Tous les forums
ouvrir un isthme ... sans y passer des plombes
28/04/2015 à 02h49
bonsoir,
tout est ds le sujet... j'utilise actuellement les inserts soniflex ds 1/3 coronaire, luis start x mais ça prend vraiment, vraiment trop de temps (15-20 min...)
avez-vous du mieux a conseiller?
28/04/2015 à 11h28
Je pige pas la question c'est la cavité d'accès ou le début d'instrumentation dans les canaux ?
Fraise tonneau largo 3. C'est quoi ces ultra sons de tapette ? -)))))
28/04/2015 à 12h04
Ca m'étonnerait que ca soit plus rapide qu'une fraise tonneau. -))))
On assez de matos à stériliser comme ca ! pas la peine d'en rajouter.
Bon, c'est peut etre plus fin mais notre nomenclature n'est pas fine non plus il faut choisir des outils adaptés au contexte. . -))))
28/04/2015 à 12h48
Effectivement, au risque de paraître très basique, j'ai tendance à penser que ton isthme va s'ouvrir naturellement lors de la préparation canalaire... Appui pariétal plus marqué dans cette direction si nécessaire...
28/04/2015 à 13h58
cap 3 ça a l'air interessant mais ça ressemble vachement à mon start x 3 (vr image) et ça depote moins que le soniflex...
je precise que c'ets pr des isthmes (mv1/mv2 , ml/mv qd il y a, et c'est pas seulement à l'ouverture de la chambre)
chico: je sais pas comment tu maitrise le geste à la fraise, avec la grosse turbine et la flotte et travail sous micro.. je pense qu'on s'est pas compris
28/04/2015 à 13h59
Par isthme, vous parlez bien des triangle dentinaire au dessus des canaux? Je suis le seul a faire ca à la zekrya fine bien plaqué contre la paroi?
Sinon j'aime bien aussi les foret de Gates, bien pratique
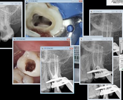
28/04/2015 à 14h06
jeff13 écrivait:
----------------
> Par isthme, vous parlez bien des triangle dentinaire au dessus des canaux? Je
> suis le seul a faire ca à la zekrya fine bien plaqué contre la paroi?
> Sinon j'aime bien aussi les foret de Gates, bien pratique
non, isthme, c'est entre les 2 canx principaux. Comme sur l'image ci jointe par ex:
28/04/2015 à 14h38
dans mon kit endo j'ai une fraise flamme grain vert et une fraise congé..
je simplifie les procédures pour avoir le moins de fraises possible.
Pour les isthmes, je fais ça a la fraie a congé aussi. plutôt fine.
--
You can't always get what you want..
28/04/2015 à 14h44
jeff13 écrivait:
----------------
> Ah ok, ca c'est specifique au premolaire du haut
non....
28/04/2015 à 14h46
c'est gentil, mais.... c'est pour travailler au micro, donc les fraises c'est pas du tout adapté...
28/04/2015 à 14h53
yup écrivait:
-------------
> jeff13 écrivait:
> ----------------
> > Par isthme, vous parlez bien des triangle dentinaire au dessus des canaux? Je
> > suis le seul a faire ca à la zekrya fine bien plaqué contre la paroi?
> > Sinon j'aime bien aussi les foret de Gates, bien pratique
>
> non, isthme, c'est entre les 2 canx principaux. Comme sur l'image ci jointe par
> ex:
Ah ca ? pas besoin d'ultra sons ni de micro d'ailleurs. -)))
28/04/2015 à 14h59
Dans le cas d'une obturation à la gutta chaude avec remontée le traitement de travail de l'isthme est inutile si la désinfection à l'hypochlorite est suffisante dixit DR BRONNEC et MARTIN (SOP)
28/04/2015 à 15h02
perso j'utilise ça depuis 3 ans sur mon sirona a 100% avec irrigation, ça dépote pas mal , ton isthme sera fait en moins de 30 secondes je te le garanti.
acheté 20 euros sur ebay je surveille mon pas de vis de pièce a main chaque semaine je n'ai jamais eu de pb.(comme avec les génériques catelles....) j'ai eu peur au début mais j'avoue ça marche pas mal (étonnement)
http://www.ebay.fr/itm/ES3D-Dental-Ultrasonic-Scaler-Tips-Endodontics-Diamond-For-Sirona-Handpiece-NEW-/190879655390
--
charles976
28/04/2015 à 15h04
pas de perte de temps, utilisable sous microscope vu que c'est de l'ultrasonore, existe aussi en version satelec, coûte au final moins cher qu'une fraise congé, tout en étant aussi rapide et efficace (voir plus car pas d'effet de couple et donc possible "ripage" lié à la rotation de l'instrument)...;-)
http://www.ebay.fr/itm/251512992415?ssPageName=STRK:MEWAX:IT&_trksid=p3984.m1438.l2649
le net est une source inépuisable...;-)
28/04/2015 à 15h07
tu utilises depuis longtemps aussi pluton?! t'a pas eu de merde non plus je suppose (pas de vis usé etc...?)
--
charles976
28/04/2015 à 15h17
non, pas de pbs avec...
si tu veux tout "sécuriser" tu en profites pour les monter sur une PAM chinoise aussi compatible satelec ou ems...une cinquantaine d'€, ou guère plus...
28/04/2015 à 15h46
ba ouai mais g cherché des heures des pam chinoises pour mon sirona en vain.... mon cable d'unit à ultra son ne sapate pas avec les pam satelecs
--
charles976
28/04/2015 à 16h07
chirdent26 écrivait:
--------------------
> Dans le cas d'une obturation à la gutta chaude avec remontée le traitement de
> travail de l'isthme est inutile si la désinfection à l'hypochlorite est
> suffisante dixit DR BRONNEC et MARTIN (SOP)
manifique. avoir le traitement initial à faire, c'est manifique. Sauf que moi, on m'adresse des RTE, et je bosse sous microscope, c'est comme ça , c'est pas à remettre en question. Du coup, ma question s'adresse à ceux qui bossent sous micro aussi, svp...
28/04/2015 à 16h11
charles976 écrivait:
--------------------
> perso j'utilise ça depuis 3 ans sur mon sirona a 100% avec irrigation, ça dépote
> pas mal , ton isthme sera fait en moins de 30 secondes je te le garanti.
> acheté 20 euros sur ebay je surveille mon pas de vis de pièce a main chaque
> semaine je n'ai jamais eu de pb.(comme avec les génériques catelles....) j'ai eu
> peur au début mais j'avoue ça marche pas mal (étonnement)
>
> http://www.ebay.fr/itm/ES3D-Dental-Ultrasonic-Scaler-Tips-Endodontics-Diamond-For-Sirona-Handpiece-NEW-/190879655390
> --
> charles976
ah ah, ça ressemble à un insert soniflex. (je connais pas la PA sirona dont tu parles mais ça doit etre un equivalent?)
effectivement, ça marche bien mais les inserts qui existent pr soniflex sont un peu gros.... je vais peut etre craquer pr un adaptable