitement général, je suis assez d'accord avec ton choix !


S2y2o1v7q53ws4r5wy6ou8czrpom - Eugenol
pxav

21/04/2015 à 12h42

dent2669 écrivait:
------------------
> Sur la reprise de 22 je pense que tu as fais un beau "tout-droit" à l'apex... le
> canal devait suivre la courbure.
>
> Tu es bon pour faire une chir-apicale dans quelques mois !
>

je pense que le tout droit existait déjà..
oup's j'ai omis la digue...
Chir apicale si on garde la dent...

--
xbk
"Si tous ceux qui croient avoir raison n'avaient pas tort, la vérité ne serait pas loin" Dac Pierre

006copier qigpy9 - Eugenol
008copier wbju93 - Eugenol

Avatar transparent iqadnc - Eugenol
adhoc

21/04/2015 à 13h35

>Chir apicale si on garde la dent...<

... ou pas :-)


dent2669

21/04/2015 à 13h49

pxav écrivait:
--------------

> je pense que le tout droit existait déjà..
> oup's j'ai omis la digue...
> Chir apicale si on garde la dent...
>

Oui oui, c'est certain ! il y avait au moins une belle butée bien engagée. Ce qui expliquerai que l'ancien traitement n'allait pas jusqu'à l'apex.
Et avec les instruments de rotation continue agressifs de reprise d'endo que l'on a maintenant, on s'engage dans la butée et on la "termine"... ça m'arrive aussi de temps en temps... de toutes façons, repasser de vieilles butées comme ça, même les endos exclusifs n'y arrivent presque jamais et font une chir apicale d'emblée.


S2y2o1v7q53ws4r5wy6ou8czrpom - Eugenol
pxav

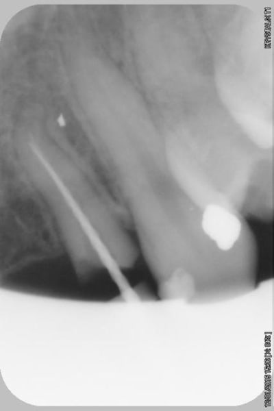
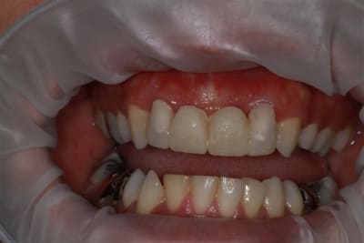
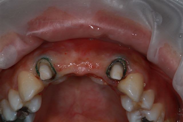
21/04/2015 à 19h11

la suite
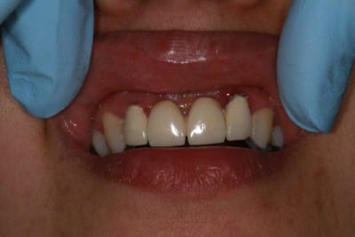
reconstitution, taille pour empreinte et provisoire (pas beau mais il sera remplacé)
--
xbk
"Si tous ceux qui croient avoir raison n'avaient pas tort, la vérité ne serait pas loin" Dac Pierre

Img 2181 yijzhz - Eugenol
Img 2182 lhh6e0 - Eugenol
015xcopier lyppuy - Eugenol
Img 2183 pmo5my - Eugenol
016copier zr2pom - Eugenol
Img 2176 y7mrkt - Eugenol

12