Cookie Consent byPrivacyPolicies.comSinus lift à 6 mois - Eugenol

Sinus lift à 6 mois

max_1

05/05/2015 à 10h36

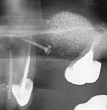
J'ai réalisé un sinus lift, il y a 6 mois et voici le scan de contrôle.
Résultat: Fuite de bio-oss par le volet latéral et surtout un aspect irrégulier du matériau de comblement.
J'ai pourtant utilisé une membrane Copios de chez Zimmer.
Il n'y a pas de signe clinque.
La patiente est adepte de running, est ce une cause possible?
Que faire?

Capture azzftp - Eugenol
Capture1 woesul - Eugenol
Capture2 jt3ujx - Eugenol
Capture3 sgtwbg - Eugenol

Azerty06

05/05/2015 à 13h09

bonjour, c'est tout à fait possible qu'une activité physique intense porte préjudice à la greffe, surtout les premiers temps. la membrane je la fixe avec deux ou trois pins pour plus de sécurité.
je pense que la greffe est à reprendre.


Azerty06

05/05/2015 à 13h11

la pano c'est post op ?


max_1

05/05/2015 à 13h15

Oui c'est bien la pano post op


Image r6habu - Eugenol
Thomas Crown

05/05/2015 à 14h19

Vachement intéressant, pourquoi l'aspect irrégulier? en fait y' a pas eu de re vascularisation dans ta greffe il semble, donc pas d'os formé en 6mois.
Pourtant c 'est bien fait , vu les images .
est ce qu' une suture a laché trop vite?
Tu es sur que le méat est ouvert de ce coté? on voit pas sur tes images;
Elle fume encore "un peu" ou arrêt avant chir ou pas du tout?
Jamais entendu dire que courir est une contre indication au sinus lift.. la plongée d accord, mais c est tout il me semble.
Tu vas faire quoi, ouvrir et tout nettoyer avant de recommencer dans 6 mois, ou?


Aiguille cyboyt - Eugenol
fatboy

06/05/2015 à 07h53

Les contre indications sportives sont assez vagues, selon moi.
Je leur conseille d'eviter toute activite intense pendant une semaine post-op, pas de vols long courier.
Pour la plongee, vous avez des donnees precise sur le moment de reprendre?


max_1

09/05/2015 à 01h53

Je pense effectivement devoir vider le sinus mais dans un autre post similaire à mon cas il y avait ces conduites à tenir de proposées... Qu'en pensez vous ?

Re: sinus lift t+6mois
Par philoustre Envoyer un message privé dimanche 25 janvier 2015 à 15:51

c'est une hémorragie interne qui a condensée le matériau en périphérie et qui te l'a diluée en son centre, tout simplement.
rassure toi, le sinus n'est pas infecté (car les sinus n'est pas rempli, et il n'y a pas de fuite de mat non plus), l'épaississement menbranaire est normale (réponse de la membrane post-greffe).

les causes: condensation insuffisante du biomat (la densité doit être plus importante que sur ton scanner J-0)
fenêtre trop près du plancher (==>non formation d'une cuvette de rétention)
si tu fait une 1/2 épaisseur augmentera probabilité se phénomène .
si tu ne met pas de membrane pour obturer la fenêtre ==> augmente la probabilité de ce phénomène
si tu ne laisse pas de cheminé postérieure d'évacuation (décharge postérieure non suturé)==> non évacuation des hémorragies internes (1/2 épaisseur , hémorragie osseuse de la basse de la fenêtre , hémorragie de l'artère antrale ou d'arteriole antrale).
prescription d'AINS modifiant le bilan rehostatique.

CAT
reintervention
énucléation du bio-oss diluée
pose des implants et comblement au bio-oss de la lacune entre les implants
fermeture
2eme temps chirurgicale dans 6mois