Cookie Consent byPrivacyPolicies.comMise en charge immédiate - Eugenol
Utilisateur banni

06/05/2015 à 09h42

La mise en charge immédiate, est une définition utilisée de façon, conforme, académique ou mercatique ?


Utilisateur banni

06/05/2015 à 14h48

posit écrivait:
---------------
> La mise en charge immédiate, est une définition utilisée de façon, conforme,
> académique ou mercatique ?

Tout est relatif, comme le temps ;=)
"Placez votre main sur un poêle une minute et ça vous semble durer une heure. Asseyez vous auprès d'une jolie fille une heure et ça vous semble durer une minute. C'est ça la relativité."
Einstein


Utilisateur banni

06/05/2015 à 21h38

Guadeloupe écrivait:
--------------------
> Tout est relatif, comme le temps ;=)
> "Placez votre main sur un poêle une minute et ça vous semble durer une heure.
> Asseyez vous auprès d'une jolie fille une heure et ça vous semble durer une
> minute. C'est ça la relativité."
> Einstein

Cela dépend aussi de l’envi de poser sa main sur son poil d’où l’importance du choix pour définir.


Utilisateur banni

07/05/2015 à 22h04

MCP mise en charge précoce
Mise en charge à 24 ou 72 heures
Ca peut être conforme et académique.


Utilisateur banni

08/05/2015 à 00h48

posit écrivait:
---------------
> MCP mise en charge précoce
> Mise en charge à 24 ou 72 heures
> Ca peut être conforme et académique.

Dans le Manuel d'implantologie clinique: Concepts, protocoles et innovations récentes. Par M. Davarpanah, Serge Szmukler-Moncler, Ed. 2008 : page 236. Image ci-jointe du § à propos des définitions : Mise en charge précoce...
Il y a une édition plus récente du manuel :
http://www.eidparis.com/implantologie-clinique/manuel-implantologie.htm




Mci xkkqrp - Eugenol

Utilisateur banni

08/05/2015 à 17h20

Dans la littérature, selon les auteurs nous trouvons donc un consensus sur le terme de mise en charge (moment où la prothèse implanto-portée est en occlusion). Il reste des divergences sur le terme immédiat et pour le terme précoce. Différé et plus clair puisque il est employé pour la période succèdent à la pose des implants. Nous retrouvons ce terme sous forme d’abréviation :
MCD mise en charge différée
MCLD mise en charge légèrement différée
Suivis de l’indication de l’espace temps, cette abréviation nous donne une indication précise.

Précoce est utilisé pour indiquer la période considéré comme suffisante pour que le remodelage osseux soit suffisant pour supporter la mise en charge. Selon les auteurs cette estimation diverge, notamment en considération du maxillaire traité (supérieur ou inférieur).

Immédiat nous indique une relation directe avec la pose des implants en mesurant l’espace temps qui s’écoule entre les deux. Cette dimension temporelle est donc sans intermédiaire et consécutive à la première étape.

Nous pouvons donc utiliser des termes conformes à leurs désignations.


Utilisateur banni

15/05/2015 à 13h39

L’utilisation du titre de « mise en charge immédiate » pour une formation décrivant un protocole de mise en charge différée à 24 heures et plus ou dans un devis comprenant cet espace temps entre la pose des implants et la mise en fonction, ne contribue pas à une information correcte de la technique utilisée. Je pense que l’utilisation d’un terme non conforme à sa désignation est justifiée par l’impact qu’il signifie sur l’auditoire.


Statue modif qbkm6l - Eugenol
Dr Patsch Hans

15/05/2015 à 20h53

posit écrivait:
---------------
>
> Cela dépend aussi de l’envi de poser sa main sur son poil


posit est désopilant


Utilisateur banni

15/05/2015 à 21h33

Dr Patsch Hans écrivait:
------------------------
> posit écrivait:
> ---------------
> >
> > Cela dépend aussi de l’envi de poser sa main sur son poil
>
>
> posit est désopilant

La trilogie différée de la MCI



Utilisateur banni

15/05/2015 à 22h03

Le sujet est un poil épineux.


Utilisateur banni

15/05/2015 à 23h43

posit écrivait:
---------------
> Le sujet est un poil épineux.

La réponse est dans les attracteurs, à poils, chevelus, hirsutes, épineux, osseux ... Tout est question de champs morphiques et de chréodes, concept aussi vertigineux que le temps et l'espace.
La compréhension n'est pas forcément immédiate :))


Utilisateur banni

16/05/2015 à 11h41

Pour le sujet est un poil épineux de la trilogie différée de la MCI, proposé par Guadeloupe, l’hérisson trouve une satisfaction auto érotique avec une éponge qui gratte sur une face. Trois déclinaisons de ce fantasme sont abordées notamment une collective.

Guadeloupe tu nous as fait profiter de l’humour d’Albert Einstein pour aborder la relativité concernant l’espace temps. Maintenant tu nous fais par des équations complexes utilisées pour l’étude de mécanismes célestes, physique quantique.

Merci pour ta participation incommensurable.


Utilisateur banni

16/05/2015 à 17h09

posit écrivait:
---------------

> Merci pour ta participation incommensurable.

Merci pour tes répliques ludo-coSmiques


Utilisateur banni

24/05/2015 à 13h57

Pour illustrer mes propos sur la mise en charge immédiate, je vous joins une planche de photos.

C’est un cas d’extraction implantation et mise en charge immédiate. Le bridge provisoire est en résine sur une armature métal rigide. Cette armature à un rôle de fixateur externe qui réparti les contraintes sur tous les implants. Nous obtenons ainsi une stimulation intra-osseuse favorable à la cicatrisation de cette zone. Après 1 an de port, le cosmétique enregistreras les pistes d’occlusions, cette information est importante pour la réalisation du bridge d’usage.
La prothèse transitoire esthético-fonctionnelle posée en continuité de l’intervention à aussi une fonction de conformateur des tissus mous.
C’est une chirurgie guidée avec le dispositif POSITDENTAL.

Posit.

Mise en charge imm diate en chirurgie guid e positdental ioihhy - Eugenol

Utilisateur banni

25/05/2015 à 18h40

Comment positionner des implants et un bridge transitoire en 1 seule intervention ?
La vidéo montre la pose du bridge en fin d’intervention et après 2 jours de port du bridge la maturation des tissus mous.

Voici le lien pour la visionner sur CANALPALATIN
http://www.canalpalatin.com/videos/526670-mci-comment-positionner-des-implants-et-un-bridge-transitoire-en-1-seule-intervention


Utilisateur banni

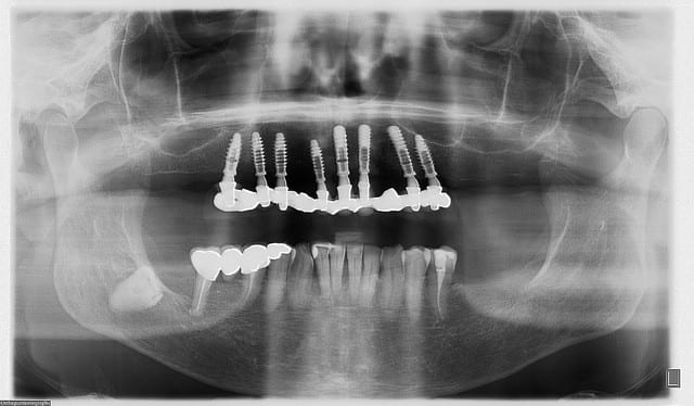
01/06/2015 à 13h41

résultat à 7 jours

Mise en charge imm diate - Eugenol

Utilisateur banni

01/06/2015 à 16h58

bridge immédiat maxillaire sans calage postérieur et dents manquantes à la mandibule secteur 4 et 3 : risqué


Utilisateur banni

02/06/2015 à 20h37

plutonjunior écrivait:
----------------------
> bridge immédiat maxillaire sans calage postérieur et dents manquantes à la
> mandibule secteur 4 et 3 : risqué

Je montrais la cicatrisation gingivale mais tu préfères parler de la fonction.
L’idéal est évidement d’avoir un antagoniste avec un plan d’occlusion correcte, ce n’est pas le cas ici. Ce bridge est à refaire ainsi que des traitements de racines+ implants secteur 4 et voir en secteur 3.
Que penses-tu du rôle de l’armature rigide (pas un fil de renfort) en métal en MCI ?


Utilisateur banni

05/06/2015 à 11h34

posit écrivait:
---------------
> plutonjunior écrivait:
> ----------------------
> > bridge immédiat maxillaire sans calage postérieur et dents manquantes à la
> > mandibule secteur 4 et 3 : risqué
>
> Je montrais la cicatrisation gingivale mais tu préfères parler de la fonction.
> L’idéal est évidement d’avoir un antagoniste avec un plan d’occlusion correcte,
> ce n’est pas le cas ici. Ce bridge est à refaire ainsi que des traitements de
> racines+ implants secteur 4 et voir en secteur 3.
> Que penses-tu du rôle de l’armature rigide (pas un fil de renfort) en métal en
> MCI ?

c'est toujours mieux qu'un fil de renfort, je ne vais pas dire le contraire :-)


Utilisateur banni

05/06/2015 à 15h44

Si nous comparons les modules d’élasticités de différant matériaux, généralement le CoCr est à + de 200GPa, donné fabricant CERAMILL :
Np m CoCr, 240 GPa
Temp résine PMMA 2,2 GPa
ZI 1.28 GPa
PEEK 4 GPa
Résine d’une prothèse complète en PalaXpress 2,13 GPa

Un fil de renfort augmente-t-il le module élastiqué d’une prothèse en résine ? Si oui de combien ?

Maintenant que tu as ces données plutonjunior, peut comparer le comportement fonctionnel d’une réhabilition temporaire résine avec armature CoCr rigide et un appareil évidé avec un fil de renfort noyé dans la résine ou d’autres matériaux ?


Utilisateur banni

05/06/2015 à 19h21

posit écrivait:
---------------
> Si nous comparons les modules d’élasticités de différant matériaux, généralement
> le CoCr est à + de 200GPa, donné fabricant CERAMILL :
> Np m CoCr, 240 GPa
> Temp résine PMMA 2,2 GPa
> ZI 1.28 GPa
> PEEK 4 GPa
> Résine d’une prothèse complète en PalaXpress 2,13 GPa
>
> Un fil de renfort augmente-t-il le module élastiqué d’une prothèse en résine ?
> Si oui de combien ?
>
> Maintenant que tu as ces données plutonjunior, peut comparer le comportement
> fonctionnel d’une réhabilition temporaire résine avec armature CoCr rigide et un
> appareil évidé avec un fil de renfort noyé dans la résine ou d’autres matériaux
> ?

si tu ne te réfères qu'au module d'élasticité tu devrais faire tes bridges en tungsténe.... module d'élasticité 2 fois plus important que le CoCr :-)
Si le patient peut se permettre d'avoir un bridge CoCr en transitoire pourquoi pas, mais n'oublions pas que ce n'est que du transitoire.
Finalement ce n'est pas une histoire de résine, de CoCr, de fil de renfort ou de module d'élasticité qui fixe la donne, c'est plutôt une histoire de porte monnaie et de voir si le patient peut se le permettre (car le patient va déjà investir un bras pour sa prothèse d'usage)


Utilisateur banni

05/06/2015 à 20h59

Si tu peux te permettre d’oublier que cette période correspond à la phase de consolidation osseuse et gingivale, tu peux considérer que cette phase transitoire du plan de traitement autorise de négliger la fonction de fixateur externe de la prothèse.

Finalement ce n’est qu’une histoire de moyen pour pérenniser son investissement.


Utilisateur banni

05/06/2015 à 22h02

posit écrivait:
---------------
> Si tu peux te permettre d’oublier que cette période correspond à la phase de
> consolidation osseuse et gingivale, tu peux considérer que cette phase
> transitoire du plan de traitement autorise de négliger la fonction de fixateur
> externe de la prothèse.
>
> Finalement ce n’est qu’une histoire de moyen pour pérenniser son investissement.

Tu as raison sur le fond, je pense que c'est la meilleure solution. Après je n'ai pas encore réalisé ce type de travail, je commence juste à pratiquer... Donc bon je ne suis pas le bon interlocuteur pour remettre en cause ce que tu dis.
Mais bon combien coûte une telle prothèse transitoire par rapport à une prothèse d'usage?


Utilisateur banni

06/06/2015 à 08h08

plutonjunior écrivait:
----------------------
> Mais bon combien coûte une telle prothèse transitoire par rapport à une prothèse
> d'usage?

Tu as remarqué que dans ma réponse je n’écris pas, dans la mise en charge immédiate il faut une armature métal rigide. Dans ma pratique quotidienne je prépare uniquement des bridges provisoires pour mise en charge immédiate avec une armature métal. Les raisons de ce choix dans ma fabrication sont que pour avoir une répartition des forces sur tous les implants il me semble que seule une armature métal rigide peut remplir ces conditions et la procédure me le permet. Pour cela je m’appuis sur les modules d’élasticité des matériaux, une simple analyse permet de constater des différances importantes de rigidité entre un bridge en résine, matière plastique ou zircone et un bridge avec une armature métal.

Maintenant est il important d’avoir une rigidité de la prothèse transitoire ?

Si on se fie à la littérature, seul les formations en chirurgie basale inclus dans leur protocole de mise en charge légèrement différé la confection d’une armature rigide. En chirurgie axiale certain préconise d’évider une PCA et de solidariser des piliers à la résine. D’autres insère dans ces PCA modifiées un fil de fer. En mise en charge légèrement différé certain confectionnent des PCA sur pilotis ou usinent des bridges en CFAO résine acrylique, composite ou autre matières plastiques et des armatures métal. Nous trouvons aussi une procédure de soudage en bouche d’une tige acier sur des piliers.

Comme tu peux voir, certaine prothèses en mise légèrement différé réclament des procédures comparable à celle d’une prothèse d’usage.

Pour répondre à ta question, il existe différentes fabrications de prothèses d’usages et tarifs. Dans un calcul de rentabilité le prix des fournitures n’est qu’un élément. Le coût temps que vas te prendre les étapes pour obtenir cette prothèse est parfois supérieur à la fourniture. Dans les nouvelles techniques de prise d’empreinte l’investissement est à prendre en compte dans ton seuil de rentabilité. Dans le cas clinique que je présente avec une empreinte et un mordu tu as un modèle garantie passif pour l’élaboration du bridge, le wax-up, l’occlusion. La vérification de la passivité se contrôle sur le modèle, l’esthétique et l’occlusion sur l’articulateur. Les temps de démontage et remise en place du bridge sont chronophage. Dans la mise en charge différé, le temps de prise d’empreinte et d’occlusion sont long et sujet à erreurs, l’essayage esthétique et la confection d’un wax-up indispensable.
Le coût de la procédure de mise en charge immédiate avec le protocole POSITDENTAL se calcule donc sur son ensemble, fournitures, temps d’étude, temps au fauteuil et investissement.


Photo pluton1b h9n4ea - Eugenol
pluton

06/06/2015 à 09h40

si je peux me permettre...;-)
ce cas à été réalisé avec Posit il y a maintenant 2 ans...(avec des implants leone)

esthétique toujours parfaite, pas d'usure particulière de la prothèse, seules les pistes d'occlusions se sont marquées (comme on peut les voir aussi en denture naturelle)

question (mais dont je connais la réponse...): peut-on encore parler de "prothèse provisoire"?

perso, non, c'est pour moi et la patiente une prothèse d'usage qui ne sera à remplacer que lorsque l'esthétique ou la fonction le nécessitera...comme pour n'importe quelle prothèse...

1 zpvnkf - Eugenol

12...