Cookie Consent byPrivacyPolicies.comPourquoi faire simple quand.....N°2 - Eugenol

Pourquoi faire simple quand.....N°2

G-P

22/04/2015 à 00h35

Pxav qui met des screw posts. la vache.
J'ai l'impression d'avoir vu mon père en soutif


S2y2o1v7q53ws4r5wy6ou8czrpom - Eugenol
pxav

22/04/2015 à 01h23


Ben oui pourquoi faire simple???
pas terrible, c'est sur, mais préférable à ce qu'il y avait...
--
xbk
"Si tous ceux qui croient avoir raison n'avaient pas tort, la vérité ne serait pas loin" Dac Pierre


S2y2o1v7q53ws4r5wy6ou8czrpom - Eugenol
pxav

22/04/2015 à 15h21

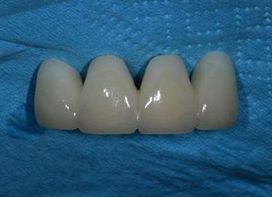
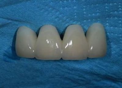
finalement, le bridge précédent ayant tenu 10 ans,le bridge provisoire (résine non armée)ne posant aucun soucis, et la latérale qui de mobilité 3 est passée à 1, nous avons pris la décision, avec la patiente, de ne pas extraire et de ne pas mettre des implants dans l'immédiat

Étant entendu que je ne pronostique pas forcement une durée de vie supérieure au premier bridge.

la petite entorse aux bon usage est que le bridge est réalisé en Emax press, ce qui ne fait pas partie des indications de ce matériaux...
--
xbk
"Si tous ceux qui croient avoir raison n'avaient pas tort, la vérité ne serait pas loin" Dac Pierre

Img 2180 kqyhqr - Eugenol

Smile beach jgh0a1 - Eugenol
Céramik

23/04/2015 à 03h35

Ça te laisse le temps pour faire de l'ortho
et corriger les belles coiffes du bas

;-)







--
Céramik


S2y2o1v7q53ws4r5wy6ou8czrpom - Eugenol
pxav

23/04/2015 à 11h48


c'est clair qu'il reste du boulot..:-))
--
xbk
"Si tous ceux qui croient avoir raison n'avaient pas tort, la vérité ne serait pas loin" Dac Pierre


12