Cookie Consent byPrivacyPolicies.combesoin d'un conseil en greffe... - Eugenol
S2y2o1v7q53ws4r5wy6ou8czrpom - Eugenol
pxav

28/04/2015 à 23h42

Patiente 58 ans à eu une chirurgie à visée esthétique et "fonctionnelle" adressée pour détartrage en urgence...je ne suis pas spécialiste mais je trouve que la greffe mentonnière est très bof
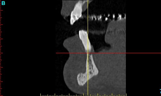
lésion apicale sur 42 risque de contamination sur la vis en regard..
j'ai demandé un scan en urgence.
des avis?
--
xbk
"Si tous ceux qui croient avoir raison n'avaient pas tort, la vérité ne serait pas loin" Dac Pierre

Ar ma 28 04 2015 fvg18j - Eugenol

Darmon - Eugenol
Latin

28/04/2015 à 23h52

Pourquoi trouves-tu la génioplastie bof?
Pour la persistance de l'image radiologique du trait d'ostéotomie? De quand date la chir?

Pour moi une chir orthognathique n'est jamais qu'à visée esthétique. Soit elle est indiquée médicalement et souvent il est vrai ça améliore l'esthétique, soit elle n'est pas indiquée. ;-)

Par contre je te conseille de faire une bonne motivation à l'hygiène.
Car se taper un traitement orthodontique avec extraction de 7 dents (4 prémolaires + 3 DDS) puis (peut-être dans un retraitement)une chir orthognathique, et se retrouver dans une situation de devoir faire un"détartrage en urgence", c'est qu'elle n'a pas bien compris l'intérêt d'entretenir tout ce dont elle a bénéficié.


--
`·.¸¸.·´¯`·.¸¸.·´¯`·.¸¸.·´¯`·.¸ ><((((((º>


S2y2o1v7q53ws4r5wy6ou8czrpom - Eugenol
pxav

28/04/2015 à 23h57

Nous sommes d'accord pour la chirurgie mais secteur 4 il y a 2mm être là plastie et la mdble, ça ne me fais pas rêver

La chirurgie à 6 mois

--
xbk
"Si tous ceux qui croient avoir raison n'avaient pas tort, la vérité ne serait pas loin" Dac Pierre


Darmon - Eugenol
Latin

29/04/2015 à 00h04

La lésion sur 42 était sans doute déjà là le jour de la chir... c'est plus ça qui craint effectivement.
Pour la génioplastie, si ce n'est pas mobile je ne serais pas trop inquiet à ta place.

42 nécrosée?
Parodontite stabilisée? (s'il y a plein de tartre ça craint aussi car c'est qu'elle n'a rien compris).

Et dit lui de faire attention quand elle croque avec ses dents de devant...

--
`·.¸¸.·´¯`·.¸¸.·´¯`·.¸¸.·´¯`·.¸ ><((((((º>


S2y2o1v7q53ws4r5wy6ou8czrpom - Eugenol
pxav

29/04/2015 à 00h13

La patiente n'a rien compris, c'est sur... Elle n'est pas consciente de d'avoir une greffe... Ou bien on ne lui a pas tout dis

--
xbk
"Si tous ceux qui croient avoir raison n'avaient pas tort, la vérité ne serait pas loin" Dac Pierre


S2y2o1v7q53ws4r5wy6ou8czrpom - Eugenol
pxav

29/04/2015 à 00h22

.

--
xbk
"Si tous ceux qui croient avoir raison n'avaient pas tort, la vérité ne serait pas loin" Dac Pierre


Darmon - Eugenol
Latin

29/04/2015 à 00h27

Ce n'est pas une greffe c'est une génioplastie. Elle le voit forcément tous les jours dans la glace que son menton a changé de forme!
Dit-lui que si elle ne brosse pas elle va perdre les dents qui lui restent. Parfois il faut savoir adopter un discours assez basique.

--
`·.¸¸.·´¯`·.¸¸.·´¯`·.¸¸.·´¯`·.¸ ><((((((º>


S2y2o1v7q53ws4r5wy6ou8czrpom - Eugenol
pxav

29/04/2015 à 00h40

Nous sommes d'accord pour la genioplastie je me suis mal exprimé ce qui m'inquiète c'est la proximité de la greffe, pardon genioplastie et de l'infection de 42, d'une part et la mauvaise liaison de la genioplastie secteur 4, mais je suis peut-être pessimiste.
J'ai un peu de mal à comprendre que l'on fasse une chirurgie lourde sans préparation du patient et sans motivation à l'hygiène.
Je ne fais pas de paro si les patients ne sont pas éduqués
--
xbk
"Si tous ceux qui croient avoir raison n'avaient pas tort, la vérité ne serait pas loin" Dac Pierre


Darmon - Eugenol
Latin

29/04/2015 à 00h57

Une bonne HBD est un préalable à tout traitement ortho. Bon, parfois il y en a qui se relachent.
Et en principe on élimine tous les foyers infectieux avant de commencer et a fortiori si une chir est prévue.

Là c'est fini elle est débaguée (sauf si préparation avec aligneurs) donc elle voit moins son ortho, donc si elle ne veut pas se brosser les dents il n'y a plus personne pour lui dire. Bon courage!

--
`·.¸¸.·´¯`·.¸¸.·´¯`·.¸¸.·´¯`·.¸ ><((((((º>


S2y2o1v7q53ws4r5wy6ou8czrpom - Eugenol
pxav

29/04/2015 à 01h02

Si je suis là...

--
xbk
"Si tous ceux qui croient avoir raison n'avaient pas tort, la vérité ne serait pas loin" Dac Pierre


Darmon - Eugenol
Latin

29/04/2015 à 01h39

pxav écrivait:
--------------
> Si je suis là...

Adressée pour un suivi paro?

--
`·.¸¸.·´¯`·.¸¸.·´¯`·.¸¸.·´¯`·.¸ ><((((((º>


S2y2o1v7q53ws4r5wy6ou8czrpom - Eugenol
pxav

29/04/2015 à 09h44

à l'origine à Nantes,déménagement, et son dentiste lui a dit "détartrage en urgence"... pour elle je n’avais qu'a passer un petit coup de Karcher...
N'ayant aucune donnée j'essaie d'abord de faire le tri,avant de mettre les mains dedans...je raisonne comme en implanto, quand il y a un foyer infectieux à distance proche (42) je pense qu'il y a un risque...

--
xbk
"Si tous ceux qui croient avoir raison n'avaient pas tort, la vérité ne serait pas loin" Dac Pierre


1980 husqvarna 390 automatic 2 kl7m5v - Eugenol
Cyanolit

30/04/2015 à 00h21

Bonsoir,

Aucun problème pour la coaptation pas terrible de la genio.
Plusieurs points: les vis de 15mm x 2mm qui transfixent c'est pas top, une seule plaque, qui plus est non réglable de chaque côté, c'est encore moins top. C'est une plaque de fracture.

En mandibulaire gauche c'est quoi ce fil d'osteosynthese? Un troisième fragment? En laissant l'apex de la 48 pile sur le trait d'osteotomie, je dis chapeau.

Pour la lésion de 42, ca peut être lié à la genio. Forage hasardeux? Mais je vote plus pour une lésion endo/paro


C'est quoi l'indication du detratrage "en urgence" ?!


Smile beach jgh0a1 - Eugenol
Céramik

30/04/2015 à 02h18

il y a de l'os autour de 11 et 21 ?
On dirait une chirurgie des années 90 :-(

--
Céramik


Darmon - Eugenol
Latin

30/04/2015 à 02h34

Cyanolit écrivait:
------------------>
> C'est quoi l'indication du detratrage "en urgence" ?!
peut-être des dents qui bougent?

--
`·.¸¸.·´¯`·.¸¸.·´¯`·.¸¸.·´¯`·.¸ ><((((((º>


S2y2o1v7q53ws4r5wy6ou8czrpom - Eugenol
pxav

30/04/2015 à 09h21

Latin écrivait:
---------------
> Cyanolit écrivait:
> ------------------>
> > C'est quoi l'indication du detratrage "en urgence" ?!
> peut-être des dents qui bougent?
>
> --
> `·.¸¸.·´¯`·.¸¸.·´¯`·.¸¸.·´¯`·.¸ ><((((((º>

j'ai bien peur que le confrère est profité du déménagement de la patiente pour se débarrasser du bébé...
Je ne suis pas fan des extractions multiple mais là, à part les secteurs molaires, je ne suis pas sur de pouvoir sauver quelques chose(surtout mandibulaire)
--
xbk
"Si tous ceux qui croient avoir raison n'avaient pas tort, la vérité ne serait pas loin" Dac Pierre

Ar m l1a 28 04 2015 oazvfy - Eugenol
Ar m l3a 28 04 2015 kdp3yv - Eugenol
Ar m l2a 28 04 2015 hk7743 - Eugenol
Ar m l4a 28 04 2015 pldtvr - Eugenol
Ar m lant 28 04 2015 pzh3t5 - Eugenol

fgui

30/04/2015 à 12h15

PETIT JOUEUR

Cette patiente a été massacrée à ROUEN.

Louise 001 zzmpcl - Eugenol

1980 husqvarna 390 automatic 2 kl7m5v - Eugenol
Cyanolit

30/04/2015 à 12h19

Oui enfin l'urgence parodontale est une urgence plus que relative ! Je pense surtout que c'était un moyen de se débarasser de la patiente effectivement.

Une mise en charge immédiate bimaxillaire et ca repart! Ca sera la patiente "castorama" avec des vis de tout type.


S2y2o1v7q53ws4r5wy6ou8czrpom - Eugenol
pxav

01/05/2015 à 11h24

Cyanolit écrivait:
------------------

> Une mise en charge immédiate bimaxillaire et ca repart! Ca sera la patiente
> "castorama" avec des vis de tout type.

Celui qui a fait l'attelle, après l'ortho, lui aait dit ça permettra d'attendre après vous ferez des implants, donc je croyais que c'était une solution envisageable...avant d'avoir vu le scan.
je passerais les clichés, pour avis.

D'après la patiente la chir était "obligatoire car sinon elle perdrait sa mandibule qui continuerait à se projeter...", j'ai quand même l'impression que du coté de Nantes il y a de belles pompes à fric...pour les gogos

--
xbk
"Si tous ceux qui croient avoir raison n'avaient pas tort, la vérité ne serait pas loin" Dac Pierre


S2y2o1v7q53ws4r5wy6ou8czrpom - Eugenol
pxav

01/05/2015 à 12h16

pas simple me semble t il, mais un gros avantage... la sensibilité fait partie du passé, donc je peux "planter" profond....

--
xbk
"Si tous ceux qui croient avoir raison n'avaient pas tort, la vérité ne serait pas loin" Dac Pierre

Ar cross section31 qnmryo - Eugenol
Ar cross section32 eb30hp - Eugenol
Ar cross section35 mobqdj - Eugenol
Ar cross section37 d13ou1 - Eugenol
Ar cross section42 knm6bp - Eugenol
Ar cross section43 u0rdgn - Eugenol
Ar cross section44 mmk3w0 - Eugenol
Ar cross section45 l3zos5 - Eugenol
Ar cross section46 t0wm63 - Eugenol
Ar cross section47 ojhldg - Eugenol
Arcross section31 32 jxaq6p - Eugenol
Arcross section33 hxlxum - Eugenol
Arcross section34 ntth6i - Eugenol
Arcross section36 tbxh7c - Eugenol

S2y2o1v7q53ws4r5wy6ou8czrpom - Eugenol
pxav

01/05/2015 à 12h38

fgui écrivait:
--------------
> PETIT JOUEUR
>
> Cette patiente a été massacrée à ROUEN.

faire de la chir (enfin je crois que ça porte ce nom, même dans ce cas)sans s’occuper de l'occlusion et du reste c'est bien triste.
Tu as fais quoi dans ce cas là?
--
xbk
"Si tous ceux qui croient avoir raison n'avaient pas tort, la vérité ne serait pas loin" Dac Pierre


fgui

02/05/2015 à 01h08

4 pseudarthroses dont une infectée en train de lâcher. une patiente avec une putain de cellulite qui n'avait pas de rendez vous qui pleure et me dit qu'elle va mourir! malheureusement une vraie psy une vraie de vraie! le number one de 25 années d'exercices ce qui explique un peut comment on en est arrivé là! donc
-au bout d'un quart d'heure je lui colle mon assistante sur le dos.
-je tel dans le service chir max universitaire le plus proche (90 km, un bon service, là ou a eu lieu la première greffe de visage) j'arrive à avoir la tenancière (les relations c'est important) qui me donne son feu vert pour la voir de suite.
-je tel à l'ambulancier du coin pour qu'il vienne chercher la chose, et qu'il la livre à l'hôpital.
-je retourne voir le débris en surveillance sur mon fauteuil, je lui explique la procédure, et je l'empêche de s'enfuir.
-le véhicule se présente une heure plus tard on charge l'objet, le courrier et la radio et je pars vider mon paquet de clops il est 14heure 20, j'ai pas pu manger, je suis de mauvaise humeur quand j'ai faim. je fais mon après midi je tel à l'hôpital pour m'assurer de la livraison, mon assistante aux parents pour qu'ils ne cherchent pas l'animal.
hospitalisation 10 jours atb en iv et avulsion de la 47 sous AG! Si si la bête n'a plus confiance du tout dans les blouse blanches (on la comprend) et ne se laisse pas faire
Quinze jours après elle passe me voir pour me remerciez, c'est bien, elle n'a pas d'argent pour me régler la consultation! c'est dommage. Là je me dit les ennuis sont finis pour moi, ben non c'était que le début!!!!

Pour comprendre la suite il faut saisir que l'état psychique de la chose est bien plus endommagé que son état bucco-dentaire, que c'est héréditaire, qu'elle vit chez ses parents depuis que son mari a compris que le jour de son mariage il avait fait la plus monstrueuse erreur qu'un homme puisse commettre.

Maintenant j'ai faim si la suite t'intéresse je continuerai après mon repas


Darmon - Eugenol
Latin

07/05/2015 à 01h07

Fait gaffe pxav, les paresthésies post chir ortho finissent par disparaitre! (enfin... c'est ce qu'on dit aux patients)

fgui, rassure-nous, ton cas c'est un vieux traitement orthochir avec récidive de béance antérieure, elle n'est pas sortie de chir comme ça?

--
`·.¸¸.·´¯`·.¸¸.·´¯`·.¸¸.·´¯`·.¸ ><((((((º>


fgui

07/05/2015 à 02h13

chirurgie 2 ans avant la pano!


Darmon - Eugenol
Latin

07/05/2015 à 02h50

Disons que ces choses-là ça récidive vite... et que la lésion sur 47 a brusquement flambé.

--
`·.¸¸.·´¯`·.¸¸.·´¯`·.¸¸.·´¯`·.¸ ><((((((º>


12