Cookie Consent byPrivacyPolicies.cominconfort suite à collage inlay - Eugenol

inconfort suite à collage inlay

Rodrigue_Beaubois

20/04/2015 à 23h24

Bonsoir un confrère ami m'a posé il y a quelques heures un inlay emax sur ma 45. (c'est très chiant d'avoir à faire des soins sur un confrère !!! ).

L'essayage montrait un point de contact très fort (fil qui se déchirait).
L'inlay a été collé sans retoucher ce PDC très fort. Et j'avoue que depuis la pose j'ai un inconfort sur toutes les dents mandibulaires. Je les sens toutes serrées jusqu'à la 31/41.
Je sens même comme une surocc' mais mon ami me dit qu'il n'y a aucune surocclusion et que c'est l'inlay qui aurait pu changer un peu mon occlusion en poussant les autres dents.

Je vérifierai moi même mon occlusion demain avec du papier très fin à 30 microns.

Pensez-vous que cela pourrait nécessiter la dépose de cet inlay ?
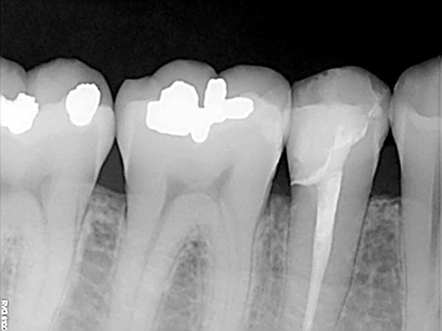
La radio montre un très fin hiatus en cervical au niveau du joint dent-inlay montrant probablement que l'inlay n'était probablement pas à fond à cause du contact trop fort.

Merci d'avance à mes confrères eugénoliens de me donner leur avis

Inlay l8nxv8 - Eugenol

41467 100000418256397 4215 n ypxyho - Eugenol
Blette

20/04/2015 à 23h35

C est bien étanche et le point de contact va se détendre d ici quelques jours


Darmon - Eugenol
Latin

21/04/2015 à 00h29

Sinon tu passes un strip et c'est réglé.

--
`·.¸¸.·´¯`·.¸¸.·´¯`·.¸¸.·´¯`·.¸ ><((((((º>


G-P

21/04/2015 à 00h51

Rien de pire que de soigner un confrère.


Smile beach jgh0a1 - Eugenol
Céramik

21/04/2015 à 01h00

exo / implant dans 1 semaine ;-)

--
Céramik


Rodrigue_Beaubois

21/04/2015 à 01h13

Céramik écrivait:
-----------------
> exo / implant dans 1 semaine ;-)
>
> --
> Céramik

Merci Céramik de me rassurer LOL

Bon je sens que le point de contact commence à se détendre.
En revanche je suis sur qu' il y a une surocc. Je la réglerai demain au cab ;-)


doagui

21/04/2015 à 01h17

Rodrigue_Beaubois écrivait:
---------------------------

> La radio montre un très fin hiatus en cervical au niveau du joint dent-inlay
> montrant probablement que l'inlay n'était probablement pas à fond à cause du
> contact trop fort.

Si tous les patients pouvaient avoir des restauration aussi adaptées on serait bien contents...

A mon humble avis tu psychotes, tout simplement. Ne retouche rien, donne-toi 2 jours et tout ira bien tu verras.


G-P

21/04/2015 à 01h29

Pas trop une indication d'onlay ici avec la limite sous gingivale...


yup

21/04/2015 à 03h35

ca a l'air bien etanche et tout tout.. et pour le point de cont l’inconfort persiste selon mon experience de qqs h à 1 jour, pas plus.

juste une note perso: j'ai posé un comme ça il y a qqs mois et ma patiente est revenue avec un inlay decollé parce que ... la parois mesiale a felé....En effet, apres qqs lectures: il est recommandé de recouvrir les cuspides des Premo. Efnin, elle dit avoir croqué sur une coquille de noix qui s'est trouvé dans sa salade... (mais tout est bien qui finit bien: j'ai changé pour une jolie ccc sans plus de tracas)


Zorba le grec 1373406512 108 lfk5ey - Eugenol
zorbalegrec

21/04/2015 à 09h46

Point de contact trop serré, la proprioception du desmodonte va régler ça en quelques heures avec parfois pour conséquence de provoquer des désordres occluso qui peuvent apparaître dans plusieurs semaines voire plusieurs mois.


Vw campersurfvan bmnk1q - Eugenol
enlaye

21/04/2015 à 09h52

Si tu sens une sur occ c est qui il y a une sur occ !
On s en branle du papier fin , . la sur ocx n est pas forcément sur l inlay d ailleurs


Vw campersurfvan bmnk1q - Eugenol
enlaye

21/04/2015 à 10h04

Toute l occluso est là : ne jamais croire aux papiers ,surtout lorsque ils sont fins . le papier ne sert qu a se mettre en accord avec ce que dit le patient .....


Vw campersurfvan bmnk1q - Eugenol
enlaye

21/04/2015 à 10h25

Le problème du papier fin , c est qui il est fin. Il est trop fin. Donc déjà qu' on y voit rien , si on veut marquer les points ,il faut fermer fort. Et quand tu fermes fort l enfoncement ligamentaire met toute les dents à niveau et on voit plein de points , et là le dentiste te dit : tout est OK ...hahaha le guignol .


Vw campersurfvan bmnk1q - Eugenol
enlaye

21/04/2015 à 14h32

zorbalegrec écrivait:
---------------------
> Point de contact trop serré, la proprioception du desmodonte va régler ça en quelques heures avec parfois pour conséquence de provoquer des désordres occluso qui peuvent apparaître dans plusieurs semaines voire plusieurs mois.

tu peux meme dire de suite , n'aies pas peur .l'adaptation fait le reste tant que le schema occlusal n'est pas trop modififié .
elle est belle cette phrase , a mon avis elle n'est pas parisienne ni nicoise et encore moins lyonnaise .je dirais soit marseillaise ou nantaise . non ?


Zorba le grec 1373406512 108 lfk5ey - Eugenol
zorbalegrec

21/04/2015 à 16h00

Non c'est du rémois avec comme gourou Louis Nahmani


Zorba le grec 1373406512 108 lfk5ey - Eugenol
zorbalegrec

21/04/2015 à 16h05

Je me suis fait mal comprendre Enlaye, oui les désordres occlusaux sont immédiat mais les répercussions sur l'ensemble de l'organisme (migraines, douleurs dorsales etc etc) apparaitront beaucoup plus tard et parfois on n'arrive pas à faire la relation avec cet inlay


pascal79

21/04/2015 à 16h15

ça m'est arrivé la semaine dernière, point de contact un peu fort qui provoquait une surocc mais plus sur la dent d'à coté me semble-t-il. Retouche du point de contact et le patient n'était plus gené.