Cookie Consent byPrivacyPolicies.comCas endo - Eugenol

Cas endo

mdp92

15/05/2015 à 00h58

Bonsoir,
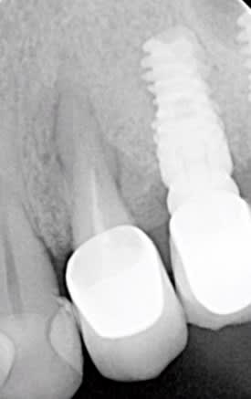
Que pensez vous du pronostic de cette 24.
A l'examen endobuccal, présence d'une fistule vestibulaire et mobilité

Diagnostic: Parodontite apicale aigue fistulisée + Résorption radiculaire inflammatoire latérale.


Je pense déposer la coiffe, évaluer le nombre de parois résiduelles,
si favorable: reprise du TE + caoh en interséance + tenon fibré ( renforcement structures radiculaires )
si défavorable: pronostic de réalisation de l'inlay core très reservé donc extraction.

Qu'en pensez vous?
merci

Sans titre i7vbec - Eugenol

carident

15/05/2015 à 01h06

La racine a l'air courte...

C'est pas un bon pronostic du tout.


mdp92

15/05/2015 à 01h08

Oui j'ai trouvé le cas sur internet, il faudrait retenter la rétro avec angulateur !


carident

15/05/2015 à 01h15

L'angulateur n'y changerait rien...

Le rapport C/R est trop juste, et la racine trop frêle.


G-P

15/05/2015 à 13h06

implant directement


Utilisateur banni

15/05/2015 à 13h42

juste une précision :
si il y a fistule c'est que c'est chronique et non aigüe ...
donc parodontite apicale chronique

quant à la résorption radiculaire externe je n'en suis pas aussi certain que toi, ça mériterait une autre petite radio
si il y a une résorption certains la traitent au MTA + obturation, mais bon dans ce cas je pense qu'une extraction +pose d' implant ne serait pas une mauvaise idée.
si il n'y a pas de résorption : déposer la couronne + traitement endo


Avatar eugenol pe0ymx - Eugenol
nicklebenou

16/05/2015 à 00h23

plutonjunior écrivait:
----------------------
> juste une précision :
> si il y a fistule c'est que c'est chronique et non aigüe ...
> donc parodontite apicale chronique
>
> quant à la résorption radiculaire externe je n'en suis pas aussi certain que
> toi, ça mériterait une autre petite radio
> si il y a une résorption certains la traitent au MTA + obturation, mais bon dans
> ce cas je pense qu'une extraction +pose d' implant ne serait pas une mauvaise
> idée.
> si il n'y a pas de résorption : déposer la couronne + traitement endo

tout à fait d accord avec toi. Autres radios et avec angulateur svp
C est une 14 donc 2 canaux a traiter d ailleurs l endo devrait etre facilement ameliorable a condition que ca en vaille le coup


jp

16/05/2015 à 21h02

Quand on voit la tronche de l'implant....on se demande comment la radio a été prise....