Cookie Consent byPrivacyPolicies.comséquestre osseux - Eugenol

séquestre osseux

3f3boxni50k58rq7e9ce9ddqrxgk - Eugenol
dentiste57

24/04/2015 à 15h16

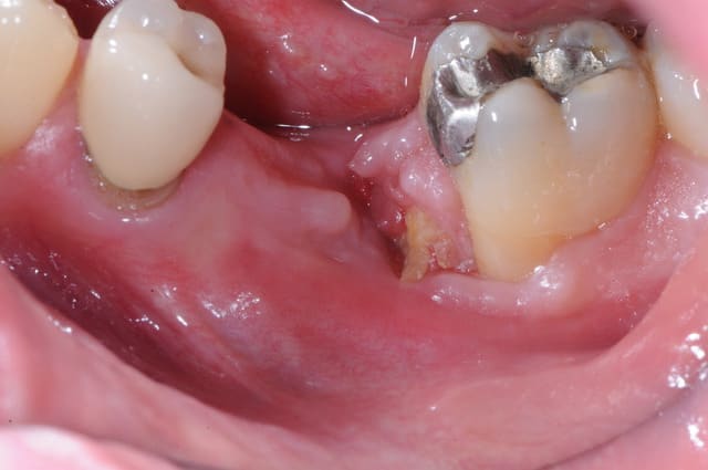
patient qui consulte lundi dernier pour avis implantaire pour 46

je regarde et je vois un petit morceau osseux bien vilain qui dépasse.

l'extraction a eu lieu il y a 4 mois par un confrère qui bosse bien et donc je ne remet pas en cause ses compétences.

l'extraction s'est pourtant bien déroulée et d'après le patient, les suites aussi. là j'en doute un peu plus mais bon...

je lui ai programmé rapidement une intervention pour ce matin afin de cureter.
il a simplement fallu tirer un peu sur le séquestre

Dsc 0602 g3ilw2 - Eugenol
Dsc 0603 pfowtb - Eugenol
R1 bxe9sg - Eugenol

3f3boxni50k58rq7e9ce9ddqrxgk - Eugenol
dentiste57

24/04/2015 à 15h53

.

Dsc 0604 zpnsbe - Eugenol
Dsc 0607 quwbsp - Eugenol
Dsc 0608 qal1pb - Eugenol
Dsc 0605 f98jtw - Eugenol
Dsc 0609 geljrq - Eugenol
Dsc 0606 pjxdf7 - Eugenol
R3 offcp5 - Eugenol

Image r6habu - Eugenol
Thomas Crown

24/04/2015 à 22h14

C'est beau.. Pourquoi ne pas combler puisque tu as tout nettoyé ? Avec un muccograft dessus ? Trop tôt? Pourquoi trop tôt? Ça va être long et aléatoire la cicat comme ça , enfin avec un objectif implant de 6 .


003 penrd2 - Eugenol
Cingulum

25/04/2015 à 00h27

Quel type d'anesthésie pour l'extraction ?. .. par curiosité scientifique..

--
Dr Cingulum
-----Ancien interné----
----Attaché à l'apex----
http://www.clinic-all.fr/ formation par passion


Utilisateur banni

25/04/2015 à 11h38

A la place du patient, étent donné que la cicatrisation osseuse est défaillante, je serais plus rassuré après l’analyse du laboratoire d’anapath du fragment osseux.


3f3boxni50k58rq7e9ce9ddqrxgk - Eugenol
dentiste57

25/04/2015 à 11h46

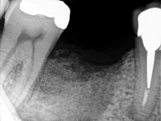
il y a eu comblement osseux avec biooss et mise en place de mucograft seal (peu visible sur la photo) même si c'était PRESQUE pas nécessaire (bretelle et ceinture)