Cookie Consent byPrivacyPolicies.comCas esthetique anterieur suite bruxisme: Facettes ou - Eugenol

Cas esthetique anterieur suite bruxisme: Facettes ou couronnes?

Gonzo k0qhwz - Eugenol
matten

19/05/2015 à 11h03

pxav écrivait:
--------------

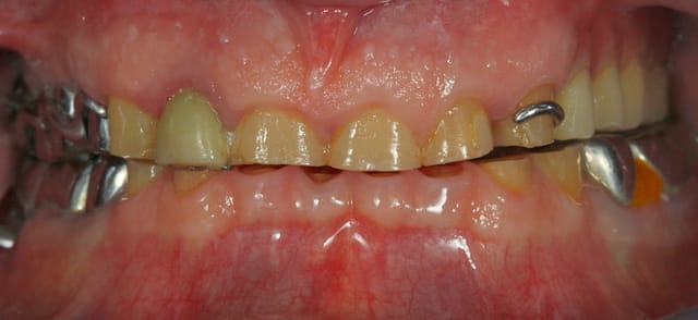
> Pourquoi pas de facettes? parce que vu ce que la patiente a fait de ses dents je ne risque pas de facettes qui ne tiendront pas 10 ans.

D'aucuns argumenteraient que sans calage posterieur, ce type d'usure est inevitable.


> Pourquoi dents vivantes? parce que si ça casse, tu pourras faire des IC alors que si tu commence par dévitaliser tu perds une étape.

Moi je veux bien mais couronne sur dent vivante qui tient sur 2mm de cerclage dentinaire? Le rapport longueur couronne sur hauteur de collage me semble faible pour 23 surtout qu'une fois le conge fait il reste quoi comme surface de collage?


003 penrd2 - Eugenol
Cingulum

19/05/2015 à 12h40

Tout d'abord il faut fixer des nouveaux repères:
- repère esthétique, où doit se situer le bord libre des incisives, par rapport au sourire. En fonction de ce bord libre et de la forme qu'on veut donner aux dents, on va déterminer si il faut rallonger le dents par le bas, ou par le haut (élongation)

- Repère de dimension verticale. En fonction de l'arcade du haut, où va t'on placer l'arcade du bas. A valider esthétiquement et fonctionnellement.

En fonction après je partirais sur des couronnes sur dent vivantes, et implant en postérieur....

Un cas à propos pour illustrer ...
:=)
Le traitement est pas fini, je viens de déposer le bridge metal sect 4, 46 a extraire....
et 15 est sous provisoire (prb endo)


--
Dr Cingulum
-----Ancien interné----
----Attaché à l'apex----
http://www.clinic-all.fr/ formation par passion

 mg 4886 rlzqwj - Eugenol
 mg 4888 w51yod - Eugenol
 mg 8183 ksta9p - Eugenol
 mg 8186 r5mtiq - Eugenol
 mg 8272 k0uicq - Eugenol

S2y2o1v7q53ws4r5wy6ou8czrpom - Eugenol
pxav

19/05/2015 à 13h29

très beau travail, question: ceramo metal ou?

et peut être que la dépose de 36/37 et provisoire aurait du être antérieure à la prothèse du secteur 2, mais nous n'avons pas toutes les données...

--
xbk
"Si tous ceux qui croient avoir raison n'avaient pas tort, la vérité ne serait pas loin" Dac Pierre


003 penrd2 - Eugenol
Cingulum

19/05/2015 à 14h17

Emax pour unitaire (43 44 33 34, bloc antérieur maxillaire) et ccm pour les bridges sur implants
SInus a gauche, et élongation coronaire sur 33 34 43 44, ex de 31 32 41 42 et implant en 42 32.
Le bridge sect 4 j'avais prévu de pas y toucher dans un premier temps. Mais comme ça s'est infécté en cours de route, j'ai fini le maxillaire et on s'attaque au sect 4

--
Dr Cingulum
-----Ancien interné----
----Attaché à l'apex----
http://www.clinic-all.fr/ formation par passion


Bebe 038 nf8eum - Eugenol
danteyeah

20/05/2015 à 02h50

enlaye écrivait:
----------------
> A mon avis ,tu confonds 2 choses:la dv et la recherche de l'occlusion la mieux
> tolérée afin que les prothèses n’éclatent pas comme le dit matten.
> La dv ç est facile , tu regardes la longueur des oreilles ( l’étage moyen de la
> face ) et ce dont tu as besoin pour les incisives grosso modo.

C'est pourquoi je réclame des photos exploitable à matten depuis le début.

> La dv n'est qu'1 déterminant de l'occlusion ( qui en compte 8 : octa du Dr
> orthlieb ).
> A ce stade je n'en sais rien moi non plus ( enfin pas en totalité ),

Normal car comme nous tous, t'as pas de documents suffisamment exploitable depuis le début du fil. Et chacun y va de sa petite expérience depuis le début sans réellement pouvoir s'exprimer sur ce cas et le dilemme de son auteur: couronnes ou facettes?

et ç est
> les prov qui me servent de gouttière en quelque sorte .
> A ce stade ,j'ai enregistré la centrée «  du jour «  et cette centrée va
> évoluer.
> A ce stade ,il n'y a pas encore de calage puisque je cherche a défaut d'avoir la
> centrée la plus physiologique possible , le décalage latéral immédiat . Ç est ce
> dessalage latéral immédiat qui m'imposera la forme de la courbe de spee et de
> monson et donc du recouvrement incisif et canin .
> Alors après si tu as besoin de réajuster la dvo pour avoir un beau sourire ,
> bien sur , il n'y a pas de problème , cela n'est pas pour autant une nouvelle
> occlusion : ç est la même mais + ouverte ou – fermée !

Aucun problème avec la recette de cuisine à suivre pour le calage postérieur, mais matten veut savoir maintenant si couronnes ou facettes, sinon il aurait attendu d'avoir fini l'arrière avant de se poser la question non?


> Le problème du Mock-up , ç est qu'il est fait par le labo , qui n' a aucune
> connaissance des déterminants biologiques de l'occlusion de ton patient.

Sauf si le Mock-up est issu de l'analyse faite par le praticien lui même ( c'était la réflexion faite plus haut sur le V.E.P.), et la le labo n'y va plus au pif.


> Et en admettant que tu ne le connaisses pas toi même , ç est là qu’intervient la
> magie du provisoire vissé :
> tu peux le dévisser , le revisser sur les plâtres , et paramétrer la tige
> incisives ,les pentes et ,,sur articulateur en fonction des traces d'usures du
> provisoire qui s est mis en place par rodage . Après tu peux dire au labo : vas
> y fait moi un truc dont l'enveloppe des mouvements s'inscrit dans cet
> enregistrement .

On est d'accord, mais dans la mesure où on admet que le collage est réalisable ce n'est pas les possibilités occlusales ( enveloppe de mouvement) qui définissent si couronnes ou facettes pour les antérieures (depuis le début je ne cherche qu'à répondre à la question de matten, et à trouver des outils pour y répondre..... Comment réaliser le cas est une autre histoire, on en a un exemple avec le cas de cingulum, mais ce n'est pas une réponse au cas de matten, simplement un exemple de réhabilitation d'un bruxisme sévère).


> Ça ç est vachement important ,et si il y a un truc qui ne t'est pas clair
> ,n’hésites pas a poser des questions même celles qui te paraissent con.

Ne serait-ce pas un peu condescendant comme proposition ça? :-)))

Ma seule question sur le cas de matten c'est: est- il sûr de sa remonté de DV de 2mm en postérieur? Et si oui : comment l'a t-il définit, avec quels repères et quel impact sur les antérieures, car dans ce cas on pourrait m'imaginer un gain d'au moins 4mm sur les centrales (attention à l'impact sur l'esthétique avec un ligne de sourire autant modifié). Mais dans le cas d'une réponse positive, la réalisation de facettes bi laminaires me semble tout à fait envisageable.


Gonzo k0qhwz - Eugenol
matten

20/05/2015 à 10h59

Cette remontee je l'ai fait completement au pif, sur articulateur.
Sans ca je ne vois pas comment caler la hauteur de ceramique necessaire pour les dents mandibulaires.

C'est un wax up previsionnel fait rapidos a la maison devant la tv... Excusez le manque de finitions.

11117627 10152789333642117 1427917997 n s7dl5j - Eugenol
11272261 10152789333707117 444882359 n axgxyk - Eugenol
11297855 10152789333662117 1808444951 n tvjsj3 - Eugenol
11304553 10152789333597117 2025116772 n mvftx0 - Eugenol

S2y2o1v7q53ws4r5wy6ou8czrpom - Eugenol
pxav

20/05/2015 à 11h15

la finition ne me gène pas, par contre pour un wax up à peu près réaliste, je commencerais par positionner les postérieures.


--
xbk
"Si tous ceux qui croient avoir raison n'avaient pas tort, la vérité ne serait pas loin" Dac Pierre


Gonzo k0qhwz - Eugenol
matten

20/05/2015 à 17h17

Une simulation photoshop en rajoutant les dents posterieures sur mon wax up anterieur lol

Je le fais en vrai ce soir

Image3 ivpiqh - Eugenol

Bebe 038 nf8eum - Eugenol
danteyeah

21/05/2015 à 03h55

matten écrivait:
----------------
> Cette remontee je l'ai fait completement au pif, sur articulateur.

Et comment t'as monté sur arti.?
Pas bon le pif, et il va servir à quoi ton wax-up antérieur?..... À faire un Mock-up?...avec quelle fonction? Si il y a bien un consensus dans les conseils sur ce fil, c'est de commencer par le calage postérieur.

> Sans ca je ne vois pas comment caler la hauteur de ceramique necessaire pour les
> dents mandibulaires.

??? Dans une réhabilitation esthétique, le guidage esthétique est induit par le sourire: ligne de sourire, ligne des collets, couloir prothétique au maxillaire. Associé à l'occlusion fonctionnel on en déduit la place nécessaire aux dents inf.

>
> C'est un wax up previsionnel fait rapidos a la maison devant la tv... Excusez le
> manque de finitions.

Encore une fois une bonne analyse photos/patient devrait te permettre de gagner du temps et de mieux profiter de ta TV et d'un wax-up réaliste ;-)


Gonzo k0qhwz - Eugenol
matten

21/05/2015 à 12h54

Photo interessante de simulation de l'epaisseur / longueur de materiau a rajouter

Fin ateqwa - Eugenol
Superposition epaisseur facettes couronnes hqyd8e - Eugenol

Vw campersurfvan bmnk1q - Eugenol
enlaye

21/05/2015 à 13h43

danteyeah écrivait:
-------------------


Normal car comme nous tous, t'as pas de documents suffisamment exploitable

je ne pense pas que l'on ai besoin de plus de photos et de documents papier pour repondre . maintenant si tu aimes jouer avec les axes bipupillaires et les determinents du visage ç est le ditramax qu'il te faut . çet outil est tellement genial et simple qu'avec ça tu demystifies toutes les considerations metaphysiques tafiolisantes de l'esthetique .
pcq les photos ç est bien beau , mais elles ne donnent aucune indication au labo contrairement au ditramax .






Vw campersurfvan bmnk1q - Eugenol
enlaye

21/05/2015 à 14h25

danteyeah écrivait:
-------------------

" Aucun problème avec la recette de cuisine à suivre pour le calage postérieur, mais matten veut savoir maintenant si couronnes ou facettes, sinon il aurait attendu d'avoir fini l'arrière avant de se poser la question non?"

ben si , il doit y avoir un probleme avec la"recette" qui n'a pas eté bien comprise ,sinon tu aurais compris que la question ne peut se poser à ce stade .

en fait ,la maison s'écroule et on est en train de demander à la grosse si on va peindre l les meubles de la cuisine en violet !! :-)))))

bon à mon avis les facettes ç est meme pas en rève .
mais il ne suffit pas de donner une réponse laconique qui ne servirait à rien . tu remarqueras que meme ,cingulum , notre encoleur referent , ne nous parle pas de facettes multifonctions . il n'y a guerre que les suisses qui probablement par assimilation à leurs couteaux multipotentiels , osent se lançer dans la reconstruction façon puzzle sur des cas en bout à bout , en 3 temps 3 mvts .une valse ,quoi .
comme dirait cingulum : je dis ça , je dis rien

cet aprem je reviens .


Bebe 038 nf8eum - Eugenol
danteyeah

22/05/2015 à 02h58

enlaye écrivait:
----------------
>
> je ne pense pas que l'on ai besoin de plus de photos et de documents papier pour
> repondre . maintenant si tu aimes jouer avec les axes bipupillaires et les
> determinents du visage ç est le ditramax qu'il te faut . çet outil est tellement
> genial et simple qu'avec ça tu demystifies toutes les considerations
> metaphysiques tafiolisantes de l'esthetique .
> pcq les photos ç est bien beau , mais elles ne donnent aucune indication au labo
> contrairement au ditramax .

Je ne pense pas que tu ais fait l'effort de lire et de te demander de quoi je voulais parler au début du fil, sinon le Ditramax serait "arrivé" bien plus tôt dans la discussion. Donc à moi de vous fournir le lien vers le V.E.P

https://www.facebook.com/pages/VEP-Virtual-Esthetic-Project/1578198799063866


C'est bien plus puissant (je veux dire tafiolisant ;-)) que le Ditramax, et c'est gratos pour une fois (sauf pour le matos photo, mais évidement nous autres, les tafioles, sommes déjà equipé)

Bonne lecture.
>
>
>


Bebe 038 nf8eum - Eugenol
danteyeah

22/05/2015 à 03h30

enlaye écrivait:
----------------
> danteyeah écrivait:
> -------------------
>
> " Aucun problème avec la recette de cuisine à suivre pour le calage postérieur,
> mais matten veut savoir maintenant si couronnes ou facettes, sinon il aurait
> attendu d'avoir fini l'arrière avant de se poser la question non?"
>
> ben si , il doit y avoir un probleme avec la"recette" qui n'a pas eté bien
> comprise ,sinon tu aurais compris que la question ne peut se poser à ce stade .

L'information est tronqué par rapport au message initial: je voulais mettre en avant que ce n'était pas un problème de " recette de cuisine", mais un problème de projection du plan de traitement, et donc d'informations et de moyens pour le définir, d'où ma référence au V.E.P.


>
> en fait ,la maison s'écroule et on est en train de demander à la grosse si on va
> peindre l les meubles de la cuisine en violet !! :-)))))
>
> bon à mon avis les facettes ç est meme pas en rève .


Évidement, mais ça n'a aucun intérêt intellectuel comme raisonnement. Pour être franc je ne vois aucune perte de DV sur le peu d'image qu'a fourni matten. Je vois une égression importante compensant les abrasions, je "devine" une propulsion mandibulaire " de confort", découlant de la perte de calage et un espace prothétique vertical limité lié à cette situation, mais je manque réellement d'information pour confirmer ce que je vois, et donc mon analyse vaut que dalle!



> mais il ne suffit pas de donner une réponse laconique qui ne servirait à rien .

Putain! C'est ce que j'arrête pas de dire, et c'est juste ce que tu fais en début de fil (relie ta première intervention)


> tu remarqueras que meme ,cingulum , notre encoleur referent , ne nous parle pas
> de facettes multifonctions . il n'y a guerre que les suisses qui probablement
> par assimilation à leurs couteaux multipotentiels , osent se lançer dans la
> reconstruction façon puzzle sur des cas en bout à bout , en 3 temps 3 mvts .une
> valse ,quoi .

Ce n'est pas une indication de facettes bi-laminaires, au regard de ce que je viens d'écrire, et si on considère que la patiente n'est pas née dans cet état et à du bien malmené sa santé dentaire pour en arriver là, et d'aucun dirais qu'il n'y a pas de raison qu'elle s'arrête en si bon chemin. Aucune chance de voir une Vailati ou un Tirlet à se risquer à le faire, là encore suffit de lire l'article fourni par Dolcel en début de fil pour comprendre la "philosophie" des indications de restauration des abrasions dentaires.



> comme dirait cingulum : je dis ça , je dis rien


Putain de condescendance (y'a plus de smiley).

>
> cet aprem je reviens .


>


Vw campersurfvan bmnk1q - Eugenol
enlaye

22/05/2015 à 03h48

matten écrivait:
----------------

" D'aucuns argumenteraient que sans calage postérieur, ce type d'usure est inévitable."

bien sur d'autant plus qu'il n'y a pas que ça :

sur la 1ere photo , on voit un diasystème entre les centrales ,bon OK le bonheur n'est pas loin .
Mais sur la latérale ( 22 ) on voit aussi un diasteme , là ça en fait beaucoup de bonheur , pour une seule personne . Alors quand il y a embrouille sur une latérale du haut , il faut systématiquement aller voir au fond du coté opposé , sans même réfléchir . On va voir , et là , hop là il y a une méga interférence molaire sur 47-17 .
donc rien que là ,avant même de s'exciter sur le décalage inter incisif , de l'occlusion inverse ,et du blocage sur la 34 , on peut en déduire que l'on ne peut enregistrer une centrée mais juste enregistrer la latérodeviation donc l'oim pathologique tellement la 17 interfère.
Voilà pourquoi , il faut avant tout racler à mort les 2 dents du fond , pour savoir si par chance la latéro déviation irréversible ou pas , cad si elle existe en centrée ou pas .
Tu comprends bien que , si sur ton montage , la centée est pipée , le montage ne sert à pas grand chose : tant que l'articulateur est fermé , ce n'est pas grave , mais dès que tu l'ouvre ,là ç est un drame .du coup ton wax-up ne sert plus a rien .C' est quoi déjà ton problème , de savoir si tu fais des facettes ou des couronnes ?:-),il va d'abord faloir determiner la forme des dents .

pourquoi on te conseille de commencer par les molaires pour le wax ? Parce que la dent de 6 ans arrive à 6 ans , les autres viennent après . Autant faire pareil pour le wax .
De la forme des molaires que tu vas pouvoir donner , tu en déduiras une courbe de spee ,et donc , avec la pente condylienne ,tu en déduiras la forme palatine des incisives ( la pente incisive ),et donc après la forme globale des incisives , et donc la forme vestibulaire des incisives .
Ha oui , tu t'interresses a l’esthétique ? , et bien dans ce cas , tu n'auras comme seul levier , que de jouer avec la dvo et la couleur . Et si tu t’aperçois qu'il faille vestibuler les incisives (les faces palatines ) , ou que tu te retrouves en bout à bout , alors adieu les facettes …
voilà ce que j'en pense de ton affaire .


Vw campersurfvan bmnk1q - Eugenol
enlaye

22/05/2015 à 04h45

danteyeah écrivait:
-------------------

" Je ne pense pas que tu ais fait l'effort de lire et de te demander de quoi je voulais parler au début du fil, sinon le Ditramax serait "arrivé" bien plus tôt
> dans la discussion. Donc à moi de vous fournir le lien vers le V.E.P>
> https://www.facebook.com/pages/VEP-Virtual-Esthetic-Project/1578198799063866 "

quand tu parlais du VEP ,j'ai bien compris que tu t'attachais a l'objectif final de l'esthetique , alors que je repondais a l'autre question de matten:
"Et comment savez vous que l'occlusion obtenue est la bonne?
Quand les protheses n'eclatent plus moins de 10 ans apres leur pose? :))".le probleme avait alors l'air de se poser differemment et là ma reponse etait plus occlusale ,je veux dire etiologique ,pour une eventuelle perenité .


en fait ,n'ayant pas d'enregistrement chez facebook , je ne dois pas avoir acces à toutes les infos , et du coup je ne comprends pas comment l'etude logicielle ,peut etre reproduite sur les maitres modèles .
- - - - - - - - - - - - - - - - - - - - - - - - - - - - -
- -"Putain de condescendance (y'a plus de smiley)"

pourquoi tu les as perdus ? :-)) tu n'es pas drole comme garçon .




Vw campersurfvan bmnk1q - Eugenol
enlaye

22/05/2015 à 13h01

danteyeah écrivait:
-------------------


" Putain de condescendance (y'a plus de smiley)."



Je te présente mes plus plates excuses si je t'ai blessé ,
et oui , en relisant , je me suis dit , tient ,pourquoi il le prend mal comme ça ?
Ou lala ,j'ai réalise que j'ai mis les pieds dans le plat , grave,sans le savoir . Je ne savais pas que tu étais spécialiste de l'esthétique , et j'ai eu le malheur d'employer le terme de considérations tafiolisantes .
Oulala j ai parlé de grosse qui peint tout en violet , je regarde ,eh merde , re gaffe , tu travailles avec ta femme . Bon ça va , elle n'est pas grosse ,oufff
mais regaffe , je parle de diasystème double et du bonheur associé , je reregarde , eh remerde , ta femme a un diasystème , , tu avoueras que j'ai pas de chance .
Effectivement ça commence a faire beaucoup .
J'espère au moins qu'elle ne fait pas d'ortho , pcq , question ortho quelque fois j'envoie grave parfois .
Ç est qu'en fait , on est très complémentaire toi et moi :
toi tu t'occupes de devant et moi de derrière ( je parle du bloc antero sup ,bien sur ) , d'où les frictions avec les esthétiques et les orthos . Suis sur qu'à nous deux on ferait de super trucs !
Donc promis , je ne parlerais plus quand cela concernera les incisives , cad plus d'esthétique , plus d'ortho , plus d'occluso , plus d'endo (puisque j'en ai un mauvais souvenir avec toi ). afin de ne pas être condescendant .
elle me le disait bien ma grand mère : la parole est d'argent,mais le silence est d'or .
Je vais essayer de faire comme la majorité sur eugénol regarder mais pas parler . Sais pas si je vais y arriver , ç est trop bon de raconter des bêtises :-)))),

donc je te redemande toutes mes excuses .



Bebe 038 nf8eum - Eugenol
danteyeah

22/05/2015 à 13h21

enlaye écrivait:
----------------
>

> en fait ,n'ayant pas d'enregistrement chez facebook , je ne dois pas avoir acces
> à toutes les infos , et du coup je ne comprends pas comment l'etude logicielle
> ,peut etre reproduite sur les maitres modèles .


Peut être que ce lien sera plus instructif:

http://www.estheticoral.fr/images/esthetic/presse/france/Article-ID.pdf


Cet outil n'est pas une fin en soi (comme tout outil, sinon ça s'saurait et tout le monde feraient la même chose), mais associé à nos quelques neurones et un minimum de rigueur (c'est peu compatible avec un wax-up à l'arrache sur un montage arti au pif), ça permet d'y voir plus clair sur des plans de traitement globaux.

Presque 3h du mat. gaffe à l'addiction Nonoliene insomniante.......symptome du passioné :-)


Bebe 038 nf8eum - Eugenol
danteyeah

22/05/2015 à 13h40

enlaye écrivait:
----------------
> danteyeah écrivait:
> -------------------
>
>
> " Putain de condescendance (y'a plus de smiley)."
>
>
>
> Je te présente mes plus plates excuses si je t'ai blessé ,
> et oui , en relisant , je me suis dit , tient ,pourquoi il le prend mal comme ça
> ?
> Ou lala ,j'ai réalise que j'ai mis les pieds dans le plat , grave,sans le savoir
> . Je ne savais pas que tu étais spécialiste de l'esthétique , et j'ai eu le
> malheur d'employer le terme de considérations tafiolisantes .

Hihi, j'suis spécialiste en que dalle, j'ai la chance de bosser avec des prothos passionnés qui organisent leur vie autour de leur taf, j'ai voulu parlais de leur travail ici car je trouvais le sujet intéressant et j'avais l'intime conviction qu'on allait se "mettre sur la geulle" (en toute amitié et avec un max de respect, ne doute pas du mien il est réel)....et c'est ça qu'est bon!

> Oulala j ai parlé de grosse qui peint tout en violet , je regarde ,eh merde , re
> gaffe , tu travailles avec ta femme . Bon ça va , elle n'est pas grosse ,oufff
> mais regaffe , je parle de diasystème double et du bonheur associé , je
> reregarde , eh remerde , ta femme a un diasystème , , tu avoueras que j'ai pas
> de chance .
> Effectivement ça commence a faire beaucoup .
> J'espère au moins qu'elle ne fait pas d'ortho , pcq , question ortho quelque
> fois j'envoie grave parfois .

Mouarf, non ni grosse, ni ortho, denture nickel, le bonheur quoi!


> Ç est qu'en fait , on est très complémentaire toi et moi :
> toi tu t'occupes de devant et moi de derrière ( je parle du bloc antero sup
> ,bien sur )

Heureusement qu'il y'a les guillemets, on parlaient de ma femme juste avant:-)))

, d'où les frictions avec les esthétiques et les orthos . Suis sur
> qu'à nous deux on ferait de super trucs !

Ouais, mais laisse ma femme en dehors de ça, merci :-))))


> Donc promis , je ne parlerais plus quand cela concernera les incisives , cad
> plus d'esthétique , plus d'ortho , plus d'occluso , plus d'endo (puisque j'en
> ai un mauvais souvenir avec toi ).

endo????

> Je vais essayer de faire comme la majorité sur eugénol regarder mais pas parler
> . Sais pas si je vais y arriver , ç est trop bon de raconter des bêtises
> :-)))),
>
j'y crois pa et t'aurais tort!

> donc je te redemande toutes mes excuses .

Mouarf encore condescendant, au 2° ou 3° degré. Mais je vais prendre ça au premier degré, et me voilà tout émoustillé ;-)
>
>


Orezza gazeuse verre litre ocoxey - Eugenol
casa

22/05/2015 à 13h59

et ben voilà Enlaye c'est toi le premier qu'à parler de tafiole !!! et maintenant te voilà embarqué dans une drôle d'histoire ! en tous cas, le débat est intéressant même si je ne suis pas toujours !


Vw campersurfvan bmnk1q - Eugenol
enlaye

22/05/2015 à 14h35

casa écrivait:
--------------
et ben voilà Enlaye c'est toi le premier qu'à parler de tafiole !!! et maintenant te voilà embarqué dans une drôle d'histoire ! en tous cas, le débat est intéressant même si je ne suis pas toujours !

chuuuut ,peux plus parler , j'ai promis :-)))))
j'peux meme plus parler à chicot29 puisque la saison reprend et c'est la guerre entre les kites et les piiiinches à ouales .
ps : t'as un diasteme toi ? sinon motus avec toi aussi!!!:-)))


Orezza gazeuse verre litre ocoxey - Eugenol
casa

22/05/2015 à 15h27

Non seulement je ne suis pas blonde (!) mais en plus j'ai pas de diastème ! Donc tu peux l'ouvrir à nouveau , denteyeah est toute ouïe . Vos 2 visions de la "dentisterie" sont intéressantes c'est comme si un mécano s'affrontait avec un designer ! Pininfarina contre .... (désolée j'ai pas de ref !)


Logo vuaztn - Eugenol
mac

22/05/2015 à 16h19

danteyeah écrivait:
-------------------
> enlaye écrivait:
> ----------------
> >
>
> > en fait ,n'ayant pas d'enregistrement chez facebook , je ne dois pas avoir
> acces
> > à toutes les infos , et du coup je ne comprends pas comment l'etude logicielle
> > ,peut etre reproduite sur les maitres modèles .
>
>
> Peut être que ce lien sera plus instructif:
>
> http://www.estheticoral.fr/images/esthetic/presse/france/Article-ID.pdf
>
>


C'est quoi la différence par rapport au DSD de Christian Coachman?


200106 10150128247663588 709988587 6466236 5598391 n d7mksb - Eugenol
hallboy

22/05/2015 à 17h16

c'est + compliqué?


Bebe 038 nf8eum - Eugenol
danteyeah

22/05/2015 à 18h15

mac écrivait:
-------------
>>
> C'est quoi la différence par rapport au DSD de Christian Coachman?


La seule réponse honnête que je pourrais te faire est que je n'en sais rien puisque je ne me suis pas formé au DSD, car il y a 2 différences avec le VEP que pour le coup je connais, qui sont le prix (1500€ .....c'est trop) et le nombre de participant par session (une quarantaine....c'est trop).

Je sais aussi que Coachmann plébiscite le Ditramax (encore quelques € de plus), et que cet outil pose un problème au prothésiste pour extrapoler correctement les mesures de son wax-up en arrière des centrales, le prothésiste doit faire l'effort intellectuel d'analyser en 3D l'information 2D du ditramax, les photos 2D et ses moulages (3D évidement). Pour le VEP, Didier est partie d'un "axiome" esthétique qui défini que la ligne du sourire "idéale" a ses 2 pointe canine qui passent par un cercle dont l'hémicentre passe par la ligne bi-pupillaire. C'est vraiment reproductible, à partir du moment où les clichés du patient sont réalisés avec rigueur et selon un cahier des charges.

Ce qu'il y a d'intéressant ces que les documents obtenus par leur rigueur permettent une meilleur analyse du sourire, Y a pas besoin d'un VEP pour avoir de la rigueur, mais si déjà on documente correctement son sujet alors pourquoi ne pas utiliser cette information pour aller plus loin, simuler une esthétique et projeter plus efficacement les mock-up.

L'exemple du cas de matten est très parlant: une vrai photos de sourire nous aurait renseigné sur l'importance (ou non, mais je crois qu'il est important) du gummy smile.
Une photo occlusal nous aurait renseigné sur la localisation des facettes d'usure, même si dans ce cas l'OTP suffit à comprendre que l'égression de la 17 en arrière de la 47 va poser problème......etc. Pour certains tout est limpide au premier coup d'oeil chez un patient, pour d'autre il leur du temps de la réflexion, voir l'aide d'autrui pour comprendre l'origine et l'évolution des abrasions/destructions de la denture: comment communiquer avec 3 clichés de smartphone, et des moulages coulés et montés à l'arrache?