Cookie Consent byPrivacyPolicies.comCas compliqué: Douleur persistante après plusieurs - Eugenol

Cas compliqué: Douleur persistante après plusieurs traitements

chirdent26

24/04/2015 à 14h50

Eivissa75 écrivait:
-------------------
> Bonjour à tous
>
> Cela fait beaucoup d'hypothèses!
>
> ->Le patient n'avait pas de douleur avant que cette dent soit traitée.
> Carie sur sur la dent n°25 découverte lors d'une visite de contrôle.
>
> ->Je ne vois pas de carie sur la dent n°26 ni sur la n°24
>
> ->La n°25 est en sous-occlusion pour soulager le patient.
>
> -> Les derniers traitements ont rajouté du dépassement? je n'ai pas constaté
> cela...
>
> -> Pas de fissure constatée lors des radios et examens.
>
> -> Donc le dépassement n'est pas la cause des douleurs à la mastication et au
> toucher?
>
>
>

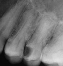
Fissure n'est pas encore fracture mais pas loin .Il n'y a pas forcement de fusée de produit

Les radios montrent quand même une image significative en distal de 24 et mésial de 26 , de visu ce peut être différent.

La sous occlusion soulage pour avaler la salive mais n'empêche pas les contacts alimentaires , vérifier d'ailleurs en latéralité .

Douleurs cervicobracchiale n'est pas synonyme de problème cardiaque mais un examen complémentaire est à conseiller, par contre typique d'un dysfonctionnement cranio-mandibulaire.

J'insiste aussi sur un examen approfondi du sinus.

La dernière radio montre un traitement canalaire bien effectué.


Eivissa75

24/04/2015 à 14h57

-


Darmon - Eugenol
Latin

24/04/2015 à 15h00

C'est sûr que ce ne sont pas des grosses caries, mais ça mérite quelles soient traitées avant que ça devienne comme ça.

--
`·.¸¸.·´¯`·.¸¸.·´¯`·.¸¸.·´¯`·.¸ ><((((((º>

Grosse carie nu4p9w - Eugenol

Vw campersurfvan bmnk1q - Eugenol
enlaye

24/04/2015 à 15h01

Eivissa75 ,
comme tu peux le constater , la douleur n'est pas un element tangible pour determiner une quelconque responsabilité !!


malaire

24/04/2015 à 15h04

Je vais y mettre aussi mon grain de sel ...
Dans l'ordre j'éliminerai:
- douleur projetée depuis l'arcade inférieure: une pano serait la bien venue et un examen minutieux du bas, mais cela a peut-être déjà été fait.
- tic du patient comme dit Latin, s'il tapote toute la journée dessus ou autre parafonction.
- mastication unilatérale.
- fêlure: ne peut se voir qu'avec un microscope en transillumination, mais je pense que l'endodontiste a déjà éliminé cette option.
- sinusite: la dent est proche du sinus et celui-ci à l'air assez opaque: voir si la douleur augmente quand le patient penche la tête en bas pendant 60 secondes.
On peut toujours aussi en dernier recours faire une fibroscopie du sinus ce qui permettrait d'infirmer ou de confirmer cette cause.

Sinon, j'essaierai soit une resection apicale + obturation a retro, soit de l'adresser à Enlaye pour extraction/curetage/réimplantation. (et c'est pas une blague)




Darmon - Eugenol
Latin

24/04/2015 à 15h07

malaire écrivait:
-----------------
> soit de
> l'adresser à Enlaye pour extraction/curetage/réimplantation. (et c'est pas une
> blague)

Ou encore mieux, il nous redonne son protocole et on met en place une étude multicentrique.

--
`·.¸¸.·´¯`·.¸¸.·´¯`·.¸¸.·´¯`·.¸ ><((((((º>


Vw campersurfvan bmnk1q - Eugenol
enlaye

24/04/2015 à 15h08

oui oui envoies :-)))
comme l'a dit zizine ,... , suis un grand soigneur de zizounette par les dents monoradi-culées :-)))))))


malaire

24/04/2015 à 15h10

Mas pour moi c'est sinus à 5 contre 1.
Et une fibro c'est vite fait et c'est pas cher.

Edit: et le fait que le patient n'avait pas de douleurs avant l'endo n'élimine pas cette cause car il y a eu un dépassement lors de la 1ere endo et donc projection de germes dans le périapex.


Eivissa75

24/04/2015 à 15h16

-


malaire

24/04/2015 à 15h17

enlaye écrivait:
----------------
> oui oui envoies :-)))
> comme l'a dit zizine ,... , suis un grand soigneur de zizounette par les dents
> monoradi-culées :-)))))))


Un peu comme le gynéco qui repeint son entrée en passant par le trou de la serrure ? ;))


Vw campersurfvan bmnk1q - Eugenol
enlaye

24/04/2015 à 15h19

malaire écrivait:
-----------------
"Mas pour moi c'est sinus à 5 contre 1.
Et une fibro c'est vite fait et c'est pas cher."

ce n'est pas ce que l'on nous demande , malaire .
on nous demande :
à qui donner la responsabilité de la douleur persistante , autrement dit qui aurait merdé ?
en agissant , "en bon pere de famille " les sequences de ttt sont correctes ... et ctrl alt suppr


Darmon - Eugenol
Latin

24/04/2015 à 15h20

Attention il ne faut pas exclure un effet iatrogène du retrait des débris à la tige oscillo métallique par voie trans-foramenicale orthograde.
Surtout si le collègue précédent a trop creusé.
--
`·.¸¸.·´¯`·.¸¸.·´¯`·.¸¸.·´¯`·.¸ ><((((((º>


malaire

24/04/2015 à 15h23

Mais moi aussi j'aimerai bien savoir ce qu'est cette fameuse tige oscillo metallique ?

Merci de nous en dire un peu plus car sur Gogol on tombe sur des articles de quincaillerie ...


lachmar

24/04/2015 à 15h31

malaire écrivait:
-----------------
> Mas pour moi c'est sinus à 5 contre 1.
> Et une fibro c'est vite fait et c'est pas cher.
>
> Edit: et le fait que le patient n'avait pas de douleurs avant l'endo n'élimine
> pas cette cause car il y a eu un dépassement lors de la 1ere endo et donc
> projection de germes dans le périapex.


la sinusite est une hypothèse seduisante, mais elle doit être ecartée puisque seule la premolaire est sensible à la pression et non pas les collatérales

d'autre part si c'avait été le cas, une sinusite unilatérale est à 99% d'orignie dentaire et on reviendrait a la case départ


Vw campersurfvan bmnk1q - Eugenol
enlaye

24/04/2015 à 15h32

malaire écrivait:
-----------------
> Mais moi aussi j'aimerai bien savoir ce qu'est cette fameuse tige oscillo metallique ?
>
> Merci de nous en dire un peu plus car sur Gogol on tombe sur des articles de quincaillerie ...

a casto y a tout ce qu'il faut , j'ai vu l'autre jour de tres beaux oscillo battants metalliques


eusebius

24/04/2015 à 16h29

hello

j'aimerai bien connaitre aussi la technique pour cureter en passant par l'apex avec les tiges oscillantes..


pourquoi l'endo spé n'a t il pas fait lui même le traitement?


Eivissa75

24/04/2015 à 17h02

-


eusebius

24/04/2015 à 17h11

Eivissa75 écrivait:
-------------------
> Et moi j'aimerais bien savoir ce qu'a mon patient...
>
> Il n'est pas passé par l'endodontiste car le retraitement lui était proposé au
> tarif de 750 euros.


le forum est là pour l'entraide entre confrères/consœurs...

il y a eu pas mal de propositions avant..

tu nous parles d'une technique que certains (dont moi) ne connaissent pas, d'où l'intérêt...



sinon, tu nettoies la chambre de tout produit, et tu regardes en mode "macro" avec une caméra..

c'est dingue le nombre de fêlures que j'ai découvert avec cela.. pas visible à la radio/ œil/sondage.. et fêlures qui occasionnaient les mêmes douleurs..


Darmon - Eugenol
Latin

24/04/2015 à 17h17

Laisse tomber, elle ne voit déjà pas les caries sur une radio, alors une fêlure dans une chambre pulpaire...

--
`·.¸¸.·´¯`·.¸¸.·´¯`·.¸¸.·´¯`·.¸ ><((((((º>


Eivissa75

24/04/2015 à 17h18

-


doagui

24/04/2015 à 17h21

Y'a quand même clairement une carie sur la 6, pas gigantesque d'accord mais elle est bien là, on est plusieurs à te le dire et pourtant tu persistes à répondre que non.

Si tu ne suis pas les conseils qui te sont donnés, il ne faut pas t'étonner de ne plus en recevoir d'autres.

En ce qui concerne ta dent il faut faire une chirurgie à rétro à mon humble avis. Ca va coûter un peu c'est sûr, mais on est pas magiciens, si le patient ne veut pas se donner les moyens on ne peut pas grand chose pour lui.


Darmon - Eugenol
Latin

24/04/2015 à 17h27

Eivissa75 écrivait:
-------------------
> Merci Latin pour tous tes messages constructifs.

Je perçois un peu d'ironie dont tu aurais pu faire l'économie si tu avais montré un peu plus d'intérêt aux différentes hypothèses qui t'ont été proposées.


Une desmodontite entretenue par une parafonction traumatique (le patient qui fait toc-toc-toc toute la journée sur sa dent avec un ongle pour voir si ça fait toujours mal... "Ha oui! ça fait toujours mal!") est pourtant bien à envisager.


Il ne faut par ailleurs pas t'étonner que sur Eugénol ta "tige oscillo métallique" et la notion de "creuser trop profond" éveillent la curiosité puis en l'absence de réponse (même humoristique) suscitent l'ironie.

--
`·.¸¸.·´¯`·.¸¸.·´¯`·.¸¸.·´¯`·.¸ ><((((((º>


carident

24/04/2015 à 17h48

Je ferais une provisoire pour soulager le patient (en légère sous occlusion et surtout bien adaptée), en en profitant pour soigner la carie M de 26.
Puis examen minutieux de toutes les dents afin d'éliminer toutes les causes possibles de douleur dentaire ou paro.

La douleur aux bras n'est peut être que subjective et peut être aussi liée au stress de cette douleur qui ne cesse pas et aux différentes interventions...


Eivissa75

24/04/2015 à 21h01

-


Vw campersurfvan bmnk1q - Eugenol
enlaye

24/04/2015 à 21h09

Ben si , on te l'a dit . tu lui extrais tu la nettoyes et tu la remets . pas compliqué ça . pas bousillée cette dent !!!